Гингивит – воспаление десен, которое сопровождается кровотечением или опуханием околозубных тканей. Заболевание несет хронический или острый характер.
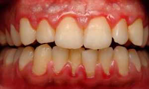
Начальная стадия гингивита сопровождается отеком, умеренной кровоточивостью, покраснением десен, а также зудом и чувствительностью тканей на внешние раздражители. Если вовремя не обнаружить и своевременно не начать лечение существует риск осложнения заболевания и перехода его в более тяжелую стадию (пародонтоз, пародонтит), следовательно возникает возможная проблема тотальной потери зубов.
В случае малейших признаков гингивита любой формы необходимо немедленно обратиться за консультацией к специалисту. Рекомендуется проходить систематическое обследование у стоматолога, так как некоторые формы гингивита протекают незаметно, а следовательно нельзя вовремя назначить необходимое лечение.
Систематическая кровоточивость десен, сопровождающаяся их отеком и покраснением, может свидетельствовать о наличии такого стоматологического заболевания, как гингивит. Гингивитом называют воспалительный процесс, протекающий в десневой ткани и имеющий хронический или острый характер течения.
Клиническая картина заболевания
Причины возникновения заболевания различны: начиная от снижения резистентности организма и заканчивая местными травмирующими факторами (некачественное ортодонтическое лечение, частое механическое раздражение и прочие факторы). И местные, и общие факторы создают идеальные условия для ускоренного роста патогенной микрофлоры, которая скапливаясь между зубами и деснами, запускает воспалительный процесс. Начальная стадия заболевания сопровождается такими неприятными симптомами, как:
- зуд и раздражимость десен;
 - отек;
 - рыхлость и покраснение десенной ткани;
 - умеренная кровоточивость при механическом раздражении.
 
Если гингивит не лечить, то в дальнейшем он может стать причиной развития пародонтоза или пародонтита. Стоит отметить, что достаточно часто гингивит сам выступает в качестве одного из симптомов таких заболевания, как:
- герпес;
 - аллергические реакции;
 - сахарный диабет;
 - лейкопения;
 - гиповитаминоз и другие.
 
В зоне риска находятся дети и подростки, беременные женщины, люди, больные системными заболеваниями и имеющие проблемы с функционированием иммунной и эндокринной систем.
Врачи отмечают, что гингивит проявляется рядом характерных симптомов, которые могут варьироваться по степени выраженности. Одним из первых признаков является покраснение и отечность десен, что часто сопровождается зудом и дискомфортом. Пациенты также могут замечать, что десны легко кровоточат при чистке зубов или употреблении твердой пищи. В некоторых случаях наблюдается неприятный запах изо рта, что может указывать на воспалительный процесс. Важно отметить, что при отсутствии своевременного лечения гингивит может перейти в более серьезные заболевания пародонта. Врачи настоятельно рекомендуют регулярно посещать стоматолога и следить за гигиеной полости рта, чтобы предотвратить развитие гингивита и его осложнений.

Симптомы болезни
Помимо отека, рыхлости и покраснения десен при гингивите наблюдается изменение общего контура десны и образование так называемых ложных пародонтальных карманов. За счет смещения десневой борозды существенно увеличивается чувствительность десневой ткани к термическим и механическим воздействиям.
Край десны краснеет, могут образовываться области раздражения, наблюдается кровоточивость при механическом воздействии. Совокупность этих симптомов делает затруднительным процесс приема пищи, так как при жевании возникает сильная болезненность десневого края.
Распознать гингивит можно по неприятному гнилостному запаху из ротовой полости, ощущения жжения и зуда в деснах, а также изменению вкусовосприятия. Нередко больные жалуются на появление металлического привкуса.
Симптомы заболевания существенно отличаются в зависимости от формы болезни. Наиболее тяжелой формой заболевания считается язвенный гингивит, основными симптомами которого является изъязвление десневой ткани и ухудшение самочувствия больного.
Особенности течения и симптоматика язвенного гингивита
Чаще всего язвенная форма болезни встречается у детей при прорезывании зубов, а также при смене зубного ряда. Изъязвление десневой ткани может появиться вследствие перенесенных инфекционных заболеваний и общем ослаблении иммунитета. Течение язвенной формы гингивита может сопровождаться субфебрильной температурой, тошнотой, слабостью и другими симптомами общей интоксикации организма.
Симптоматика язвенного гингивита заключается в образовании на десневой ткани покрытых белесой или сероватой пленкой язв, которые очень чувствительны к химическому, механическому и термическому воздействию. Прием пищи сопровождается сильными болями и повышением температуры тела, слюна загустевает, меняется ее химический состав, что приводит к ухудшению самоочищения ротовой полости. При язвенном гингивите на языке больного может появиться налет. Боль, возникающая при раздражении язв, носит пронизывающий характер.
Многие люди сталкиваются с проблемами десен, и гингивит — одна из самых распространенных. Симптомы этого заболевания часто игнорируются, хотя они могут сигнализировать о серьезных проблемах. Пациенты часто отмечают покраснение и отечность десен, которые становятся чувствительными и могут кровоточить при чистке зубов. Некоторые жалуются на неприятный запах изо рта, что также может быть признаком воспаления. Важно отметить, что на ранних стадиях гингивит может протекать безболезненно, и многие не обращают внимания на эти изменения. Однако, если не принять меры, заболевание может прогрессировать, приводя к более серьезным стоматологическим проблемам. Люди, столкнувшиеся с гингивитом, подчеркивают важность регулярных визитов к стоматологу и тщательной гигиены полости рта для предотвращения осложнений.

Симптомы гингивита, возникающего во время менопаузы или беременности
Гингивит у беременных развивается в результате резкой трансформации гормонального фона и подавлении функции иммунной системы. Достаточно часто общее состояние беременной женщины не дает ей возможности осуществлять полноценный уход за ротовой полостью (тошнота, слабость, рвота), вследствие чего активизируются патогенные бактерии и возникает воспалительный процесс. Как правило, при беременности десневая ткань разрастается в области межзубных сосочков. Такое опухолевое разрастание десневой ткани называют «опухолью беременности». При термическом и механическом раздражении опухолевидного разрастания возникает пронизывающая боль и наблюдается кровоточивость.
Во время менопаузы развивается так называемая десквамативная форма гингивита. Особенностью десквамативной формы болезни является повышенная восприимчивость эпителиальных клеток к негативному воздействию, что приводит к дефициту кератина в десневой ткани и развитию в ней воспалительного процесса. Характерными симптомами десквамативного гингивита является кровоточивость десен и пронизывающая боль, возникающая при механическом или термическом раздражении пораженных участком. На деснах могут образовываться пузырьки. Лечение десквамативного гингивита заключается в нормализации гормонального фона женщины, то есть в проведении гормональной терапии.
При диагностике заболевания следует дифференцировать его с такой стоматологической болезнью, как пародонтит. Отличительными особенностями гингивита является поражение только верхних слоев пародонта (десневой ткани), в то время как при пародонтите поражаются глубокие слои пародонта, в том числе и костная ткань. При гингивите наблюдается образование ложных зубодесневых карманов, которое осуществляется за счет разрастания десневой ткани. Из ложных пародонтальных карманов может выделяться экссудат. Бактериальный налет при гингивите образуется не так интенсивно и скапливается на границе зубного ряда и десны.
Лучшей профилактикой заболевания является систематический уход за зубным рядом, регулярная профессиональная чистка ротовой полости, своевременное лечение стоматологических болезней, качественное ортодонтическое лечение и устранение аномалий в строении зубочелюстной системы (гингивопластика).
Вопрос-ответ

Каковы симптомы гингивита?
Гингивит – это воспалительный процесс в тканях десны, который затрагивает поверхностные ткани. При этом связка, которая удерживает зуб в челюсти, не повреждается, и зубы не расшатываются. Но это вовсе не значит, что болезнь эта не опасна: если гингивит не лечить, со временем он разовьется в пародонтит.
Каковы симптомы гипертрофического гингивита?
Симптомы отечной формы гипертрофического гингивита. Клиническим проявлением отечной формы данного заболевания является гипертрофия межзубных сосочков, болезненность, жжение и геморрагия десен, усиливающиеся во время чистки зубов. При этом слизистая оболочка десны приобретает ярко-красный цвет.
Каковы симптомы гингивита у подростков?
Ювенильный гингивит у подростков характеризуется стремительным разрастанием мягких тканей с формированием выпячивающихся сосочков. Иногда у детей отмечается усиление деления клеток десны, что приводит к частичному перекрыванию единиц. Признаки ювенильного гингивита носят довольно отчетливый характер.
Советы
СОВЕТ №1
Регулярно посещайте стоматолога для профилактических осмотров. Даже если у вас нет явных симптомов, профессиональная чистка зубов и осмотр помогут выявить гингивит на ранней стадии.
СОВЕТ №2
Обратите внимание на свою гигиену полости рта. Чистите зубы дважды в день и используйте зубную нить, чтобы удалить налет и остатки пищи между зубами, что поможет предотвратить воспаление десен.
СОВЕТ №3
Следите за своим питанием. Употребление продуктов, богатых витаминами C и D, а также кальцием, может помочь укрепить десны и снизить риск развития гингивита.
СОВЕТ №4
Если вы заметили кровоточивость десен, неприятный запах изо рта или другие симптомы, не откладывайте визит к стоматологу. Раннее обращение за помощью может предотвратить более серьезные проблемы с деснами.

