Гингивит – болезнь тканей десен, воспалительного характера. Оно поражает только слизистую часть, при этом не влияя на прочность зуба.
Другими словами, от этого недуга зуб не начнёт шататься. Поэтому гингивит считается несложной патологией дёсен.
Сопровождается это заболевание неприятным запахом изо рта, болезненностью и кровоточивостью дёсен.
Классификация болезни и клиника
Гингивит вызван чаще всего недостаточной гигиеной полости рта, вследствие чего оставшиеся микроорганизмы выделяют токсины, что и провоцирует появление воспаления.
Врачи подчеркивают, что гингивит представляет собой многогранное заболевание, которое может проявляться в различных формах. Основные виды включают катаральный, гипертрофический и язвенно-некротический гингивит, каждый из которых имеет свои характерные симптомы. Например, катаральный гингивит сопровождается покраснением и отечностью десен, в то время как язвенно-некротический может вызывать болезненные язвы и неприятный запах изо рта. Классификация симптомов помогает врачам точно диагностировать и назначить адекватное лечение. В зависимости от формы заболевания, терапия может включать профессиональную гигиену полости рта, антисептические полоскания и, в некоторых случаях, антибиотики. Важно, чтобы пациенты не игнорировали первые признаки гингивита, так как своевременное обращение к стоматологу может предотвратить развитие более серьезных заболеваний.

Острая форма заболевания
Его симптомы
- отёк;
 - покраснение;
 - повышенная температура дёсен;
 - болезненность и кровоточивость дёсен.
 
Хронический вид гнойного воспаления десен
Это длительное, вялотекущее заболевание, при котором больной практически не чувствует боли. Обостряется боль сезонно, затем наступает её ослабление. И так по кругу два процесса сменяют друг друга.
Распространенная причина возникновения такого воспаления – нарушенная микрофлора, хроническая травма десен или аллергия.
По природе возникновения такой вид воспаления делят на:
- инфекционный;
 - травматический;
 - термический;
 - химический;
 - ятрогенный;
 - гормонально обусловленный;
 - аллергический.
 
Гингивит — это воспаление десен, которое может проявляться в различных формах и иметь разнообразные симптомы. Люди часто отмечают, что гингивит может быть как острым, так и хроническим. Острый гингивит обычно сопровождается ярко выраженной болью, покраснением и отечностью десен, тогда как хроническая форма может протекать незаметно, но при этом приводить к серьезным последствиям, таким как пародонтит.
Существует несколько классификаций гингивита, включая катаральный, язвенно-некротический и аллергический. Каждый из этих видов требует индивидуального подхода к лечению. Важно отметить, что основными способами борьбы с гингивитом являются регулярная гигиена полости рта, профессиональная чистка зубов и использование антисептических средств. Многие люди также обращаются к стоматологам для назначения противовоспалительных препаратов и рекомендаций по уходу за деснами. Забота о здоровье полости рта — это залог не только красивой улыбки, но и общего благополучия.

Десквамативный тип
Характеризуется слущиванием эпидермиса, что способствует образованию красных пятен на слизистой оболочке.
Эта форма болезни встречается довольно редко, может развиться на фоне гастрита, язвы желудка, сахарного диабета и других недугов.
К факторам, способным спровоцировать такое редкое воспаление, относятся:
- Неправильный прикус и развитие дёсен.
 - Аллергические осложнения.
 - Истощённое состояние организма.
 - Нарушения гормонального фона.
 - Слабый иммунитет.
 - Травма зуба мудрости во время прорезывания.
 - Нарушение работы желудочно-кишечного тракта.
 - Нехватка витаминов.
 
Лечение этой формы включает в себя чистку зубных отложений, принятие противовоспалительных, антисептических, обезболивающих медикаментов, устранение причины инфекции, применение лечебных зубных паст.
Гиперпластическая форма
Относится к хроническому типу заболевания, характеризуется разрастанием десны и наползанием её на зубы.
Симптомы поражения:
- увеличение десневых сосочков;
 - увеличение десны;
 - покраснение, отёчность десны;
 - возможные болезненные ощущения во время еды;
 - кровоточивость.
 
Возникать такой гингивит может из-за наличия эндокринных патологий, любого нарушения в строении зубочелюстной системы, механического повреждения десны.

Простой маргинальный случай заболевания
По-другому эту форму называют катаральной. Часто возникает в детском возрасте.
Симптомы катарального хронического гингивита:
- повышение чувствительности зуба;
 - появление отека ткани;
 - синюшность или покраснение десны;
 - образование белого налета на языке;
 - кровоточивость при чистке зубов;
 - пульсирующая боль в деснах;
 - неприятный запах изо рта;
 - наличие зубного налёта.
 
Язвенный гингивит
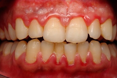
Воспаление тканей десны, вместе с которым происходит эрозия, изъязвление и некроз десневого края.
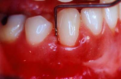
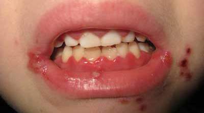
Фото 1. Язвенный гингивит обычно причиняет пациентам резкую болезненность десны на фоне имеющегося воспаления.
Симптомы воспаления:
- резкая боль, затрудняющая приём еды;
 - наличие неприятного запаха изо рта;
 - отёк, кровоточивость дёсен;
 - образование на дёснах язв;
 - повышенная температура тела;
 - общее недомогание.
 
Важно! Чаще всего язвенный гингивит образуется у людей 18 – 30 лет. Как правило, протекает остро, но при определённых условиях может перейти в подострую или хроническую форму, в язвенный стоматит и пародонтит.
Атрофическая разновидность заболевания
Это обратная сторона гипертрофической формы. В данном случае происходит не увеличение в размерах десны, а, наоборот, уменьшение.
Причиной развития атрофического гингивита выступают:
- нейрогуморальное нарушение в организме;
 - возрастные изменения тканей дёсен;
 - неправильное развитие уздечки у детей;
 - неправильное ортодонтическое лечение.
 
Такой вид гингивита может протекать в двух формах:
локализованной, когда изменения десны наблюдаются только в одном месте, и генерализованной изменения затрагивают всю челюсть.
Внимание! Атрофированные участки невозможно восстановить. Получится только остановить прогрессирование воспаления.
Острый некротизирующий язвенный тип воспаления
Может протекать как в острой, так и хронической форме. Это заболевание наносит вред обеим челюстям одновременно, вызывая острую боль.
Его симптомы:
- наличие язвочек на дёснах; гнилостный запах изо рта;
 - повышение температуры;
 - общее недомогание;
 - наличие сильного отёка;
 - покраснение дёсен и их кровоточивость.
 
Острая форма начинается резко вместе с сильной болью, иногда возникает после перенесения инфекции. Хроническая же форма может развиться из-за недостатка гигиены полости рта.
Классификация гингивита по клиническому течению
В медицине придерживаются следующего разделения гингивита в зависимости от клинического развития заболевания:
- Острый.
 - Хронический.
 - Обострившийся.
 - В стадии ремиссии.
 
Если заболевание возникает внезапно с быстрым прогрессированием симптомов, то это характеризует острую форму. Протекает она в три степени развития, отличающихся друг от друга уровнем тяжести.
- Первая степень более легкая по сравнению с другими. Воспаление локализуется по всей поверхности сосочковой десны.
 - Вторая стадия характеризуется поражением краевой десны.
 - Более тяжёлая стадия – третья. Здесь происходит изменение всей поверхности челюсти. Воспалительный процесс не затрагивает щёки, небо и дно ротовой полости.
 
Справка! Острая форма чаще всего возникает весной или осенью, так как эти времена года благоприятны для обострения любых заболеваний.
Симптомы острой формы:
- мягкий налёт на всех зубах;
 - отложения над и под десной;
 - переполнение кровью в слизистой оболочке;
 - боль, зуд, жжение в месте воспаления;
 - кровоточивость;
 - синюшный цвет мягких тканей;
 - иногда встречается общее ухудшение самочувствия.
 
Если не обратить внимание на эти симптомы, то острая форма может перейти в хроническую, при которой симптомы не будут ярко выраженными. Гингивит будет проявлять себя при пониженном иммунитете, гигиенической чистке зубов, пережевывании пищи.
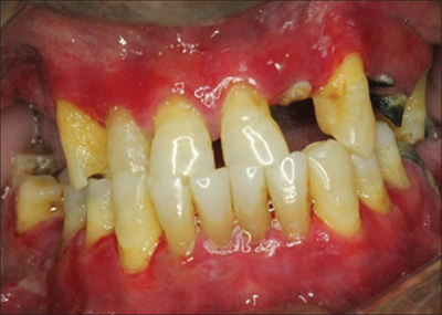
Признаки хронической формы:
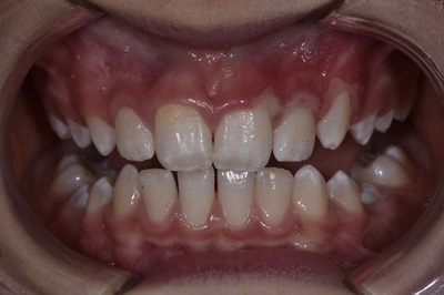
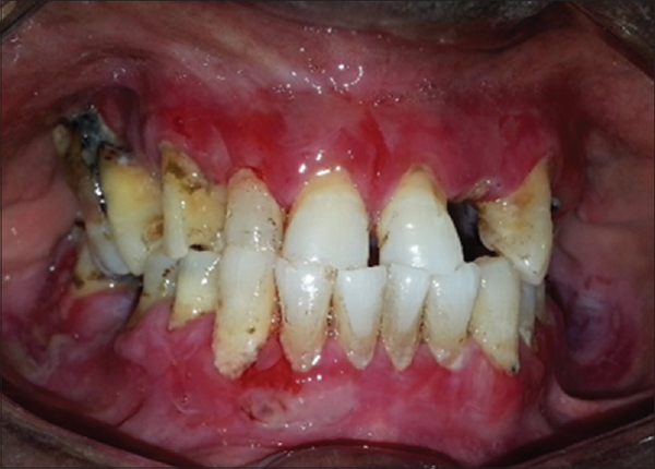
Фото 2. Хроническая форма заболевания проявляется застойным переполнением кровью сосудов и отёчностью слизистой дёсен, кровоточивостью и деформацией десны.
- опухшее состояние десны;
 - болевые ощущения во время приёма пищи;
 - болезненность во время чистки зубов;
 - переполнение крови в десне;
 - отслаивание дёсенных сосочков от зубов.
 
Выявить хроническую форму гингивита сможет только врач.
Рецидивирующей стадией хронической формы является обострившийся гингивит. При такой форме происходит усиление симптомов хронического гингивита.
Со временем все симптомы спадают, то есть наступает последняя стадия течения заболевания – ремиссия.
Виды гнойного воспаления десен
Гингивит – это заболевание, которое может проявляться по – разному. В связи с этим важно выделить возможные его формы:
- Катаральный.
 - Гипертрофический.
 - Язвенный гингивит.
 
Катаральная форма
Чаще всего возникает из-за плохой гигиены полости рта на фоне снижения иммунитета, наличия заболеваний эндокринной и сердечно-сосудистой системы.
Это происходит потому, что организм не способен в таком состоянии бороться с возникновением большого количества налёта. В связи с этим имеющиеся бактерии способствуют развитию воспаления.
Катаральный гингивит может быть как острым, так и хроническим. Острый начинается внезапно вместе с сильной болью, ухудшением самочувствия, повышением температуры, появлением отёка, покраснения, жжения слизистой. Всё это доставляет беспокойство человеку.
Своевременное обращение к врачу при появлении первых симптомов может способствовать быстрому излечению.
В случае неполучения должного лечения вовремя, острый катаральный гингивит перейдет в хронический. Симптомы в этом случае будут проявляться уже не так выражено, в основном во время еды и чистки зубов.
Внимание! Самостоятельное лечение острой формы способствует временному ослаблению проявления симптомов, но не излечению. В таком случае острая форма перейдет в хроническую.
Если у человека длительное время наблюдается катаральный тип, то это может привести к увеличению глубины десневых карманов и появлению синюшности тканей ротовой полости.
Выявится такой вид заболевания при посещении стоматолога вне зависимости от причины визита.
Катаральный гингивит лечится в среднем около двух недель. При этом проводится профессиональная чистка зубов, происходит проверка неправильных ортопедических составляющих, деформированных пломб. При наличии происходит замена этих составляющих. Также назначаются витамины.
Гипертрофическое воспаление слизистой
Хроническое заболевание, которое характеризуется разрастанием мягких тканей пародонта. При этом такое разрастание бывает настолько масштабным, что десна значительно закрывает поверхность зуба.
Причины возникновения:
- наличие неправильного прикуса;
 - наличие протезов плохого качества;
 - хронические заболевания эндокринной и нервной систем;
 - долговременный прием гормональных препаратов и антибиотиков;
 - нарушение гормонального фона;
 - механическое повреждение.
 
Такой вид заболевания имеет две формы:
- Отёчную, при которой происходит увеличение десневых сосочков, болезненность и кровоточивость.
 - Фиброзную, для которой не характерны болезненность и кровоточивость, изменение цвета слизистой оболочки. Происходит только изменение внешнего вида дёсен.
 
Справка! Характерная черта гипертрофического гингивита – его локализация. В основном патология поражает область передних зубов верхней челюсти.
Гипертрофический гингивит развивается в три стадии: сначала увеличивается объем десны, разрастаются десневые сосочки, затем происходит прикрывание зуба на 50%, слизистая оболочка покрывается грануляциями, которые кровоточат при воздействии на них.
Особенность лечения такого заболевания – назначение электрофореза в сочетании с глюконатом кальция или гепарином, массажа дёсен и дарсонвализации.
Если лечение не помогает или стадия не поддаётся лечению, то назначается хирургическое воздействие.
Язвенный гингивит с гноем
В момент острой формы у человека проявляются следующие симптомы:
- сильные головные боли;
 - апатия;
 - плохой сон;
 - повышенная температура тела;
 - кровоточивость тканей;
 - отечность, жжение и зуд десен;
 - гнилостный запах изо рта;
 - сильные боли в области десен.
 
Дальнейшее развитие заболевания влечёт за собой появление язв и некротических поражений на дёснах.
Это все способствует общей интоксикации организма, симптомами которой являются: слабость, тошнота, боль в висках.
Лечение заболевания включает полноценную чистку полости рта, принятие антибиотиков, антисептиков, противоотёчных препаратов, витаминов, а также придерживание диеты.
Различие по распространенности болезни
По этому признаку различают локализованный и генерализованный гингивит.
При локализованном характере наблюдается воспаление десны одного или нескольких зубов. А при генерализованном поражение десны в области всех зубов верхней или нижней челюсти.
Локализованная форма
Локализованный гингивит может возникнуть из-за травмирования десны во время еды или чистки зубов.
При остром локализованном воспалении болевые ощущения усиливаются во время приёма пищи. А при хроническом наблюдается исчезновение боли, например, после удаления застрявшей пищи между зубов.
Лечится локализованный гингивит путём восстановления контактного пункта между зубами пломбированием или вкладками.
Генерализованное воспаление слизистой
В случае генерализованного характера заболевания важно удалить все раздражающие факторы и провести лечение согласно форме течения патологии.
Виды воспаления тканей ротовой полости по причине возникновения
На поражение данным недугом ротовой полости человека могут повлиять различные факторы, такие как – снижение иммунитета, гормональный дисбаланс, внешняя инфекция, а также механические и химические повреждения дёсен.
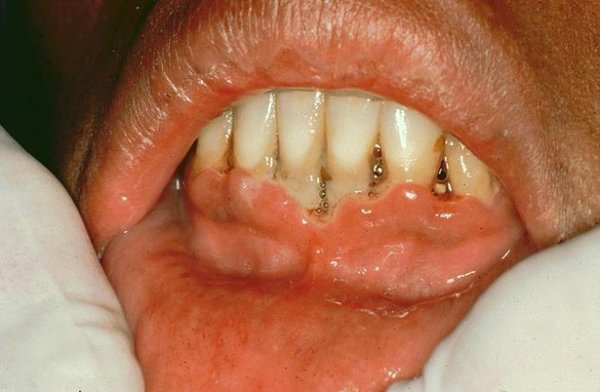
Вирусный гингивит
Развивается из-за наличия общей инфекции, которая попала в организм вследствие нехватки витаминов и снижения иммунитета.
Фото 3. Причиной возникновения вирусного гингивита являются вирусы простого герпеса и цитомегаловирусная инфекция.
Заболевание может протекать как в хронической, так и в острой форме.
Ювенильный тип – заболевание у подростков
Такой тип , еще он называется – юношеский гингивит, встречается у детей от 7 до 12 лет, а также у девочек от 12 до 16 лет и у мальчиков с 13 до 18 лет.
Проявляется заболевание в разрастании тканей краёв десны, при этом появляются каплеобразные выступающие десневые сосочки
С возрастом проявление симптомов заболевания снижается. Так как происходит изменение гормонального фона, а также так как уход за полостью рта становится более тщательным.
Гингивит герпетический
Проявляется это воспаление в язвенной форме с острым течением болезни.
Оно не возникает из-за наличия бактерий и налёта в слизистой оболочке, а вызвано наличием вируса герпеса-1 в организме.
Такой гингивит влияет отрицательно на иммунную систему организма.
Аутоиммунный вид болезни
Возникает на фоне аутоиммунного заболевания, при котором организм самостоятельно начинает вырабатывать антитела, атакующие клетки своего организма. Это может повлечь за собой и снижение иммунитета.
В случае когда организм сам является беззащитным к воздействию вредоносных микроорганизмов, слизистая оболочка ротовой полости становится благоприятной средой их обитания. А эти бактерии и приводят к возникновению воспаления.
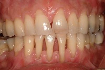
Фиброзный тип
Во время такого вида заболевания происходит поражение всего нескольких зубов. Сильного отёка не наблюдается, припухлость может быть только незначительной, у основания десны.
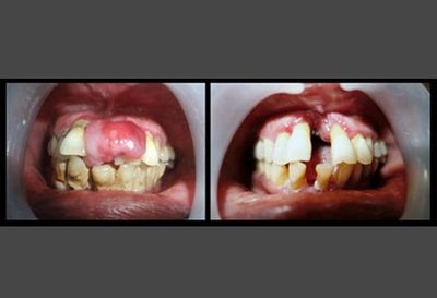
Фото 4. При поражении полости рта фиброзным гингивитом изменение тканей может происходить как с внешней, так и с внутренней стороны.
Цвет десны остаётся неизменным, в редких случаях меняется на серый. Отсутствуют болезненные ощущения, кровоточивость, но происходит увеличение объёма десны.
Атрофический вид заболевания слизистой ткани
Возникает из-за плохой гигиены полости рта, в результате чего образуется кариес, налёт, камни, что пагубно действует на состояние дёсен.
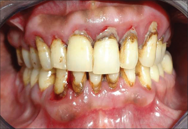
Фото 5. Атрофический гингивит десен и полости рта – запущенная форма болезни с паталогическим перерождением эпителиальной ткани.
Отличительная черта такого гингивита – его неизлечимость. Поэтому важно не допустить переход любого воспаления в атрофическую форму.
Все меры лечения атрофического типа гингивита направлены на остановку разрушительного процесса.
Полезное видео
Ознакомьтесь с видео, в котором врач – стоматолог даёт классификацию и подробное описание атрофического, маргинального и других видов гингивита.
Лечение гингивита реально, но проще поддерживать гигиену полости рта
Возникновение гингивита в большинстве случаев напрямую зависит от гигиены полости рта. При попустительском отношении к этой процедуре растет риск возникновения заболевания.
Легче предотвратить появление болезни, чем потом её лечить. Если же заболевание всё-таки диагностировалось, то важно следовать всем рекомендациям врача. Правильное лечение при любых видах гингивита способствует к исчезновению воспалительного процесса.
Вопрос-ответ
Какие бывают виды гингивита?
По форме принято выделять такие виды гингивита: язвенный, когда появляются омертвевшие участки десны; гипертрофический, который характеризуется резким увеличением десны и кровотечением; атрофический, который проявляется в истончении десны; десквамативный, который характеризуется краснотой и сильным отслоением верхнего слоя слизистой.
Каковы методы лечения гингивита?
Лечение гипертрофического гингивита. Противовоспалительная терапия назначается курсом полосканий антисептическим раствором. При фиброзном сначала врач иссекает патологически разросшиеся ткани, затем назначает противовоспалительный курс: полоскания, аппликации лечебных повязок, инъекции гидрокортизона.
Каковы симптомы гингивита?
Гингивит – это воспалительный процесс в тканях десны, который затрагивает поверхностные ткани. При этом связка, которая удерживает зуб в челюсти, не повреждается, и зубы не расшатываются. Но это вовсе не значит, что болезнь эта не опасна: если гингивит не лечить, со временем он разовьется в пародонтит.
Сколько форм имеет гипертрофический гингивит?
Классификация гипертрофического гингивита. В зависимости от типа гиперпластических процессов гипертрофический гингивит может протекать в отечной (воспалительной) и фиброзной (гранулирующей) форме.
Советы
СОВЕТ №1
Регулярно посещайте стоматолога для профилактических осмотров. Это поможет выявить гингивит на ранних стадиях и предотвратить его развитие. Стоматолог сможет предложить индивидуальный план ухода за полостью рта и рекомендации по лечению.
СОВЕТ №2
Обратите внимание на свою гигиену полости рта. Чистите зубы дважды в день и используйте зубную нить для удаления остатков пищи и налета между зубами. Это поможет снизить риск развития гингивита и других заболеваний десен.
СОВЕТ №3
Следите за своим питанием. Употребляйте больше витаминов и минералов, особенно витамина C и кальция, которые способствуют здоровью десен. Избегайте избыточного потребления сахара и кислых продуктов, которые могут способствовать развитию воспаления.
СОВЕТ №4
Обратите внимание на симптомы гингивита, такие как кровоточивость десен, их покраснение и отечность. При появлении этих признаков не откладывайте визит к стоматологу, так как раннее лечение может предотвратить более серьезные проблемы с деснами и зубами.















