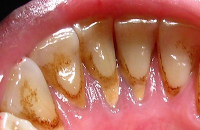
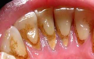
Пародонтоз сложно поддаётся лечению, в запущенной форме приводит даже к потере зуба. Поэтому люди, столкнувшиеся с этой проблемой, ищут максимально эффективный метод терапии.
Одним из них выступает мазь от пародонтоза. Фармакологический рынок предлагает большое количество таких препаратов.
Мазь от пародонтоза
При прогрессирующем пародонтозе зубов и дёсен такая форма терапевтического воздействия является единственным эффективным средством лечения.
Стоматологи подчеркивают важность своевременного лечения пародонтоза, так как это заболевание может привести к потере зубов. Мази, содержащие противовоспалительные и антисептические компоненты, играют ключевую роль в терапии. Они помогают уменьшить воспаление десен, способствуют заживлению тканей и предотвращают дальнейшее разрушение зубов. Врачи рекомендуют использовать такие препараты в сочетании с регулярной гигиеной полости рта и профессиональными чистками. Также важно следить за состоянием десен и обращаться к стоматологу при первых признаках проблемы. Правильное применение мазей может значительно улучшить состояние зубов и десен, сохраняя здоровье на долгие годы.

Преимущества
Преимущество над остальными методами терапии – комплексное воздействие. А также к существенным плюсам относят:
- отличное всасывание активных компонентов в поражённые участки дёсен;
 - устранение патогенных микроорганизмов в ротовой полости;
 - снятие воспалительного процесса, болезненных ощущений, кровоточивости.
 
А также оказывают жаропонижающее действие на местном уровне.
Важно! При запущенной форме пародонтоза мази для лечения недостаточно. Их используют как вспомогательное средство.
Перечень мазей, применяемых для лечения
В аптеках множество препаратов для лечения заболевания. Рассмотрим наиболее действенные и популярные препараты, которые рекомендуют стоматологи.
Мазь от пародонтоза становится все более популярной среди людей, страдающих от заболеваний десен. Многие отмечают, что регулярное применение таких средств значительно улучшает состояние полости рта. Стоматологи подчеркивают, что мазь помогает уменьшить воспаление, облегчает боль и способствует заживлению тканей. Однако важно помнить, что мазь не заменяет профессиональную гигиену и регулярные визиты к стоматологу. Специалисты рекомендуют комбинировать использование мазей с другими методами лечения, такими как ополаскиватели и зубные пасты с антисептическими свойствами. Также стоит обратить внимание на правильное питание и отказ от вредных привычек, что в комплексе поможет сохранить здоровье зубов и десен на долгие годы.

Гепариновая мазь для зубов
Активное вещество – гепарин. Помогает снять воспалительные процессы, улучшает микроциркуляцию, повышает местный иммунитет.
Фото 3. Гепариновая мазь наружного применения от производителя «Нижфарм», антикоагулянтное средство прямого действия для местного применения, объем тубы 25 мл.
Наносить небольшое количество на поражённые участки дёсен 2—3 раза в день. Уже после нескольких применений заметна положительная динамика к выздоровлению.
Траумель при пародонтозе
Лекарство способствует укреплению местного иммунитета, стенок кровеносных сосудов, питает ткани. Стоматологи советуют использовать на ранних стадиях развития заболевания.
Таким способом можно избежать прогрессирования. Медикамент относится к группе гомеопатических средств. В состав входят только натуральные растительные ингредиенты.
Обрабатывать воспалённые дёсны мазью Траумель следует 3 раза в сутки.

Солкосерил
Регулярное применение Солкосерила ускоряет восстановление тканей, стимулирует рост кровеносных сосудов. А также средство обеспечивает защиту от патогенных микроорганизмов.
Действующим веществом выступает депротеинизированный диализат из крови молочных телят.
Использовать Солкосерил следует следующим способом:
- нанести небольшое количество лекарства на кусочек бинта;
 - приложить к поражённым дёснам;
 - держать 15—20 минут.
 
Процедуру проводить 2 раза в сутки.
Левомеколь: как бороться с паталогией
Использовать препарат до полного устранения воспалительного процесса. В составе препарата2 активных вещества: хлорамфеникол и метилурацил.
Эти компоненты в комплексе оказывают антибактериальное действие, способствуют регенерации тканей, повышают местный иммунитет. При лечении пародонтоза с помощью Левомеколя требуется делать аппликации 2 раза в сутки. Продолжительность терапии зависит от степени тяжести патологии.
Линкомицин
Активный ингредиент – вещество с одноимённым названием линкомицин. Противомикробный препарат, устраняет воспаление дёсен при пародонтозе.
Использовать Линкомицин следует 2 раза в день до полного исчезновения симптомов.
Процедура нанесения
Лекарственные средства при лечении предназначены для наружного использования методом компресса или аппликации. Для максимальной эффективности лекарство наносят между приёмами пищи, когда наблюдается умеренное слюноотделение. Проводить процедуры лучше за 30 минут до или после еды.
Важно! Перед тем как начать лечение мазью, посоветуйтесь со специалистом. Он предложит эффективный препарат с учётом индивидуальных особенностей протекания болезни.
Правила применения кремов
Правила применения мазей при пародонтозе:
- нанести небольшое количество препарата на бинт;
 - наложить на дёсны;
 - подождать 15—20 минут.
 
Смывать лекарство не требуется. При появлении нетипичных дискомфортных ощущений требуется прополоскать ротовую полость и прекратить дальнейшее лечение, обратиться к доктору, который поменяет схему терапии.
Недостатки кремов
Главным и единственным недостатком кремов является их жирная основа. Поскольку такая консистенция замедляет проникновение активных компонентов в очаги поражения.
Полезное видео
Посмотрите видео о применении Линкомицина. Это одно из лучших средств в лечении воспалительных и гнойных процессов.
Заключение
Мази и крема при пародонтозе – эффективный способ лечения. Они помогают избавиться от воспаления, болевых ощущений, других неприятных симптомов. Но только регулярное и правильное использование позволяет достичь желаемого результата – полного выздоровления.
Вопрос-ответ
Какая мазь лучше при пародонтозе?
Гепариновая мазь улучшает микроциркуляцию в деснах, стимулируя тем самым их кровоснабжение и питание. Благодаря такому эффекту воспаление при пародонтозе проходит быстрее и спадает отечность.
Как стоматологи лечат пародонтоз?
При лечении применяется шинирование (связка) зубов специальными стекло-волоконными нитями, мостами с коронками. Шинирование зубов при пародонтозе позволяет скрепить расшатывающиеся зубы и таким образом стабилизировать состояние пародонтальной связки, что замедляет разрушение костной ткани.
Какой самый лучший стоматологический гель?
Наиболее известными представителями, которые рекомендуются стоматологами чаще всего, являются гели Метрогил Дента, Асепта, Холисал, Солкосерил и Камистад.
Как укрепить десны от пародонтоза?
Укрепление десен. Помогут физиотерапевтические процедуры — КУФ, электрофорез, дарсонвализация, иглорефлексотерапия, массаж. Прием витаминно-минеральных комплексов, обработка десен лекарственными средствами: Троксевазином, Центрумом, Солкосерилом и т. п.
Советы
СОВЕТ №1
Регулярно посещайте стоматолога для профилактических осмотров. Даже если вы используете мазь от пародонтоза, важно, чтобы специалист оценил состояние ваших зубов и десен, чтобы предотвратить дальнейшие проблемы.
СОВЕТ №2
Следуйте инструкциям по применению мази. Неправильное использование может снизить эффективность лечения. Обязательно ознакомьтесь с рекомендациями вашего стоматолога и инструкцией к препарату.
СОВЕТ №3
Поддерживайте гигиену полости рта. Чистите зубы не менее дважды в день и используйте зубную нить. Это поможет уменьшить количество бактерий и улучшить состояние десен, что в сочетании с мазью даст лучший результат.
СОВЕТ №4
Обратите внимание на свое питание. Употребление продуктов, богатых витаминами и минералами, особенно витамина C, может способствовать укреплению десен и улучшению общего состояния полости рта.







