Лечение пародонтоза антибиотиками целесообразно, когда присутствует бактериальная инфекция и пародонтоз находится в тяжёлой стадии.
Для разных групп инфекций существуют определённые разновидности лекарств.
Группы препаратов, которые применяются при лечении пародонтоза
Врач назначает медикаменты широкого спектра действия тетрациклинового ряда и группы макролидов.
Важно! Стоматолог назначает приём антибиотиков при пародонтозе, как правило, после изучения рентгеновского снимка и результатов лабораторных анализов (мазок из полости рта для определения чувствительности к определённой группе средств).
Врачи отмечают, что воспаление десен, связанное с пародонтозом, требует комплексного подхода к лечению. Одним из ключевых аспектов является назначение антибиотиков, которые помогают справиться с инфекцией и снизить воспаление. Среди наиболее эффективных препаратов специалисты выделяют амоксициллин, который обладает широким спектром действия и хорошо переносится пациентами. Также часто рекомендуются тетрациклины, такие как доксициклин, которые не только борются с бактериями, но и способствуют восстановлению тканей десен. Важно, чтобы лечение проводилось под контролем стоматолога, который сможет правильно подобрать дозировку и курс терапии, учитывая индивидуальные особенности пациента. Врачи подчеркивают, что антибиотики должны дополняться гигиеническими процедурами и профессиональной чисткой зубов для достижения наилучших результатов.

Применение антибиотиков с гелями и мазями для полости рта
Противовоспалительные гели и мази (метрогил дента, троксевазин, элюгель, холисал), а также антисептические растворы для полоскания (хлоргексидин, мирамистин) действуют в комплексе с медикаментами и усиливают эффект от лечения.
Внимание! Перед применением препаратов стоматолог проводит удаление налёта и зубного камня и, при необходимости, чистку десневых карманов.
Последствия неправильного применения антибиотиков
- Неконтролируемый приём может нарушить полезную микрофлору желудочно-кишечного тракта организма.
 - Приём алкоголя совместно с некоторыми веществами способен привести к угнетению ЦНС.
 - При длительном применении необходим контроль функции печени и почек. При выявлении нарушений со стороны этих органов нужно снизить дозировку препарата и увеличить интервалы приёма.
 - Превышение рекомендуемой дозировки может усилить побочные эффекты, спровоцировать появление аллергических реакций.
 
Важно! Назначить определённый препарат, его дозировку и длительность приёма может только врач! Приём столь сильнодействующих средств без квалифицированной консультации может привести к тяжёлым последствиям для здоровья.
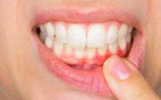
Воспаление десен — распространенная проблема, с которой сталкиваются многие люди. Симптомы, такие как кровоточивость, отечность и неприятный запах изо рта, могут значительно ухудшить качество жизни. Многие пациенты отмечают, что игнорирование этих симптомов приводит к ухудшению состояния и развитию пародонтоза. В таких случаях важно обратиться к стоматологу для диагностики и лечения.
При пародонтозе часто назначаются антибиотики, которые помогают справиться с инфекцией и воспалением. Наиболее эффективными считаются амоксициллин, метронидазол и доксициклин. Эти препараты помогают уничтожить патогенные бактерии, способствующие развитию заболевания. Однако важно помнить, что самолечение может быть опасным, и назначение антибиотиков должно проводиться только врачом. Кроме того, комплексный подход, включающий гигиену полости рта и регулярные визиты к стоматологу, играет ключевую роль в успешном лечении и профилактике заболеваний десен.

Какими антибиотиками можно лечить пародонтоз у взрослых
Перечень наиболее популярных и эффективных препаратов.
Доксициклин
- Лекарство тетрациклиновой группы.
 - Является бактериостатиком (блокирует рост и размножение бактерий).
 - Дозировка для взрослых: начинают с 200 мг в сутки в первый день лечения (принимается 2 раза по 100 мг). Далее — по 100—200 мг в сутки в зависимости от степени тяжести заболевания.
 - Максимальная суточная доза — 300 мг/сутки.
 

Эрициклин
- Комбинированное средство (окситетрациклин и эритромицин) групп тетрациклина и макролидов.
 - Обладает бактериостатическим эффектом.
 - Дозировка для взрослых: принимают по одной капсуле (0,25 г) через каждые 4-6 часов спустя полчаса после еды.
 - Максимальная суточная доза – 2 г (8 капсул).
 
Азитромицин
- Вещество группы макролидов, имеет торговое название Сумамед.
 - Обладает бактериостатическим действием, в высокой концентрации – бактерицидным (убивает бактерии).
 - Формы выпуска, применяемые у взрослых: таблетки и капсулы.
 - Дозировка для взрослых: принимают капсулы или таблетки раз в сутки за час до еды или спустя 2 часа после. Таблетки выпускают 125 и 500 мг, капсулы — 250 мг.
 - Точную дозировку выписывает врач.
 
Рондомицин
- Полусинтетическое средство тетрациклинового ряда.
 - Обладает бактериостатическим эффектом.
 - Дозировка для взрослых: по 300 мг 2 раза в день во время или сразу после еды.
 
Линкомицин
- Относится к группе линкозамидов.
Фото 1. Упаковка препарата Линкомицин, 20 капсул, 250 мг, производитель «Синтез» .
 - Линкомицин при пародонтозе имеет бактериостатические или бактерицидные свойства в зависимости от концентрации.
 - Дозировка для взрослых: по 500 мг (2 капсулы) 3-4 раза в сутки.
 
Справка! Лечение подобными сильнодействующими веществами обычно дополняется ультразвуковой и физиотерапией для усиления кровообращения в месте воспаления.
Полезное видео
Посмотрите видео, в котором рассказывается о методах лечения пародонтоза.
Стоит ли использовать антибиотики при пародонтозе в стоматологии?
Своевременный и контролируемый приём антибиотиков в сочетании с дополнительными методами консервативного лечения пародонтоза значительно снижают риск проведения операции.
Для пациента важно вовремя обратиться за медицинской помощью и чётко следовать всем лечебным рекомендациям стоматолога.
Вопрос-ответ
Какой антибиотик самый сильный при воспалении десен?
Метронидазол: особенно эффективен против анаэробных бактерий, часто встречающихся при инфекциях дёсен. Амоксициллин: широко используемый антибиотик при различных бактериальных инфекциях, в том числе поражающих дёсны.
Как снять воспаление десен при пародонтозе?
Растворы для полоскания с содой – доступный вариант при пародонтите, который устраняет воспаление, удаляет микробный налет. Ополаскиватели с содержанием фтора уменьшают воспаление, отек, покраснение, укрепляют эмаль. Отвар на основе коры дуба снижает выраженность признаков воспаления, ускоряет регенерацию тканей.
Какой антибиотик проникает в костную ткань?
Действие антибиотиков разное. Они могут накапливаться в костной ткани («Тетрациклин», «Линкомицин», «Метронидазол»), блокировать действие ферментов бактерий («Амоксиклав», «Амоксициллин»), нарушать образование опорного полимера клеточной стенки («Оксациллин»), нарушать синтез белка («Азитромицин»).
Советы
СОВЕТ №1
Перед началом приема антибиотиков обязательно проконсультируйтесь с врачом. Только специалист сможет определить, какие именно препараты подойдут вам, учитывая индивидуальные особенности организма и степень заболевания.
СОВЕТ №2
Не забывайте о важности комплексного лечения. Антибиотики могут быть эффективны, но для достижения наилучших результатов необходимо сочетать их с другими методами, такими как профессиональная гигиена полости рта и использование антисептических средств.
СОВЕТ №3
Следите за своим состоянием во время лечения. Если вы заметили побочные эффекты или ухудшение состояния десен, немедленно обратитесь к врачу для корректировки терапии.
СОВЕТ №4
После завершения курса антибиотиков уделите внимание восстановлению микрофлоры полости рта. Используйте пробиотики и придерживайтесь сбалансированной диеты, чтобы поддержать здоровье десен и предотвратить рецидивы.




