Бутылочный кариес — это форма заболевания молочных зубов. Она встречается у малышей в возрастном диапазоне до трех лет. Это болезнь зубов имеет множество названий. Среди них: кефирный, молочный и ясельный кариес. Данные названия дают понятие о причинах разрушения зубов у малышей.
Существует несколько базовых причин появления молочного кариеса у детей. Это неполноценная зубная гигиена и нарушенный режим питания. В данном случае проблема поправима. Своевременное оказание помощи может спасти зубы ребенка от дальнейшего разрушения. Главное здесь — не пренебрегать появлением кариеса. Ведь всем известно, что молочные зубы не вечны. Так, если запустить такую форму заболевания, то есть риск выпадения «настоящих» зубов ребенка.
Профилактикой возникновения молочного кариеса считается комплексный уход за полостью рта. Также стоит поддерживать надлежащую гигиену молочных зубов. Для этого исключите потребление ребенком углеводной пищи. Особенно вечером, когда выработка слюны уменьшена. В такое время зубы ребенка наименее защищены.
С целью понять все особенности этой детской болезни стоит ее рассмотреть. Важно узнать симптоматику болезни и методы лечения детских зубов.
Ранняя форма болезни зубов – кариес, поражающая молочный зубы малышей от 2 до 3 лет, называется бутылочной. Развиться бутылочный кариес может непосредственно после прорезывания первых зубов или спустя некоторое время после их прорезывания.
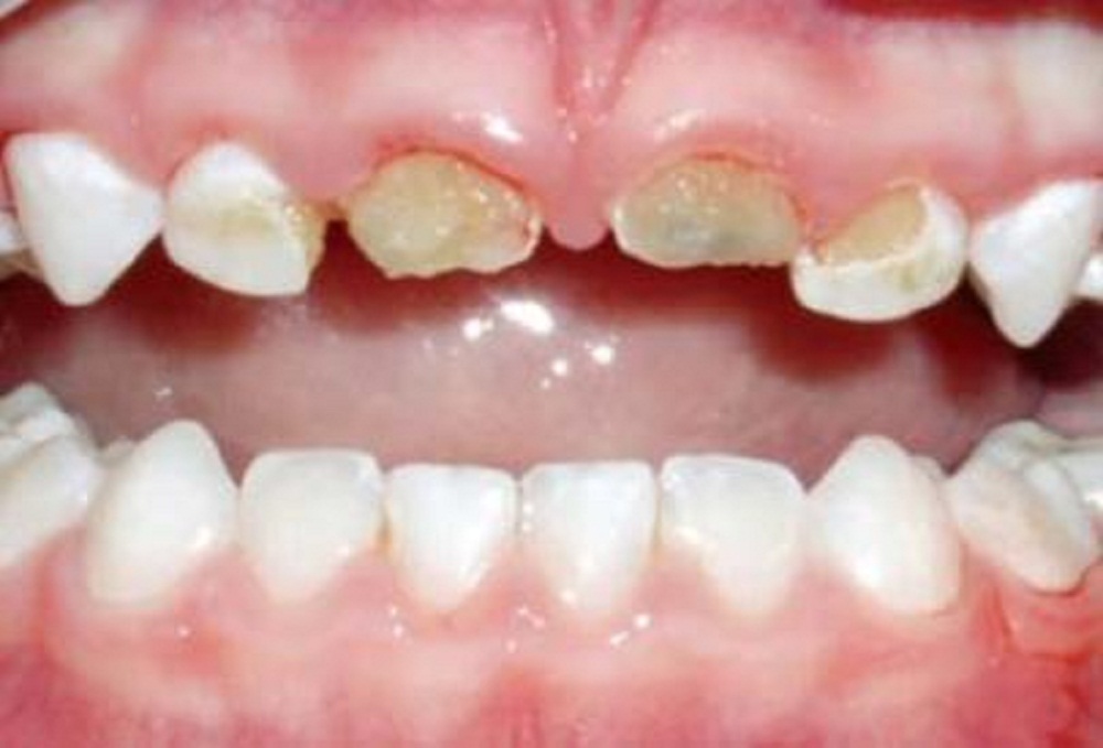
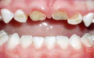
На фотографии хорошо видно поражение молочных зубов ребенка бутылочным кариесом.
К основным характеристикам заболевания относят:
- ограниченную локализацию (преимущественно передние зубы, верхнего зубного ряда);
- поражение нескольких зубов;
- быстрое прогрессирование деструкционного процесса, обусловленное незрелостью зубных тканей;
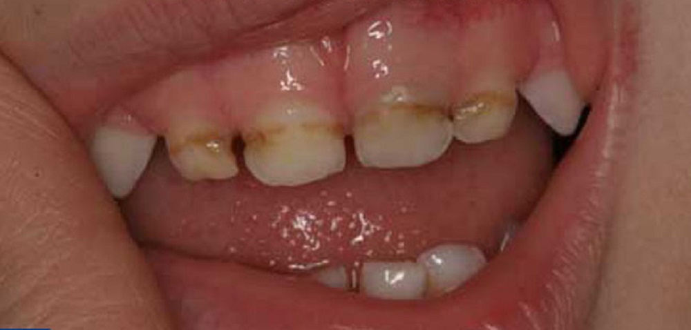
- развитие циркуляционной формы кариозного поражения (патологические изменения зубных тканей имею вид кольца, охватывающего шейку зуба).
На фото показана циркуляционная форма кариеса, и очень хорошо видно, как зуб охвачен поражением прямо над десной, словно кольцом.
Этиология болезни
Бутылочный кариес развивается, как правило, у малышей, находящихся на искусственном вскармливании. Причины возникновения болезни принято разделять на внешние и внутренние.
К внешним факторам относятся:
- недостаточная гигиена ротовой полости малыша;
- нарушение техники искусственного вскармливания;
- агрессивное химическое воздействие искусственных смесей;
- кариоесогенные микроорганизмы.
К внутренним факторам, провоцирующим бутылочный кариес, относятся:
- нарушение в работе иммунной и эндокринной систем;
- генетическая предрасположенность;
- анатомические патологии строения зубочелюстной системы;
- нарушение функционирования слюнных желез;
- специфический состав слюны.
Мнение стоматолога.
Причины бутылочного кариеса те же, что и у других кариозных поражений. Здесь имеет место разрушение тканей зубов. Всему причина – кислоты, которые размножаются в ротовой полости. Появляются бактерии, которые влияют на развитие болезни. Пища для этих бактерий – остатки углеводов. Именно они оседают на зубах малыша после кормления.
Врачи отмечают, что бутылочная форма кариеса, чаще всего встречающаяся у детей, имеет специфическую этиологию. Основной причиной развития этого заболевания является недостаточная гигиена полости рта, а также частое употребление сладких напитков из бутылочек. Симптоматика включает в себя появление белых пятен на зубах, которые со временем могут прогрессировать в более серьезные поражения. Важно, что на начальных стадиях кариес может быть безболезненным, что затрудняет его раннюю диагностику. Методы лечения варьируются от реминерализации до пломбирования, в зависимости от степени поражения. Врачи подчеркивают необходимость регулярных осмотров у стоматолога и обучения детей правильной гигиене, чтобы предотвратить развитие бутылочной формы кариеса.

Влияние иммунной системы на развитие бутылочного кариеса
Снижение функции иммунитета становиться толчком, провоцирующим рост кариесогенной микрофлоры. Нарушать функцию иммунной системы способны различные детские заболевания, имеющие инфекционную природу, такие как отит, коклюш, скарлатина, корь, ОРВИ и прочие.
На фото показаны дети с сильным иммунитетом, организм которых способен противостоять бактериям, а значит вероятность развития кариеса ничтожно мала.
Защитные силы организма малыша снижаются вследствие редких прогулок по свежему воздуху, наличия хронических патологий (рахит, малокровие, атопия и т. д.), недостаточном, бедном витаминами и микроэлементами питании. Кроме этого, снижение иммунитета влечет за собою снижение количества и изменение химического состава слюны.
У здоровых детей иммунитет способен бороться с бактериями. Но из-за развития бактерий в ротовой полости защитные силы слабнут. За счет недостающий бактерицидных свойств слюны у ребенка нарушается иммунитет. Может возникнуть ситуация, что защитные свойства слюны не противостоят болезни. В таком случае не поможет даже качественная гигиена рта. Как результат, может возникнуть сахарный диабет и кишечная инфекция.
Данные условия способствуют замедлению развития кариеса. Это позволит выиграть время и показать ребенка стоматологу. В этом случае молочный зуб может остаться невредимым.
Гигиенические мероприятия и их влияние на развитие кариеса бутылочной формы
Неправильная или недостаточная гигиена ротовой полости служит одним из основных факторов, провоцирующих развитие кариеса у детей. Направленная механическая чистка зубного ряда при помощи зубной щетки позволяет удалить мягкий бактериальный налет. Если гигиена рта малыша является недостаточной, то скапливаемый мягкий зубной налет становиться идеальной средой для развития кариесогенных микроорганизмов.
Фотография демонстрирует правильный подход родителей к вопросам гигиены ротовой полости малыша: ребенка надо учить следить за здоровьем зубов на личном примере.
Важно.
Нарушение правил чистки зубов благоприятствует скорейшему развитию бактерий. Впрочем, многое зависит от способностей слюны противостоять внешней угрозе. Бывают случаи, когда такая зашита не выражена. Здесь даже качественная гигиена полости рта может оказаться тщетной.
Бутылочная форма кариеса, также известная как “кариес бутылочного питания”, вызывает много обсуждений среди стоматологов и родителей. Эта форма кариеса чаще всего встречается у детей, которые длительное время сосут бутылочки с сахаросодержащими напитками. Этиология заболевания связана с воздействием сахара на зубную эмаль, что приводит к деминерализации и образованию кариозных полостей. Симптоматика может варьироваться от легкого потемнения зубов до выраженной боли и дискомфорта. Важно отметить, что ранняя диагностика и лечение играют ключевую роль в предотвращении осложнений. Методы лечения включают реминерализацию, пломбирование и, в тяжелых случаях, удаление пораженных зубов. Профилактика заключается в ограничении сладких напитков и регулярной гигиене полости рта, что поможет сохранить здоровье зубов на долгие годы.
Питание малыша
Если в меню ребенка преобладают углеводы, продукты с кислой реакцией (молочнокислые продукты и соки) и нет достаточного количества твердой пищи, то существует вероятность развития кариозного поражения.
Возникновению бутылочного кариеса также способствуют ночные кормления (через бутылочку), так как под воздействием богатой углеводами смесью зубная эмаль деминерализуется.
Отучив ребенка от ночных кормлений, вы снижаете вероятность развития кариеса. Рацион малыша во многом влияет на возможность возникновения этой болезни. Опасность представляют сладкие каши, соки и кондитерские изделия. Именно они способствуют размножению микрофлоры в ротовой полости.
На картинке ярко проиллюстрирована одна из самых главных причин ясельного кариеса – кормление из бутылочки, ведь чаще всего болезнь встречается именно у малышей, находящихся на искусственном вскармливании.
Недостаток грубой пищи – еще одна причина для возникновения заболевания. Применение в пищу моркови и яблок позволяет стирать зубной налет. Не забывайте о важности потребления продуктов с высоким содержанием фосфора. Сюда же можно отнести важность употребления кальция.
Высокое содержание данных элементов содержится в рыбе и молочных продуктах.
Важным фактором для предотвращения болезни есть обеспечение организма питьевой водой. При недостатке в питьевой воде фтора зубная эмаль повреждается. Происходит это за счет влияния агрессивных кислот.
На фотографии изображены продукты, которые должны быть в рационе малыша, поскольку только правильное питание поможет предотвратить развитие болезней зубов в раннем возрасте.
Наследственная предрасположенность
Стоит отметить, что развитие бутылочного кариеса может быть спровоцировано наследственной предрасположенностью, а также наличием аномалий строения зубочелюстной системы (мелкое преддверье, аномалии уздечки, неправильный прикус). Кроме того, стоматологические заболевания у родителей (гингивит, кариес. пародонтит) также могут быть источником заражения малыша, так как ребенок тесно контактирует со своим окружением.
На фотографии изображен ген, ведь вероятность развития кариеса у ребенка увеличивается в разы, если имеется генетическая предрасположенность.
Важно понимать, что даже при генетической предрасположенности должна соблюдаться гигиена. Здоровый рацион позволит снизить вероятность развития кариеса у ребенка. Не пренебрегайте данным фактором при возможном возникновении болезни.
Симптоматика бутылочного кариеса
Самостоятельно определить начальные признаки болезни невозможно, так как изначально бутылочный кариес проявляется в виде белесых пятен на зубах и рыхлостью эмали. Как правило, родители начинают проявлять беспокойство при возникновении у малыша ночной зубной боли и повышению чувствительности зубов к механическому, химическому и термическому воздействию. Болезненные ощущения также возникают при поколачивании или надавливании на пораженные зубы.
На фотографии показан один из симптомов бутылочного кариеса – ночная зубная боль и вызванный ею плач.
Разъедание эмали, в данном случае, происходит из-за появления бактерий. В процессе разложения они выделяют кислоты, которые разъедают эмаль. Это можно заметить при визуальном осмотре ротовой полости малыша. На первой стадии кариеса на зубах появляются шероховатости. В скором времени они покрываются коричневыми пятнами.
Методы лечения
Поражение бутылочным кариесом молочных зубов чревато тотальной потерей зубного ряда, поэтому при малейших признаках развития кариеса необходимо обратиться к детскому стоматологу. Методы терапии бутылочного кариозного поражения определяются в зависимости от глубины поражения тканей зуба.
На фотографии изображен профилактический осмотр ребенка стоматологом с использованием стоматологического зеркала.
Начальные стадии болезни успешно лечатся при помощи бесконтактных методов, таких как озоно- и лазеротерапия или инфильтрация. Если кариозное поражение распространилось на глубокие слои дентина и пульпу, то прибегают к консервативным методам лечения, а именно — сверлению.
Для предотвращения заболевания следует вовремя начать профилактику. Профилактические мероприятия следует проводить непосредственно после прорезывания зубов. Профилактика болезни заключается в рациональном питании, включающем в себя твердую пищу, ликвидации ночных кормлений и систематической гигиене ротовой полости.
Заметив малейшие поражения бутылочным кариесом зубов ребенка, стоит обратиться к специалисту. Стоматолог назначит метод терапии заболевания в зависимости от степени поражения зубов. Начальную стадию кариеса легко преодолеть за счет бесконтактной терапии. Это может быть инфильтрация или озонотерапия. В случае распространения кариеса надесна, применяют сверление.
Самолечение бутылочного кариеса категорически воспрещено. Важно понимать, что перед вами ребенок. А это значит, что его организм может не справиться с самолечением. Не нужно добавлять в пищу фтор, кальций и другие добавки. Здесь важна помощь квалифицированного специалиста. Только он сможет назначить полноценную терапию для ребенка.
Родителям важно понимать, что лечить кариес нужно всегда! Раннее разрушение зубов малыша приводит к тяжелым последствиям в дальнейшем. Как результат, может возникнуть дефект развития челюсти. Это способствует появлению шепелявости у ребенка. Более того, возможны и другие виды нарушения дикции малыша. Да и внешний вид гнилых зуб – это совсем не эстетично.
Совет стоматолога.
При обнаружении кариеса, покажите ребенка детскому стоматологу. Важно отметить, что лечение можно проводить на любой стадии болезни. Правда, при глубокой стадии детского кариеса могут возникнуть осложнения. Это объясняется повреждением пульповой камеры тканями.
Метод лечения детского кариеса во многом похож на взрослое лечение. Сложности в лечении могут возникнуть только из-за чрезмерной активности малыша. Ведь ребенка сложно заставить сидеть в стоматологическом кресле.
На фотографии врач-стоматолог проводит лечение бутылочного кариеса методом лазеротерапии.
Часто детские стоматологи для проведения профессиональных процедур используют наркоз. Такой радикальный способ лечения зубов может напугать родителей. Вот почему так важно распознать болезнь на ранних стадиях.
Появление белого пигментированного пятна на зубе – возможно вылечить дома. Это начальный этап детского кариеса. В домашних условиях можно использовать гели, специально предназначенные для лечения кариеса. Но перед их использованием непременно проконсультируйтесь со специалистом.
Более эффективным способом лечения на ранних стадиях есть профессиональное вмешательство. Стоматолог обрабатывает пористую поверхность эмали инфильтрантами. Данная процедура занимает около часу времени. Как правило, работа над поврежденным зубом проводится под обезболиванием.
Видео: Здоровье зубов у новорожденных.

Детский врач стоматолог рассказывает о симптомах бутылочного кариеса у детей, о причинах его появления и способах избежать заболеваний.
Видео: Забота о зубах ребенка с момента зачатия.

Пища матери во время беременности, режим кормления новорожденного, строгое соблюдение гигиены полости рта – все это влияет на здоровье зубов маленького ребенка.
Вопрос-ответ
Бутылочный кариес причины?
Причины появления бутылочного кариеса. В основе бутылочного кариеса, как и любого другого вида кариеса, лежат очаговые скопления бактериальной флоры. Большинство врачей сходятся во мнении, что причиной развития данного вида кариеса является кормление ребенка из бутылочки перед дневным или ночным сном.
Как бороться с бутылочным кариесом?
Для борьбы с бутылочным кариесом важно соблюдать гигиену полости рта у детей: регулярно чистить зубы фторсодержащей пастой, избегать длительного контакта зубов с сахаросодержащими напитками и не давать ребенку засыпать с бутылочкой. Также рекомендуется посещать стоматолога для профилактических осмотров и консультаций.
Как лечить кариес детских бутылочек?
Лечение бутылочной гнили. В лёгких случаях стоматолог может удалить кариес с помощью простой фторидной чистки. В более тяжёлых случаях стоматологу может потребоваться запломбировать кариозные полости коронкой из нержавеющей стали или даже удалить поражённые зубы.
Как понять, что у ребенка бутылочный кариес?
Бутылочный кариес у ребенка можно заподозрить, если на зубах появляются белые или коричневые пятна, а также если наблюдаются глубокие кариозные поражения, особенно на передних зубах. Часто это связано с частым контактом зубов с сахаросодержащими жидкостями, такими как молоко или сок, особенно если ребенок засыпает с бутылочкой. Важно обратиться к стоматологу для диагностики и лечения при первых признаках.
Советы
СОВЕТ №1
Регулярно посещайте стоматолога для профилактических осмотров. Это поможет выявить начальные стадии бутылочной формы кариеса и предотвратить его развитие.
СОВЕТ №2
Обратите внимание на гигиену полости рта. Чистите зубы дважды в день и используйте зубную нить, чтобы удалить остатки пищи и налет, особенно в области, где часто образуется кариес.
СОВЕТ №3
Сократите потребление сладких и кислых продуктов, которые могут способствовать развитию кариеса. Вместо этого выбирайте здоровые перекусы, такие как фрукты и овощи.
СОВЕТ №4
Используйте фторсодержащие зубные пасты и ополаскиватели, которые помогут укрепить эмаль и снизить риск возникновения бутылочной формы кариеса.









