Что делать, если болит коронка зуба? Три причины для возникновения боли под коронкой. Боль, флюс и кистозное образование как симптомы стоматологических заболеваний.
Некорректное стоматологическое лечение: периодонтит и воспаление корня зуба. Как в корневом канале образуются поры? Симптомы загноения пульпы и чем это опасно. Профилактика появления болевых ощущений после лечения. Перфорирование стенок канала: причины возникновения и как этого избежать. Боль, вызываемая обломком стоматологического инструмента.
Ошибки при подготовке зуба к протезированию как причина возникновения боли под коронкой зуба. Признаки развития воспаления. Как проявляется острый воспалительный процесс и чем это чревато. Снижение иммунитета как причина повторного развития воспаления. Методы лечения боли под коронкой зуба.
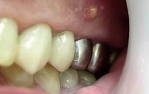
Коронки являются инородным предметом в ротовой полости человека, поэтому к зубной боли, возникающей под коронкой, следует отнестись с особым вниманием. Помимо болевых ощущений может наблюдаться воспаление десневой ткани и развитие периодонтита, сопровождающееся образованием флюса или свища. Для хронического течения заболевания характерно наличие кистозного образования.
Этиология
Среди основных факторов, вызывающих возникновение боли под коронкой, выделяют:
- некорректное стоматологическое лечение;
- перфорирование стенок канала;
- наличие обломков стоматологических инструментов в корневом ходе.
Врачи отмечают, что боль под коронкой зуба может возникать по нескольким причинам. Одной из основных является развитие кариеса под коронкой, что приводит к воспалению пульпы. Также причиной может быть неправильная установка коронки, что вызывает дискомфорт и давление на зуб. В некоторых случаях боль может быть связана с парадонтитом или инфекцией десен.
Для лечения боли специалисты рекомендуют провести диагностику, чтобы определить точную причину. В зависимости от ситуации, может потребоваться повторное лечение коронки, удаление кариеса или даже эндодонтическое лечение. Важно также обратить внимание на гигиену полости рта и регулярные профилактические осмотры у стоматолога, чтобы предотвратить повторное возникновение проблемы. Врачам важно учитывать индивидуальные особенности пациента и предлагать наиболее подходящие методы лечения.

Некорректное стоматологическое лечение
Основным осложнением некачественного лечения является развитие периодонтита или воспаления коня зуба. Болезнь развивается вследствие неправильной пломбировки или неполного заполнения корневых каналов пломбировочным материалом. Периодонтальный процесс, как правило, является следствием халатности или недостаточной квалификации лечащего стоматолога. К периодонтиту приводит также неплотное размещение в корневом канале пломбировочного материала, то есть возникает следующая ситуация: канал полностью заполнен пломбировочным материалом, но само вещество утрамбовано неплотно, в результате чего неплотной утрамбовки в корневом канале могут образовываться поры.
Инфекционный процесс может развиться и вследствие неполного удаления пульпы из просвета канала. Загноение пульпы сопровождается резкой зубной болью и чревато потерей зуба.
Качественная подготовка зуба перед установкой коронки должна включать в себя полный цикл операций начиная от прочистки и пломбировки корневых каналов и заканчивая рентген-контролем, позволяющим гарантировать отсутствие болевых ощущений в дальнейшем.
Перфорирование стенок канала
Неправильная инструментальная обработка корневых каналов достаточно часто становиться причиной образования в их стенках отверстий искусственного происхождения. Направление стоматологического инструмента перпендикулярно его ходу приводит к просверливанию тонких стенок корневого канала.
Искусственные отверстия в стенках каналов могут образоваться и в результате неправильного закрепления штифта. Рентген-контроль позволяет определить погрешности в закреплении штифта и обнаружить искусственные отверстия.
Многие пациенты сталкиваются с болью под коронкой зуба, и мнения о причинах этого дискомфорта варьируются. Некоторые считают, что причиной могут быть некачественные материалы, использованные при установке коронки, или же неправильная форма, которая вызывает давление на десну. Другие указывают на возможность наличия кариеса под коронкой или воспаления пульпы.
Методы лечения зависят от причины боли. В случае кариеса может потребоваться повторное лечение зуба и замена коронки. Если причина в воспалении, стоматолог может назначить антибиотики или провести эндодонтическое лечение. Важно также учитывать, что иногда боль может быть связана с неправильным прикусом, и в таких случаях может понадобиться коррекция. В любом случае, консультация с квалифицированным стоматологом поможет определить точную причину и выбрать оптимальный метод лечения.

Обломки стоматологического инструмента
Неправильные врачебные манипуляции при расширении и пломбировке корневых каналов могут стать причиной обламывания стоматологического инструмента, как следствие зубной боли. Ввиду хрупкости и тонкости стоматологического инструмента работа с ним требует тщательного соблюдения техники, а также внимания и определенных навыков работы. Кривизна каналов запрещает осуществлять прокручивание стоматологического инструмента более 120°, так как такое прокручивание чревато обламыванием инструмента и застреванием его обломков в корневом канале.
Необходимо следить за тем, чтобы стоматолог не использовал этот инструмент повторно, так как материал, из которого он изготавливается, очень хрупкий и в процессе расширения корневых каналов испытывает значительные нагрузки, поэтому его повторное использование чревато образованием микротрещин и как следствие обламыванием инструмента.
Если каналы труднопроходимы, то в результате их обработки стоматологический инструмент может обломаться именно из-за сложности осуществления процедуры, поэтому при расширении и пломбировке труднопроходимых каналов лечащему врачу следует быть особенно внимательным и аккуратным.
В любом случае обломки стоматологического инструмента хорошо видны на рентгеновском снимке.
Подготовка зуба перед протезированием: как распознать некачественное стоматологическое лечение
Так как основной причиной возникновения зубной боли под коронкой являются огрехи в подготовке зуба к протезированию, то следует научиться распознавать некачественное лечение. Боль в области накрытого коронкой зуба практически всегда свидетельствует о наличии воспалительного процесса, а сами болевые ощущения напрямую связаны со скоплением гноя, который и давит на окружающую его ткань. Воспалительный процесс может носить хронический характер, в таком случае боль проявляется только при механическом воздействии на пораженный зуб, например, при надкусывании твердой пищи или при надавливании.
Подвижность зуба, образование флюса или отек десневой ткани также свидетельствуют о развивающемся воспалении.
Острый воспалительный процесс может проявиться в виде свища. Образование свища также сопровождается припухлостью окружающей его околозубной ткани и щеки. Гноеобразование в свище чревато его прорывом и выходом содержимого в ротовую полость. Как правило, прорыв свища наблюдается в случае снижения иммунного статуса больного, то есть после перенесенного вирусного или инфекционного заболевания или наличия хронического очага инфекции в организме. После прорыва свища он постепенно затягивается, но при резком снижении иммунитета наблюдается повторное развитие воспаления.
Воспалительный процесс под коронкой приводит к развитию периодонтита, хроническое заболевание провялятся в виде кисты зуба.

Методы лечения боли
Лечение боли под коронкой требует времени и перепротезирования. Перед тем как приступить к перепротезированию проводят комплексное лечение, направленное на купирование воспалительного процесса. Противовоспалительная терапия осуществляется только после снятия старых пломб, то есть после распломбирования корневых каналов. После того как воспалительный процесс купирован переходят к новому пломбированию корневых каналов и установке коронки. Каждый этап лечения должен сопровождаться рентген-контролем.
Вопрос-ответ
Как убрать зубную боль под коронкой?
Чаще всего врачи рекомендуют: Кетанов, Ибупрофен, Нурофен, Дексалгин. Принимать их лучше после консультации стоматолога и в соответствии с инструкцией. Также помогают регулярные (интервал 2-3 часа) полоскания отварами ромашки, шалфея, календулы и раствором из соли и соды.
Нормально ли, что коронка может болеть спустя годы?
Коронки довольно прочны, но не прослужат всю жизнь. При хорошем уходе за полостью рта они прослужат около 10 лет. Поэтому, если коронки установлены более 10 лет назад и вызывают боль или повышенную чувствительность зубов, пора обратиться к стоматологу.
Почему может болеть зуб под коронкой без нерва?
Зуб без нерва может болеть из-за неправильного лечения каналов, инфекции, воспаления в окружающих тканях (периодонтита) или проблем с пломбой/коронкой. Основные причины: плохо запломбированные каналы → инфекция, киста. Завышенная пломба/коронка → травма тканей, боль при накусывании.
Какой антибиотик при воспалении зуба под коронкой?
Наиболее часто в таких ситуациях применяются “Амоксиклав”, “Ципролет” и “Аугментин”. В дополнение к антибиотикам при зубной боли и воспалении врач может назначить препараты, такие как “Аркоксиа” и “Лоратодин”.
Советы
СОВЕТ №1
Обратитесь к стоматологу для диагностики. Если вы испытываете боль под коронкой, важно как можно скорее посетить специалиста. Он сможет определить причину боли, будь то инфекция, повреждение зуба или неправильная установка коронки.
СОВЕТ №2
Не игнорируйте симптомы. Если боль усиливается или сопровождается отеком, неприятным запахом изо рта или повышенной чувствительностью, это может указывать на серьезные проблемы, требующие немедленного вмешательства.
СОВЕТ №3
Следите за гигиеной полости рта. Регулярная чистка зубов и использование зубной нити помогут предотвратить накопление бактерий и снизят риск возникновения воспалительных процессов под коронкой.
СОВЕТ №4
Обсудите с врачом варианты лечения. В зависимости от причины боли, стоматолог может предложить различные методы лечения, включая удаление коронки, лечение корневых каналов или установку новой коронки. Не стесняйтесь задавать вопросы и уточнять все детали.

