Прикус – взаимоотношение двух зубных рядов при смыкании и верхней, нижней челюстей. Правильный прикус у человека придает лицу гармоничность, делает улыбку красивой, а процесс пережевывания еды эффективным. Но по статистике правильный прикус зубов у людей встречается лишь в 10 % случаев. Так как формирование челюсти происходит в детстве, очень важно своевременно выявить аномалию и предотвратить возникновение проблем с прикусом и зубным рядом. Профилактика аномалий прикуса ребенка и проблем с зубами – регулярные походы к стоматологу. Здоровые, ровные зубы и красивая улыбка – предмет гордости. И для того чтобы ей обладать недостаточно объяснений ребенку что такое гигиена рта и ввести ограничение сладостей.
Неправильный прикус – это не только эстетический недостаток, он может вызывать серьезные заболевания зубочелюстной, пищеварительной, дыхательной систем. Также может спровоцировать нарушение речи и психологический дискомфорт. В статье рассмотрим как родителю определить неправильный прикус у ребенка, узнаем почему формирование прикуса происходит неправильно, какие действенные методы лечения неправильного прикуса существуют и какова профилактика неправильного прикуса ребенка.
Формирование правильного прикуса и его этапы
Для того чтобы избежать неправильный прикус нужно знать периоды его изменения. Формирование правильного прикуса должно происходить в 5 этапов. Даже незначительные отклонения в формировании от нормы могут привести к неправильному смыканию челюсти. Поэтому очень важна профилактика неправильного прикуса.
Фото 1. На формирование прикуса оказывают влияние такие детские привычки, как сосание пальцев.
Врачи-ортодонты подчеркивают важность раннего выявления и лечения неправильного прикуса у детей. Специалисты отмечают, что правильное формирование зубочелюстной системы в детском возрасте способствует не только эстетике, но и здоровью в целом. Неправильный прикус может привести к проблемам с жеванием, речью и даже к болям в челюсти.
Медики рекомендуют проводить первый осмотр у ортодонта в возрасте 6-7 лет, когда начинают прорезываться постоянные зубы. В зависимости от степени нарушения, лечение может включать использование брекетов, кап или других ортодонтических аппаратов. Врачи акцентируют внимание на том, что своевременное вмешательство позволяет избежать более сложных процедур в будущем и значительно улучшает качество жизни ребенка. Таким образом, забота о здоровье зубов с раннего возраста является залогом успешного лечения и формирования красивой улыбки.

1-й этап – с рождения до появления первого зуба (в норме до 6-ти месяцев).
Основная функция зубочелюстной системы – сосание. Речь и жевание не развиты. Когда ребенок глотает, его язык упирается в щеки и губы.
2-й этап – от 6-ти месяцев до 3-х лет.
Этап формирования временного прикуса. К 1-му году происходит угасание сосательной функции, а к 3-м годам формируются правильное глотание (язык упирается в небо), жевание и речь. На этом этапе главное это– создание оптимальных условий для формирования правильного прикуса.
Многие родители обеспокоены состоянием зубов своих детей и часто обсуждают лечение неправильного прикуса. В основном, мнения разделяются: одни считают, что раннее вмешательство необходимо, чтобы избежать серьезных проблем в будущем, другие же предпочитают ждать, пока ребенок подрастет. Некоторые родители отмечают, что ортодонтические аппараты могут быть неудобными для детей, но в то же время признают, что результат стоит усилий. Важным аспектом является выбор специалиста: многие советуют обращаться к опытным ортодонтам, которые могут предложить индивидуальный подход. Также часто упоминается необходимость регулярных осмотров, чтобы вовремя выявить проблемы. В целом, большинство родителей согласны, что забота о здоровье зубов с раннего возраста — это инвестиция в будущее их детей.

3-й этап – от 3-х до 6-ти лет.
Функция глотания, жевания и речи полностью сформированы к 6 годам.
4-й этап – от 6-ти до 12-ти лет.
Смешанный прикус. На этом этапе молочные зубы выпадают, сменяясь постоянными. Активно растет челюсть. К 12-ти годам норма:
- Верхние резцы перекрываются нижними не более чем на 1/3;
- Верхняя зубная дуга в форме полуэллипса, нижняя – парабола.
- Отсутствуют тремы и диастемы;
- Если сомкнуть челюсть, то мезиально-щечный бугор первого моляра, находящейся в верхнем зубном ряду, попадает в поперечную борозду одноименного зуба в нижней челюсти.
- Между нижними зубами, первым моляром и клыком, локализируется верхний клык.
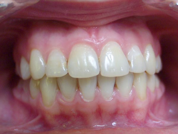
Фото 2. Пример правильно сформированного прикуса у ребенка.
5-й этап – от 12-ти до 15-ти лет.
Этап формирования постоянного прикуса. Этот этап характеризуется признаками 4-го этапа. При этом в момент пережевывания пищи все зубы верхней челюсти, контактируют с зубами-антигонистами противоположной челюсти. Соприкосновения при смыкании челюсти всех зубов, исключение – зубы мудрости на верхней челюсти и первые резцы на нижней.
Как определить неправильный прикус у ребенка?
Только врач-ортодонт может судить имеются ли отклонения от норм в формировании прикуса. На основании тщательного осмотра, выполнения телеренгенограммы и ортопантомограммы доктор точно определит правильно ли формируется прикус ребенка.
Фото 3. Рентгенорамма как метод диагностирования неправильного прикуса.
Родителям в свою очередь очень важно быть бдительными, для того чтобы своевременно обратиться за консультацией ортодонта. Для этого необходимо знать особенности физиологического прикуса.
| Виды физиологического прикуса | Виды аномального прикуса |
|
|
В таблице представлена классификация существующих видов прикуса человека.
Ортодонический вид прикуса считается самым эстетически правильным, но бывает редко. Прогенический – нижняя челюсть незначительно выдвигается вперед. В случае прямого прикуса центральные зубы соединяются режущими поверхностями. Бипрогенический прикус можно охарактеризовать равномерным наклоном зубов вперед.
Дети, у которых неправильный прикус, часто жалуются на трудности с пережевыванием пищи и ее проглатыванием. В ротовой полости травмируют мягкие ткани, часто прикусывая щеки и язык. Ощущают боли в районе челюсти и регулярные боли головы.
Фото 4. Боль в челюсти и головные боли сигнализируют о возможном развитии неправильного прикуса у ребенка.
Причины возникновения неправильно прикуса у детей
Начать формироваться неправильный прикус у ребенка может с раннего младенчества. И не всегда те или иные отклонения в формировании прикуса можно диагностировать по внешнему виду. По статистике чаще выявляют проблемы с прикусом у тех детей, которых вскармливали искусственно. Этот факт обусловлен тем, что у новорожденных нижняя челюсть меньше верхней. Ее увеличение происходит в процессе грудного вскармливания. В момент сосания груди идет активнейшая работа мышц лица, это способствует росту нижней челюсти. Тогда как кормление малыша из бутылочки от него не требует усилий, в связи с этим имеется риск того, что нижняя челюсть начнет существенно отставать в развитии.
Неблагоприятно повлиять на развитие челюсти может и слишком длительное вскармливание грудью (больше полутора лет). К тому же в рацион малыша полутора лет должна входить твердая пища. Иначе недостаточная нагрузка также может спровоцировать аномалии прикуса.
Привести к проблемам в развитии прикуса детей могут вредные привычки. Ребенок не должен – сосать пальцы, прикусывать губы, подолгу сосать пустышку, грызть ногти и т.д. Головка ребенка не должна находиться долго в одном положении в период кормления, а также в момент сна.
Дыхание ребенка взаимосвязано с прикусом. Если дыхание носом затруднено ребенок привыкает дышать ртом, что приводит к аномальным изменениям челюсти. Тогда как неправильное расположение зубного ряда и другие аномалии челюсти в свою очередь приводят к дыханию ртом. По этой причине уменьшается объем носовой полости, сужаются носовые проходы, вдыхаемый воздух слабо обогревается и увлажняется. Все это приводит к часто возникающим воспалительным процессам, болезням. Ангина, ларингит, трахеит, бронхит и пневмония достаточно часто являются следствием аномального развития прикуса.
Сформироваться неправильный прикус может по причине раннего выпадения молочных зубов, раннее или позднее прорезывание зубов, обширный кариес, укороченная подъязычная уздечка, травма. Иногда неправильный прикус передается по наследству ребенку от родных и близких. Недоразвитая челюсть встречается вследствие врожденного дефекта, но это явление встречается крайне редко.
Методы лечения детского прикуса
Еще совсем недавно лечение аномалии прикуса ребенка начинали только после того как вырастут постоянные зубы и только при помощи брекет-системы. Современная ортодония корректирует эти проблемы уже с 5 лет.
Фото 6. Неправильный прикус любого вида успешно излечивается с помощью брекетных систем.
В детском возрасте при лечении меняют направление роста или притормаживают рост одной из челюстей. Самое эффективное лечение проводится при возрасте пациента 11-14 лет. Изредка необходимо вмешательство ортодонта гораздо раньше – даже при временном (молочном) прикусе.
Методы лечения прикуса у детей зависят от вида и выраженности аномалии.
Методы исправления прикуса:
- Аппаратурный метод – при помощи ортодонических конструкций (съемные аппараты и не съемные). Зубы принудительно перемещаются в нужное положение. С 2-х до 6-ти лет применяют каппы, трейнеры и пластины. Сформировать правильный прикус можно при помощи брекет-системы. Ее устанавливают чаще всего детям с 10-ти лет.
- Миогимнастика – лечение прикуса при помощи специальных упражнений. В течении нескольких месяцев рекомендуется ежедневно повторять специальные упражнения.
- Комплексная методика – сочетание хирургического метода и ношения ортодонических конструкций. Применяется при сильных аномалиях.
- Лечение хирургическое – велофаринопластика, уранопластика и т.д.
Последствия отказа от лечения
Игнорировать проблемы нарушения прикуса у детей нельзя. Последствия отказа от лечения очень серьезные. Аномалии в ротовой полости у детей не проходят бесследно и риск того, что во взрослом возрасте понадобятся протезы достаточно велик.
Бруксизм
Зачастую отсутствие лечения проблем прикуса приводит к такому заболеванию как бруксизм. Сокращение жевательной мускулатуры, приводящее к скрежету зубами, в основном наблюдается во время сна. Бруксизм очень негативно сказывается на общем здоровье зубов и челюстных суставов. Ночные приступы могут приводить к болям в районе челюсти, постоянным головным болям.
Фото 7. Скрип зубов, боли в челюсти и частая головная боль – частые симптомы бруксизма.
Пародонтит
Пародонтит – распространенное следствие неправильного прикуса. Скученность зубов приводит к постоянному скапливанию налета, по причине того, что практически невозможно вычистить ротовую полость. Это приводит к появлению зубного камня, кариесу и другим стоматологическим проблемам.
Перегрузка зубов
Правильный прикусе зубов гарантирует при жевании равномерное распределение нагрузки. В случае нарушений постановки зубного ряда давление распределяется неравномерно. Что чаще всего приводит к ранней потере зубов.
Фото 9. Лечение неправильного прикуса у ребенка позволит ему избежать ранней потери зубов.
Некоторые люди считают, что нет ничего страшного в том, что молочные зубы выпадут или будут удалены раньше времени. Это мнение ошибочно. Во-первых, при утрате даже одного зуба не в положенный срок, перераспределяется нагрузка в полости рта. В итоге страдают и соседние зубки, а формирование постоянных может пойти с нарушениями. Страдает так же дикция, от неуверенности в себе ребенок может стать замкнутым, будет хуже учиться.
Проблемы протезирования
Если не лечить аномалии прикуса, можно потерять часть зубов и понадобится установка зубных протезов. Неправильный прикус – серьезное препятствие при протезировании.
Нарушения пищеварения
Недостаточно пережеванная пища ведет к увеличению нагрузки на желудок. Плохое пережевывание способствует попаданию микробов в пищеварительный тракт.
Депрессия
Депрессия является нередким последствием аномалий прикуса, в связи с эстетическими проблемами. Ведь изменению подвергается не только челюсть, но и все лицо в целом. Очень часто люди с неправильным прикусом имеют комплексы, стесняются своих дефектов, стыдятся своей улыбки. Все это может привести к снижению общительности человека, частым расстройствам и депрессиям.
Своевременное лечение аномалии прикуса очень важно. При предрасположенности к формированию неправильного прикуса необходимо проводить профилактику. И обязательно, даже при малейших отклонениях обращаться за консультацией к ортодонту. Здоровые, ровные зубы и красивая улыбка – предмет гордости. И для того чтобы ей обладать недостаточно объяснений ребенку что такое гигиена рта и ввести ограничение сладостей.
Видео: Рекомендации по исправлению детского прикуса

Вопрос-ответ
Что ставят детям для исправления прикуса?
Детские зубные пластинки — это съемные ортодонтические аппараты, которые предназначены для стимуляции роста какой-либо челюсти. Например, нижняя челюсть отстает в росте и размерах от верхней. И нам необходимо ее простимулировать или изменить направление роста.
В каком возрасте исправлять прикус у ребенка?
Впервые привести малыша к ортодонту стоит в возрасте 4-5 лет. Опытный врач уже на этом этапе формирования зубочелюстного аппарата может обнаружить проблемы. Однако приступать к активной ортодонтии в этом возрасте слишком рано, поэтому в нашей клинике исправление прикуса детям проводится не раньше, чем с 7-8 лет.
Как исправить прикус без брекетов у детей?
Исправление прикуса без брекетов, как у детей, так и у взрослых, возможно с помощью ортодонтических трейнеров. Они выравнивают зубы, заставляя мышцы правильно работать. Результат сохраняется даже после окончания использования благодаря мышечной памяти.
Что помогает от неправильного прикуса?
Исправление прикуса осуществляется с помощью элайнеров, брекетов, виниров, трейнеров. Устанавливаются они только при отсутствии заболеваний зубов/десен (или после их лечения).
Советы
СОВЕТ №1
Обратитесь к детскому стоматологу как можно раньше. Регулярные осмотры помогут выявить проблемы с прикусом на ранней стадии, что значительно упростит лечение и повысит его эффективность.
СОВЕТ №2
Следите за привычками ребенка. Некоторые из них, такие как сосание пальца или использование пустышки, могут негативно влиять на формирование прикуса. Постарайтесь помочь ребенку избавиться от этих привычек.
СОВЕТ №3
Обсудите с ортодонтом возможные методы лечения. В зависимости от возраста и состояния зубочелюстной системы вашего ребенка, врач может предложить различные варианты, такие как брекеты, капы или другие ортодонтические устройства.
СОВЕТ №4
Поддерживайте мотивацию ребенка. Лечение неправильного прикуса может занять длительное время, поэтому важно поддерживать положительный настрой и объяснять ребенку важность лечения для его здоровья и уверенности в себе.






