Отбеливание зубов — операция по изменению цвета зубной эмали. Проводиться она может как в клинических, так и в домашних условиях.
К основным видам относится химическое, механическое отбеливание, а также разнообразные домашние средства, например, отбеливающие полоски.
Современное отбеливание зубов: что это такое и как происходит
Отбеливание зубов происходит при помощи окисляющего геля высокой концентрации, который наносится на эмаль. Обычно это 25—35% раствор пероксида водорода или карбамида.
Для домашнего использования применяется меньший процент (около 10%). Под воздействием катализатора (лазер, световые лучи и т.д.) гель начинает действовать, а после выделяется кислород.
Также практикуются способы отбеливания зубов без участия внешних катализаторов, например, система Opalescence.
Такое отбеливание совершенно безопасно, потому что проводится на органическом уровне. Ионы кислорода проникают в глубокие слои дентина, расщепляя всю накопившуюся на зубах грязь. Чтобы укрепить эмаль в конце процедуры, наносится специальный реминерализующий гель на основе препарата фтора.
Врачи-стоматологи отмечают, что выбор способа отбеливания зубов зависит от индивидуальных предпочтений и состояния зубной эмали пациента. Существует множество методов, от профессионального отбеливания в клинике до домашних средств, таких как полоски и гели. Специалисты подчеркивают важность предварительной консультации, чтобы избежать возможных осложнений. Например, профессиональное отбеливание дает быстрый и заметный результат, но требует соблюдения рекомендаций врача для предотвращения чувствительности зубов. В то же время, домашние средства могут быть более доступными, но их эффективность часто ниже, и они требуют регулярного применения. Врачи советуют выбирать метод, основываясь на тщательном анализе состояния зубов и желаемом результате, чтобы обеспечить безопасность и долговечность эффекта.

Плюсы и минусы
Как и любой другой операции, у отбеливания зубов есть плюсы и минусы. К достоинствам такой процедуры относится возможность получения белоснежной улыбки, а также оздоровление зубов, за счет того с эмали очищается вредный для нее налет, который может стать причиной кариеса.
Однако присутствует и ряд отрицательных моментов:
- Наличие ряда противопоказаний.
 - Появление повышенной чувствительности зубов.
 - Возникновение кариеса.
 - Ограничение потребления пищи и жидкостей с большим количеством красителя.
 
Опасность для эмали
Из-за пересушивания во время отбеливания зубная эмаль истончается, что может привести к заболеваниям ротовой полости в будущем. Однако это относится, по большей части, к устаревшим системам осветления зубов. В 21 веке стоматологи предлагают своим пациентам абсолютно безопасные для процедуры.
Справка! Содержание воды в современных отбеливающих гелях достигает 20%.
Среди множества методов отбеливания зубов, люди часто делятся своими впечатлениями и рекомендациями. Многие отмечают, что домашние средства, такие как сода и лимонный сок, могут дать заметный эффект, но требуют осторожности, чтобы не повредить эмаль. Профессиональные процедуры в стоматологии, такие как лазерное отбеливание, вызывают восторг у тех, кто хочет быстро и безопасно достичь результата. Пользователи также хвалят специальные отбеливающие пасты и полоски, которые легко использовать в домашних условиях. Однако важно помнить, что каждый метод подходит не всем, и лучше проконсультироваться со стоматологом перед началом отбеливания. В конечном итоге, выбор зависит от индивидуальных предпочтений и состояния зубов.

Показания
У каждой стоматологической процедуры есть свои показания. Кому же рекомендуется отбелить зубную эмаль?
- 
Отбеливание подходит тем, кто столкнулся с возрастными изменениями цвета зубной эмали.
 - Прекрасно подходит операция заядлым курильщикам, чьи зубы пожелтели от постоянного воздействия табака.
 - Поможет процедура и тем, кто не в силах отказаться от газированных напитков и сладостей с большим количеством агрессивных красителей в составе.
 - Отбеливание может проводиться на зубах, пораженных флюорозом в легкой или средней степени тяжести, а также на тетрациклиновых зубах.
 
Можно ли качественно отбелить желтые от природы зубы?
Поэтому отвечая на вопрос: «Получится ли отбелить жёлтые от природы зубы?», можно смело давать положительный ответ. Если выбрать хорошего специалиста, то понадобится всего пара процедур, чтобы получилась улыбка не хуже, чем у Голливудского актера.
Если вы не хотите проводить процедуру отбеливания зубов, то для получения белоснежной улыбки предусмотрена альтернатива — виниры. Они представляют собой пластины, толщиной меньше половины миллиметра. Клеятся виниры как на все зубы, так и только на передние, что значительно удешевляет процедуру. Пластинки изготавливаются индивидуально под каждого клиента.
Важно! При проведении процедуры обязательно стачивается верхний слой зубной эмали, после чего надеваются временные пластинки. Это действие требуется выполнять для того, чтобы избежать неестественных выпуклостей при надевании.
Цена установки виниров в Москве — 16 тысяч рублей за один зуб.

Противопоказания
Все противопоказания к данной процедуре можно разделить на две категории — общие и местные. Первые проявляются в виде запрета на любой тип отбеливания зубов, местные связаны с проведением клинических процедур.
К общим противопоказаниям относятся:
- возраст до 18 лет;
 - аллергические реакции на один из компонентов геля;
 - беременность;
 - кормление ребенка грудью;
 - прохождение химиотерапии;
 - прием светочувствительных препаратов ряда третиноина, тетрациклинов и прочих.
 
Местные противопоказания:
- кариес;
 - клиновидные дефекты, обнаженные шейки зубов;
 - наличие в зоне отбеливания коронок, пломб и реставраций;
 - пародонтоз, находящийся в стадии обострения.
 - повреждения ротовой полости;
 - выраженный рвотный рефлекс.
 
Комплексная процедура: фото до и после
Иногда такое отбеливание также называют клиническим или офисным. Эта процедура — профессиональный метод, подразумевающий использование специального оборудования в стоматологической клинике.
Проводится он достаточно быстро. Так, одного часового сеанса хватает, чтобы осветлить эмаль на 8—14 тонов. Также специалисты отмечают безопасность процедуры, потому что весь происходящий процесс контролируется стоматологом.
К видам комплексного отбеливания относится лазерное, химическое, эндодонтическое и фотоотбеливание.
Преимущество такого отбеливания заключается в том, что его воздействие может осуществляться не на всю ротовую полость, а только на один зуб. Также процедура хорошо подходит для того, чтобы убрать следы после снятия брекетов.
Химическое: в чем его суть
Химическое отбеливание относится к одной из профессиональных процедур, цель, которой сделать зубную эмаль светлее. Она не слишком популярна у российских стоматологов, однако, в ряде специализированных клиник все-таки встречается в перечне услуг.
По сути, каждый вид профессионального отбеливания является химическим, так как в его основе лежит определенная химическая реакция. Возникает она под воздействием специального геля, в состав которого входит либо карбамид, либо перекись водорода. Действует гель самостоятельно или при помощи катализатора (ультрафиолетовые лучи, лазер).
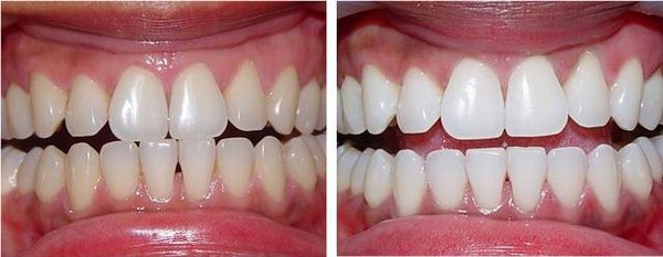
Фото 1. На картинках виден результат до и после химического способа отбеливания эмали зубов.
Однако главное отличие именно химического отбеливания — отсутствие каких-либо внешних катализаторов. В процессе происходит проникновение препарата в зубную эмаль, после чего он растворяет напившуюся там грязь. Если процедуру проводит качественный специалист, то бояться вредного воздействия на зубы не стоит.
Химическое отбеливание достаточно эффективно, но для подержания результата специалисты рекомендуют сочетать его с домашней системой отбеливания и очищающими пастами.
Справка! Такой метод позволяет осветлить зубы на 8—10 оттенков.
Главный положительный момент в отбеливании зубов — получение красивой улыбки и скорость ее обретения. Получить достойный результат вы сможете уже с первой попытки, а в кресле стоматолога придется провести не более одного часа. Также, важно отметить, что эффект держится достаточно долго. В среднем результата от процедуры хватает на год, а при правильном уходе этот срок продлевается до полутора лет.
Несмотря на то что химическое отбеливание многие специалисты относят к разряду достаточно щадящих процедур, оно, тем не менее имеет свои минусы:
- Наличие большого ряда противопоказаний.
 - Возникновение чувствительности зубной эмали у пациентов.
 - Появление кариозного налета.
 - Необходимость смены привычного рациона, чтобы избежать появления красящей пищи.
 
Цена на услугу зависит от уровня клиники и варьируется от пяти до пятнадцати тысяч рублей.
Фотоотбеливание и его этапы
Принцип работы фотоотбеливания заключается в следующем: врач наносит гель, после чего происходит осветление под воздействием ультрафиолетовой лампы.
За один часовой сеанс эмаль становится светлее на 10—12 тонов.
Плюсы такого вида отбеливания:
- Быстрый и максимально стойкий результат.
 - Безболезненность.
 - Отсутствие возможности нанесения травмы для эмали.
 
Фото 2. Вверху – зубы до проведения фотоотбеливания, внизу – после проведения сеанса.
Среди минусов стоит выделить цену.
Внимание! Средняя стоимость фотоотбеливания в Москве — 10 000 рублей.
Среди последствий выделяется повышенная чувствительность, которая проходит в течение нескольких недель.
Эндодонтическое: механизм работы
Эндодонтическое отбеливание — это отбеливание зубов, у которых нет корней, то есть неживых. Отбеливающий гель проникает в структуру дентина, вследствие чего зуб осветляется.
К преимуществам такой процедуры относится ее эффективность: эмаль становится светлее до 12 тонов, а также возвращается белизна зуба, который ранее был подвержен лечению.
Минусы у эндодонтического отбеливания те же, что и у любого другого вида.
Из возможных последствий важно отметить непрофессиональную работу врача, что может привести к заболеваниям ротовой полости.
Цена такой процедуры — 5 тысяч рублей за один зуб.
Механическая чистка: как ее делают
Механическую чистку можно отнести к разряду предварительных отбеливанию процедур. Выполняется она при помощи специальных инструментов в несколько этапов. Главная задача — снять зубной налет. К плюсам относится достаточно низкая, по сравнению с другими процедурами, стоимость, а также доступность во всех стоматологических кабинетах.
К минусам относится болезненность процедуры, если вы попали не к лучшему специалисту, и слабый осветляющий эффект всего на 6—7 тонов.
Стоимость механической чистки: 3 тысячи рублей.
Лазерное
Лазерное отбеливание зубов — одна из методик, давно завоевавшая популярность как среди клиентов, так и среди специалистов. Эта процедура относится к типу профессионального кабинетного отбеливания, которое производится исключительно врачом в клинических условиях.
Фото 3. Слева – зубы до проведения лазерного отбеливания, справа – конечный результат после процедуры.
Суть лазерного отбеливания состоит во взаимодействии активного вещества с лазерным лучом и слюной, в ходе чего происходит определенная химическая реакция, способствующая отбеливанию эмали. Катализатор — лазер.
При выполнении лазерного отбеливания эмали используется следующая технология:
- Врач наносит на зубы особый отбеливающий гель, в состав которого входит высокая концентрация перекиси водорода (пероксида карбоната).
 - В то время как происходит взаимодействие пероксида карбоната со слюной во рту пациента, выделяется кислород. Именно этот активный компонент и отвечает за осветление зубной эмали. Кислород проникает глубоко внутрь зубов и борется с пищевыми красителями (например, кофе, газированные напитки), а также делает естественный пигмент белее на пару тонов.
 - Такая операция занимает 40—50 минут времени. В течение всей процедуры стоматолог просвечивает лазером каждый зуб, обработанный гелем. Нельзя с абсолютной уверенностью сказать, что лазерное отбеливание зубов абсолютно безопасно. Однако, благодаря постоянному контролю врача, можно значительно снизить ее вред. К тому же в конце процедуры наносится специальный гель, который способствует восстановлению зубной эмали.
 
К преимуществам такого отбеливания относится его быстрота и наименьший вред для эмали.
А вот среди минусов стоит отметить его стоимость: заплатить за белоснежную улыбку придется в районе двадцати тысяч рублей.
Негативных последствий у лазерного отбеливания не выявлено.
Процедура в домашних условиях
Отбеливание в домашних условиях — это процедура, выполняемая при помощи аптечных или подручных средств. К противопоказаниям относятся:
- Беременность.
 - Непереносимость веществ, которые находятся в составе отбеливающих средств.
 - Заболевания полости рта.
 
Аптечными средствами
Производители предлагают целый ряд препаратов для отбеливания зубов, приобрести которые можно в аптечных пунктах.
Отбеливающие щётки
К отбеливающим щеткам чаще всего относятся электрические модели. Очищение происходит за счет вибрации, которая помогает эффективнее удалить зубной налет.
Хотя больше распространены обычные классические щетки, которые снабжены более гибкими щетинками, позволяющими очистить зубы со всех сторон.
К наиболее популярным маркам относятся: Colgate,Oral B, Rocs. Достоинства таких щеток — их распространенность (купить ее можно в любом супермаркете или аптеке), а также цена в пределах трехсот рублей.
Отбеливающие пасты могут осветлить эмаль на 4 тона
Отбеливающая паста работает на основе химического воздействия, которое возникает благодаря содержанию в составе перекиси водорода. Другой способ сделать эмаль светлее — использование абразивных веществ. В среднем они позволяют осветлить эмаль до четырех тонов.
Популярные марки: Rocs, White, Splat, Himalaya. К их достоинствам относятся доступность и отсутствие вреда для эмали. Среди недостатков следует выделить низкую результативность. Их цена варьируется от 200 до 500 рублей.
Пластины: сколько они стоят
Пластины — представляют собой одноразовые полоски, которые крепятся к зубной эмали. Действуют они на основе слабого раствора перекиси водорода, и помогают сделать зубы светлее на 6—8 тонов.
К достоинствам относится большое их разнообразие и удобство применения, а среди минусов — большое количество подделок, от которых не только не появляется эффект, но и портится зубная эмаль.
Популярные марки: Crest 3D White, Rigel, Blend-a-Med. Средняя цена одной упаковки — 1500 рублей.
Системы
Системы для отбеливания крайне популярны. В среднем они помогают осветлить зубы на 4 тона. Действуют они по принципу профессионального химического отбеливания, однако концентрация осветляющего вещества в составе гораздо ниже.
Популярные марки: Global white, Opalscence, Klox. К их достоинствам относится минимальный риск повреждения эмали, а также клинически доказанная эффективность. Стоимость системы отбеливания может достигать 5 тысяч рублей.
Есть ли эффект от народных средств
Отбеливание народными средствами очень популярно в нашей стране. Приведем несколько интересных фактов:
- Если вы будете добавлять лимон в чай, то не только нейтрализуете действие красящего пигмента, но и сможете сделать зубы светлее.
 - Налегайте на клубнику в летний сезон: содержащиеся в ней кислоты будут работать на белизну вашей улыбки.
 
Перекись водорода
Осветление происходит в результате химического процесса, в результате чего атомарный кислород осветляет зубную эмаль. Противопоказания у процедуры такие же, как и для отбеливания в клинических условиях. Также следует быть предельно осторожным: чтобы перекись подействовала наносить ее нужно в чистом виде примерно на 15 минут, не допуская попадания на десны.
Сода
Очищение происходит на основе воздействия на зубы абразива, который снимает с поверхности налет, в результате чего зубы светлеют. К противопоказаниям относятся болезни десен, чувствительность, а также наличие трещин на эмали. Чтобы отбелить зубы при помощи соды требуется приготовить раствор, смешав треть стакана воды и две столовые ложки соды. После этого опустите туда щетку и тщательно почистите зубы. Ополосните рот водой.
Активированный уголь
Еще один абразив.
Противопоказания те же, что и для соды.
Чтобы сделать зубы светлее при помощи активированного угля нужно растолочь таблетку до порошкового состояния, смешать ее с вашей привычной пастой и почистить зубы.
Какие бывают другие рецепты
Рецепты:
- Вотрите клубничное пюре в зубную эмаль и оставьте там примерно на пятнадцать минут, это поможет осветлить зубы на пару тонов.
 - Выдавите сок половинки лимона и смешайте его со стаканом воды. Тщательно прополощите рот.
 
Условия ухода и правила гигиены после процедуры
Как долго сохраниться результат отбеливания? Это на 100% будет зависеть от вас. Что же делать, чтобы сохранить белоснежную улыбку?
- В первые сорок восемь часов после проведения процедуры откажитесь от употребления красящих продуктов — газировки, соков, сладостей с большим количеством ненатуральных красящих веществ в составе.
 - В течение двух суток после отбеливания полностью откажитесь от курения. Также рекомендуется сократить количество выкуренных сигарет в следующие две недели.
 - Уделяйте пристальное внимание гигиене полости рта. Используйте зубную нить, щетку, качественную пасту, ирригатор, реминерализирующий гель. Также регулярно проходите профессиональную (клиническую) чистку зубов у стоматолога.
 - Не употребляйте слишком горячую или холодную пищу, иначе возможно появление болезненных ощущений в ротовой полости.
 
Полезное видео
Ознакомьтесь с видео, в котором рассказывается о том, какие виды отбеливания зубов существуют, в чем состоят их достоинства и недостатки.
Заключение: какой вид отбеливания выбрать
Как видно из содержания статьи, отбеливание зубов — процедура, ставшая уже привычной для большинства граждан. Благодаря большому разнообразию каждый сможет найти что-то, подходящее именно для него. Однако важно помнить, что эффект и его длительность у профессиональной и домашней процедуры различается.
Клиническая операция поможет вам сохранить белоснежную улыбку на срок до полутора лет, результат же от домашнего отбеливания исчезает через 5—6 месяцев.
Поэтому можно сделать вывод, что профессиональное отбеливание наиболее результативно, но при этом стоит больших денег.
При использовании аптечных средств важно быть крайне внимательным на всех этапах процедуры: от покупки до нанесения. Народные же средства доступны всем, но требуют больших усилий для достижения результата.
Методики
Самостоятельно





Вопрос-ответ
Какой самый эффективный способ отбелить зубы?
Более эффективным методом считается ультразвуковое отбеливание зубов. Оно подходит для подростков и взрослых. Так же как и технология Air Flow, ультразвуковой метод является профессиональной чисткой зубов, в результате которой достигается отбеливающий эффект.
Какая система отбеливания зубов самая лучшая?
Стоматологи считают, что самое лучшее отбеливание зубов – это лазерное. Во время процедуры врач может корректировать воздействие на каждый зуб в отдельности, за счет чего достигается равномерный красивый цвет зубной эмали.
Какой метод отбеливания зубов является самым безболезненным?
Лазерное отбеливание. Из световых методов отбеливания лазерное является самым безболезненным.
Что моментально отбеливает зубы?
Использование пищевой соды и активированного угля. Пищевая сода — одно из наиболее распространенных средств для домашнего отбеливания зубов. Пищевая сода (бикарбонат натрия) имеет слабоабразивные свойства, что позволяет эффективно удалять налет на зубах, придавая им более светлый оттенок.
Советы
СОВЕТ №1
Перед тем как выбрать способ отбеливания зубов, обязательно проконсультируйтесь с вашим стоматологом. Он поможет определить состояние ваших зубов и десен, а также предложит наиболее подходящий метод, учитывая ваши индивидуальные особенности.
СОВЕТ №2
Если вы предпочитаете домашние методы, обратите внимание на натуральные средства, такие как сода и лимонный сок. Однако используйте их с осторожностью, чтобы не повредить эмаль зубов. Лучше всего применять такие методы не чаще одного раза в неделю.
СОВЕТ №3
Рассмотрите профессиональные процедуры в стоматологической клинике, такие как лазерное или химическое отбеливание. Эти методы могут дать более заметный и долговременный результат, но важно учитывать их стоимость и возможные противопоказания.
СОВЕТ №4
Не забывайте о регулярной гигиене полости рта. Чистка зубов дважды в день и использование зубной нити помогут поддерживать белизну зубов и предотвратить появление пятен, что сделает процесс отбеливания более эффективным.

















