Кариесогенные бактерии, которые содержатся в зубном камне и налете, выделяют молочную кислоту, под действием которой начинается деминерализации эмали (снижение концентрации кальция). Этот процесс называется начальным кариесом или первой стадией кариозной болезни. Из статьи можно более подробно узнать о различных проявлениях начального кариеса,  который  нередко протекает без выраженных симптомов, и ознакомиться с его клинической картиной. Узнайте, что представляет собой диагностика начального кариеса. В процессе проведения дифференциальной диагностики специалист должен убедиться, что наличие белы пятен на зубах не выступают признаками избытка в организме фтора.
Основные моменты, когда можно повременить с лечением – начальный кариес является обратимым процессом, а значит, эмаль может восстановиться. 
И самое главное – как лечить начальную стадию кариеса и какие профилактические меры необходимо принимать, чтобы не допустить его появления. Внимательное отношение к здоровью и забота о себе поможет предупредить заболевание. 
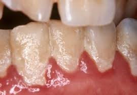
О здоровых и белоснежных зубах мечтают все люди, особенно женщины. Однако далеко не все хорошо за ними ухаживают: плохо соблюдают гигиену ротовой полости, неправильно питаются. В результате на зубах и в их промежутках остается мягкий налет, где начинают размножаться болезнетворные микроорганизмы. Кроме того, налет содержит и минеральные соли, поэтому постепенно уплотняется, в результате чего образуется зубной камень. Очень часто это можно наблюдать в пришеечных участках зуба, поскольку слой эмали здесь наиболее тонкий. Кариесогенные бактерии, содержащиеся в налете и зубном камне, в процессе своей жизнедеятельности выделяют молочную кислоту, воздействие которой приводит к деминерализации эмали — снижению концентрации кальция в ее составе. Это и есть начальный кариес, или первая стадия кариозной болезни.
Как проявляется начальный кариес?
Начальная стадия кариеса протекает без явно выраженной симптоматики. Зуб на вид кажется вполне здоровым, не особо чувствителен к различного рода раздражителям, болевые ощущения отсутствуют. Однако на участке, где началась деминерализация эмали, появляется светлое мелоподобное или пигментированное пятно. Сама эмаль теряет блеск, становится немного рыхлой.
Если на данном этапе не осуществить лечение, пятно станет увеличиваться в размерах и темнеть, поскольку в зубную эмаль начнут просачиваться красящие вещества (из табака, пищи, чая или кофе). Постепенно кариозная болезнь станет развиваться дальше, перейдет на другую стадию, и без бормашины и пломбирования будет не обойтись.
Начальный кариес является одной из самых распространенных стоматологических проблем, и мнения врачей по этому поводу достаточно однозначны. Специалисты подчеркивают важность ранней диагностики и профилактики этого заболевания. На начальных стадиях кариес может проявляться в виде белых пятен на эмали, что является сигналом о начале разрушительных процессов. Врачи рекомендуют регулярно проходить стоматологические осмотры, чтобы вовремя выявить и устранить проблему.
Кроме того, стоматологи акцентируют внимание на значении правильной гигиены полости рта и сбалансированного питания. Употребление продуктов с высоким содержанием сахара и недостаток фтора могут способствовать развитию кариеса. Врачи также советуют использовать фторсодержащие зубные пасты и ополаскиватели, что помогает укрепить эмаль и предотвратить дальнейшее развитие заболевания. В целом, профилактика и своевременное обращение к специалисту играют ключевую роль в борьбе с начальным кариесом.

Клиническая картина
Возможные признаки начальной стадии кариеса:
- чувство оскомины
 - отсутствие реакции пораженного зуба на воздействие раздражителей (кислое, холодное, сладкое)
 - выявленное при осмотре изменение нормального оттенка эмали на ограниченном участке на матовый, белый, светло-коричневый, темно-коричневый цвет (проявление деминерализации эмали).
 - потеря на ограниченном участке блеска эмали (как правило, рядом с десной у шейки зуба.
 
Диагностика начального кариеса
Начальный кариес зачастую диагностируют у лиц с пониженным иммунитетом, или людей, только что избавившихся от серьезного недуга, поскольку в ослабленном организме процесс разрушения (деминерализации) зубной эмали идет активнее. Именно поэтому после тяжелых болезней врачи советуют обратиться к стоматологу, чтобы предотвратить развитие кариеса.
Инструментальный осмотр в стоматологической клинике поможет диагностировать начальный кариес. На первых этапах довольно трудно самостоятельно визуализировать потемнение или потерю блеска эмали.
Чтобы подтвердить диагноз, врач наносит на зуб 2%-ный раствор метиленового синего. В местах поражения он окрашивается. Далее доктор зондирует пораженную поверхность. Дискомфорта или боли человек при этом обычно не испытывает. Пятна, образовавшиеся в промежутках зубов, обнаружить почти невозможно: наличие кариеса подтвердится только при появлении пораженной полости.
На заметку.
При проведении дифференциальной диагностики стоматолог обязан убедиться, что наличие на зубах белых пятен не выступает признаком эндемического флюороза. Флюороз может быть связан с переизбытком в организме пациента фтора. Флюорозные пятна множественные, а кариозные – единичны. Их расположение симметрично на одноименных зубах правой и левой сторон.
Начальный кариес локализуется чаще всего на аппроксимальных поверхностях зубных коронок, в зоне фиссур и шеек. При этом заболевание встречается у пациентов, которые подвержены кариесу и имеют его иные признаки. В то время как флюорозные пятна образуются на резцах и клыках. Эти зубы – наиболее устойчивы к кариозной болезни.
  Врачи должны учитывать эндемичность района по болезни. Таким образом, в районах с высоким содержанием в питьевой воде фтора нередко можно встретить эндемический флюороз. Это послужит соответствующей подсказкой для стоматолога. Более 90 % районов России располагают низким уровнем содержания фтора в воде. Так, довольно будет обратить внимание на медицинскую карту пациента, который обладает множественными пятнами на зубах (не приезжий ли он).
При подозрении на флюороз диагностировать его можно при помощи проведения специальной проверки. Раствор красителя прокрасит только кариозные участки.
  В каких случаях не торопятся с лечением 
Начальная стадия кариеса – это обратимый процесс. Таким образом, есть вероятность того, что пораженный участок эмали полностью восстановит свои нормальные качества. Нередко можно наблюдать остановку кариеса, как при начальной кариозной болезни, так и при поверхностном кариесе. Размягчившийся участок твердой зубной ткани способен вновь минерализоваться (отвердеть).
Показания к терапии не устанавливаются диагностикой кариозного пятна. Основания к местному вмешательству стадия пятна может дать лишь в одном случае. Пораженная кариесом эмаль должна быть размягченной и не проявлять никаких тенденций к отвердению при динамическом наблюдении. Кариозное пятно может не претерпеть никаких изменений на протяжении долгих лет. Его цвет так и останется пигментированным или молочного оттенка.
Пломбировать зуб на начальной стадии кариеса из-за пигментации эмали не станут. Зонд должен обнаружить размягченную ткань и полостное образование. Подобная пигментация может стать свидетельством остановки кариозного процесса эмали. Клинические исследования предоставляют множество фактов, которые подтверждают высокий уровень устойчивости к кариесу большинства пигментированных пятен. Распространяющаяся по зубной эмали пигментация будет лишь на поверхности. Она в редких случаях достигает дентина.
Удаление или пломбирование таких участков не требуется. Они нуждаются в полировке и обработке фторосодержащими препаратами или азотнокислым серебром.
Начальный кариес — это состояние, о котором многие люди имеют разные мнения. Некоторые считают, что это незначительная проблема, которая не требует внимания, и откладывают визит к стоматологу. Другие, наоборот, осознают важность раннего вмешательства и стараются следить за состоянием своих зубов. Многие отмечают, что начальный кариес часто проявляется в виде белых пятен на эмали, что может вызывать беспокойство. Важно понимать, что на этом этапе заболевание еще обратимо, и правильная гигиена полости рта, а также регулярные осмотры у стоматолога могут помочь предотвратить его развитие. Люди делятся опытом, как изменение рациона и отказ от сладостей помогли им избежать дальнейших проблем. В целом, осведомленность о начальном кариесе растет, и все больше людей стремятся заботиться о здоровье своих зубов.
Лечение начального кариеса
Если у пациента выявлен кариес на стадии пятна, лечение сводится к реминерализации эмали: сверления и постановки пломбы не потребуется. Для этого стоматологи используют различные кальций- и фторсодержащие составы, которые наносятся на пораженные участки в виде аппликаций. После таких процедур запрещается принимать пищу и пить в течение двух часов. При высокой степени деминерализации зубов может потребоваться несколько сеансов лечения.
К сожалению, кариес на начальной стадии в большинстве случаев остается незамеченным, в результате чего начинает развиваться средний кариес. Появляются болевые ощущения, и уже тогда пациент идет к врачу. Однако стоит заметить, что в некоторых случаях кариес на стадии пятна так и остается на всю жизнь, то есть кариозная полость впоследствии не образуется. Это связано с индивидуальными особенностями человеческого организма.
Мнение стоматолога.
Чтобы лечить начальные стадии кариеса без пломбирования необходимо соблюдать главное требование. Это регулярный контроль определенных зубов, которые были поставлены на учет стоматологом и прошли противокариозную обработку. Их пломбирование будет необходимо в случае прогрессирования выявленного при контрольном осмотре процесса.
Как не допустить начальный кариес?
От начальной стадии кариеса до глубокой может пройти до полутора лет. Однако если человек будет внимательно относиться к своему здоровью и заботиться о себе, заболевание можно предупредить.
- Во-первых, слюна у человека существует не просто так: она непрерывно «заботится» о зубной эмали, насыщает ее калием, магнием, фосфором, фтором. Первая профилактическая мера — никогда не допускать пересыхания ротовой полости. Если вы часто ощущаете это, больше пейте и всегда носите с собой бутылочку с водой.
 - Следует знать, что при приеме антидепрессантов, противоаллергических препаратов, транквилизаторов и других лекарственных средств выработка слюны может замедляться, поэтому в таких ситуациях также следует чаще употреблять жидкости.
 - Самое главное условие профилактики начального кариеса — это тщательное соблюдение правил гигиены. Чистить зубы необходимо и утром, и вечером с помощью фторсодержащих паст. При этом необходимо массировать десны: на них в ночное время скапливается основное количество патогенных бактерий. Затем чистой щеткой или при помощи специальных приспособлений, продающихся в аптеках, следует тщательно очистить язык в направлении «к выходу», ополоснуть рот, а перед сном воспользоваться зубной нитью, которая поможет убрать частички пищи, застрявшие в промежутках между зубами. Ночью выработка слюны идет медленнее, чем днем, примерно в 2-3 раза. Поэтому при наличии остатков пищи в ротовой полости одной ночи вполне достаточно для появления на эмали бляшки.
 - В последнее время в продаже появился специальный прибор, позволяющий эффективно обрабатывать зубы, — ирригатор полости рта. В комплекте, как правило, имеется несколько насадок, позволяющих не только удалять налет с зубов и языка, но и очищать от частичек пищи десневые карманы, ухаживать за коронками или брекетами, массировать десны. Стоит такое устройство недешево, однако его приобретение позволит ежедневно содержать полость рта в идеальном состоянии, а значит, предупредить появление начального кариеса.
 - Необходимо регулярное посещение стоматолога и очищение зубов от накопившегося налета, являющегося великолепной средой для образования вредоносных микроорганизмов и бактерий. В целях профилактики следует обрабатывать свои зубы особыми составами (с фтором или ионами кальция).
 - Зубная эмаль не должна контактировать с едкими продуктами питания ли химическими веществами, способными провоцировать повреждение поверхностного слоя эмали, вызывая кариес. Кофе, разные лекарственные препараты, курение окрашивают эмаль, которая и так подвергается изрядному истончению в результате влияния неблагоприятных факторов.
 
Старайтесь не допустить у себя такое неприятное явление, как кариес зубов, или обнаружить его на ранних стадиях. Помните: ежедневная профилактика и внимательное бережное отношение к себе — залог здоровья не только ваших зубов, но и всего организма.
Видео: Процесс диагностики кариеса.

Посещение стоматолога должно быть обязательным мероприятием не только в момент возникновения уже явных проблем, но так же и в профилактических целях. На видео показывается процесс диагностики зубов на наличие кариеса.
Видео: Гигиена полости рта – залог здоровья зубов.

Одним из эффективных методов борьбы с кариесом и прочими заболеваниями полости рта, является правильная чистка зубов. Регулярное, а главное точное соблюдение правил чистки, позволит избавляться от вредных микробов и сохранить зубы здоровыми.
Вопрос-ответ
Можно ли вылечить начальный кариес?
Заболевание имеет несколько стадий развития, и на начальных этапах патологического процесса проявляется пятном белого цвета. Лечение кариеса в стадии пятна можно лечить терапевтическим путем, то есть без препарирования зуба. Существует несколько методик остановки разрушения эмали и устранения очага поражения.
Как понять, что кариес на начальной стадии?
Начальная стадия — изменение цвета и структуры зуба. Кариес в начальной форме характеризуется почти незаметными изменениями структуры поверхности зуба: появление линий, бороздок, неровностей, шероховатостей, а также появлением пятен белого, желтоватого или темного цвета на зубной эмали.
Как выглядит кариес на 1-й стадии?
Стадии кариеса. Деминерализация: На первом этапе вы можете заметить на зубах небольшие белые меловидные пятна. Это происходит из-за разрушения минералов в зубной эмали. Кариес эмали: При отсутствии лечения кариес прогрессирует и продолжает разрушать эмаль.
Как выглядит только начинающийся кариес?
На раннем этапе (кариес-пятно) вы видите меловидное, беловатое или слегка коричневатое пятно с матовым блеском. Поверхность целая, но менее блестящая. Если провести зубной нитью, иногда слышно лёгкое «скрипение».
Советы
СОВЕТ №1
Регулярно посещайте стоматолога для профилактических осмотров. Даже начальный кариес может быть незаметен, поэтому важно выявлять его на ранних стадиях, чтобы предотвратить дальнейшее развитие.
СОВЕТ №2
Обратите внимание на свою гигиену полости рта. Чистите зубы дважды в день с использованием фторсодержащей зубной пасты и не забывайте о зубной нити, чтобы удалять остатки пищи и налет между зубами.
СОВЕТ №3
Сократите потребление сахара и кислых продуктов, которые способствуют развитию кариеса. Вместо сладостей выбирайте здоровые перекусы, такие как фрукты, орехи или йогурт.
СОВЕТ №4
Используйте ополаскиватели для рта с фтором, чтобы укрепить эмаль зубов и снизить риск возникновения кариеса. Это особенно полезно, если у вас есть предрасположенность к зубным заболеваниям.

