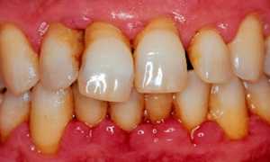
Периодонтит серьезное воспалительное заболевание периодонта характеризующееся нарушением целостности связок удерживающих зуб в альвеоле. Чтобы не допустить развитие заболевания необходимо использовать соответствующую профилактику.
При периодонтите чаще всего воспалению подвержены десна, возникает боль и кровоточивость. Существует ряд простых правил профилактики периодонтита: своевременная и регулярная чистка зубов (минимум дважды в день), желательно использование зубной нити после каждого приема пищи. При регулярном уходе снижается риск возникновения кариеса, пульпита и других заболеваний которые могут при осложнениях перерасти в периодонтит. Регулярное посещение стоматолога поможет своевременно обнаружить заболевание и как можно быстрее приступить к лечению не дожидаясь осложнений.
Красивые и здоровые зубы — от такого не откажется ни один человек. Но большинство людей страдают от проблем в полости рта. Особенно болезненно и опасно такое заболевание как периодонтит. Лечить его очень сложно. А вот профилактика периодонтита — элементарна.
Когда нужно идти к стоматологу?
При периодонтите более всего страдают десна. Они постоянно кровоточат, это болезненно. Еще хуже они выглядят, отслаиваясь от зубов. Чтобы избежать этого, необходимо соблюдать простые правила.
- Нужно чистить зубы минимум дважды, использовать зубную нить. Такой уход поможет избежать налета на поверхностях.
- При регулярном уходе не страшен кариес, предвестник прочих стоматологических заболеваний.
- Зубные камни тоже необходимо удалять дважды в год. Это можно сделать только в клинике.
- Следите за своей пищей. Ешьте минимум сладостей и больше пейте.
- Регулярное посещение стоматолога необходимо всем. Но особенно в нем нуждаются беременные. Если есть склонность к периодонтиту, нужно ходить в стоматологию чаще.
Врачи подчеркивают, что профилактика периодонтита играет ключевую роль в поддержании здоровья полости рта. Регулярная гигиена, включая чистку зубов дважды в день и использование зубной нити, помогает предотвратить накопление налета и образование зубного камня. Специалисты рекомендуют посещать стоматолога не реже двух раз в год для профессиональной чистки и осмотра. Также важно следить за состоянием десен и при первых признаках воспаления обращаться к врачу. Правильное питание, богатое витаминами и минералами, способствует укреплению десен. Врачи акцентируют внимание на том, что отказ от курения и контроль хронических заболеваний, таких как диабет, также значительно снижают риск развития периодонтита.

Как узнать, есть ли периодонтит?
Обнаружить заболевание в начальной стадии можно во всех стоматологических клиниках. Врач осматривает при помощи специального прибора. При обнаружении кармана глубиной более 3мм диагностируется периодонтит.
Еще один точный метод диагностирования — компьютерное исследование. Этот метод носит название радиовизиографии. Врач фиксирует месторасположение карманов, их размеры. Если диагностируется патология, определяется лечебная схема. Радиовизиография пришла на смену рентгенографии, она гораздо эффективнее. Такую процедуру нужно проходить минимум раз в год. Если есть подозрение на травматический периодонтит, профилактика проводится по необходимости.
Особенности детской профилактики
Здоровые зубы у детей важны не менее чем у взрослых. Основной упор в профилактике детей делается на здоровое питание. В питательный рацион обязательно должно попадать необходимое количество фтора. Научные разработки показали, что получавшие в детстве фтор не имеют проблем с периодонтитом. Поэтому профилактика нужна в детском возрасте.
Периодонтит — это воспалительное заболевание, которое может привести к потере зубов, если не принять меры. Многие люди осознают важность профилактики и делятся своими советами. Регулярная гигиена полости рта — это основа. Чистка зубов дважды в день и использование зубной нити помогают удалить налет и предотвратить воспаление десен. Также важно посещать стоматолога не реже двух раз в год для профессиональной чистки и осмотра. Некоторые отмечают, что правильное питание, богатое витаминами и минералами, способствует укреплению десен. Избегание курения и чрезмерного потребления сахара также играет ключевую роль в профилактике. Люди советуют обращать внимание на первые признаки заболевания, такие как кровоточивость десен, и не откладывать визит к врачу. Забота о здоровье зубов — это инвестиция в будущее.

Ежедневная профилактика
Периодонтита не будет при отсутствии зубного налета. Чтобы его гарантировано не было — чистите дважды в сутки. Единожды в сутки межзубное пространство чистится нитью. После еды зубы можно просто полоскать обычной водой. Такая простая процедура удаляет более 30% микроорганизмов.
Как чистить?
Важно правильно пользоваться щеткой.
- Максимальное число чисток — утром, вечером и после каждой еды.
- Выбирая щетку, остановитесь на тех, у которых мягкая щетина.
- Лучшими зубными пастами считаются те, что содержат фтор. Это химическое вещество защищает от кариеса.
- Для чистки внутренней поверхности зубов совершайте движения вниз и вверх.
- При гигиенической чистке удерживайте щетку под наклоном 45° по отношению к челюсти.
- Двигать щеткой нужно в диапазоне зуба и без усилия.
- Очищать нужно не только внутреннюю, но и внешнюю сторону зубов.
- Чистите около 2 минут.
- Не забывайте почистить язык. На нем скапливается множество микроорганизмов.
- Хорошо вымойте щетки в проточной теплой воде.
- Каждый сезон покупайте новую щетку. За год вы должны сменить минимум четыре щетки. Если обнаружена болезнь — после выздоровления поменяйте щетку.
- Если десна кровоточат, щетка должна быть максимально мягкой. Не нужно усиленно давить при чистке.

Как пользоваться нитью?
- Нитку возьмите длиной порядка 45см.
- Намотайте ее вокруг пальцев.
- Проведите нитью меж зубами до самой десны.
- Аккуратно потяните за кончики.
- Поводите ниточкой по боковой части зуба.
- Потрите ниткой на границах зубов и мягких тканей.
- Не концентрируйтесь на одном участке нитки. Применяйте разные ее части.
Средства ухода
Для разных людей нужны индивидуально подобранные по зубные щетки.
- Для большинства идеальный вариант — щетки с четырьмя-пятью рядами щетины. Иногда требуются специальные щетки.
- Усиленная чистка задней поверхности возможна щеткой с длинной головкой.
- Усиленное внимание местам под деснами оказывают щетки с особой щетиной. Она выступает в центральной своей части над другими щетинками.
- Для массажа идеальны щетки с наконечником из резины.
- Для борьбы с налетом оптимальны электрощетки. Эту же задачу выполняют новые ультразвуковые щетки.
Пасту выбрать намного проще. Лучший вариант — с содержанием фтора. Такая паста защищает и отбеливает зубы. Дополнительно она препятствует неприятному запаху. Это происходит по причине удаления налета. Относитесь с опаской к пастам с абразивным эффектом. В их составе есть пероксид, он разрушает эмаль зубов.
При выборе нити нужно остановиться на оптимальной толщине. Если это правило не соблюдать — можно травмировать десна. При большом расстоянии между зубами используйте зубочистки. Они предпочтительнее и при зубных протезах. Также существуют для этих целей мини-щетки. Для полоскания рта в аптеках продаются жидкости. Они уничтожают микроорганизмы.
Дополнительными мерами профилактики служит отказ от курения. Пейте воду, она способствует слюнообразованию. Слюна прекрасно изолирует большинство токсических веществ. Ограничьте употребление сахара и сладостей. Такая пища провоцирует увеличению кислот и микроорганизмов. Отказ от избыточных углеродов поможет профилактике заболеваний.
Вопрос-ответ
Как понять, что начался периодонтит?
Периодонтит можно заподозрить по таким симптомам, как кровоточивость десен, их отечность и покраснение, неприятный запах изо рта, подвижность зубов и образование карманов между деснами и зубами. Также может наблюдаться боль при жевании и изменение положения зубов. Если вы заметили эти признаки, рекомендуется обратиться к стоматологу для диагностики и лечения.
Можно ли вылечить периодонтит за один прием?
Периодонтит нельзя вылечить за один прием у врача-стоматолога. Требуется комплексный и индивидуальный подход, КТ-диагностика, прочистка и пломбировка каналов, установка временных пломб и более сложные манипуляции.
Основной метод профилактики пародонтита?
Индивидуальная гигиена полости рта является основным методом первичной профилактики заболеваний пародонта: регулярная и правильная чистка зубов (3 раза в день).
Советы
СОВЕТ №1
Регулярно посещайте стоматолога для профилактических осмотров. Это поможет выявить проблемы на ранних стадиях и предотвратить развитие периодонтита.
СОВЕТ №2
Поддерживайте правильную гигиену полости рта. Чистите зубы дважды в день и используйте зубную нить, чтобы удалить налет и остатки пищи между зубами.
СОВЕТ №3
Соблюдайте сбалансированную диету, богатую витаминами и минералами. Употребление продуктов, содержащих кальций и витамин D, способствует укреплению зубов и десен.
СОВЕТ №4
Избегайте курения и чрезмерного потребления алкоголя, так как эти факторы могут ухудшить здоровье десен и увеличить риск развития периодонтита.

