Распространенной формой периодонтита является гранулированный периодонтит. Заболевание распространяется на ткань зуба и корня.
Выделяют три основных вида гранулирующего периодонтита – хронический, обостренно хронический и острый. Гранулирующий периодонтит чаще всего появляется из-за запущенной стадии кариеса в периодонт проникают патогенные микроорганизмы и при отсутствии своевременного лечения гранулы разрастаются, появляется свищ и в очаг проникают микроорганизмы. Когда свищ закрывается заболевание приобретает острую форму. На начальном этапе развития болезни нет ярко выраженной симптоматики, определить появление гранулированного периодонтита можно только при помощи рентгена. Обострение периодонтита сопровождается отеком десны, болью при жевании и употреблении пищи, шатанием зубов, увеличением лимфатических узлов, ухудшается общее состояние здоровья человека.
Одной из распространенных зубных проблем выступает заболевание гранулированный периодонтит. Эта болезнь неприятным образом влияет на ткань зуба и корня. В результате нерв в зубе разрушается. Вместе с ним страдают челюстные связки.
Что это?
Существует несколько видов заболевания.
- Хронический.
- Обостренный хронический.
- Острый.
От того, какой тип заболевания диагностирован, зависит способ лечения. Подборка медикаментов тоже зависит от формы и степени заболевания. Гранулирующий периодонтит симптомы главные — гранулы в соединительных тканях челюсти. Проблема разрастается с большой скоростью. Без эффективного лечения заболевание чревато серьезными последствиями.
Врачи отмечают, что гранулированный периодонтит является серьезным заболеванием, требующим внимательного подхода к диагностике и лечению. Специалисты подчеркивают, что данное состояние часто возникает как следствие хронического воспаления, вызванного инфекцией в корневом канале зуба. Врачи рекомендуют проводить своевременное лечение, чтобы избежать осложнений, таких как абсцесс или потеря зуба.
Медики акцентируют внимание на важности регулярных стоматологических осмотров, которые помогут выявить заболевание на ранних стадиях. Лечение гранулированного периодонтита обычно включает эндодонтические процедуры, направленные на очищение и герметизацию корневых каналов. Врачи также советуют пациентам соблюдать гигиену полости рта и следить за состоянием зубов, чтобы минимизировать риск повторного возникновения проблемы.

История болезни
Это заболевание довольно подробно изучено. История болезни гранулирующего периодонтита состоит из нескольких главных этапов.
- В периодонт проникают патогенные микроорганизмы. Это происходит на стадии глубокого хронического кариеса.
- При отсутствии должного лечения гранулы разрастаются.
- Появляется свищ, в очаг проникают еще микроорганизмы.
- Свищ закрывается, заболевание трансформируется в острую форму. Происходит обострение хронического гранулирующего периодонтита. Возникают еще более серьезные осложнения.
Симптомы
Болезнь длительное время развивается бессимптомно. На ранних стадиях патологию можно обнаружить только на рентген-снимке. Такое случается при лечении зубов по соседству. Развитие болезни зависит от иммунитета и активности воспаления. Поэтому болезнь то развивается ускоренными темпами, то затухает. Если гранулы концентрируются не в традиционном месте, можно обнаружить болезнь пальпацией. Уплотнение малозаметное, только опытный стоматолог может его обнаружит.
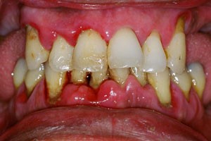
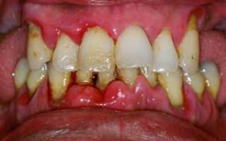
Опасность этой болезни в ее незаметности. Она месяцами никак не дает знать о себе. Резкое обострение гранулирующего периодонтита становится неприятным сюрпризом для человека. Он ощущает резкую боль, десна опухает, может возникнуть свищ. При возникновении такой ситуации нужна немедленная стоматологическая помощь.
Основные симптомы:
- Болезненность при пережевывании и при употреблении холодной пищи.
- Отек десны.
- Зловоние изо рта.
- Временная тупая боль в области десны. Боль появляется без раздражающего фактора.
- Увеличиваются лимфатические узлы.
- Зуб немного шатается.
- Может выделяться гной.
- Может появиться свищ.
- Повышается температура тела.
- Ухудшается общее состояние здоровья из-за постоянной интоксикации.
Многие из вышеперечисленных симптомов характерны и для прочих заболеваний. Диагностика этого заболевания затягивается на длительное время. Для разрешения сомнений врач обычно прибегает к помощи рентгена. Только рентгеновский снимок даст точный ответ на природу симптомов. Если на снимке возле корня есть темное пятно, то диагноз понятен. Начинается лечение гранулирующего периодонтита. Важно во время снимка правильно «прицелиться». Поэтому врач выполняет пальпацию и ориентируется на жалобы больного. При постукивании тоже есть некомфортные ощущения. Для удачного рентгена требуется большой опыт стоматолога.
Гранулированный периодонтит вызывает множество обсуждений среди стоматологов и пациентов. Многие пациенты отмечают, что заболевание часто развивается незаметно, что затрудняет его раннюю диагностику. Врачебные отзывы подчеркивают важность регулярных осмотров, так как на начальных стадиях симптомы могут быть минимальными. Люди делятся опытом лечения, отмечая, что своевременное вмешательство помогает избежать серьезных осложнений. Некоторые пациенты выражают опасения по поводу хирургического вмешательства, однако стоматологи уверяют, что современные методы лечения позволяют эффективно справляться с этой проблемой. В целом, мнения о гранулированном периодонтите варьируются, но все согласны в одном: профилактика и ранняя диагностика играют ключевую роль в успешном лечении.

Лечение периодонтита народными способами
В народе циркулирует множество рецептов и мифов на эту тему. Практика показывает следующее. Вылечить самостоятельно хронический гранулирующий периодонтит или другую его форму невозможно. Но немного унять боль или уменьшить воспаление народными методами реально. Но окончательного выздоровления не наступит. Болезнь уйдет в «подполье», а обострение наступит неожиданно. Иногда и сам стоматолог назначает народные средства. Это обычно полоскания на основе разных трав. Неплохую эффективность показывает шалфей, кожура лука, подорожник. Помогают ромашковые настойки и настои из дубовой коры. Положительные отзывы о настойке прополиса.
Рот полощут раствором соли и соды. Берут их по половинке чайной ложки на стакан воды. Полоскание нужно проводить часто, не менее двадцати раз в сутки. Полезно при полоскании имитировать процесс высасывания нагноения из зуба. Но само полоскание не окажет лечебного эффекта. Это дополнительная мера. Перед ней должна пройти чистка каналов в клинике. Если каналы не прочищены, оттока гноя не произойдет.
Профилактика периодонтита
Чтобы не допустить повторного заболевания, потребуются каждодневные профилактические меры. Они довольно просты, не требуют много усилий, времени или средств. Их положительный эффект не заменить ничем. В чем заключается профилактика? Это обычная ежедневная гигиена. Нужно минимум дважды в сутки чистить зубы. Зубную пасту лучше выбирать с фтором. Она препятствует развитию стоматологических заболеваний. Зубные пасты с отбеливающим эффектом могут быть небезопасны для эмали зуба. После еды используйте зубную нить. Пользуйтесь жидкостями для полоскания рта. Дважды в год нужно ходить в стоматологическую клинику, даже если ничего не болит. При малейшем проявлении патологии нужно посоветоваться со стоматологом. Кариес и воспаления десен должны лечиться своевременно.
Лечение должно проводиться в специализированной клинике. Отклоняться от предложенного врачом плана лечения нельзя. Откладывать поход к стоматологу нежелательно. Лечиться проще как можно быстрее. Пока заболевание не дало множественных осложнений. Решение всех проблем с зубами сейчас — это еще и выгодно. В дальнейшем лечебные мероприятия потребуют больше финансовых вливаний.

Вопрос-ответ
Что такое гранулирующий периодонтит?
Гранулирующий периодонтит – это одна из форм хронического воспаления тканей, которые окружают корень зуба. Если говорить проще, это вялотекущее заболевание инфекционного характера, которое не проявляет себя сильной болью или другими явными симптомами.
Что такое гранулезный периодонтит?
Гранулематозный периодонтит — хроническое воспалительное заболевание периодонта, в результате которого возле верхушки корня зуба образуются гранулемы – специфические соединительнотканные образования, отделяющие инфекционный очаг от здоровых тканей.
Что такое гранулирующий пульпит?
Гранулированный периодонтит – хроническое воспаление периодонта, при котором в области корня зуба образуются грануляции. Патология сопровождается болезненными ощущениями при накусывании, подвижностью зуба и отечностью десны.
Гранулирующий и гранулематозный периодонтит разница?
Гранулирующий периодонтит — следующий этап с отеком мягких тканей десны, появлением гнойного отделяемого, а также с постоянной болью. Гранулематозный периодонтит, при котором в толще тканей десны уже формируются гнойные кисты, требующие немедленного удаления операционным путем.
Советы
СОВЕТ №1
Регулярно посещайте стоматолога для профилактических осмотров. Это поможет выявить проблемы на ранних стадиях и предотвратить развитие гранулированного периодонтита.
СОВЕТ №2
Обратите внимание на гигиену полости рта. Чистите зубы дважды в день и используйте зубную нить, чтобы удалить остатки пищи и налет, что снизит риск воспалительных процессов.
СОВЕТ №3
Если у вас есть симптомы, такие как боль в деснах или зубах, не откладывайте визит к врачу. Чем раньше вы начнете лечение, тем меньше вероятность осложнений и более эффективным будет лечение.
СОВЕТ №4
Изучите информацию о возможных причинах гранулированного периодонтита, таких как травмы зубов или хронические заболевания. Это поможет вам лучше понять свое состояние и предотвратить его повторное возникновение.

