Есть множество причин возникновения боли под коронкой. Чаще всего это некачественное пломбирование зуба или попадение под коронку инородного тела.
В любом случае потребуется незамедлительная помощь специалиста.
Продолжительность сохранения зубной боли
Если неприятные ощущения беспокоят незначительное время после установки коронки, то это нормально. Такая боль должна успокоиться в течение 3—5 дней пока коронка притирается в ротовой полости.
Но если зуб болит длительное время, то стоит обратиться к врачу, чтобы избежать серьёзных осложнений.
Если у пациента болит зуб под коронкой, несмотря на удаление нерва, это может вызывать беспокойство. Врачи отмечают несколько основных причин дискомфорта. Во-первых, возможен воспалительный процесс в околозубной ткани, который может возникнуть даже при отсутствии нерва. Во-вторых, причиной боли может стать некачественная установка коронки, что приводит к неправильному прикусу или травмированию соседних зубов. Также стоит учитывать, что иногда под коронкой может развиваться кариес, который требует внимания. Наконец, врачи подчеркивают, что чувствительность зуба может быть связана с изменениями в окружающих тканях или даже с проблемами в челюстном суставе. В любом случае, при возникновении боли необходимо обратиться к стоматологу для диагностики и выбора оптимального метода лечения.

Почему болит депульпированный зуб под коронкой при надавливании, если нерв удалён
Если депульпированная единица продолжает болеть — начался воспалительный процесс. Он может возникнуть из-за неправильной подготовки зуба. Бывает так, что единица не была запломбирована до конца. В результате в незатронутой пломбой области скапливаются бактерии.
Ещё такое происходит при использовании некачественных пломбировочных материалов, которые часто проседают, и в пустотах возникает инфекция, а следом — воспаление. А также это может происходить при возникновении трещины или перелома зуба. Зубы подвержены множественным патологиям, которые на начальных стадиях выявить не удаётся. Болит не сама единица, а участок десны, на котором она находится.
Внимание! Это могут быть такие патологии, как пародонтоз, киста на коронке, флюс, абсцесс. Изначально зуб болит только при надавливании, но в будущем боль становится постоянной.
Некачественная обточка
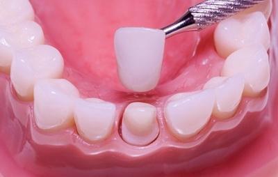
Обтачивание единицы перед установкой коронки — очень важная процедура. Снимаются твёрдые ткани и поверхность зуба выравнивается. После обточки единица принимает форму для лучшего крепления коронки. Ещё такую манипуляцию делают для удаления кариеса, чтобы избежать попадания инфекции.
Фото 1. При обтачивании зуба врач удаляет с поверхности ткани, которые поражены кариесом, это делается, чтобы предупредить развитие осложнений после протезирования.
Если обточка была проведена неправильно или не до конца снят слой кариеса, то десна начнёт воспаляться. Может остаться твёрдая ткань и зуб начнёт реагировать на касание и холод. При неправильной обточке повреждаются мягкие ткани. Если инструменты были некачественные, то могут образоваться сколы и трещины.
Боль под коронкой, несмотря на удаление нерва, может вызывать беспокойство и дискомфорт. Многие пациенты отмечают, что такая боль может быть связана с несколькими факторами. Во-первых, это может быть результатом воспаления тканей вокруг корня зуба, что иногда происходит даже после эндодонтического лечения. Во-вторых, причиной дискомфорта могут стать трещины или повреждения самой коронки, которые приводят к раздражению десен. Также стоит учитывать, что неправильная установка коронки может вызвать неправильное распределение нагрузки на зубы, что в свою очередь приводит к болевым ощущениям. Наконец, не стоит забывать о возможности развития кариеса под коронкой, что также может стать источником боли. В любом случае, при возникновении дискомфорта важно обратиться к стоматологу для диагностики и выбора оптимального лечения.

Перфорация канала и инородные предметы в нём
Большинство перфораций проводятся неаккуратно. В процессе обработки корневого канала могут произойти нарушения, из-за чего возникает воспалительный процесс.
До начала проведения перфорации нужно обязательно сделать рентгеновские снимки. На них будет точно видно, где и как сверлить и какое выбрать направление. Диагностика перфораций нужна обязательно. Так как если при сверлении было какое-то нарушение, то под коронку зуба могло попасть инородное тело. Это в будущем вызовет зубную боль и воспаление. Здесь тоже поможет сделанный вовремя снимок. На нём чётко отразится, где возникло поражение или попало инородное тело.
Некачественная установка коронки
Если при изготовлении коронки были допущены неточности, то она плохо прилегает к зубу и может в дальнейшем отпасть. Коронки также могут быть некачественно установлены, возникнет расслоение и расфиксирование. Под них начнёт попадать пища, которую впоследствии трудно извлечь.
Кроме того, при некачественной установке, коронки могут лопнуть, расшататься вместе с зубом.
Так как самостоятельно их удалить не удастся (даже уже расшатавшиеся), то единица будет также расшатываться.
И может произойти не только воспаление, но и заражение при кровоточивости.

Что делать, если разболелось под коронкой с удаленным нервом
В этом случае следует немедленно обращаться к стоматологу. Если единица ещё не сильно болит, то опытный врач подберёт лечение, не удаляя коронки. В первую очередь нужно спасать зуб, находящийся под протезом. А протез, насколько он не был дорогим и оригинальным, можно поставить после проведённого лечения.
Повторное лечение зуба — очень сложный процесс. Но если этого не делать, то в дальнейшем вы просто лишитесь этой единицы. И чтобы попробовать её спасти, нужно как можно раньше обратиться к врачу. Доктор попробует распломбировать и почистить канал зуба, затем запломбировать его заново и через некоторое время снова установить коронку. Если образовалась киста или гнойный нарыв, то опытный стоматолог прочистит полость через небольшое отверстие, тем самым сохраняя зуб и коронку.
Справка! Всё же если после этого лечения не будет результата (так как заболевание уже на запущенной стадии), то с зубом, скорее всего, придётся попрощаться. Так как в таких случаях даже опытный стоматолог может оказаться бессильным.
Применение нестероидных противовоспалительных средств
При умеренной боли принимаются: Аспирин, Парацетамол.
Если боль сильная: Ибупрофен, Найз, Темпалгин.
Препарат подбирает врач индивидуально.
Рецепты растворов для полосканий
После оказания срочной помощи и очистки полости рта полоскание ориентировано на устранение дискомфорта.
- Раствор соды и йода. Приготовление: в стакане тёплой воды развести 0,5 ч. л. соли, 1 ч. л. соды и несколько капель йода. Полученный раствор использовать для полосканий, повторяя процедуру каждые 1—2 часа.
 - Настой шалфея. 1 ст. л. сухого шалфея залить стаканом кипятка и оставить наставиться. В процессе полоскания старайтесь удерживать настой непосредственно на стороне больного зуба. Повторить 4 раза подряд с промежутком в 10—15 минут.
 
Симптомы осложнений
Если зуб начинает ныть при надавливании и боль под коронкой сильная, пульсирующая, то в таких случаях нужно незамедлительно идти к врачу. Так как эти признаки говорят о развитии периодонтита. Только опытный врач разберётся с симптомами заболевания. Если будет нужно, то направит вас на дополнительные обследования.
Полезное видео
На видео ниже врач-стоматолог ответит на вопрос, почему болит зуб с мертвым нервом и что делать в этой ситуации.
Мертвый зуб без боли
Когда под коронкой болит зуб без нерва, это свидетельствует о том, что бактерии были внесены в челюстную ткань непосредственно через корневой канал из-за сформировавшегося кариеса. «Мёртвый» зуб даёт о себе знать и в случае, когда до этого им занимался малоквалифицированный врач. Даже если зуб качественно запломбирован, у пациента могут прослеживаться патологии состояния дёсен в виде гингивита и пародонтита.
Вопрос-ответ
Почему болит зуб под коронкой без нервов?
Если под коронкой болит зуб без нерва, это признак патологий пародонта или некачественной установки протеза. Когда коронку ставят на живой зуб, не подвергшийся депульпации, болезненный синдром, как правило, говорит о пульпите.
Почему может болеть зуб, если там нет нерва?
Зуб без нерва может болеть из-за неправильного лечения каналов, инфекции, воспаления в окружающих тканях (периодонтита) или проблем с пломбой/коронкой. Основные причины: плохо запломбированные каналы → инфекция, киста. Завышенная пломба/коронка → травма тканей, боль при накусывании.
Как убрать зубную боль под коронкой?
Чаще всего врачи рекомендуют: Кетанов, Ибупрофен, Нурофен, Дексалгин. Принимать их лучше после консультации стоматолога и в соответствии с инструкцией. Также помогают регулярные (интервал 2-3 часа) полоскания отварами ромашки, шалфея, календулы и раствором из соли и соды.
Что может болеть в зубе, если нерв удален?
Болезненность в мертвом (депульпированном или девитальном) зубе может возникать как вполне закономерная реакция на вмешательство: раскрытие, чистку, пломбировку каналов. Это так называемые постпломбировочные боли. Они не выражены. Проходят самостоятельно через 3-14 дней после вмешательства.
Советы
СОВЕТ №1
Обратитесь к стоматологу для диагностики. Даже если нерв удален, боль может быть вызвана воспалением тканей вокруг корня зуба или другими проблемами. Профессиональная оценка поможет выявить причину и назначить соответствующее лечение.
СОВЕТ №2
Проверьте состояние коронки. Иногда коронка может быть неправильно установлена или повреждена, что может вызывать дискомфорт. Убедитесь, что она хорошо прилегает к зубу и не вызывает давления на соседние зубы.
СОВЕТ №3
Используйте обезболивающие средства. Если боль становится невыносимой, можно временно использовать безрецептурные обезболивающие, такие как ибупрофен или парацетамол, чтобы облегчить состояние до визита к врачу.
СОВЕТ №4
Следите за гигиеной полости рта. Регулярная чистка зубов и использование зубной нити помогут предотвратить инфекции и воспаления, которые могут усугубить ситуацию. Обратите внимание на область вокруг коронки и старайтесь избегать жесткой пищи, которая может вызвать дополнительный дискомфорт.




