Одной из самых распространённых проблем в ортодонтии считается неправильный прикус.
Исправление нарушения естественной функции смыкания зубов основывается на небольшом давлении, которое оказывается на зубной ряд пациента.
Выявление и профилактика такой зубочелюстной аномалии важна как для детей, так и для взрослых.
Традиционные способы выровнять зубы
На успех в исправлении неправильного прикуса вполне оправдано рассчитывать даже в тяжёлых случаях. Для ликвидации проблемы могут быть применены щадящие методы или хирургическое вмешательство, а также их комбинация.
К основному бережному способу лечения неправильного прикуса относят использование брекет-системы. Так называют несъемную конструкцию, состоящую из цепи замков, которые закрепляются на поверхности зубного ряда специальным кремом и дугой.
Металлическая дуга оказывает равномерное давление на зубы, тем самым приводя их в правильное расположение. Брекеты относят к системе длительного ношения. Главный недостаток — негативное воздействие системы на здоровье эмали.
Установка конструкций противопоказана психически больным пациентам, аллергикам, страдающим от заболеваний сердечно-сосудистой и иммунной системы.
В определённых случаях пациенту может быть показано хирургическое вмешательство. Операция проводится при нарушениях пропорции челюсти, очень глубоком, дистальном прикусе, врождённых аномалиях суставов, зубов и развития черепа.
Важно помнить о том, что лечение прикуса с помощью такого метода предполагает основательную и длительную подготовку и реабилитацию, так как операция является серьёзным вторжением в организм. Устранение проблемы с прикусом требует привлечения квалифицированного челюстно-лицевого хирурга и врача-ортодонта.
Исправление прикуса хирургическим путём противопоказано, если у пациента обнаружены следующие патологии: сахарный диабет, плохая свёртываемость крови и инфекционные заболевания.
Многие стоматологи отмечают, что металлические брекеты могут вызывать у пациентов дискомфорт из-за их заметности и эстетического вида. В связи с этим, все больше людей ищут альтернативные способы выравнивания зубов. Врачи рекомендуют рассмотреть такие методы, как прозрачные элайнеры, которые практически незаметны на зубах и позволяют добиться желаемого результата без использования металлических конструкций. Кроме того, существуют системы, такие как лингвальные брекеты, которые устанавливаются с внутренней стороны зубов, что делает их невидимыми для окружающих. Специалисты подчеркивают, что выбор метода зависит от индивидуальных особенностей пациента и степени искривления зубов, поэтому важно проконсультироваться с врачом для подбора оптимального решения.

Возможно ли исправление прикуса в домашних условиях?
Медицина движется вперёд быстрыми темпами, стало возможным исправить прикус и выровнять зубной ряд без грубого воздействия на зубы и дёсны.
Многие люди отдают предпочтение лечению в домашних условиях.
Перед тем как начать исправление дефектов дома, обратите внимание на следующие рекомендации:
- В процессе лечения не пропускайте назначенные визиты к врачу без уважительной причины.
 - Будьте готовы к тщательному и регулярному уходу за ротовой полостью.
 - Откажитесь от курения на время лечения.
 
Важно помнить и о предосторожностях:
- В некоторых случаях возникает аллергическая реакция на используемые материалы.
 - Не используйте какие-либо средства без предварительной консультации с врачом.
 - Не удаляйте кривой зуб в надежде решить проблему.
 
Как можно выпрямить кривые зубы у детей и взрослых
Изменить прикус и выровнять зубы можно без длительного ношения брекетов. В качестве аналога врачи предлагают использовать прозрачные капы, трейнеры и пластинки.
Многие люди выражают недовольство по поводу металлических частей в ортодонтических конструкциях, считая их неэстетичными и порой даже вызывающими дискомфорт. Однако современные технологии предлагают альтернативы, которые позволяют выровнять зубы без использования традиционных брекетов. Например, прозрачные капы становятся все более популярными благодаря своей незаметности и удобству. Они изготавливаются индивидуально для каждого пациента и могут быть сняты во время еды или чистки зубов. Кроме того, существуют системы, использующие специальные эластичные проволоки, которые также менее заметны. Такие методы не только помогают достичь желаемого результата, но и делают процесс лечения более комфортным и эстетичным.

Элайнеры или капы
Капы представляют собой бесцветные колпачки, которые изготовлены из прочного и эластичного материла (силиконовые или биопластиковые). Они надеваются на зубной ряд и оказывают щадящее механическое воздействие, тем самым выравнивают зубы. Элайнеры рекомендовано применять для исправления небольших дефектов прикуса.
Фото 1. Устранение неровного прикуса при помощи элайнеров. Они представляют из себя бесцветные капы, которые почти незаметны на зубах.
Если патология прикуса довольно заметна, требуется круглосуточно носить капы, снимать их можно только во время чистки зубов и принятия пищи.
Достоинства:
- Отсутствие негативного воздействия на зубную эмаль.
 - Капы не вызывают каких-либо неприятных ощущений, не царапают полость рта.
 - Незаметны окружающим.
 
Недостатки:
- Высокая стоимость. Она связана с тем, что в течение лечения пациенту требуется заменить немалое количество кап.
 - При крайне серьёзных аномалиях капы могут быть малоэффективны.
 
Внимание! Перед использованием кап требуется вылечить кариес и заболевания дёсен.
Трейнеры
Трейнер представляет собой ортодонтический аппарат, который применяется для лечения неправильного прикуса у детей и взрослых.
Его изготавливают из гипоаллергенных и долговечных материалов: силикона и полиуретана.
Конструкция не обеспечивает закрепление на каждом отдельном зубе, но способна плотно охватить зуб с обеих сторон и закрывает большую часть десны.
Преимущества:
- Демократичная цена. Трейнеры выпускаются в нескольких размерах, не изготавливаются по индивидуальному заказу.
 - Возможность исправить дефекты речи. Трейнер способен помочь исправить нарушения дикции, если они связаны с неправильным прикусом.
 - Несложный уход. Для очищения трейнера необязательно покупать специальные чистящие приспособления.
 - Отсутствие психологического дискомфорта. Аппарат можно снять в любой момент.
 
Недостатки:
- Медленный результат. Проявление эффекта произойдёт не раньше чем через год.
 - Запрещено пить и есть, после того как пациент надел трейнер.
 

Пластинки
В отличие от брекетов, зубные пластинки не закрепляются на зубах и могут сниматься во время приёма пищи или чистки зубов. Они состоят из металлических дуг и пластмассового основания, которые воздействуют на зубной ряд целиком. Чаше всего изделия показаны детям.
Фото 2. Пластинка для выравнивания зубов. Представляет из себя пластмассовое основание, которое закреплено на металлических дугах.
Стоимость пластины складывается из материала изготовления, количества сменных пластин и характера дефекта. В среднем, изделия в 2—3 раза дешевле брекет-систем.
Преимущества ношения пластинок:
- Простота в очищении.
 - Пластинки незаметны визуально.
 - Создание конструкций требует индивидуального подхода: слепок разрабатывается врачом-ортодонтом и позже передаётся в лабораторию, где пластинку уже изготавливают.
 
Недостатки:
- Регулярное ношение пластинок детьми требует постоянного контроля со стороны взрослых, так как первые могут самостоятельно их снять.
 - Важно носить пластинки именно столько часов в сутки, сколько было рекомендовано врачом.
 
Альтернативы брекетам для выравнивания челюсти в стоматологии
Для создания красивой и ровной улыбки брекеты можно заменить следующими приспособлениями.
Выпрямление с использованием виниров
В определённых случаях кривые зубы можно убрать винирами. Они представляют собой микропротезы в виде тонких пластинок.
Материалы, которые используются при изготовлении виниров, обладают высокой светопропускаемостью, и благодаря этой способности, зубы выглядят естественно.
Отдать предпочтение керамическим винирам рекомендуется в том случае, если зубам необходима существенная коррекция. А композитные виниры рекомендуется использовать в целях исправления небольших дефектов и промежутков между зубами.
Плюсы:
- Зубы приобретают красивую форму и цвет уже через короткое время.
 - При условии выполнения всех требований стоматолога, виниры могут продержаться на зубах многие годы.
 - Изделия стойки к всевозможным красителям.
 
Минусы:
- За счёт дорогих материалов и индивидуального подхода к каждому пациенту стоимость накладки довольно высока.
 - Для того, чтобы поставить виниры, необходимо подточить зубы.
 
Важно! Такой метод не исправляет проблему, а только скрывает её.
Люминиры
Люминирами называют тонкие, изготовленные из фарфора, накладки. От виниров они отличаются более прочной конструкцией и меньшей толщиной. При необходимости люминиры можно также снимать.
Фото 3. Люминиры для выравнивания прикуса. Сверху изображены сами изделия, снизу они надеты на зубы.
Люминиры — самый дорогой и престижный вид виниринга. В их стоимость включают уникальность технологии, сотрудничество с лабораториями США и активную рекламу по всему миру.
Достоинства:
- Процедура проходит безболезненно.
 - Установить люминиры можно без обточки зубов.
 - Отсутствует необходимость в использовании временных накладок.
 
Недостатки:
- Высокая стоимость.
 - Визуально утолщают зубной ряд.
 
Композитная реставрация
Такая процедура предполагает установку фотополимерной пломбы, которая способна устранить все зубные дефекты, включая межзубные промежутки. Визуально пломбу не отличить от природных зубов.
Композитная реставрация относится к одному из самых доступных методов исправления неровности зубов.
В стоимость входят материалы и предварительная подготовка зубов.
Преимущества:
- Короткое время создания реставрации: один приём у специалиста.
 - Минимальное вмешательство в структуру ткани.
 
Недостатки:
- Срок службы реставраций почти в два раза короче, чем виниров.
 - Прочность у композитных материалов ниже, чем у керамических виниров.
 - Блеск теряется уже через 2—3 года после установки.
 
Коронки
Коронка представляет собой изделие для микропротезирования, охватывающее всю поверхность зуба, которому показано лечение. Для установки постоянных коронок требуется 2—3 посещения стоматолога.
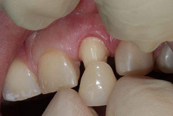
Фото 4. Процесс надевания коронки зубной коронки. Для того чтобы её разместить, зуб необходимо обточить.
Во время первого визита диагностируется состояние зубов, и проводится их шлифование. После этого происходит изготовление слепков зубов, подготовленных к протезированию, и устанавливаются временные коронки, которые пациент должен носить до изготовления постоянных.
На втором визите, человек получает постоянные коронки. Путём тестирования подтверждается начало процесса исправления прикуса.
Третье посещение имеет место в том случае, если коронки доставляют пациенту боль или неприятные ощущения.
Ценовой разброс на коронки очень велик. Как и в других видах протезирования, стоимость определяется в зависимости от материалов, сложности работы и квалификации врача.
Плюсы:
- Высокая прочность и биосовместимость.
 - Гипоаллергенность — коронки почти никогда не вызывают раздражения дёсен.
 
Минусы конструкций:
- Необходимость шлифования зубов.
 - Возможность возникновения воспаления.
 
Импланты
Ортодонтические импланты используются как временные импланты или тонкие, небольшие винты, которые должны функционировать в течение нескольких месяцев.
Их цель заключается в выравнивании зубов под действием постоянного умеренного давления.
За счёт внушительной суммы гонорара специалиста-имплантолога и высокой стоимости самой конструкции, процедура вживления импланта требует от пациента значительных затрат.
Преимущества использования имплантов:
- Лёгкость в применении и простота в установке.
 - Минимальный перечень противопоказаний.
 - Импланты неподвижны, их присутствие не ощущается во время приёма пищи.
 
Недостатки:
- Металл может разрушиться из-за небольшой толщины.
 - Устанавливаются только временно.
 
Косметическая коррекция
Данный метод подразумевает закрытие щели между зубами специальной корректирующей пломбой. По механизму установки коррекция схожа с применением люминиров или виниров.
Преимущества:
- Доступная стоимость процедуры, так как пломбировочный материал недорогой.
 - Отсутствие противопоказаний.
 - Быстрота проведения.
 
Недостатки:
- Этот метод помогает решить проблему только временно.
 - Часто пломба теряет свой цвет, что негативно сказывается на внешнем виде зубного ряда.
 - Пациенту необходимо контролировать нагрузку на передние зубы.
 
Сепарация
Данная процедура предполагает обточку зубов с боков для расширения пространства между ними. Такая методика особенно эффективна при лечении скученности зубов. Обточка создаёт достаточное пространство для проведения различных манипуляций по выравниванию зубного ряда, и, таким образом, отпадает необходимость удаления здоровых зубов. Стоимость процедуры зависит от количества зубов, которым потребуется обточка.
Фото 5. Процесс сепарации зубов. При этом используется специальный аппарат со шлифовальным диском.
Преимущества:
- Отсутствие реабилитационного периода.
 - Нет необходимости в восстановлении зубной ткани.
 - Процедура проходит безболезненно.
 
Недостатки:
- После процедуры может увеличиться чувствительность.
 - Нарушается целостность пульпы.
 
Как исправить прикус у детей
Различные коррекционные методики применяются в зависимости от возраста пациента с неправильным прикусом. При лечении детей предпочтение отдаётся в пользу съёмных конструкций, которые воздействуют на построение мышц, формирующих правильное развитие костной ткани.
Челюсти детей и подростков находятся в состоянии динамичного роста и развития, поэтому повлиять на неправильный прикус можно с меньшими временными затратами. В то время как у взрослых, рост уже завершён, и работа проходит со сформировавшимся прикусом.
Профилактика искривления
Родителям надо понимать причины искривления зубов у ребёнка в целях предотвращения возникновения этой проблемы. Для этого важно:
- Давать ребёнку еду, которая соответствует его возрасту, обязательно включать в рацион твёрдую пищу.
 - Предотвращать развитие хронических заболеваний, которые способны затруднить носовое дыхание.
 - Постараться отучить ребёнка от вредных привычек, нарушающих развитие правильного прикуса и травмирующих эмаль.
 
Если дефекты прикуса уже обнаружены, требуется обратиться к специалисту и как можно быстрее начать коррекцию.
Миогимнастика
Миогимнастика — набор из лёгких и действенных упражнений для зубов и челюсти. Занятия гимнастикой особенно эффективны, если неправильный прикус выражен неявно. Вот некоторые из упражнений:
- Откройте рот как можно шире и ритмично смыкайте челюсти 10 раз.
 - Дотроньтесь до нёба кончиком языка и постарайтесь отодвинуть язык как можно дальше назад. Не меняя положения, откройте и закройте рот 10 раз.
 - Поставьте локоть на стол и упритесь подбородком, положив его в ладонь. В таком положении открывайте и закрывайте рот 10 раз.
 
Как самому сделать брекеты в домашних условиях?
Брекеты в домашних условиях изготовить возможно, но исправить зубы самодельной брекет-системой не получится. При прикладывании металла к зубам, важно помнить о том, что вы можете поцарапать эмаль. Домашние брекеты не рекомендуется носить длительное время.
Имитировать брекеты можно при помощи канцелярской скрепки и бисера. Инструкция создания конструкции:
- Разогните скрепку и придайте ей форму зубного ряда.
 - Посчитайте, сколько зубов визуально видны. Таким образом, вы поймёте сколько бисеринок необходимо использовать.
 - Возьмите требуемое количество бисера и прикрепите его к скрепке. Соблюдайте правильное расстояние между предметами: оно должно равняться расстоянию между зубами. Бисеринки должны располагаться по центру каждого зуба.
 - Поднимите скрепку к зубам и оцените сделанное.
 - Если конструкция вас устраивает, приклейте бисеринки к проволоке нетоксичным клеем.
 - Создайте на каждом конце проволоки сгибы.
 - Слепите из ортондонтического воска два шарика и проденьте их через концы сделанных брекетов.
 - Закрепите самодельную конструкцию на зубах.
 
Полезное видео
Посмотрите видео, в котором рассказывается, как исправить прикус с использованием элайнеров.
Заключение
Брекеты уже давно не являются единственным способом получения ровных зубов и правильного прикуса. Использование съёмных конструкций поможет в короткие сроки добиться красивой и открытой улыбки. Врач-ортодонт подберёт эффективный способ коррекции, который подходит именно вам.
Вопрос-ответ
Какие есть способы быстро выровнять зубы без брекетов?
Существует несколько способов быстро выровнять зубы без брекетов, включая использование прозрачных элайнеров, таких как Invisalign, которые постепенно перемещают зубы в нужное положение. Также доступны ортодонтические пластины и специальные системы, такие как Lingual Braces, которые устанавливаются на внутренней стороне зубов. В некоторых случаях могут применяться ускоренные методы, такие как ортодонтические устройства для расширения челюсти или хирургические вмешательства для коррекции прикуса. Однако перед выбором метода рекомендуется проконсультироваться с ортодонтом.
Можно ли исправить зубы естественным путем без брекетов?
Выпрямить зубы без брекетов можно, если знать, на что обратить внимание. Технологии шагнули далеко вперёд, предлагая как косметические стоматологические процедуры, так и функциональные решения без использования металла. Такие варианты, как прозрачные каппы, ретейнеры и косметическая стоматология, позволяют исправить широкий спектр искривлений или аномалий прикуса.
Советы
СОВЕТ №1
Используйте элайнеры. Это прозрачные капы, которые постепенно выравнивают зубы, не нарушая эстетику вашей улыбки. Они удобны в носке и могут быть сняты во время еды или чистки зубов.
СОВЕТ №2
Обратите внимание на ортодонтические пластины. Эти устройства могут помочь в выравнивании зубов, особенно у детей и подростков. Они менее заметны, чем традиционные брекеты, и могут быть эффективными для коррекции легких аномалий.
СОВЕТ №3
Рассмотрите возможность использования виниров. Если ваши зубы не только кривые, но и имеют эстетические недостатки, виниры могут скрыть их и создать идеальную улыбку. Это решение требует минимального вмешательства и может значительно улучшить внешний вид зубов.
СОВЕТ №4
Не забывайте о регулярных консультациях с ортодонтом. Профессионал сможет предложить индивидуальный план лечения, учитывая особенности вашей челюсти и зубов, что поможет выбрать наиболее подходящий метод выравнивания.














