Если у человека в организме есть воспалительный процесс, то он рано или поздно доставит беспокойство. Не является исключением и гингивит.
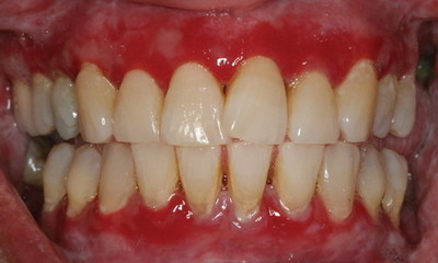
Это заболевание касается дёсен и у взрослых людей проявляется их покраснением, кровоточивостью, болезненностью, неприятным запахом изо рта.
Клиника, диагностика по симптомам
Основополагающей задачей этапа диагностики является определение точного диагноза. Сложность состоит в том, что гингивит можно спутать с такими заболеваниями, как пародонтоз, пародонтит и стоматит.
Важным отличием гингивита является факт повреждения только тканей десны. Воспаление никак не касается самого зуба, его прочности.
Проводится диагностика с помощью клинических и параклинических методов исследования. Начальным этапом является опрос пациента, во время которого выясняются подробности его состояния и самочувствия.
Внимание! Правильная диагностика очень важна. Так как на основе полученных данных будет назначаться лечение.
При несоответствии данных, полученных во время опроса пациента, действительности, может быть назначено неверное лечение. Поэтому людям следует быть максимально искренними в своих ответах.
После опроса пациента проводится его осмотр. Во время его проведения врач осматривает состояние зубов и слизистых оболочек, состояние всех уздечек, особенностей языка.
Важным моментом является осмотр дёсен, их краёв. Обращается внимание на следующие характеристики:
- консистенция и цвет;
 - наличие или отсутствие выделяемой жидкости;
 - состояние края десны: атрофированное или гипертрофированное;
 - язвы, свищи или абсцессы;
 - уровень распространения патологических процессов;
 - наличие или отсутствие зубодесневых карманов.
 
Так как одной из распространённых причин возникновения гингивита является микробный налёт, то при осмотре важна и его проверка, а также наличие камней, их плотности, объёма и расположения.
Кроме опроса и осмотра, стоматологи применяют и специфические методы диагностики. С их помощью возможно более точное определение заболевания, стадию его развития.
Для диагностики гингивита используют следующие специфические методики:
- Проба Шиллера-Писарева.
 - РМА-индекс.
 - Пародонтальный индекс.
 - Метод Кулаженко.
 - Индекс гигиены по Фёдорову-Володинской.
 
При проведении вышеперечисленных методик получаются результаты, выраженные в баллах. Каждому типу заболевания соответствует своя градация. Например, если у пациента результаты по гигиеническому индексу находятся в зоне от 2,4 до 2,8 баллов, то это говорит об остром катаральном гингивите. А если результат по методу Кулаженко равен 20 – 40 секунд, то это свидетельствует о гипертрофическом гингивите, его фиброзной форме.
При диагностике гингивита важно исследовать также и костную ткань.
Фото 1. Снимок костной ткани ротовой полости, сделанный с помощью ОПТГ, показывает весь зубной ряд.
Это проводится с помощью ортопантомографии, панорамной рентгенографии. Это позволяет получить максимально точные и полноценные показатели состояния ротовой полости.
Важно! Диагностировать заболевание сможет только специалист. Так как гингивит можно спутать с другими воспалениями ротовой полости. Поэтому при первых симптомах, не стоит заниматься самостоятельной диагностикой и лечением. Надо сразу обратиться к врачу.
Врачи подчеркивают, что гингивит — это воспаление десен, которое может привести к более серьезным заболеваниям полости рта, если не принять меры. Основными симптомами являются покраснение, отечность и кровоточивость десен. Специалисты рекомендуют регулярные профилактические осмотры у стоматолога, а также ежедневную гигиену полости рта, включая чистку зубов дважды в день и использование зубной нити. Лечение гингивита обычно включает профессиональную чистку зубов и применение антисептических средств. Врачи также советуют избегать курения и придерживаться сбалансированной диеты, богатой витаминами, что способствует укреплению десен. Своевременное обращение к специалисту и соблюдение рекомендаций помогут избежать осложнений и сохранить здоровье зубов и десен.

Как лечить гингивит у взрослых и детей
В зависимости от полученных данных во время диагностики доктор назначает соответствующее лечение. Оно может включать следующие мероприятия:
- профессиональная чистка ротовой полости;
 - хирургический метод;
 - медикаментозное лечение;
 - народная медицина.
 
Гигиена полости рта в стоматологии
Вне зависимости от вида гингивита первым этапом лечения является чистка зубов от налёта и камней. Налёт часто является причиной заболевания.
Поэтому во время терапии устраняется первопричина, чтобы заболевание не распространялось ещё больше.
В домашних условиях с помощью зубной пасты и щётки можно удалить только мягкий налёт. Но самостоятельно справиться с камнями невозможно. Поэтому необходимо воспользоваться именно профессиональной чисткой у квалифицированного стоматолога.
Чистка зубов является безболезненным и безопасным процессом, который проводится ультразвуком. А также врач использует укрепляющие пасты, гели, лак, восстанавливающий эмаль.
Справка! Налёт имеет свойство твердеть и со временем превращаться в камни, становясь источником многих проблем зубов и дёсен. Он служит местом скопления вредных бактерий, которые могут вызвать повторное воспаление десневой ткани.
Чистка полости рта у стоматолога включает:
- очистку зубов от камней при помощи ультразвука;
 - очистку зубов щёткой со специальной пастой;
 - полировку шеек зубов, где больше всего скапливается налёт.
 
Гингивит — это воспаление десен, которое может привести к более серьезным заболеваниям полости рта, если его не лечить. Многие люди отмечают, что основными симптомами являются покраснение, отечность и кровоточивость десен. Важно понимать, что профилактика играет ключевую роль в борьбе с этим заболеванием. Регулярная гигиена полости рта, включая чистку зубов дважды в день и использование зубной нити, помогает предотвратить гингивит. Также рекомендуется посещать стоматолога не реже двух раз в год для профессиональной чистки и осмотра. Лечение может включать антисептические ополаскиватели и специальные пасты, а в более серьезных случаях — медикаментозную терапию. Люди, следящие за своим здоровьем, подчеркивают важность осведомленности о симптомах и методах профилактики, чтобы избежать осложнений и сохранить здоровье десен.

Хирургический метод в лечении
В некоторых случаях лечение гингивита возможно только при помощи хирургического вмешательства. Оно проводится при помощи следующих процедур:
- закрытый кюретаж – снятие зубного камня специальными крючками;
 - открытый кюретаж – делается надрез десны, чтоб удалить камень.
 
Фото 2. Результат профессиональной чистки зубов от зубного камня у стоматолога с помощью ультразвука.
Медикаментозный способ лечения десен
В связи с тем, что заболевание гингивит вызывают болезнетворные бактерии, то эффективным медикаментозным средством являются антибиотики широкого спектра действия.
Но врач их назначает только тогда, когда в этом есть необходимость. Потому что при лёгкой форме заболевания эффективным будет лечение и при помощи природных антибиотиков, таких как отвар ромашки, календулы.
В случае с тяжёлыми формами этот метод неэффективен, и врач может назначить антибактериальные мази для местного воздействия, а также приём антибиотиков в виде таблеток.
Приём антибиотиков обязателен при язвенно-некротическом гингивите и спровоцированном хирургическим воздействием на полость рта, а также в том случае, если у человека во время заболевания плохое самочувствие и повышенная температура тела.

Можно ли вылечить гингивит травами
Методы народной медицины также применяются для лечения гингивита. В основном это касается полоскания при помощи трав.
Фото 3. Средства народной медицины в лечении гингивита – простые методы профилактики и помощи в устранении серьёзной проблемы.
Это является действенным потому, что такие растения, как ромашка, календула, мелисса и другие содержат противовоспалительные и антисептические компоненты. Кроме того, в них имеются витамины, макро – и микроэлементы, которые положительно влияют на снятие воспаления.
Внимание! Методы народной медицины не являются основным лечением. Их следует использовать в качестве вспомогательных средств.
Полоскать ротовую полость можно отварами, настойками из следующих компонентов:
- ромашка;
 - зверобой;
 - кора дуба;
 - календула;
 - перечная мята;
 - шалфей;
 - душица.
 
Справка! Полоскать рот надо после каждого приёма пищи.
Полоскание природными компонентами способствует избавлению ротовой полости от инфекций, способных вызвать воспалительный процесс.
Полезное видео
Посмотрите видео, в котором врач – стоматолог подробно описывает диагностику, симптомы, лечение гингивита у взрослых, а также профилактику заболевания.
Что делать, если у вас гингивит
Своевременная диагностика гингивита способствует наиболее быстрому и эффективному лечению. К кому обратиться? Справиться с этой задачей сможет только профессиональный стоматолог. Поэтому при возникшем беспокойстве не стоит заниматься самолечением. Лучше доверить своё здоровье квалифицированному специалисту.
Вопрос-ответ
Какое самое лучшее средство от гингивита?
С начальными стадиями гингивита отлично справляются антисептики – «Хлоргексидин», «Метронидазол», которые есть в составе нескольких дентальных гелей и растворов. Хороший эффект дают полоскания с настоями ромашки, шалфея.
Какова профилактика гингивита?
Профилактика гингивита включает регулярную и правильную гигиену полости рта: чистку зубов дважды в день с использованием фторсодержащей зубной пасты, применение зубной нити для удаления налета между зубами, а также регулярные визиты к стоматологу для профессиональной чистки и осмотра. Также важно соблюдать здоровую диету, богатую витаминами и минералами, и избегать курения, что способствует поддержанию здоровья десен.
Что такое гингивит и как его лечить?
Гингивит – это заболевание десен воспалительного характера, проявляющееся отеком и покраснением. Несвоевременное лечение патологии может вызвать переход воспаления на костную ткань (остеомиелит) и привести к адентии (полной или частичной потере зубов).
Советы
СОВЕТ №1
Регулярно посещайте стоматолога для профилактических осмотров. Это поможет выявить гингивит на ранней стадии и предотвратить его развитие. Стоматолог сможет провести профессиональную чистку зубов и дать рекомендации по уходу за полостью рта.
СОВЕТ №2
Обратите внимание на свою гигиену полости рта. Чистите зубы не менее двух раз в день с использованием фторсодержащей зубной пасты и не забывайте о зубной нити, чтобы удалить остатки пищи и налет между зубами.
СОВЕТ №3
Соблюдайте здоровую диету, богатую витаминами и минералами, особенно витамином C, который способствует укреплению десен. Употребляйте больше свежих фруктов и овощей, а также избегайте избыточного потребления сахара, который может способствовать развитию бактерий в полости рта.
СОВЕТ №4
Если вы заметили признаки гингивита, такие как кровоточивость десен или неприятный запах изо рта, не откладывайте визит к стоматологу. Раннее лечение поможет избежать более серьезных проблем с деснами и зубами в будущем.






