Гингивит является воспалительным поражением тканей десен. Развитие микроорганизмов, инфекций, снижение иммунитета и ряд других заболеваний как на локальном, так и на общем уровне способствует образованию гингивита.
Существует четыре основных вида гингивита: катаральный, гипертрофический, атрофический и язвенно-некротический. По степени тяжести гингивит бывает острым, хроническим и обострившимся. Также в отдельную степень выделяют гингивит находящийся в стадии ремиссии. Каждый из форм заболевания требует различного подхода в лечении. Катаральная форма гингивита протекает наиболее легко, при обнаружении болезни учитывают индекс кровоточивости и распространения воспалительного процесса. Гипертрофический гингивит подразделяют на две формы – отечную и фиброзную. Тяжесть зависит от величины разрастания тканей десен. Язвенная форма гингивита обычно протекает остро и способ лечения необходим комплексный. Атрофический гингивит не имеет ярко выраженных симптомов, обнаружить это заболевание можно по оголившимся шейкам зубов и повышенной чувствительности к термическим и механическим раздражителям.
Болезнь ротовой полости, проявляющаяся в виде воспалительного поражения десневой ткани, называется гингивитом. Заболевания может быть спровоцировано рядом как общих, так и локальных причин. Пусковым механизмом для развития воспалительного процесса является активное размножение патогенных микроорганизмов в ротовой полости больного, связанное со снижением его иммунного статуса. Стоматологи-пародонтологи классифицируют гингивит в зависимости от распространенности, клинического течения и формы воспалительного поражения.
Классификация гингивита
В зависимости от клинического течения гингивит может быть острым, обострившимся, хроническим или таковым, который находится в стадии ремиссии. По локализации воспалительный процесс может поражать десневую ткань около 2-3 зубов (локализованный тип заболевания) или же большую группу зубов (генерализованный тип).
По форме воспалительного поражения выделяют следующие виды гингивитов:
- катаральный;
 - атрофический;
 - язвенно-некротический;
 - гипертрофический.
 
Каждая из форм заболевания имеет определенную клиническую картину и требует различного подхода в лечении.
Врачи отмечают, что формы, в которых проявляются заболевания, могут существенно влиять на диагностику и лечение. Например, острые и хронические формы одной и той же болезни требуют различных подходов. Специалисты подчеркивают важность раннего выявления, так как это позволяет избежать осложнений и улучшить прогноз. Врачи также акцентируют внимание на том, что индивидуальные особенности пациента, такие как возраст и сопутствующие заболевания, могут изменять клиническую картину. Поэтому они рекомендуют проводить комплексное обследование, чтобы точно определить форму заболевания и выбрать наиболее эффективную терапию. В конечном итоге, понимание форм заболеваний помогает врачам не только в лечении, но и в профилактике, что является ключевым аспектом современной медицины.

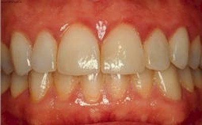
Воспалительное поражение катарального типа
Катаральная форма болезни протекает наиболее легко. Выделяют три степени тяжести заболевания, каждая из которых определяется в зависимости от распространенности воспалительного процесса (межзубные сосочки, маргинальная, межзубная или альвеолярная часть десны).
Характерными симптомами заболевания являются:
- кровоточивость десневой ткани при ее механическом раздражении;
 - гиперемией и отеком десен;
 - бактериальный налет;
 - неприятный запах;
 - изменение вкусовосприятия.
 
При диагностике гингивита катаральной формы учитывают индекс кровоточивости и распространенности воспалительного процесса, при помощи которых определяют степень тяжести катарального воспалительного поражения.
Лечение катаральной формы болезни имеет четыре этапа. На первом этапе необходимо удалить зубные отложения (профессиональная чистка ротовой полости) и прошлифовать поверхность зубов. Именно шлифовка зубного ряда препятствует дальнейшему скоплению бактериального налета.
Второй этап терапии заключается в общем и местном противовоспалительном лечении. Локальное лечение заключается в полоскании ротовой полости растворами антисептиков, например, Хлоргексидином, Фурамистином или Фурацилином, а также в проведении пародонтальных аппликаций при помощи специальных препаратов — мазей и гелей, например, Холисала, Апидент-Актива или Солкосерила. Противовоспалительное лечение занимает от 10 до 25 дней в зависимости от тяжести заболевания.
На третьем этапе проводят ортодонтическое и стоматологическое лечение, включающее в себя замену старых пломб, протезов и имплантатов, а также лечение кариеса. Именно кариес может выступать в роли хронического очага инфекции, провоцирующего развитие катарального воспалительного процесса.
Четвертый этап заключается в обучении больного правильному уходу за ротовой полостью. Систематическая чистка зубного ряда является основной мерой повторного возникновения воспалительного поражения.
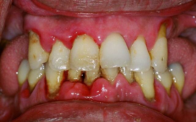
Гипертрофический гингивит
В зависимости от клинической картины гипертрофический гингивит разделяют на отечную и фиброзную формы. Признаками заболевания являются:
- резкая кровоточивость десен;
 - болезненность при термическом и механическом воздействии;
 - гипертрофия десенной ткани и изменение рельефа десны;
 - субфебрильная температура;
 - гиперемирование зубодесневых сосочков;
 - образование ложных пародонтальных карманов;
 - десна отечны и увеличены в объеме;
 - выделение экссудата;
 - зловонный запах из ротовой полости.
 
Степени тяжести гипертрофической формы заболевания напрямую зависят от величины разрастания десенной ткани.
Лечение гипертрофического воспалительного поражения является комплексным и направлено на подавление воспалительного процесса. Обязательной составляющей терапии является удаление зубных отложений.
Лечение отечной формы болезни заключается в обезболивании и уменьшении гипертрофии при помощи склеротизирующих препаратов. Фиброзную форму гипертрофического воспалительного процесса лечат при помощи оперативных методов, то есть путем удаления пораженных участков. После удаления гипертрофических тканей больному назначают пародонтальные аппликации с ранозаживляющими препаратами, противовоспалительное лечение и витаминотерапию.
Формы в жизни людей занимают важное место, вызывая разнообразные мнения и обсуждения. Многие считают, что формы — это не только геометрические фигуры, но и отражение гармонии и эстетики. Художники и дизайнеры часто говорят о том, как форма может влиять на восприятие объекта, создавая эмоциональную связь с зрителем. В архитектуре формы становятся символами, определяющими стиль и характер зданий.
С другой стороны, в повседневной жизни люди обсуждают формы в контексте удобства и функциональности. Например, выбор формы мебели или посуды может существенно повлиять на комфорт и атмосферу в доме. В социальных сетях активно обсуждаются тренды, связанные с формами в моде, где необычные силуэты становятся предметом восхищения или критики.
Таким образом, формы — это не просто визуальные элементы, но и важные аспекты, влияющие на наше восприятие мира и взаимодействие с ним.

Язвенно-некротическое воспалительное поражение десневой ткани
Для язвенного воспалительного поражения характерными симптомами являются:
- сильная кровоточивость десен;
 - ярко выражена болезненность при термическом, химическом или механическом раздражении;
 - изъязвление десенной ткани;
 - общая интоксикация организма (гипертермия, слабость, тошнота);
 - некроз десневой ткани;
 - зловонный запах из ротовой полости.
 
Лечение язвенного гингивита заключается в проведении комплексной терапии, направленной на купирование деструктивного процесса (антибиотикотерапия, противовоспалительное лечение, иммунотерапия), удалении некротических тканей (хирургическое лечение) и восстановлении слизистой оболочки десен. Помимо комплексного лечения для закрепления результата больному назначают повторную системную и местную антибиотикотерапию.
Атрофический гингивит
Атрофический воспалительный процесс в десневой ткани не имеет ярко выраженных симптомов: цвет десен не изменяется, кровоточивость не наблюдается. Основными симптомами, характерными для атрофического гингивита, являются оголение шеек зубов и повышение чувствительности околозубной ткани к термическим и механическим раздражителям.
Лечение заболевания заключается в выявлении и устранении причины развития атрофической формы гингивита, этиопатогенетической терапии, медикаментозном лечении, направленном на улучшение обмена веществ, кровоснабжения и регенерации десневой ткани.

Вопрос-ответ
Какие существуют основные виды форм в искусстве?
Существует множество видов форм в искусстве, включая геометрические, органические и абстрактные. Геометрические формы характеризуются четкими линиями и углами, органические формы имеют более плавные и естественные контуры, а абстрактные формы могут быть трудными для определения и часто выражают эмоции или идеи без привязки к реальности.
Как формы влияют на восприятие произведения искусства?
Формы играют ключевую роль в восприятии произведения искусства, так как они могут вызывать определенные эмоции и ассоциации у зрителя. Например, острые углы могут создавать ощущение напряженности или агрессии, в то время как округлые формы могут восприниматься как более мягкие и дружелюбные.
Как выбрать форму для своего художественного проекта?
Выбор формы для художественного проекта зависит от концепции и эмоций, которые вы хотите передать. Рекомендуется начать с исследования различных форм и их значений, а затем экспериментировать с ними, чтобы найти ту, которая лучше всего соответствует вашему замыслу и стилю.
Советы
СОВЕТ №1
Изучите основные геометрические формы и их свойства. Понимание таких форм, как круг, квадрат, треугольник и прямоугольник, поможет вам лучше ориентироваться в различных областях, от искусства до архитектуры.
СОВЕТ №2
Практикуйте создание форм с помощью различных материалов. Используйте бумагу, глину или цифровые инструменты, чтобы развить свои навыки и понять, как формы могут взаимодействовать друг с другом.
СОВЕТ №3
Обратите внимание на формы в окружающем мире. Наблюдайте за тем, как они используются в природе, архитектуре и дизайне. Это поможет вам развить чувство эстетики и вдохновит на создание собственных работ.
СОВЕТ №4
Не бойтесь экспериментировать с формами. Смешивайте и комбинируйте различные геометрические фигуры, чтобы создать уникальные и интересные композиции. Это может привести к неожиданным и креативным результатам.

