Каждому человеку рано или поздно приходится посетить кабинет стоматолога.
Часто пациент испытывает давящую, ноющую или сильную зубную боль после процедуры лечения. Болевой синдром может быть либо постоянным, либо возникать периодически.
Чаще всего тупая или острая непродолжительная боль — нормальная реакция организма на хирургическое вмешательство. Но если дискомфорт не проходит длительное время, то важно снова обратиться к доктору, чтобы исключить врачебную ошибку или осложнения заболевания.
Почему через неделю после лечения заболел зуб: нормально ли это?
Зубная боль после лечения возникает по разным причинам. Как правило, болевой синдром после лечебных процедур держится от 12 часов до 7 дней.
В основном это слабовыраженная, ноющая, немного давящая боль, которая постепенно затихает и теряет интенсивность.
Болевыми ощущениями организм человека сигнализирует об имеющихся механических повреждениях или патологиях.
К примеру, после удаления пульпы (зубного нерва) или сверления зуба, где повреждается зубная эмаль и внутренние ткани кости, чувство рези и дискомфорта может сохраняться в течение нескольких суток.
Более интенсивная, длительная (больше двух недель) и частая зубная боль, которая распространяется по всей полости рта, после излечения может появиться по причине:
- Неправильно поставленный диагноз. Неопытный врач мог перепутать разные заболевания из-за схожих симптомов и назначить ошибочную тактику лечения.
 - Попытка сохранить зубной нерв. Зачастую стоматологи стараются сохранить зуб «живым» и не удаляют пульпу. После физического вмешательства (сверления, установки пломбы и тому подобное) нерв зуба может воспалиться.
 - Развитие кариеса. Во время лечения в дешёвых стоматологических клиниках появляется риск заражения заболеванием, разрушающим твердые ткани зуба. Также, не до конца удалённая кариозная полость вызывает сильную нарастающую боль зуба и десны.
 - Недолеченная патология. Подобная проблема возникает только по халатности лечащего врача и может привести к потере зуба.
 - Хроническая форма пульпита. В период обострения воспалённая пульпа перестаёт должным образом обеспечивать питанием твёрдые ткани зуба и блокирует часть кровеносных и лимфатических сосудов, чем вызывает сильную пульсирующую боль. Заболевание неизлечимо.
 - Сложная реакция организма на обезболивающее и пломбировочный материал. В некоторых случаях неприятные ощущения после врачебных процедур вызваны аллергией пациента на анестезию. Происходит подобное только по вине врача.
 
Риски неадекватной реакции на обезболивающие препараты увеличивает истощение организма длительной болезнью и слишком быстрое введение лекарства при помощи шприца.
Очень редко у пациента наблюдается личная непереносимость к компонентам самой пломбы.
Выражается аллергия воспалением зубного нерва и канальцев.
- Зубная пломба. Повреждённые или неправильно установленные пломбы приводят к возникновению боли во время пережёвывания твёрдой пищи и постепенно разрушают поверхность зубов. Также, при пломбировании часто возникают такие погрешности, как «перегрев» или «пересушивание» зуба, что со временем приведёт к некрозу зубных тканей.
 - Рецидив или осложнение болезни зубов. Проблемы проявляются после неправильного лечения неквалифицированным специалистом или по причине слабого иммунитета больного.
 - Попадание инородного тела. Во время хирургического вмешательства в канал зуба может попасть кончик мединструмента или волокно ткани. Человеческое тело начнет отторгать инородный предмет, что приведет к воспалению зубов.
 - Безответственность пациента. Для успешного излечения больной должен соблюдать предписания врача (в разумных пределах).
 
Важно! Часто осложнения зубных болезней возникают среди пациенток во время беременности и в период лактации, когда природный иммунитет понижен.
После лечения зуба пациенты иногда испытывают боль, что вызывает беспокойство и недоумение. Врачи объясняют, что причиной этого могут быть несколько факторов. Во-первых, это может быть реакция тканей на вмешательство, особенно если проводилось удаление нерва или пломбирование. Во-вторых, воспаление десен или окружающих тканей также может вызывать дискомфорт. Неправильная установка пломбы или ее чрезмерная высота могут привести к дополнительной нагрузке на зуб, что также вызывает боль.
Для устранения неприятных ощущений врачи рекомендуют принимать обезболивающие препараты, а также использовать полоскания с антисептиками. Если боль не проходит в течение нескольких дней, необходимо обратиться к стоматологу для повторной оценки состояния зуба и возможной коррекции лечения. Важно помнить, что своевременное обращение к специалисту поможет избежать осложнений и восстановить здоровье зубов.

Реакция организма на анестезию
Местная или общая анестезия применяется перед оперативным лечением зубов. Обезболивающие препараты используются для того, чтобы пациент мог легко и безболезненно перенести предстоящую процедуру удаления зуба, пульпы или части повреждённых твёрдых зубных тканей.
Вполне нормальная реакция организма – болевые ощущения после ослабления наркоза. Длительность дискомфорта составляет от 3 до 7 дней.
Возможны негативные реакции от анестезии, которые вызывают болезненность зубов после лечения:
- аллергическая реакция;
 - боль в месте прокола инъекции (норма);
 - повреждение нерва или нервных окончаний иглой шприца;
 - травмирование мышечной ткани в месте укола обезболивающего;
 - отёк и воспаление в районе прокола (является причиной отсутствия должной стерильности инструментов или несоблюдении чистоты полости рта).
 
Больно в результате санации кариеса
Кариес — инфекционное поражение зубной ткани, вызывающее гниение зуба. Чтобы излечить больной зуб, врач тщательно удаляет нездоровые участки зубной ткани и закладывает временную или постоянную пломбу. Проводится процедура под наркозом, после которого возникает слабая пульсирующая боль в излеченном зубе (особенно во время еды). Неприятные ощущения полностью исчезают примерно через 12 недель.
Если боль после лечения кариеса не проходит по истечении 2–3 месяцев, становится приступообразной и возникает без видимой причины (внешних воздействий), то возможно:
- кариозная полость не была полностью очищена;
 - инфекция затронула корень зуба;
 - между пломбой и зубом имеется «зазор»;
 - развились дополнительные заболевания, в частности пульпит;
 - воспалилась околозубная ткань.
 
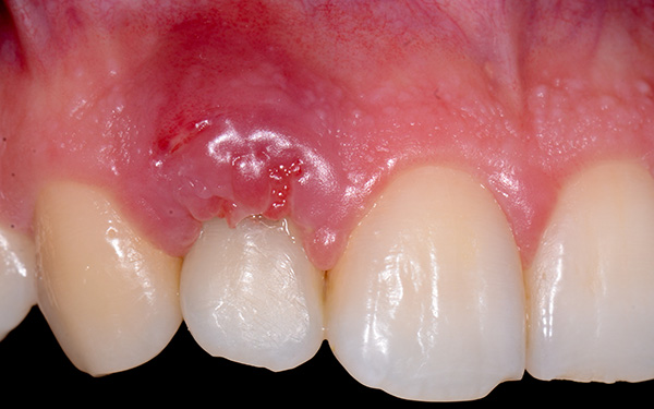
Фото 1. Воспаление десны над зубом, такая реакция часто может возникать после лечения кариеса.
После лечения зуба многие пациенты сталкиваются с неприятными ощущениями и болью. Причины этого могут быть разнообразными. Во-первых, воспаление тканей вокруг зуба, которое может возникнуть из-за инфекции или травмы во время процедуры. Во-вторых, чувствительность зуба может увеличиться из-за воздействия на нервные окончания, особенно если проводилось удаление нерва или пломбирование.
Методы устранения боли варьируются от применения обезболивающих средств до использования специальных гелей и полосканий. Важно также следовать рекомендациям стоматолога по уходу за зубами после лечения. Если боль не проходит или усиливается, стоит обратиться к врачу для дополнительной диагностики. Многие пациенты отмечают, что своевременное обращение за помощью и соблюдение рекомендаций значительно ускоряют процесс восстановления и уменьшают дискомфорт.

Болит после терапии периодонтита
Периодонтит — гнойное воспаление околокорневых тканей зуба. Хроническая форма заболевания протекает безболезненно, практически бессимптомно. Болевые ощущения возникают на стадии лечения больного зуба и длятся до 8 недель. Процедура лечения включает в себя установку временной лечебной пломбы с гидроксидом кальция и симптоматическую противовоспалительную терапию.
Спустя 4–8 недель временная пломба удаляется и устанавливается постоянный пломбировочный материал.
Внимание! О развитии патологии свидетельствует сильная отечность (скопление гноя) в десневой ткани зуба.
Должен ли болеть при гранулеме
Гранулема зубного корня — небольшое новообразование, состоящее из погибших бактерий. В случае игнорирования заболевания, инфекция поражает остальные органы человека. Лечение гранулемы заключается в том, что канальцы зуба открываются, прочищаются, а затем, устанавливается временная пломба и проводится терапия. После этого накладывается постоянная пломба.
Если возникла сильная боль после лечения, то это означает:
- произошел рецидив;
 - произошло повторное заражение гранулемой вследствие других инфекций полости рта;
 - в организме развились более серьезные заболевания (туберкулез, сифилис и так далее).
 
Фото 2. Гранулема на десне над верхним рядом зубов, после ее удаления может начаться повторное заражение.

Появляется зубная боль в следствие удаления штифта
Во время извлечения винтового штифта из зубной полости открывается зубной канал, куда легко может попасть инфекция. Появление нестерпимой продолжительной боли после удаления штифта говорит об имеющейся корневой патологии зуба. Также сильная боль возникает в случае неаккуратного снятия конструкции с повреждением корня зуба или его дентина.
Сколько может болеть при отсутствии осложнений
В среднем зубная боль после излечения инфекционных гнойных заболеваний может сохраняться до 14 недель (по длительности самого лечения). Кариозное воспаление, которое удалили на ранней стадии, доставляет дискомфорт в среднем 2–8 дней.
Методы снижения боли
Существует множество народных методик уменьшения боли после лечения. Одним из надежных методов является точечный самомассаж:
- легкий массаж мочки уха со стороны поражённого зуба;
 - массирование между скулой и нижней челюстью в районе больного участка;
 - сильное надавливание между указательным и большим пальцем руки;
 - несильное растирание кубиком льда скулы со стороны больного зуба.
 
Справка! Прежде чем применять иные народные средства для устранения боли, следует убедиться, что у больного нет аллергии на травы в составе лекарства.
Необходимость соблюдать гигиену полости рта
Чтобы лечение прошло успешно, больной должен поддерживать чистоту в полости рта. В противном случае, возникает риск рецидива или поражение зуба новыми вирусами и бактериями. Чистка зубов должна проводиться дважды в день (утром и вечером) мягкой щёткой, которая не повредит поверхность зубов и дёсен. После каждого приёма пищи желательно пользоваться зубной нитью или жевательной резинкой.
Применение полосканий
Полоскание ротовой полости лекарственными средствами и растворами поможет существенно облегчить болевой синдром после лечения.
Кроме того, ополаскиватели являются прекрасным антисептиком, они защищают полость рта от развития многих бактерий.
Обезболивающие средства
Наиболее эффективно подавляют болевые симптомы аптечные препараты в виде таблеток. Самые востребованные обезболивающие:
- цитрамон;
 - аспирин;
 - ибупрофен;
 - анальгин;
 - баралгин;
 - кеторол;
 - кетанов;
 - темпалгин;
 - найз (есть противопоказания);
 - некст.
 
Фото 3. Обезболивающий препарат Некст, 10 таблеток, от производителя Фармстандарт.
Симптомы последствий
Не игнорируйте симптомы осложнений после лечения зубов, так как это может привести к удалению зуба или более печальным последствиям. При проявлении побочных реакций важно незамедлительно обратиться в стоматологическую клинику. Симптомы возможных осложнений:
- повышение температуры;
 - общее недомогание;
 - отёк околозубной ткани;
 - флюс;
 - головная боль;
 - резь и жжение по всей челюсти;
 - не унимающийся болевой синдром;
 - пульсация вокруг больного зуба.
 
Полезное видео
Видео, из которого можно узнать о причинах болевого синдрома после лечения корней.
Заключение
Длительность болевых ощущений зависит от разновидности патологии и степени осложнения болезни. Периодическая ноющая боль является нормой, даже если прошла неделя после лечения. Постоянная нарастающая зубная резь предупреждает больного о возможных осложнениях.
Вопрос-ответ
Что делать, если зуб болит даже после лечения?
Боль после лечения — нормальная реакция организма на вмешательство. В норме она проходит за два-три дня. Но если дискомфорт не утихает, усиливается, длится дольше пары дней, это повод обратиться к врачу. Он установит, почему болит зуб после лечения кариеса, и если нужно, устранит причину.
Сколько может реагировать зуб после лечения?
Зачастую люди во время терапии не ощущают боли, так как действует анестетик. Дискомфорт возникает спустя несколько часов после терапии. Сколько может болеть зуб после лечения кариеса? Минимум 2-3 дня, а максимум – 14 дней – это вариант нормы.
Почему начал болеть зуб, который лечили?
Как правило, это разогретая гуттаперча. После пломбирования которой происходит ее расширение и давление на стенки корня зуба, что в результате вызывает болезненные ощущения. Лечить данный симптом не требуется, обычно он проходит самостоятельно в течение первых дней после завершения лечения.
Сколько в норме может болеть зуб после пломбы?
Обычно это нормальная реакция, которая проходит за 5-7 дней.
Советы
СОВЕТ №1
Обязательно следуйте рекомендациям стоматолога после лечения. Это может включать в себя прием обезболивающих препаратов, использование антисептиков и ограничение определенных видов пищи. Соблюдение этих указаний поможет минимизировать дискомфорт и ускорить процесс заживления.
СОВЕТ №2
Если боль не утихает через несколько дней после лечения, не откладывайте визит к стоматологу. Это может быть признаком осложнений, таких как инфекция или неправильное лечение, и только специалист сможет определить причину и предложить соответствующее лечение.
СОВЕТ №3
Попробуйте использовать холодные компрессы на область щеки, где находится больной зуб. Это может помочь уменьшить отек и облегчить боль. Однако не прикладывайте лед непосредственно к коже — используйте ткань или полотенце.
СОВЕТ №4
Обратите внимание на свою гигиену полости рта. Регулярная чистка зубов и использование зубной нити помогут предотвратить инфекции и другие проблемы, которые могут вызвать боль после лечения. Убедитесь, что вы используете мягкую зубную щетку и не травмируете область вокруг леченого зуба.








