Пародонтит как правило имеет хронический характер заболевания, связано это с наследственностью, снижением иммунитета, стрессом, авитаминозом и многими другими местными и общими факторами возникновения.
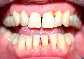
Выделяют четыре стадии хронического пародонтита – начальную, легкую, среднетяжелую и тяжелую. На начальной стадии развития болезни характеризуется незначительным углублением зубодесневых карманов, ткань десен опускается обнажая корни зубов. При легкой стадии хронического пародонтита появляется деструктивный процесс из нижнего в верхние слои пародонта, еще больше обнажаются корни зубов. При среднетяжелой степени у пациента появляется ощущение подвижности зубов, глубина зубодесневых карманов увеличивается. Полная деструкция ткани возникает при тяжелой стадии развития хронического пародонтита, почти полностью оголяются корни зубов, сильная подвижность зубов и углубление зубодесневых карманов становится больше чем на 5 мм, может привести к тотальной потери зубов.
Воспалительный процесс, затрагивающий все слои пародонта, как правило, носит хронический характер, обостряясь под воздействием стрессов, авитаминоза, снижением иммунитета и прочих факторов. Течение заболевания цикличное, постепенно прогрессируя, хронический пародонтит вызывает нарушения в работе эндокринной, сердечно-сосудистой, иммунной и нервной систем, а также может привести к потере зубного ряда.
Этиология болезни
Спровоцировать заболевание могут общие и местные факторы. К местным факторам возникновения пародонтита относят:
- парадонтопатогенную микрофлору;
- наличие других стоматологических заболеваний (катаральный гингивит, кариес, травмы зубного ряда);
- некорректное стоматологическое лечение.
Общими причинами хронического пародонтита являются:
- генетическая предрасположенность;
- аномалии в строении челюсти и зубного ряда (мелкое преддверье, патологии уздечки, неправильный прикус, искривление зубного ряда);
- систематические заболевания (сахарный диабет, ревматизм, вегето-сосудистая дистония, остеопороз);
- заболевания органов ЖКТ (гастрит, язвенная болезнь и т. д.);
- авитаминоз;
- снижение иммунитета;
- частые стрессы;
- аллергические реакции;
- вредные привычки;
- лучевые поражения;
- нерациональное питание;
- плохая экология и прочие.
И местные и общие причины способствуют активизации пародонтопатогенной микрофлоры, которая размножаясь, выделяет токсины, разрушающие пародонт. Патогенная микрофлора способствует образованию над- и поддесневого налета, приводит к углублению зубодесневых карманов.
Хронический пародонтит представляет собой сложное заболевание, которое требует внимательного подхода со стороны специалистов. Врачи отмечают, что его этиология часто связана с бактериальной инфекцией, генетической предрасположенностью и неблагоприятными факторами окружающей среды. Симптоматика включает в себя кровоточивость десен, неприятный запах изо рта и подвижность зубов. Классификация заболевания позволяет выделить легкую, среднюю и тяжелую формы, что важно для выбора адекватного лечения. Врачи рекомендуют комплексный подход, включающий профессиональную гигиену полости рта, антибактериальную терапию и хирургические вмешательства при необходимости. Профилактика играет ключевую роль и включает регулярные осмотры у стоматолога, правильный уход за зубами и здоровый образ жизни.

Стадии хронического пародонтита
Клиническая картина болезни является цикличной, то есть после обострения наступает период ремиссии. По локализации хронический пародонтит может быть локализованным или генерализованным.
По выраженности деструктивных изменений в тканях пародонта хроническое заболевание может иметь четыре стадии:
- начальную;
- легкую;
- средне-тяжелую;
- тяжелую.
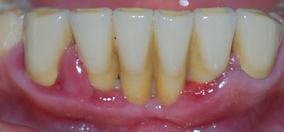
Начальная стадия болезни характеризуется незначительным углублением зубодесневых карманов и наличием воспалительного процесса в нижних слоях пародонта. Десневая ткань опускаясь, обнажает корни зубов примерно на ¼ их длины.
Для легкой стадии хронического пародонтита характерно распространение деструктивного процесса из нижних в верхние слои пародонта, обнажение корней зубов на 1/3 их длины и наличием небольшой подвижности зубов.
Средне-тяжелая степень заболевания характеризуется сильной подвижностью зубов и оголением их корней на ½ длины. Глубина зубодесневых карманов увеличивается до 5 мм.
Для тяжелой степени хронического воспалительного процесса характерно оголение корней зубов больше, чем на ½ их длины, сильная подвижность зубов, углубление зубодесневых карманов больше, чем на 5 мм. В особо запущенных случаях наблюдается полная деструкция костной ткани и тотальная потеря зубного ряда.
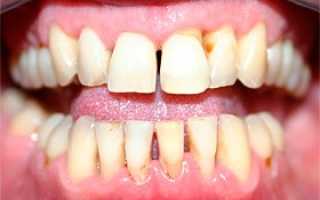
Симптомы хронического пародонтита
Распознать хронический пародонтит в начальной стадии можно по таким симптомам, как:
- зуд и рыхлость десен;
- дискомфорт, возникающий в процессе жевания пищи;
- кровоточивость десен при их механическом раздражении;
- появление гнилостного запаха из ротовой полости.
Для легкой степени заболевания характерны следующие симптомы:
- отек и болезненность десен;
- пошатывание зубов;
- образование зубодесневых карманов;
- ускорение образования мягких зубных отложений и зубного камня;
- выделение серозного отделяемого.
Для средне-тяжелой и тяжелой степени помимо вышеперечисленных симптомов характерно повышение чувствительности зубной эмали к температурным, механическим и химическим воздействиям, синюшность десен, существенная подвижность зубов, углубление зубодесневых карманов, смещение зубного ряда, обильные зубные отложение, боль при жевании пищи и разговоре.
При обострении болезни у пациента наблюдается повышение температуры тела, апатия, общая слабость, могут увеличиваться региональные лимфоузлы. Это связано с общей интоксикацией организма.
Хронический пародонтит — это распространенное заболевание, которое вызывает воспаление тканей, окружающих зубы, и может привести к их потере. Люди отмечают, что основными причинами его развития являются бактериальные инфекции, генетическая предрасположенность и недостаточная гигиена полости рта. Симптомы включают кровоточивость десен, неприятный запах изо рта и подвижность зубов. В зависимости от степени тяжести различают легкую, умеренную и тяжелую формы заболевания. Методы лечения варьируются от профессиональной чистки зубов и применения антисептиков до хирургических вмешательств в запущенных случаях. Профилактика заключается в регулярной гигиене полости рта, посещении стоматолога и соблюдении здорового образа жизни. Многие пациенты подчеркивают важность раннего обращения к специалисту для предотвращения серьезных последствий.

Диагностика болезни
Диагностировать хронический пародонтит может только квалифицированный стоматолог-пародонтолог. Изменения пародонта лучше всего видны после проведения профессиональной чистки зубов. Для определения степени хронического воспалительного процесса измеряют глубину зубодесневых карманов, проводят рентгенологические исследования. Определить чувствительность пародонтогенных микроорганизмов к антибиотикам поможет бактериологический посев. Для того чтобы определить причину возникновения воспалительного процесса в околозубной ткани может понадобиться консультация терапевта, эндокринолога, аллерголога, иммунолога и прочих специалистов.
Лечение заболевания
Методы, применяемые для лечения болезни, варьируется в зависимости от стадии и причин ее возникновения. Консервативное лечение включает в себя антибактериальную терапию, антисептическую обработку пораженных участков околозубной ткани, физиотерапевтические методы и профессиональную чистку ротовой полости.
Для лечения средне-тяжелой и тяжелой стадии хронического пародонтита помимо консервативного лечения прибегают к хирургическому вмешательству, шинированию и протезированию (ортопедическое лечение).
Если причиной заболевания являются аномалии уздечки или мелкое преддверье, то прибегают к пластической хирургии.
для нормализации работы иммунной системы пациента проводят общую терапию, которая заключается в приеме иммуномодулирующих препаратов, ферментов и поливитаминных комплексов.

Профилактика хронического пародонтита
Своевременное комплексное лечение воспалительного процесса в околозубной ткани, а также устранение провоцирующих факторов позволяет добиться стойкой ремиссии хронического пародонтита.
Профилактика заболевания состоит в своевременном снятии мягких и твердых зубных отложений, рациональном питании, отказе от курения, качественном оказании стоматологических услуг и корректном лечении сопутствующих болезней.
Вопрос-ответ
Что такое хронический пародонтит?
Хронический пародонтит – медленно текущий воспалительный процесс. Может развиваться на протяжении нескольких лет. Приводит к атрофии всех структур пародонта. Острый пародонтит – внезапно возникающее заболевание.
Какова этиология заболеваний пародонта?
Бактерии являются основным этиологическим фактором заболеваний пародонта, однако последние данные также указывают на дрожжи и герпесвирусы как на предполагаемые патогены.
Основной метод профилактики пародонтита?
Индивидуальная гигиена полости рта является основным методом первичной профилактики заболеваний пародонта: регулярная и правильная чистка зубов (3 раза в день).
Советы
СОВЕТ №1
Регулярно посещайте стоматолога для профилактических осмотров. Хронический пародонтит может развиваться незаметно, и ранняя диагностика поможет предотвратить серьезные последствия.
СОВЕТ №2
Обратите внимание на свою гигиену полости рта. Чистите зубы не менее двух раз в день и используйте зубную нить, чтобы удалить налет и остатки пищи между зубами, что поможет снизить риск воспаления десен.
СОВЕТ №3
Следите за своим питанием. Употребление продуктов, богатых витаминами и минералами, особенно витамина C и кальция, способствует укреплению десен и зубов, что может помочь в профилактике пародонтита.
СОВЕТ №4
Избегайте вредных привычек, таких как курение, которое значительно увеличивает риск развития пародонтита. Если вы курите, постарайтесь бросить, чтобы улучшить здоровье десен и общее состояние полости рта.

