Причина пародонтоза — размножение болезнетворных бактерий, которые попадают с пищей.
Поэтому важной частью комплексной терапии является полоскание ротовой полости.
Когда применяют полоскание?
В самом начале, когда болезнь только развивается, от неё можно избавиться простым и лёгким способом: полоскать ротовую полость два раза в день. Причём делать это нужно как в профилактических целях, так и в то время, когда воспалительные процессы уже начались.
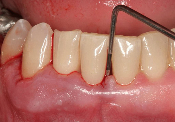
Фото 1. Стоматолог проверяет оголяются ли корни и шейка зубов у пациента, страдающего пародонтозом, при помощи зонда.
Врачи подчеркивают важность правильного ухода за полостью рта при пародонтозе. Полоскания могут значительно облегчить состояние пациента и способствовать заживлению тканей. Специалисты рекомендуют использовать растворы на основе соли, соды или антисептиков, таких как хлоргексидин. Солевые растворы помогают уменьшить воспаление и отечность, а сода нейтрализует кислоты, способствующие развитию бактерий. Антисептики, в свою очередь, эффективно борются с микробами и предотвращают дальнейшее разрушение десен. Важно помнить, что полоскания должны быть дополнением к основному лечению, а не его заменой. Регулярные визиты к стоматологу и соблюдение гигиенических норм остаются ключевыми факторами в борьбе с пародонтозом.

Как правильно полоскать рот?
Полощите рот три раза в день после еды. Один и тот же раствор используйте не более трёх месяцев. После этого срока необходимо купить новый.
Общие правила полоскания рта лекарственными средствами:
- Набрать в рот чистой тёплой воды, подержать 5 секунд, прополоскать, сплюнуть.
 - В течение 30 сек. прополоскать рот одной столовой ложкой лекарственного средства.
 - Сплюнуть лекарство.
 - Полоскать ротовую полость три раза в день после еды.
 
Внимание! Глотать раствор запрещается. Сразу после процедуры должно пройти два часа, чтобы можно было принимать пищу и напитки.
Чем полоскать десна при пародонтозе?
При обнаружении симптомов заболевания необходимо обратиться за консультацией к стоматологу. Специалист порекомендует наиболее эффективное средство для полоскания рта. Таковым может оказаться антисептик, специальный ополаскиватель или травяной отвар.
Пародонтоз — это серьезное заболевание, требующее внимательного подхода к уходу за полостью рта. Многие люди делятся своим опытом и советами о том, чем полоскать рот для облегчения симптомов. Одним из популярных средств является раствор соли, который помогает уменьшить воспаление и улучшить общее состояние десен. Также часто рекомендуют использовать настои трав, таких как шалфей или ромашка, обладающие антисептическими свойствами. Некоторые пациенты отмечают эффективность полоскания раствором соды, который помогает нейтрализовать кислоты и освежить дыхание. Важно помнить, что перед использованием любых средств стоит проконсультироваться с врачом, чтобы избежать возможных осложнений. Регулярные полоскания в сочетании с правильной гигиеной могут значительно улучшить состояние десен и предотвратить дальнейшее развитие заболевания.

Антисептики: Мирамистин и Хлоргексидин
Мирамистин обладает сильным обеззараживающим действием. Дезинфицирующие возможности обусловлены способностью молекул вещества внедряться в оболочку вредоносных бактерий и разрушать их. Положительный эффект лекарства состоит в том, что этот препарат не касается здоровых тканей и не мешают росту новых.
Фото 2. Мирамистин — препарат противомикробного действия в форме спрея для местного применения, 150 мл, производитель «Инфамед».
Хлоргексидин помогает при гнойных выделениях изо рта. Для полоскания не разбавляйте средство водой. Смесь имеет горьковатый привкус, что является её главным минусом.
Важно! О необходимости применения этих антисептиков и дозе посоветуйтесь со своим лечащим стоматологом.
Аптечные ополаскиватели для полости рта
Фурацилин. Выпускается в форме таблеток, мази и спиртового раствора.
Для процедуры полоскания: в стакане горячей воды растворяют две таблетки Фурацилина.
К сожалению, лекарство плохо растворяется, поэтому лучший вариант — растолочь пилюлю до порошкообразного состояния.
Приготовленную смесь используйте сразу, через сутки средство потеряет силу.
Ротокан — водно-спиртовой экстракт из лекарственных растений. Таких, как ромашка, тысячелистник, календула.
Компоненты, которые входят в состав препарата результативно убирают нагноение, обеззараживают полость рта, способствуют скорейшему заживлению раны. Ротокан используют при воспалении в тканях и слизистой полости рта. При пародонтозе ватные тампоны, пропитанные экстрактом Ротокана, закладывают в зубодесневые карманы.
Осторожно! Перед применением лекарства посоветуйтесь со своим лечащим врачом. Это лекарственное средство может вызывать аллергию, если компоненты, входящие в его состав непереносимы для человека.
Ополаскиватели для рта на основе трав
Стоматофит. Это лекарство хорошо борется с возбудителями инфекций, убивает микробы и болезнетворные бактерии. Стоматофит состоит из концентрата настоя лекарственных трав на спирту и применяется при комплексном лечении пародонтоза. Полоскание обычно назначается врачом в течение десяти дней. В более тяжёлых случаях протекания болезни, доктор может продлить лечение до двух недель. Спиртовая настойка разводится в соотношении один к пяти.
Тантум Верде. В составе содержится гидрохлорид бензидамина. Это сильное противовоспалительное средство. Обычно его выпускают в виде таблеток, спрея, или раствора для полоскания.
Раствор готовят для немедленного применения, разбавляют перед самой процедурой водой в соотношении один к одному — 15 мл Тантум Верде + 15 мл воды.
Курс лечения — десять дней. Полоскать рот можно 3 раза в день после еды.
Хлорофиллипт — спиртовая настойка на листьях эвкалипта. Однако по способу воздействия этот препарат считается не таким сильным, как вышеперечисленные лекарственные средства. Перед применением его разводят тёплой водой в соотношении один к одному. На начальном этапе пародонтоз может отступить, если регулярно полоскать рот.
Приготовление лечебных отваров в домашних условиях
При пародонтозе, полоскание травяными отварами — один из эффективных методов лечения. Многие растения оказывают положительное влияние на воспалённые дёсны. И процедура полоскания наверняка принесёт пользу и снимет симптомы болезни.
Внимание! Лечение народными средствами и полосканиями помогут ослабить боль, на какой-то период времени уменьшить воспаление. Но вылечить пародонтоз, пользуясь только народными средствами невозможно.
Правила и особенности полоскания рта отварами из трав
Чаще всего при пародонтозе в качестве полосканий используются такие лекарственные растения, как брусника (листочки), календула (цветы), кора дуба, трёхцветная фиалка (цветки). Вот несколько народных способов полоскания полости рта.
Отвар коры дуба. Это средство способствует устранению неприятного запаха изо рта, остановке воспалительного процесса и кровоточивости дёсен.
В стакане воды растворите одну чайную ложку сырья. Настаивайте около тридцати минут. Прополощите рот тёплым настоем.
Лучше полоскать рот через каждые три часа после чистки зубов. Однако применяя лишь один отвар из коры дуба, возможно «затемнить» зубы, так как на них останется пигмент от сырья дубовой коры.
Отвар из коры дуба и цветков липы. Пропорция: кора дуба/липа 2:1. Чайная ложка смеси заливается стаканом крутого кипятка, настаивается, процеживается через бинт или марлю. Тёплым раствором нужно полоскать рот несколько раз в день. Пользуясь народными средствами, можно снять отёчность, предупредить воспаление, убрать, или уменьшить боль.
Справка! Перед каждым полосканием лечебными травами, нужно тщательно чистить зубы.
Чем нельзя полоскать рот при пародонтозе?
Зачастую друзья могут посоветовать при пародонтозе полоскать зубы перекисью водорода. Этого делать нельзя. Так как средство может спровоцировать ухудшение состояния дёсен. Перекись используется дантистом по надобности. Например, для промывки пародонтальных карманов. Стоматолог в шприц набирает лекарство и вводит в десну. Происходит очищение ротовой полости от микробной флоры и гноя.
Внимание! При пародонтозе полоскать рот перекисью водорода запрещено!
Полезное видео
В видео рассказывается, каким аптечным препаратам отдать предпочтение при воспалении десён и как правильно приготовить травяной отвар при пародонтозе.

Профилактика заболевания
Пародонтоз одна из тех болезней, которые с лёгкостью покидают нас, если соблюдать правила ухода за зубами и полостью рта. Следует помнить, что рот может служить площадкой для размножения болезнетворных микроорганизмов.
Полоскание поможет избавиться от болезни, если начать проводить его на начальных этапах заболевания. Действенно как для профилактики, так и когда воспалительные процессы уже начались.
Эффект успешного лечения пародонтоза во многом зависит от ваших усилий и твёрдого намерения быть здоровым.
Вопрос-ответ
Чем лучше полоскать рот при пародонтозе?
В качестве ополаскивателей применяют Хлоргексидин, Хлорофиллипт, Стоматидин, Мирамистин, Тантум Верде, Стоматофит, Малавит, перекись водорода. Рот следует полоскать дважды в день: обязательно после гигиенической чистки зубов.
Какой ополаскиватель для рта лучше при пародонтозе?
Когда пациенту требуется устранить бактерии при пародонтозе, специалисты советуют пользоваться антибактериальными ополаскивателями на базе травяных растений: эвкалиптового, дубового.
Какой раствор укрепляет десны?
Солевой раствор. Соль обладает антисептическими свойствами и помогает уменьшить воспаление и отек. Для приготовления раствора разведите чайную ложку соли в стакане теплой кипяченой воды. Полощите рот этим раствором 2-3 раза в день после еды.
Советы
СОВЕТ №1
Используйте солевой раствор для полоскания. Растворите половину чайной ложки соли в стакане теплой воды. Солевой раствор помогает уменьшить воспаление и убивает бактерии, что может облегчить симптомы пародонтоза.
СОВЕТ №2
Применяйте настои трав, таких как ромашка или шалфей. Эти травы обладают противовоспалительными и антисептическими свойствами. Заварите одну столовую ложку сухих трав в стакане кипятка, дайте настояться, охладите и используйте для полоскания.
СОВЕТ №3
Обратите внимание на антисептические растворы, содержащие хлоргексидин. Это средство помогает бороться с бактериями и снижает риск инфекций. Полоскайте рот раствором в соответствии с инструкцией, но не превышайте рекомендованное время использования.
СОВЕТ №4
Не забывайте о регулярной гигиене полости рта. Чистите зубы дважды в день и используйте зубную нить, чтобы удалить остатки пищи и налет, что поможет предотвратить ухудшение состояния при пародонтозе.





