Большинство из нас забывает о том, что посещать стоматологический кабинет и его специалистов необходимо не менее 2 раз в год. Простой профилактический осмотр поможет избежать развития заболеваний зубов, лидирующее место среди которых занимает кариес.
Начинаясь безболезненно, кариес зубов постепенно прогрессирует. И в очень скором времени посещение стоматолога становится вынужденным, так как терпеть боль и страдания человек уже не может. А ведь всего этого можно было бы избежать, при условии прохождения регулярного осмотра.
Проблема в том, что кариес и его разрушающие последствия формируются постепенно. В стоматологии принято различать несколько стадий этого заболевания. Одной из них является поверхностный кариес, когда образовавшиеся дефекты эмали еще не затронули глубокие ткани зуба и от них можно избавиться, пройдя лечение.
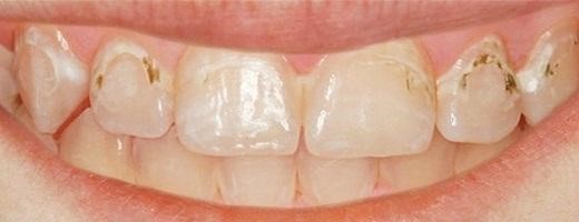
Важно запомнить! Наличие любых дискомфортных ощущений, подозрительных пятен или потемнений на зубах являются веской причиной для посещения стоматолога. Именно они указывают на одну из начальных стадий заболевания – поверхностный кариес.
Заболевание, при котором в пределах эмали зуба образуется полостной дефект, не нарушающий дентино-эмалевое соединение, называют поверхностным кариесом. Эта стадия заболевания развивается после кариеса в стадии пятна и предшествует более глубокому поражению тканей зуба.
Этиология поверхностного кариеса
По распространенности кариозное поражение зубов занимает первое место среди всего комплекса стоматологических заболеваний. Основной причиной развития кариеса является деминерализация зубной эмали, в частности ее поверхностного слоя. Поверхностный кариес относится к обратимым заболеваниям, при грамотном и своевременном лечении возможна полная реминерализация поврежденной зубной эмали.
К причинам возникновения поверхностного кариозного поражения зубов относят:
- плохую гигиену ротовой полости;
 - скопление мягкого и твердого зубного налета, который способствует активизации кариесогенных микроорганизмов;
 - вымывание апатита из эмали зубов в результате гликолиза, который провоцирует патогенная микрофлора;
 - гиповитаминоз;
 - плохая экология и питание;
 - низкое содержание фтора в воде;
 - аномалии в строении зубочелюстной системы;
 - наличие ортодонтических конструкций;
 - сопутствующие заболевания, запускающие аутоиммунные процессы.
 
Вода с достаточным содержанием фтора способствует его накоплению в кристаллических решетках эмали и на ее поверхности, что является хорошей защитой от кариесогенных факторов.
При этом заболевание может возникнуть в любом возрасте и у обоих полов. Однако согласно статистике, женщины ему подвержены больше, нежели мужчины, особенно в периоды беременности и лактации, а пик заболеваемости приходится на возрастной промежуток от 2 до 40 лет.
Врачи подчеркивают, что поверхностный кариес является начальной стадией разрушения зубной эмали, и его этиология часто связана с недостаточной гигиеной полости рта, неправильным питанием и высоким потреблением сахара. Симптомы на этой стадии могут быть незаметными, однако пациенты иногда отмечают чувствительность зубов к горячему или холодному. Важно, что на этом этапе кариес еще обратим. Специалисты рекомендуют регулярные профилактические осмотры и профессиональную чистку зубов. Методы лечения включают реминерализацию эмали с использованием фторсодержащих препаратов и герметизацию fissures, что позволяет предотвратить дальнейшее развитие заболевания. Врачи акцентируют внимание на важности раннего выявления и своевременного обращения к стоматологу для сохранения здоровья зубов.

Симптоматика болезни
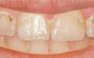
Признаки поверхностного кариеса.
<Нередко во время приема еды или употребления горячих (холодных) напитков человек чувствует некоторую болезненность зубов, которая быстро проходит. Считая ее незначительным признаком, или, принимая ее за индивидуальную реакцию зубов на раздражители, большинство не спешит обращаться к стоматологу. На самом же деле это и есть один из основных симптомов поверхностного кариеса.
Для поверхностного кариеса характерна слабовыраженная симптоматика. Дефект дентина незаметен при самостоятельном визуальном осмотре, а кратковременную болезненность, возникающую при контакте пораженного зуба с химическими или термическими раздражителями, больной воспринимает, как временное повышение чувствительности зубной эмали. Следует отметить, что при поверхностном кариесе боль проходит непосредственно после прекращения воздействия химического, механического или термического раздражителя.
Другим признаком, указывающим на развитие заболевания, служит кровоточивость. Чаще всего ее можно наблюдать во время чистки зубов или во время употребления твердых продуктов, требующих определенных усилий со стороны зубов. Не обращая на нее внимания, пациент так же рискует и провоцирует дальнейшее развитие кариеса.
Достаточно часто в прилегающем к зубу пародонтальном сосочке развивается воспалительный процесс, который проявляется в виде отечности, покраснения и кровоточивости зубодесневого сосочка при механическом воздействии.
При стоматологическом осмотре врач может отметить нарушение целостности зубной эмали пораженного зуба.
Осмотр ротовой полости. Используются: зеркало – с целью осмотра недоступных участков, стоматологический зонд – для выявления характера зубных тканей и бинокулярные очки с подсветкой.
Механизм развития поверхностного кариеса.
Проблема в том, что данное заболевание не возникает на пустом месте. Местами его локализации становятся участки зубной эмали, которые уже подвержены деминерализации. Являясь наиболее уязвимыми, они становятся проницаемыми, довольно чувствительными и восприимчивыми к продуктам жизнедеятельности микроорганизмов.
Микроорганизмы в свою очередь вырабатывают кислоту, которая разрушающе действует на эмаль зуба и его ткани. Проникая под поверхность зубной бляшки (пятно), которая характерна для первой стадии развития кариеса, кислота начинает действовать разрушающе, а само заболевание прогрессировать.
Диагностика болезни
Определить наличие поверхностного кариеса можно только при тщательном стоматологическом осмотре. При визуальном осмотре заболевание проявляется в виде участка деминерализованной эмали, которая имеет желто-серый цвет.
Кислотообразующие стрептококки. Основные агенты вызывающие деминерализацию эмали и зубной налет.
Скрытые повреждения эмали можно выявить при помощи трансиллюминации зубного ряда. Достаточно часто для выявления очагов заболевания применяют рентгенографические методы диагностики.
Люминесцентная диагностика зубов. Быстрый и надежный способ выявления, т. к. пораженные обедненные участки эмали имеют более ярко выраженное свечение, чем здоровые.
Результат рентгеноскопического обследования зубов пораженных первичным, поверхностным кариесом.
Поверхностный кариес дифференцируется с эрозией эмали, флюорозом, клиновидным дефектом, а также с более глубокими формами кариозного поражения — глубокой и средней стадией заболевания.
Поверхностный кариес — это начальная стадия разрушения зубной эмали, и многие люди не всегда осознают его серьезность. Этиология этого заболевания связана с воздействием бактерий, которые образуют налет и выделяют кислоты, разрушающие эмаль. Симптомы могут быть неочевидными: на начальных этапах кариес может проявляться лишь легким дискомфортом или изменением цвета зуба. Однако при отсутствии лечения он может прогрессировать, приводя к более серьезным проблемам.
Методы лечения поверхностного кариеса варьируются от реминерализации с использованием фторсодержащих препаратов до пломбирования. Важно отметить, что на этой стадии кариес еще обратим, и своевременное обращение к стоматологу может предотвратить дальнейшее разрушение зуба. Регулярные профилактические осмотры и соблюдение гигиенических норм помогут сохранить здоровье зубов и избежать неприятных последствий.
Классификация и локализация заболевания
По характеру течения болезни принято различать следующие типы поверхностного кариеса:
- вялотекущий, который прогрессирует на протяжении многих лет;
 - стабилизированный, характеризующийся внезапной остановкой процесса;
 - быстротекущий, для которого характерно быстрое течение разрушительного процесса.
 
Что касается локализации поверхностного кариеса, то ему может быть подвержен любой участок зубной эмали. Но наиболее часто в процесс вовлекаются следующие участки:
- углубления на коронке;
 - поверхность между зубами;
 - поверхность возле шейки зуба.
 
Это означает только одно – любые труднодоступные места на поверхности зуба, в той или иной степени, находятся в зоне риска развития заболевания. И данное явление объясняется очень просто – труднодоступные места привлекательны для скопления микроорганизмов. А при условии отсутствия правильной гигиены полости рта и зубов продукты жизнедеятельности микроорганизмов начинают свое разрушительное действие.
Гигиенические процедуры полости рта являются обязательными профилактическими мерами, способными предотвратить многие серьезные заболевания.
Методы лечения поверхностного кариеса
Лечение кариеса с помощью лазера. В данном случае, лазерный луч, используется вместо традиционного сверла, испаряя ткани без грубого механического воздействия и с гораздо большей точностью.
Поверхностный кариес относится к кариозному поражению, поддающемуся лечению современными методами, исключающими сверление. Для терапии поверхностного поражения дентина применяют лазеро- и озонотерапию, воздушно-абразивную обработку и метод инфильтрации. Данные методы лечения кариеса являются абсолютно безболезненными и не занимают много времени. Особенностью лечения является направленное воздействие, то есть направленно удаляются кариесогенные микроорганизмы и поврежденные ткани, при этом воздействие не оказывается на здоровые клетки зуба и околозубную ткань.
Воздушно-абразивный метод лечения кариеса. Распыление на пораженные фрагменты зуба частиц окислов кремния, алюминия или соды под высоким давлением.
Наиболее простыми методами, способствующими деминерализации эмали, являются инфильтрация и озонотерапия. В некоторых случаях поверхностное кариозное поражение требует консервативного лечения, включающего в себя сверление.
Озонная терапия. Инновационная технология в лечении ранних кариозных образований. Использует нестабильность молекулы озона, стремящейся вернуться к исходному состоянию – кислороду.
Помимо инструментального лечения больному осуществляют профессиональную чистку ротовой полости, так как скопление мягкого зубного налета способствует не только развитию кариесогенных микроорганизмов, но и пародонтопатогенной микрофлоры.
Современная терапия поверхностного кариеса, препятствует образованию вторичного кариеса и дает возможность полностью восстановить пораженные слои эмали.
Микроинвазивная инфильтрация. Основана на удалении поверхностного слоя эмали кислотой и заполнении этого объема инфильтратом с целью закрытия эмалевых пор.
Профилактика и прогноз заболевания
Профилактические мероприятия заключаются в регулярном посещении стоматолога, правильного и систематического ухода за полостью рта, проведение периодического профессионального снятия зубного налета и камня, уменьшение употребления сладкой пищи, разрушающей зубную эмаль и способствующей размножению патогенной микрофлоры, а также рациональном питании.
Совет от стоматолога.
Необходимо периодически внимательно осматривать видимую поверхность собственных зубов на предмет обнаружения подозрительных пятен любого цвета и потемнений. В случае обнаружения таковых, нужно обращаться за помощью к стоматологу.
При своевременном лечении поверхностного кариеса можно обратить деструктивный процесс. Функциональные и эстетические характеристики зуба будут полностью восстановлены, а дискомфортные и болевые ощущения пройдут. Если своевременная стоматологическая помощь не будет оказана вовремя, то болезнь будет прогрессировать, постепенно перетекая в средний и глубокий кариес.
Видео: Лечение кариеса методом инфильтрации.

Новые технологии, в стоматологии, такие как инфильтрация, позволяют избежать болезненных и пугающих процедур в лечении зуба на начальных стадиях кариеса.
Видео: Озонотерапия в стоматологии.

Озоновая терапия позволяет справиться с лечением кариеса на начальных этапах, без использования сверления. Такая процедура считается простым, но действенным методом в борьбе с кариозным поражением.
Вопрос-ответ
Как лечат поверхностный кариес?
Поверхностная стадия кариеса лечится: сошлифовыванием. Легкий кариес, при котором пятно на зубе потемнело, также лечится путем реминерализации. Однако перед нанесением на поверхность зуба лечебных составов изменивший цвет участок эмали аккуратно сошлифовывается. Пломбированием.
Какова этиология кариеса зубов?
Этиология кариеса зубов определяется четырьмя основными факторами: бактериями, временем, восприимчивой поверхностью зубов и ферментируемыми углеводами. В связи с высокой распространенностью заболеваний полости рта и повышенной устойчивостью микроорганизмов к антибиотикам существует необходимость в альтернативных методах лечения.
Для поверхностного кариеса характерно?
Для поверхностного и среднего кариеса характерно возникновение кратковременной боли от холода и от химических раздражителей – сладкого, солёного, кислого. При осмотре зуба обнаруживается дефект (полость). При поверхностном кариесе дефект находится в пределах эмали, при среднем кариесе в процесс вовлекается дентин.
Советы
СОВЕТ №1
Регулярно посещайте стоматолога для профилактических осмотров. Это поможет выявить поверхностный кариес на ранних стадиях, когда его лечение будет менее инвазивным и более эффективным.
СОВЕТ №2
Обратите внимание на свою гигиену полости рта. Чистите зубы дважды в день и используйте зубную нить, чтобы удалить остатки пищи и налет, которые могут способствовать развитию кариеса.
СОВЕТ №3
Сократите потребление сахара и кислых продуктов, так как они могут способствовать разрушению зубной эмали. Вместо этого выбирайте здоровые закуски, такие как фрукты и овощи, которые не вредят зубам.
СОВЕТ №4
Используйте фторсодержащие зубные пасты и ополаскиватели для укрепления зубной эмали. Фтор помогает предотвратить развитие кариеса и может замедлить его прогрессирование.











