Лечение кариеса на любой стадии развития — сложный процесс, требующий высокого уровня компетентности. Неточное диагностирование, отказ от лечебных процедур по ликвидации проявлений заболевания приведут к потере зуба. При изучении развития кариеса на стадии пятна следует понимать, как развивается заболевание. Важны для курса лечения и первопричины, приводящие к поражению зубной эмали.
Инновационные методы выявления степени поражения зубных тканей помогут в рассмотрении проблемы изнутри. Это поможет в дальнейшем грамотно разработать стратегию лечения. Обзор безболезненных методов ликвидации кариеса на стадии пятна помогут подобрать оптимальный для себя. Изучив методы лечения, можно обезопасить себя от повторного появления заболевания.
Комплексный подход с разработкой способов устранения заболевания поможет избавиться от проблем с зубной эмалью. Важным фактором является понимание ответственности в проведении гигиенических процедур. О правильном уходе говорится на первых этапах лечения. Курс лечения поспособствует восстановлению здорового баланса ротовой полости. Изучение предложенной тематики поможет обеспечить себе лучезарную и здоровую улыбку.
Наиболее ранней формой кариеса является кариозное поражение, имеющие вид пятна, то есть при таком поражении деструкционный процесс еще не распространился на твердые ткани зуба, но уже повысилась проницаемость зубной эмали и наблюдается ее деминерализация.
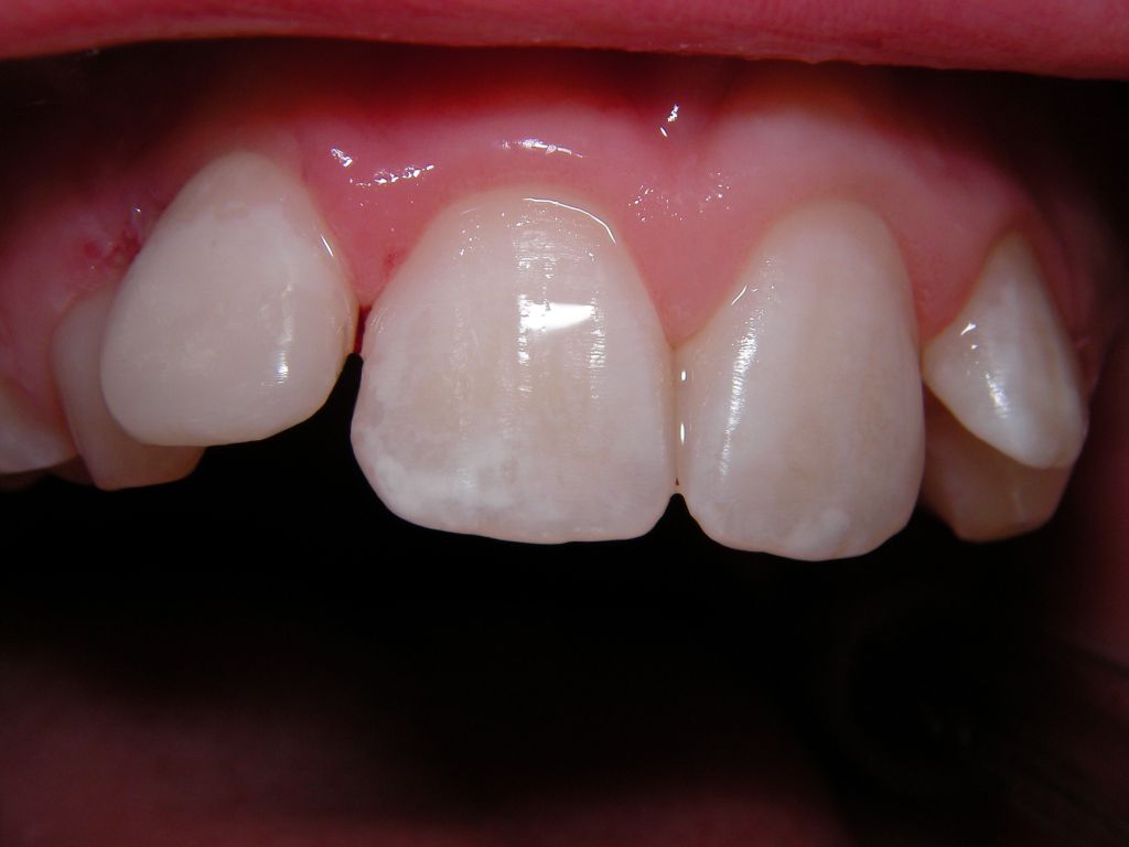
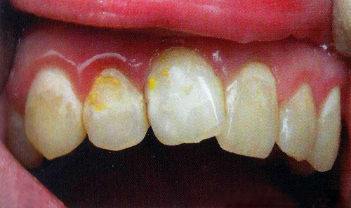
На фотографии зубы,пораженные кариесом начального этапа – белый кариес, когда на зубной эмали видны матовые белые пятна.
Первоначальным этапом кариеса на стадии пятна принято считать состояние белого кариеса. Заболевание отличается появлением матовых белых пятен по всей поверхности зубной эмали. Врач может наблюдать формирование массивных отложений и легкого зубного налета. Это свидетельствует о проведении неполноценных гигиенических процедур в ротовой полости пациента.
Важно.
К основной причине следует относить активную деятельность микроорганизмов патогенного типа. Переваривание скопившихся остатков пищи — направленная деятельность бактерий этого типа. Происходит образование органических кислот, разрушающих поверхность зуба. Это придает эмали истонченности и пористости. Патогенные бактерии используют для питания углеводосодержащую пищу. Остатки пищи, скапливающиеся в межзубных промежутках при недобросовестном проведении гигиенического ухода. Основная причина возникновения белого кариеса — отсутствие должной гигиены полости рта.
К важным дополнительным факторам, приводящим к истощению эмали, следует отнести:
- скудное, нерациональное питание;
 - отсутствие полезных продуктов, насыщенных минеральными компонентами необходимых для питания зубной эмали;
 - отсутствие в рационе кальцийсодержащих элементов.
 
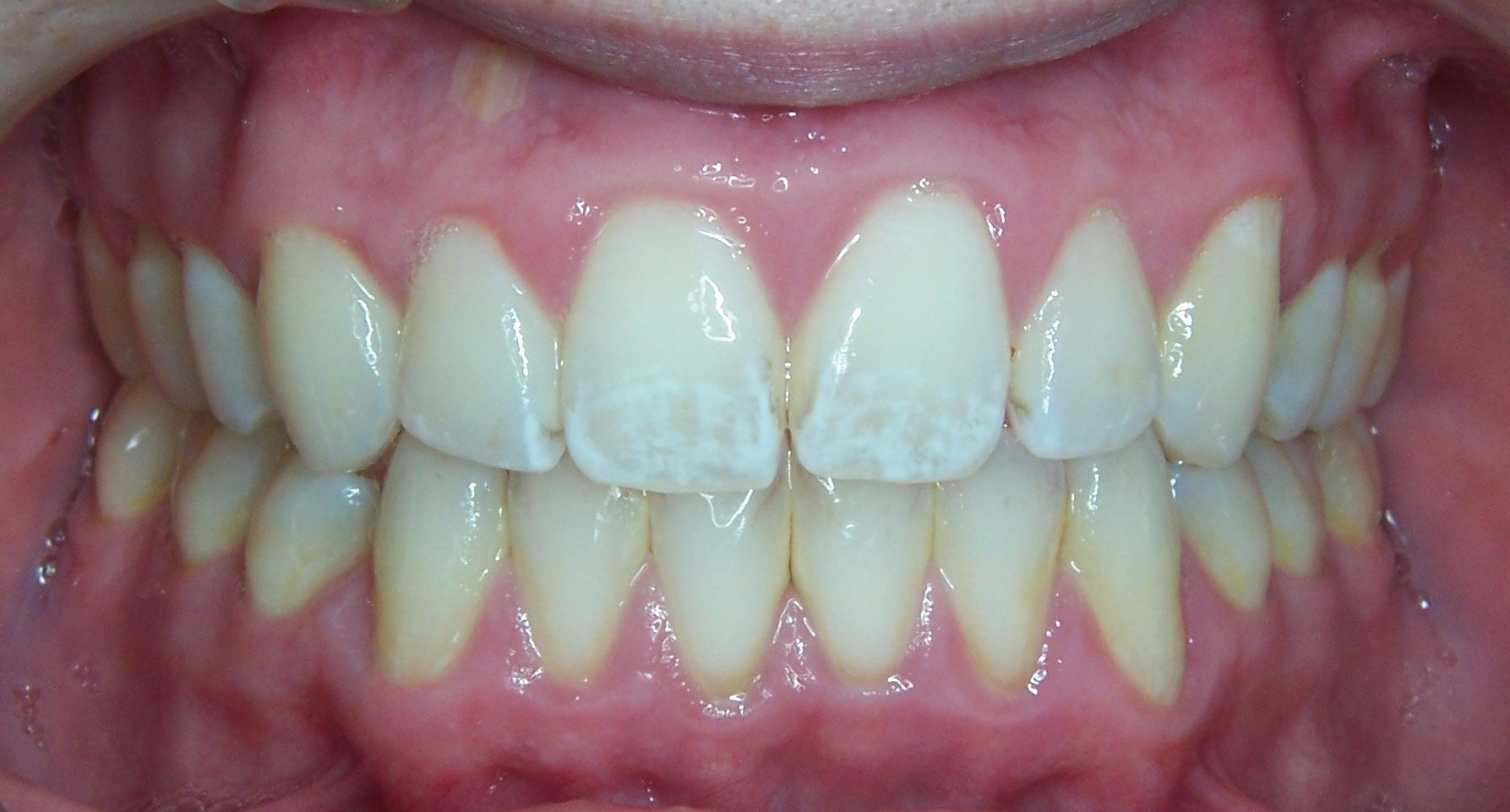
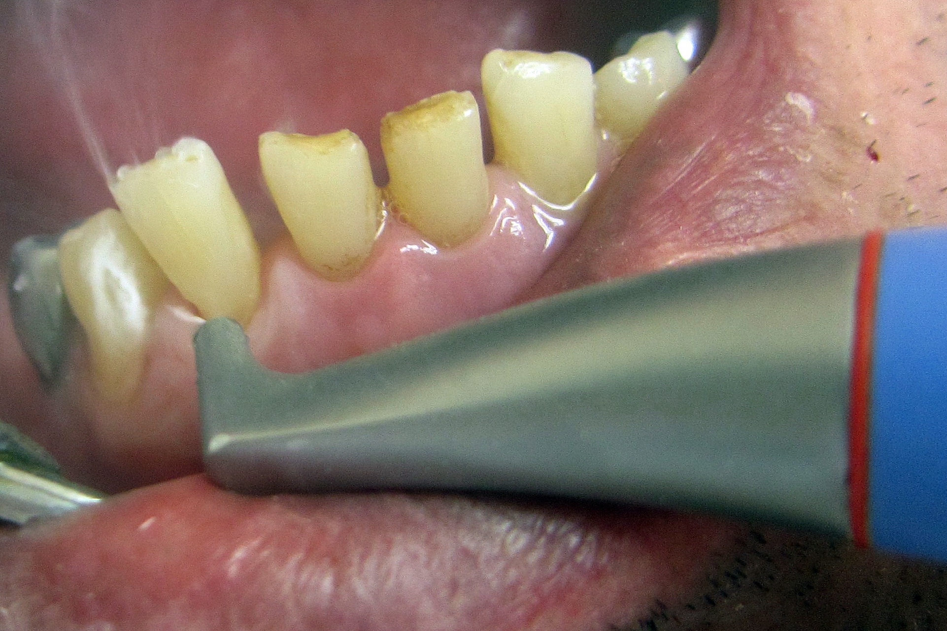
На фотографии зубы с налетом и отложениями из-за неправильной гигиены полости рта.
Мнение стоматолога.
Пациент в большинстве случаев не замечает проявление белого кариеса. Следует обращать внимание на возникновение белых пятен в области шеек передней части зубов. К основным симптомам относят чувствительность зубной эмали, если белое пятно локализуется в месте шейки зуба. Белый кариес перерастает в черный при отсутствии вмешательства компетентного стоматолога. Распространение деминерализованной ткани зуба связано с проникновением патологических микроорганизмов вглубь пораженной эмали. Этот процесс приводит к потемнению частей зуба. Пятна становятся явно выраженными, с насыщенным бурым или черным оттенком.
Кариес в стадии пятна разделяют на активную и стабилизированную формы. Для активной формы кариозного поражения характерно наличие белых (меловых) пятен на поверхности пораженного зуба, стабилизированная форма кариеса характеризуется наличием темных, светло-коричневых или бурых пятен.
Своевременное лечение начальной стадии болезни, заключающееся в проведении реминерализующей терапии, позволяет устранить меловые пятна и полностью устранить дефект эмали. Если пятно находится в стабилизированной стадии, то есть уже потемнело, то реминерализующая терапия не позволит устранить данный дефект. Стабилизированная форма требует искусственного восстановления эмали, то есть пломбирования.
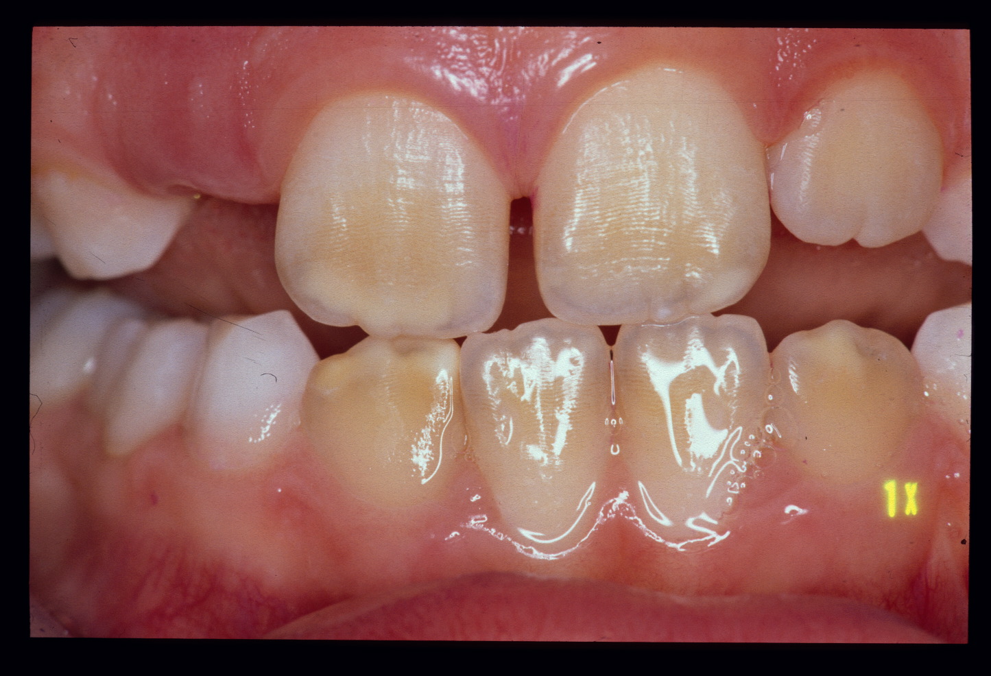
На фотографии зубы с кариесом в стабилизированной форме – наличие темных, светло-коричневых или бурых пятен.
Следует отметить, что стабилизированная форма кариеса в стадии пятна относится к медленно прогрессирующим формам кариозного поражения, следовательно, кариозное пятно длительный период времени остается стабильным и не трансформируется в кариозную полость. При отсутствии клинических показаний такое пятно требует постоянного контроля, к его препарированию и последующему пломбированию приступают только в том случае, если кариозное поражение активизируется или покрывает более 1/3 поверхности зуба.
Симптомы заболевания
Начальная форма кариеса, имеющая вид пятна, не сопровождается резкой болью. Вследствие деминерализации эмали больной может испытывать неприятные ощущения при контакте с термическими, механическими и химическими раздражителями.
Достаточно часто начальная форма болезни доставляет больному неудобства эстетического характера, так как кариозные пятна могут располагаться на видимой поверхности передних зубов.
На фотографии зубы с нарушением эмали из-за недостаточного развития ее поверхностного слоя – гипоплазия.
Врачи отмечают, что этиология кариеса в стадии пятна связана с множеством факторов, включая недостаточную гигиену полости рта, неправильное питание и генетическую предрасположенность. На этом этапе зубная эмаль начинает терять минералы, что проявляется в виде белых или коричневых пятен. Специалисты подчеркивают важность ранней диагностики и профилактики, так как на этой стадии кариес еще обратим.
Методы лечения включают реминерализацию с использованием фторсодержащих препаратов и специальных паст, которые способствуют восстановлению эмали. Врачи также рекомендуют регулярные профилактические осмотры и профессиональную чистку зубов, что позволяет предотвратить дальнейшее развитие кариеса. Важно, чтобы пациенты осознавали необходимость заботы о здоровье зубов и следовали рекомендациям стоматологов для сохранения их целостности.

Дифференцирование болезни
Кариес в виде пятна следует отличать от таких заболеваний, как гипоплазия эмали и флюороз.
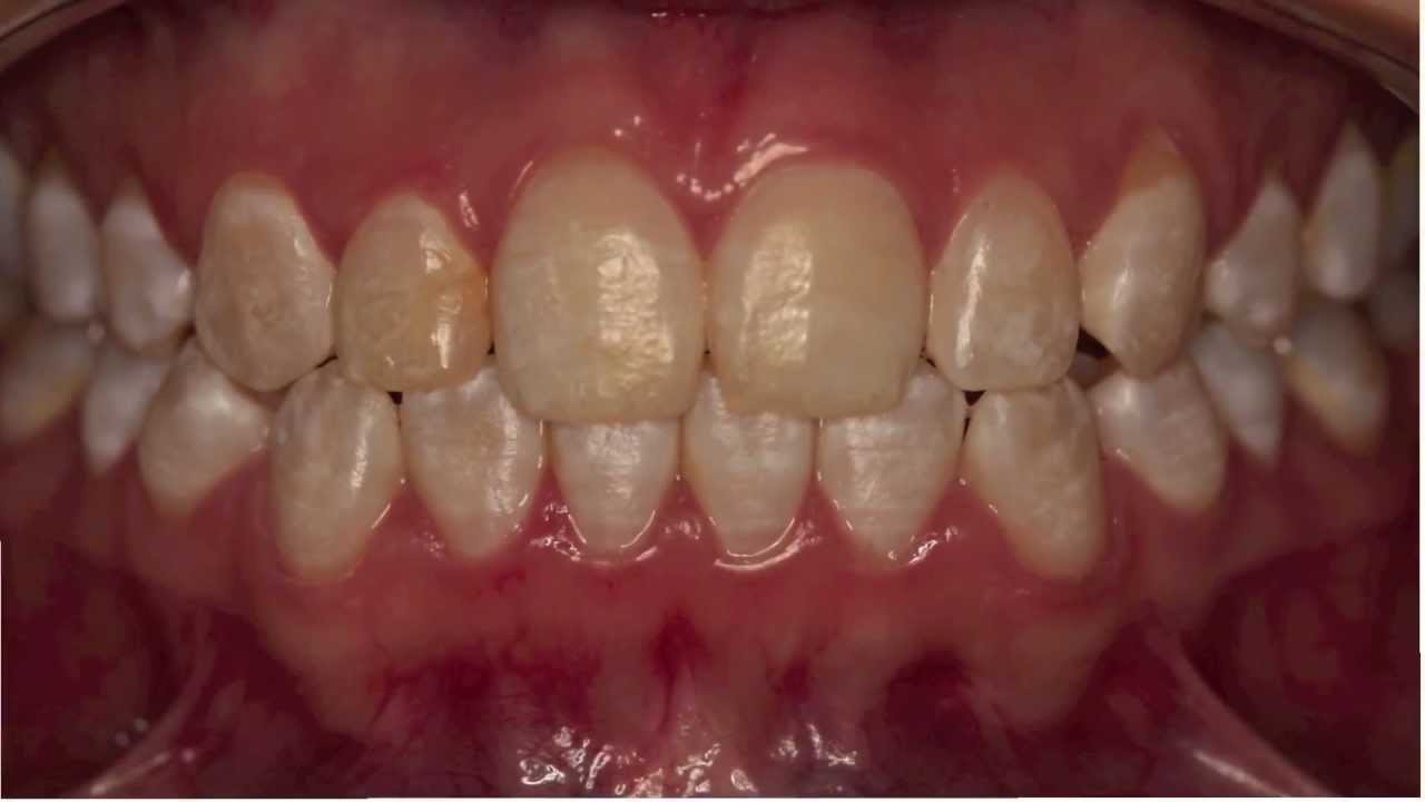
На фотографии зубы, с пораженной зубной эмалью, из-за постоянного и длительного попаданием в организм избыточного количества фтора – флюороз.
Отличить кариозное поражение в виде пятна можно по следующим признакам:
- Локализация. Кариозное поражение, как правило, локализуется на контактной или жевательной поверхности зуба. Чаще всего при кариесе наблюдается единичное пятно, размеры которого варьируются от 3 до 5 мм.
 - Кариес в стадии пятна не имеет четких границ, а его поверхность гладкая и матовая.
 - До возникновения кариозного пятна зубная эмаль не имела видимых изменений и микротрещин. При флюорозе и гипоплазии пятна на эмали наблюдаются от момента прорезывания зуба и сохраняются на протяжении всей жизни больного.
 - При дальнейшем прогрессировании кариозное пятно трансформируется в кариозную полость, в то время как флюороз и гипоплазия образуют дефекты в дентине зуба.
 
Методы диагностирования
Для диагностирования заболевания врач проводит процедуру окрашивания зубной поверхности. Стоматолог использует специальный метиленовый синий раствор. Врач может применять детектор кариеса, содержащего в своем составе фуксин. Препарат окрашивает поверхность зуба в розовый цвет. Это сигнализирует о наличии пораженных кариесом тканей.
На фотографии процедура выявления кариеса обработкой раствором. Розовым цветом окрашивается пораженная эмаль.
Это интересно.
Еще один способ определения наличия кариеса — метод высушивания зубной эмали. На первоначальном этапе зубную поверхность тщательно промывают с использованием перекиси водорода. Далее ополаскивается полость и устанавливаются ватные тампоны. Врач постоянно промакивает поверхность зуба специальными салфетками и направляет на эмаль поток теплого воздуха. В процессе высушивания пораженные кариесом участки зуба приобретают выраженный белый оттенок.
Начальная стадия появления кариеса может устанавливаться с применением УФО-стоматоскопии. Процедура осуществляется в затемненном стерильном помещении со специальным флюоресцентным стоматоскопом. Предварительно зубная полость скрупулезно очищается от мягкого налета. В процессе проведения процедуры врач может выявить гашение люминесценции при сравнении со здоровой зубной эмалью. Метод УФО-стоматоскопии помогает определить границы распространения кариеса и степень поражения эмали. При осуществлении других методов подобных результатов получить невозможно.
На фотографии процесс выявления кариеса УФО-стоматоскопией. Люминесценция гаснет в месте кариеса по сравнению со здоровой зубной эмалью.
Кариес в стадии пятна вызывает много обсуждений среди стоматологов и пациентов. Многие специалисты отмечают, что на этом этапе возможно обратить процесс вспять, используя современные методы лечения. Например, применение фторсодержащих препаратов и реминерализующих паст может значительно замедлить развитие кариеса и даже восстановить эмаль. Пациенты, в свою очередь, часто выражают надежду на безболезненные и недорогие способы лечения, что делает профилактику особенно актуальной. Важно также отметить, что регулярные визиты к стоматологу и правильная гигиена полости рта играют ключевую роль в предотвращении дальнейшего прогрессирования заболевания. Обсуждения на форумах показывают, что многие люди заинтересованы в получении информации о новых методах и рекомендациях, что свидетельствует о растущем внимании к здоровью зубов.
Методы лечения кариозного пятна
Перед началом лечения кариеса необходимо очистить ротовую полость от зубных отложений. То есть осуществить профессиональную чистку зубного ряда.
На фотографии зубы с пораженной эмалью из-за постоянного и длительного попаданием в организм избыточного количества фтора – флюороз.
Если начальная форма кариеса проявилась в виде мелового пятна, то для ее лечения прибегают к проведению реминерализирующих процедур, позволяющих насытить эмаль такими микроэлементами, как кальций и фтор. Для устранения мелового пятна можно использовать современные стоматологические методы лечения, такие как терапия лазером, озонотерапия и инфильтрация.
Если лечение начато вовремя, то кариес в виде белого пятна является полностью обратимым. После курса процедур эмаль реминерализуется, а меловое пятно полностью ликвидируется.
Для лечения бурого пятна прибегают к сверлению и обработке кариозной полости озоном или лучом лазера. Лазеро- и озонотерапия позволяют осуществить реминерализацию пораженной эмали и полностью уничтожить кариесогенные микроорганизмы.
Особенности и различия современных методик лечения
К преимуществам современной стоматологии в области лечения кариеса относят отсутствие бормашины. Кроме этого, возможность освобождения пораженного зубного элемента без затрагивания его здоровой части. Комплексные обработки кариозного поражения — специфика функциональности лечения заболевания.
Наиболее востребованными методами считаются:
- инфильтрация;
 - лечение озоном;
 - лазерное лечение;
 - воздушно-абразивная обработка.
 
Способ инфильтрации был разработан в Германии. Метод характеризуется микроинвазивным лечением кариеса на стадии пятна. Процесс отличается лечением химико-механической обработкой, продолжительность которой составляет 15-20 минут. Отсутствие препарирования и болезненных ощущений — несомненные преимущества способа. Международные исследования доказали положительную динамику и полное устранение кариеса данным методом. Развитие кариозного пятна прекращается на любой стадии.
На фотографии метод лечения раннего кариеса – инфильтрация. При этом способе пораженный участок зуба безболезненно лечат химико-механической обработкой.
Лечение кариеса пятна озоном может быть рекомендовано в любом возрасте и на начальной стадии появления заболевания. Суть процедуры направлена на устранение развивающихся бактерий с последующей реминерализацией тканей. Метод позволяет врачам не использовать анестезию при проведении процедур лечения озоном. Механизм очищения от пораженных тканей в применении специального аппарата. Устройство преобразует кислород в озон, нейтрализующий действие кариозных бактерий. Здоровые зубы остаются нетронутыми. Процедура длится от 20 до 40 секунд, при этом результат виден моментально. Пациент не ощущает болезненных синдромов. Метод не вызывает никаких аллергических реакций.
На фотографии стоматолог лечит кариес азоном. Специальный аппарат, преобразуя кислород в азон, нейтрализует кариозных бактерий.
Метод устранения кариеса в виде пятна — воздушно-абразивный способ обработки пораженной поверхности. Способ характеризуется применением пескоструйного аппарата, который функционирует посредством воздействия потока воздуха. Метод был разработан в 40-е годы в США. Для проведения процедуры используется оксид алюминия, отличающийся бесцветностью и нетоксичностью. Абразивная система “выстреливает” активным веществом, способным растворить кариозные бактерии. Соприкосновения со здоровыми зубами не происходит. Процедура полностью безболезненная и позволяет избавиться от кариесного пятна без анестезии.
Методом лечения кариеса на любой стадии развития является лазерная флюоресценция. В процессе применения не возникает:
- болевого синдрома;
 - интенсивного нагревания зубной ткани;
 - вибрации и других неприятных последствий лечения.
 
Метод оптимально подходит для беременных или детей, поскольку характеризуется низким уровнем излучения. Препарирование осуществляется исключительно на пораженные зубные ткани. Это позволяет врачу с точностью ликвидировать любые проявления кариеса. Устраняются также возможные риски появления вторичного развития заболевания.
На фотографии лазерное лечение кариеса начальной стадии.
Совет стоматолога.
Важным фактором при выборе индивидуального метода лечения будет первичная диагностика. Немаловажным аспектом будет грамотный осмотр ротовой полости.
Прогноз и профилактика возникновения кариозных пятен
При своевременном лечении пятно кариеса можно удалить полностью или перевести заболевание из активной в стабилизированную форму. Полностью ликвидировать деструкционный процесс можно консервативными методами лечения, такими как сверление и последующее пломбирование кариозной полости, развивающейся на месте бурого кариозного пятна.
На фотографии стоматолог обрабатывает пораженные кариесом участки зубов, применяя пескоструйный аппарат для растворения кариозных бактерий.
Профилактика кариозных пятен заключается в рациональном питании, систематической чистке зубов, регулярном посещении стоматолога, обработке зубного ряда при помощи профессиональных препаратов, снятии зубного камня и мягкого бактериального налета. Кроме этого, следует отказаться от чрезмерного потребления сладкого, так как углеводы являются питательной средой для кариесогенных микроорганизмов. Газированные напитки и курение также провоцируют развитие начальной формы кариозного поражения, поэтому от них следует отказаться.
Видео: Метод инфильтрации для лечения начального кариеса.

На видео, подробным образом рассказывается об использовании инновационного метода инфильтрации в борьбе с ранним кариесом, его преимуществах и важных особенностях.
Видео: Метод воздушно-абразивной обработки для лечения зубов.

Высокотехнологичный способ воздушно-абразивный обработки позволяет лечить кариес без использования анестезии, а так же избегая болевых и разрушающих поверхность зуба методов.
Вопрос-ответ
Каковы методы лечения кариеса на стадии пятна?
Реминерализующая терапия. Наиболее популярный и эффективный метод лечения, который проводится на стадии только белого пятна. Предполагает насыщение пораженных тканей микроэлементами и минералами путем аппликаций лекарственных веществ. Процедуры проводятся ежедневно или через день. Курс состоит из 10-15 процедур.
Как лечится кариес на стадии пятна?
Лечение кариеса в стадии пятна зависит от пигментации патологического очага. Если кариес находится в стадии белого пятна, проводится реминерализирующая терапия. Для этого на эмаль наносятся фтор, фосфат и кальцийсодержащие препараты в виде гелей, лаков или растворов. Обычно курс лечения составляет 10-15 аппликаций.
Какова этиология кариеса зубов?
Этиология кариеса зубов определяется четырьмя основными факторами: бактериями, временем, восприимчивой поверхностью зубов и ферментируемыми углеводами. В связи с высокой распространенностью заболеваний полости рта и повышенной устойчивостью микроорганизмов к антибиотикам существует необходимость в альтернативных методах лечения.
Советы
СОВЕТ №1
Регулярно посещайте стоматолога для профилактических осмотров. Это поможет выявить кариес на ранних стадиях, включая стадию пятна, и начать лечение до того, как возникнут более серьезные проблемы.
СОВЕТ №2
Обратите внимание на свою диету. Уменьшите потребление сахара и углеводов, которые способствуют образованию кариеса. Включите в рацион больше фруктов, овощей и продуктов, богатых кальцием, чтобы укрепить зубную эмаль.
СОВЕТ №3
Регулярно чистите зубы и используйте зубную нить. Чистка зубов дважды в день и использование зубной нити помогут удалить налет и предотвратить развитие кариеса, особенно в области, где могут образовываться пятна.
СОВЕТ №4
Используйте фторсодержащие зубные пасты и ополаскиватели. Фтор помогает укрепить зубную эмаль и может замедлить прогрессирование кариеса, особенно на стадии пятна.












