Для течения пульпита характерны две основные формы: острая и хроническая. Без своевременного устранения проблемы острый пульпит всегда переходит в хронический.
Поэтому при первых признаках воспаления необходимо срочно обратиться к врачу.
Формы острого пульпита зубов
Различия в клинико-морфологических признаках острого пульпита дополнительно разделяют эту форму на очаговый и диффузный пульпиты.
Врачи отмечают, что пульпит, несмотря на свою распространенность, может проявляться в редких и необычных формах. Одной из таких является пульпит, вызванный аллергической реакцией на определенные материалы, используемые в стоматологии. Это состояние может проявляться отеком и воспалением пульпы, что затрудняет диагностику. Также существует так называемый “пульпит в результате травмы”, когда повреждение зуба приводит к воспалению, но без явных клинических признаков. Врачи подчеркивают, что важно учитывать индивидуальные особенности пациента, так как редкие формы пульпита могут требовать особого подхода к лечению. Наконец, интересным является и “пульпит у детей”, который может развиваться на фоне системных заболеваний, таких как диабет, что требует комплексного подхода к терапии.

Очаговый или серозный
После активизации одонтобластов, ответственных за чувствительность, проницаемость и минерализацию дентина клеток, в мягкой ткани происходит локальный отёк пульпы.
Это самая ранняя стадия воспаления, при которой очаг расположен максимально близко к кариозной полости.
Отличается приступообразной пульсирующей болью, которая чётко локализована. Возникает как от любого раздражителя, так и самопроизвольно. Продолжительность непостоянная: от нескольких минут до часа. Возможны перерывы на несколько часов, после чего боль возобновляется и усугубляется в ночное время суток.
Полость зуба не вскрыта, на перкуссию реакция не выражена, но в процессе зондирования ощущается острая боль. Иррадиация в этом случае отсутствует, благодаря чему пациент точно определяет больной зуб.
Важно! Спустя максимум 48 часов процесс замещения пульпы грануляционной тканью завершается и переходит в гнойную форму.
Диффузный или гнойный
Стадия, на которой воспалением охвачена уже вся коронковая и корневая часть пульпы. Характер боли резкий, пульсирующий, а приступы продолжительные, с безболезненными интервалами не более 40 минут. При этом боль не проходит полностью, а трансформируется в умеренную.
Фото 1. Схема зуба при гнойном пульпите. Стрелками указаны части челюсти, которые участвуют в воспалительном процессе.
Из-за иррадиаций в противоположную часть челюсти и по ходу ветви тройничного нерва: в скулы, затылок, висок и даже надбровные дуги пациенту не просто определить причинный зуб. Воздействие горячего и любые прикосновения провоцируют резкую боль с незначительным успокоением от холода.
Пульпит — это воспаление зубной пульпы, и хотя многие знают о его классических формах, существуют и редкие, необычные варианты этого заболевания. Например, некротический пульпит, который может развиваться в результате травмы или инфекции, вызывает удивление у стоматологов своей агрессивностью. Также встречается пульпит, связанный с системными заболеваниями, такими как диабет, когда воспаление может проявляться в необычных формах.
Некоторые пациенты сталкиваются с пульпитом, вызванным аллергическими реакциями на определенные материалы, используемые в стоматологии. Это подчеркивает важность индивидуального подхода к каждому случаю. Люди часто делятся своими историями о том, как редкие формы пульпита повлияли на их здоровье и качество жизни, что делает эту тему особенно актуальной. Важно помнить, что своевременная диагностика и лечение могут предотвратить серьезные последствия, и каждый случай требует внимательного изучения.

Формы хронического пульпита
Без должного своевременного лечения острый пульпит перетекает в хронический. В свою очередь, хроническая стадия подразделяется на разные формы в зависимости от структурных и функциональных изменений в тканях.
Фиброзный
Вялотекущее воспаление, в процессе которого ткани пульпы замещаются грануляционной тканью, после чего стремительно разрастается волокнистый компонент, и происходит трансформация в фиброзную ткань.
Пульпа приобретает вид плотного жгута с сероватым оттенком по причине сокращения количества клеток и повышенного количества плотных волокон.
Кровоснабжение в тканях существенно нарушено, что в итоге приводит к гибели пульпы. Перкуссия практически безболезненная. Кариозная полость глубокая, зондирование вызывает боль и сопровождается кровянистыми выделениями.
Справка. Пациент может не замечать заболевания в течение продолжительного времени. Боль ноющего характера, кратковременная и возникает при попадании холодного воздуха либо пищевых раздражителей. В основном в зубе ощущается лишь дискомфорт в виде распирания или чувства тяжести.

Язвенный
Развивается как следствие острого пульпита, если в пульпе образовался абсцесс. Проникновение в него гнилостной инфекции провоцирует процесс гнилостного распада участков пульпы, что выражается в изъязвлениях на её коронковой части.
Самопроизвольная боль чаще всего отсутствует, а возникает при резкой смене температур или под воздействием горячей пищи. Интенсивность напрямую зависит от продолжительности патогенного процесса и глубины поражения.
В ряде случаев отмечается неприятный запах изо рта. Перкуссия безболезненна, кариозное поражение глубокое, пульпа тёмно-серого цвета с неприятным гнилостным запахом. Зондирование вызывает боль и кровоточивость.
Гипертрофический
Следствие осложнённого фиброзного пульпита. Коронковая часть разрушена, дентин рассасывается и замещается остеодентином, формируется грануляционная ткань. Воспалённая пульпа разрастается и образует полип, который покрыт некротизированной тканью и заполняет собой всю свободную полость.
Полип часто кровоточит, а в области зуба наблюдаются скопления мягкого налёта. Не исключается появление неприятного запаха. Боль ноющая, возникает при приёме твёрдой и грубой пищи. На температурные раздражители реакция практически отсутствует, а зондирование умеренно болезненное.
Редкий гангренозный
Поздняя стадия, при которой происходит гнилостный распад пульпы по причине инфицирования анаэробной микрофлорой (организмами, которые активизируются при отсутствии кислорода). Заражение происходит при вскрытии во время лечения, через глубокий пародонтальный карман или при травме зуба со сколом.
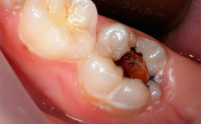
Фото 2. Так выглядит гангренозный пульпит: зуб сильно разрушен, коронковая часть темно-серого цвета.
Коронковая часть тёмно-серого цвета, иногда сильно разрушена. Изо рта идёт резкий гнилостный запах. Ощущается умеренная ноющая боль при надкусывании, которая продолжается достаточно долго даже после устранения раздражения. Температурная реакция проявляется на горячее. Интенсивность боли при зондировании зависит от обширности поражения пульпы.
Ретроградный
Источник инфекции находится в сформированных пародонтальных карманах, которые охватывают большую часть корня. Корневая костная ткань при этом рассасывается. По этой причине заражение пульпы происходит через отверстие в корневой верхушке, из-за чего воспаление начинается с корня и только потом переходит на коронку. В отдельных случаях инфицирование осуществляется с кровотоком либо из ближайших патогенных очагов. Например, при гайморите или остеомиелите.
Боль приступообразная, рвущая, пульсирующая. Иррадирует по ходу тройничного нерва. Только если пульпа с дистрофическими изменениями, резкая боль отсутствует. В этом случае заболевание долго протекает бессимптомно и обнаруживается при целенаправленном обследовании.
Перкуссия и пальпация безболезненны, а реакция на горячее острая вплоть до продолжительного приступа. Ретроградным пульпитом часто поражаются одновременно несколько зубов.
Конкрементозный
Развивается на фоне нарушений в защитных механизмах зуба, врождённых аномалий формирования твёрдых тканей или возрастных изменений всей зубочелюстной системы.
В пульпе формируются дентикли (участки из заместительного дентина) и петрификаты (отложения солей кальция). Заболевание способно протекать в скрытой форме от нескольких месяцев до нескольких лет.
И только по мере увеличения количества конкрементов с течением времени будет нарастать боль, обусловленная сдавлением сосудов и нервных окончаний пульпы.
Боль самопроизвольная и выступающая ответной реакцией на механическое или термическое раздражение. Иррадирующая, приступообразного характера. Часто проявляется при резких поворотах головы или всего корпуса. Перкуссия крайне чувствительна и провоцирует продолжительный приступ боли.
Полезное видео
Посмотрите видео, в котором врач-стоматолог рассказывает об основных осложнениях пульпита.
Обратимая и необратимая разновидность заболевания
Своевременное обращение за стоматологической помощью является гарантией излечения обратимой формы пульпита. Она легко определяется такими признаками:
- боль возникает только от механического воздействия, а также от сладкого, холодного или резкого потока воздуха;
 - болевые ощущения прекращаются после устранения раздражителя и продолжаются не дольше 10 секунд;
 - безболезненная перкуссия;
 - периапикальные рентгенологические изменения не наблюдаются.
 
Причинами обратимого вида пульпита всегда выступают: слишком активное препарирование, неглубокий кариес, установленная без подкладки пломба, кюретаж, удаление зубного камня и неудачный пломбировочный материал.
Необратимый пульпит является следствием запущенной обратимой формы. Для него характерны следующие симптомы:
- болезненная перкуссия;
 - самопроизвольный характер боли, в том числе и в течение нескольких часов, включая изнурительную ночную боль;
 - чувствительность к горячему;
 - острая боль продолжается даже без раздражителя;
 - часто в положении лёжа болевой синдром только усугубляется;
 - боль резкого пульсирующего характера;
 - рог пульпы вскрыт вследствие глубокого кариеса.
 
В ряде случаев необратимый хронический пульпит, так же как и некоторые другие формы этого заболевания, склонен протекать совершенно бессимптомно. Учитывая тяжёлые разрушительные последствия для зуба, к которым приводит эта патология, посещайте своего стоматолога в профилактических целях минимум дважды в течение года.
Вопрос-ответ
Какие существуют виды необратимого пульпита?
Боль при необратимом пульпите более интенсивна, чем при обратимом. Различают два типа пульпита: хронический необратимый и острый необратимый.
Какой может быть пульпит?
Острый пульпит вначале носит очаговый характер и протекает как серозное воспаление (серозный пульпит). Затем появляется гнойный экссудат (гнойный пульпит). При этом появляются очень сильные боли вследствие накопления гнойного экссудата в закрытой пульпарной камере.
Для острых форм пульпита характерны боли?
Для острого очагового пульпита характерны произвольные боли, носящие характер приступа. Нередко они спровоцированы действием различных факторов, а длительность приступа составляет полчаса. Если не принять мер на этой стадии, спустя некоторое время боль наблюдается по 1-2 часа и усиливается в ночное время.
Советы
СОВЕТ №1
Обязательно обращайтесь к стоматологу при первых признаках боли или дискомфорта в зубах. Раннее выявление пульпита, даже в редких формах, может значительно облегчить лечение и предотвратить серьезные осложнения.
СОВЕТ №2
Изучите информацию о различных формах пульпита, чтобы лучше понимать свое состояние. Знание о редких формах заболевания поможет вам задать правильные вопросы врачу и получить более точный диагноз.
СОВЕТ №3
Не пренебрегайте профилактическими мерами: регулярная гигиена полости рта и посещение стоматолога дважды в год могут помочь избежать развития пульпита и других стоматологических заболеваний.
СОВЕТ №4
Если вам поставили диагноз редкой формы пульпита, не стесняйтесь искать второе мнение. Консультация другого специалиста может дать вам больше информации о возможных вариантах лечения и помочь выбрать наилучший подход.







