Пародонтит (воспаление околозубной ткани) у детей возникает в 5% случаях. Заболевание по степени локализации бывает генерализованным и локализованным, также детский пародонтит разделают на пубертатный и препубертатный. По форме развития пародонтит имеет острую или хроническую формы.
Препубертная форма детского пародонтита характеризуется наличием деструктивного процесса в костной и десневой ткани. Пародонтит развивается в период прорезывания молочных зубов. Развитие пародонтита у детей часто связано с наследственностью или общим снижением иммунитета ребенка. Причинами возникновения пубертатной формы пародонтита являются выделения из зубодесневых карманов, густая слюна, зуд и рыхлость десен, пошатывание зубов и неприятный запах изо рта.
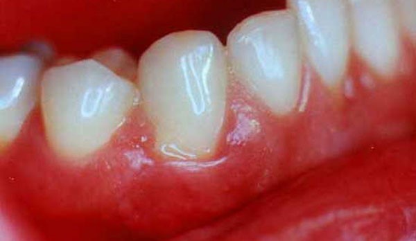
Воспалительный процесс в околозубной ткани или пародонтит характеризуется развитием деструкционного процесса в костной ткани, разрушением мышечных связок, поражением десневой ткани, расшатыванием и выпадением зубов.
У детей пародонтит может развиться в возрасте от 9 до 10 лет. Данное стоматологическое заболевание выявляется у 5% детей. Воспалительный процесс в незрелой околозубной ткани чреват серьезными последствиями: смещается зубной ряд, возникают патологические изменения в структуре пародонта.
Помимо стандартной классификации (острая и хроническая форма), а также локализации (генерализованный и локализованный) детский пародонтит может быть пубертатным и препубертатным.
Препубертная форма пародонтита
Препубертатный пародонтит характеризуется наличием деструктивного процесса в десневой и костной ткани. Воспалительный процесс развивается в период прорезывания молочных зубов. Следствием заболевания является ранняя потеря зубного ряда, состоящего из молочных зубов, а также распространение патологического процесса на зачатки постоянных зубов. Основными факторами, влекущими развитие пародонтита в препубертатном периоде, является наличие специфических пародонтогенных микроорганизмов, которые передаются ребенку от его родителей, а также существенно снижение местного иммунитета.
Детский пародонтит представляет собой серьезное заболевание, которое требует внимательного подхода со стороны врачей. По мнению специалистов, основными факторами его развития являются генетическая предрасположенность, недостаточная гигиена полости рта и системные заболевания. Симптомы могут включать покраснение и отек десен, кровоточивость, а также неприятный запах изо рта. Врачи подчеркивают важность ранней диагностики, так как запущенные формы пародонтита могут привести к потере зубов. Лечение обычно включает профессиональную чистку, обучение правильной гигиене и, в некоторых случаях, применение антибиотиков. Важно, чтобы родители регулярно водили детей на стоматологические осмотры, что поможет предотвратить развитие заболевания и сохранить здоровье зубов на долгие годы.

Пубертатная форма пародонтита
Пубертатная форма детского пародонтита развивается вследствие таких факторов, как аномалии строения ротовой полости (неправильный прикус, аномалии уздечки, мелкое преддверье), системные заболевания, изменение гормонального фона, некорректный уход за ротовой полостью. Основными причинами подросткового пародонтита являются:
- выделения из зубодесневых карманов;
 - пошатывание зубов;
 - гнилостный запах из ротовой полости;
 - зуд и рыхлость десен;
 - загустение слюны.
 
Этиология детского пародонтита
В детском возрасте возникновение пародонтита связно с изменениями в организме ребенка. К местным факторам, провоцирующим развитие детского пародонтита, относят:
- Аномалии в строении уздечки и преддверья. Кроткие уздечки и мелкое преддверье провоцируют развитие воспалительного процесса, так как влияют на способность ротовой полости к самоочищению. Устранить проблему можно при помощи пластической коррекции.
 - Неправильное пережевывание пищи. Достаточно часто дети пережевывают пищу только с одной стороны, вследствие чего на стороне не участвующей в процессе жевания образуется мягкий зубной налет и камень, провоцирующий развитие деструкционного процесса в тканях пародонта.
 - Некорректное развитие челюстной системы и зубного ряда. Нерациональное распределение нагрузки на зубочелюстную систему также может провоцировать развитие детского пародонтита. Функциональная перегрузка может возникнуть в результате аномалий строения, таких как неправильный прикус, или неполного зубного ряда (молочные зубы уже выпали, а постоянные еще не выросли).
 - Травмы челюсти и зубов. Дети достаточно часто имеют плохую привычку грызть ручки, ногти, заколки и другие предметы, вследствие чего травмируется околозубная ткань и зубы. Повреждать пародонт и зубную ткань могут также некорректно установленные пломбы и брекет-системы.
 - Питание. Избыток мягкой пищи ведет к недостаточной нагрузке зубочелюстной системы. В рационе ребенка, в обязательном порядке, должна присутствовать твердая пища (морковь, яблоки, кольраби, топинамбур и т. д.), при пережевывании которой осуществляется естественное механическое снятие зубных отложений.
 - Плохая гигиена ротовой полости. Некачественный уход за ротовой полостью, применение взрослых зубных паст провоцируют рост парадонтогенных микроорганизмов, продукты жизнедеятельности которых разрушают околозубную ткань и провоцируют развитие воспалительного процесса.
 
Детский пародонтит — это заболевание, которое вызывает беспокойство у родителей и стоматологов. Его этиология часто связана с неправильной гигиеной полости рта, генетической предрасположенностью и системными заболеваниями. Симптомы могут включать покраснение и отек десен, кровоточивость, а также неприятный запах изо рта. Важно отметить, что ранняя диагностика играет ключевую роль в успешном лечении. Методы терапии варьируются от профессиональной чистки зубов до применения антисептиков и, в некоторых случаях, хирургического вмешательства. Родителям рекомендуется регулярно посещать стоматолога и следить за гигиеной ребенка, чтобы предотвратить развитие пародонтита и сохранить здоровье зубов на долгие годы.

Диагностика заболевания
Выявить детский пародонтит позволит простой стоматологический осмотр и прощупывание подчелюстных лимфатических узлов. При наличии болезни наблюдается болезненность региональных лимфоузлов при пальпации, образование зубодсневых карманов, отек и рыхлость ткани десен.
Для выявления причины, спровоцировавшей детский пародонтит, может понадобиться консультация у других специалистов, таких как иммунолог, эндокринолог, педиатр, аллерголог и прочих.
Лечение пародонтита у детей
Фармакологическое лечение детского пародонтита заключается в обработке пораженных участков пародонта антисептиками. Для подавления пародонтогенной микрофлоры назначается антибактериальная терапия. Восстановить нагрузку на зубочелюстную систему позволит корректное протезирование зубов и лечение сопутствующих заболеваний ротовой полости (кариеса, гингивита и прочих) и удаление подвижных зубов. Эффективность медикаментозного лечения, как правило, усиливается проведением физиотерапевтических процедур.
В особо запущенных случаях прибегают к хирургическому вмешательству, которое заключается в удалении пародонтальных карманов. Оперативное вмешательство целесообразно и в тех случаях, когда у ребенка имеются аномалии в строении преддверья и уздечек (пластическая хирургия). Устранение аномалий в строении зубочелюстной системы хирургическим путем позволяет купировать деструкционный процесс и восстановить защитные свойства пародонта.

Профилактика у детей
Профилактика детского пародонтита заключается в своевременном стоматологическом лечении сопутствующих заболеваний, таких как гингивит и кариес, корректном уходе за ротовой полостью, рациональном питании, комплексном укреплении организма, полноценном режиме труда и отдыха ребенка.
Следует избегать нервных перенагрузок и свести к минимуму возникновение в жизни ребенка стрессовых ситуаций.
Вопрос-ответ
Какие симптомы пародонтита у детей?
Симптомы пародонтита у детей могут включать покраснение и отечность десен, кровоточивость при чистке зубов, неприятный запах изо рта, подвижность зубов, а также образование карманов между деснами и зубами. В некоторых случаях может наблюдаться изменение цвета зубов и их чувствительность. Важно своевременно обратиться к стоматологу для диагностики и лечения.
Какова этиология заболеваний пародонта?
Бактерии являются основным этиологическим фактором заболеваний пародонта, однако последние данные также указывают на дрожжи и герпесвирусы как на предполагаемые патогены.
Характерным симптомом пародонтита является?
Пародонтит — это воспаление пародонта (тканей вокруг зуба). Среди его характерных признаков — кровоточивость десен, разрушение костной ткани и возникновение карманов, то есть углублений между зубом и десной. Невылеченный вовремя пародонтит опасен полным распадом челюстной кости и выпадением зубов.
Советы
СОВЕТ №1
Регулярно посещайте стоматолога для профилактических осмотров. Раннее выявление признаков пародонтита у детей может значительно облегчить лечение и предотвратить серьезные осложнения.
СОВЕТ №2
Обратите внимание на гигиену полости рта вашего ребенка. Обучите его правильной технике чистки зубов и используйте зубную пасту с фтором, чтобы снизить риск развития пародонтита.
СОВЕТ №3
Следите за питанием ребенка. Убедитесь, что в его рационе достаточно витаминов и минералов, особенно витамина C и кальция

