Пульпитом в стоматологии называется воспаление сосудисто-нервного пучка или пульпы (в переводе с латинского).
Ещё более простая формулировка этого заболевания — воспаление зубного нерва.
Соответственно, каждый зуб, в котором идёт разрушительный процесс, всё ближе приближаясь к мягкой ткани, носит название пульпитный.
Код пульпита согласно МКБ-10
Классификация заболевания по МКБ-10 распределена кодировкой от К04.00 до К04.09.
Врачи отмечают, что пульпит — это воспаление пульпы зуба, которое может проявляться различными симптомами. Основные признаки включают резкую боль, особенно при воздействии горячего или холодного, а также отечность десен и изменение цвета зуба. Если пациент испытывает постоянный дискомфорт или болезненность при жевании, это может быть сигналом о развитии пульпита.
Игнорирование этих симптомов может привести к серьезным последствиям. Врачи предупреждают, что без лечения воспаление может распространиться на окружающие ткани, что вызовет абсцесс и даже потерю зуба. Кроме того, инфекция может перейти в кровь, что создаст риск для общего состояния здоровья. Поэтому важно не откладывать визит к стоматологу при первых признаках заболевания.

Как выглядят симптомы у взрослых
Главным характерным признаком пульпита является боль.
Но в зависимости от степени запущенности заболевания и его формы (острой или хронической) характер и продолжительность боли бывают разными.
Острый пульпит несложно распознать, в первую очередь, по изматывающей боли именно в вечернее и ночное время суток. Это самопроизвольная приступообразная боль, которая возникает даже без каких-либо провоцирующих раздражителей.
А также боль проявляется как ответная реакция на кислое, горячее или холодное, продолжается долго даже после устранения раздражителя и часто иррадирует в ухо, висок или распространяется по всей челюсти. При хронической форме пульпита основные признаки такие же, с той разницей, что интенсивность боли выражена не так сильно.
Неприятный запах изо рта, воспалённая десна, субфебрильная температура, изменившаяся по цвету эмаль, возросшая чувствительность к холодному и горячему и незначительно увеличенные шейные лимфоузлы — дополнительные симптомы, которыми часто сопровождается пульпит.
Справка! В отдельных случаях пульпит способен протекать совершенно бессимптомно, что существенно увеличивает риск развития периостита (воспаление надкостницы) или периодонтита (воспаление корня и прилегающих тканей).
Причины появления пульпитных зубов
Для развития пульпита есть несколько причин разного характера.
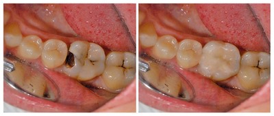
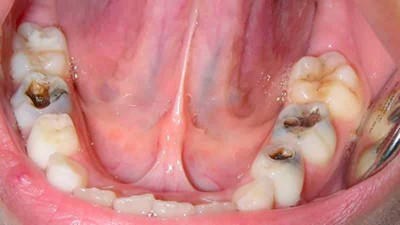
- Запущенный кариес — основная из них. С течением времени без необходимого лечения кариозная полость продолжает расширяться и углубляться, из-за чего патогенные бактерии легко проникают в мягкую зубную ткань. Проникновение происходит как напрямую, если пульпа открыта, так и по дентинным каналам.
 - 
Заболевания, которые нарушают формирование дентина, вследствие чего вскрывается пульпа. Например, сахарный диабет или остеопороз.
 - Надкол зуба, из-за которого произошло вскрытие пульпы.
 - Гайморит. Воспаление в гайморовых пазухах способно перейти на пародонтальный канал и подняться к верхушке, вызвав пульпит.
 - Ожог мягкой ткани зуба в процессе пломбирования, препарирования зуба под протез или фотоотбеливания эмали, если водное охлаждение было недостаточным.
 - Токсическое воздействие сильно концентрированных антисептиков или пломбировочного материала которые проникают по дентинным каналам и вызывают воспаление пульпы.
 - Инфицирование с кровотоком. Бактерии проникают в пульпу из очага воспаления, оставляя целостность зуба неповреждённой.
 - Неполное удаление кариозных участков в процессе лечения зуба. Под пломбой бактерии продолжают разрушать зубные ткани и достигают пульпы.
 - Низкий уровень гигиены ротовой полости, что неизбежно приводит к кариесу.
 - Технически неправильно установленные брекеты.
 - Пародонтит средней или тяжёлой стадии. В этом случае инфекция попадает в пульпу через корневую систему либо соединительную ткань.
 
Если пульпит протекает в хронической форме, его обострение способны легко спровоцировать переохлаждения, челюстные травмы, сильный стресс, а также простудные инфекционные заболевания.
Важно! На рентгеновском снимке воспаление в пульпе не проявляется, потому как рентгеновские лучи не задерживаются в мягкой ткани.
В качестве исключения патологические изменения заметны только при гангреозном типе, когда происходит выброс токсинов в связи с отмиранием мягких тканей, и последующий распад уже костной ткани. Её плотность существенно уменьшается, и это отображается на снимке.
Пульпит — это воспаление пульпы зуба, которое может проявляться различными симптомами. Люди часто отмечают резкую боль в зубе, особенно при воздействии горячего или холодного. Некоторые жалуются на постоянный дискомфорт, который усиливается ночью. Также может наблюдаться отечность десен и изменение цвета зуба. Если не обратиться к стоматологу, воспаление может привести к серьезным осложнениям, таким как абсцесс или потеря зуба. Важно помнить, что игнорирование симптомов пульпита может не только ухудшить состояние зуба, но и вызвать инфекцию, которая распространится на соседние ткани. Поэтому при первых признаках стоит незамедлительно записаться на прием к специалисту.

Патогенез заболевания
Как правило, воспаление в пульпе происходит в качестве ответа на тот или иной раздражитель.
Чаще всего это проникшие болезнетворные микроорганизмы или из кариозной области, или по причине недостаточно герметичного прилегания пломбы к твёрдой зубной ткани.
А также распространён путь с кровотоком либо через пародонтальный карман. Среди патогенной микрофлоры — грамположительные палочки, стрептококки, стафилококки, лактобактерии, фузоспирохетная флора, грибы и разнообразные гноетворные кокки.
В сочетании с пищевыми остатками подобная микрофлора образует налёт.
Микроорганизмы начинают выделять кислоту, остатки пищи разлагаются, и зубная эмаль постепенно разрушается. Образуется кариес, инфекция которого с течением времени проникает в дентин (костное вещество зуба), а затем и в пульпу. В этой мягкой ткани расположено огромное количество нервных окончаний. Отёкшая воспалённая пульпа их сдавливает, что вызывает острую пронизывающую боль.
Патологическая анатомия болезни
По течению заболевания пульпит бывает острый либо хронический.
Для острого воспаления характерен отёк пульпы, появление диффузных, гистиоцитарных или круглоклеточных инфильтратов. Ондобласты дезорганизуются, снижается количество гликогена.
В увеличенных клетках отсутствуют липиды, рибосомы, гранулы гликогена. Наблюдается множество базофильных клеток, клеточная очаговая пролиферация, прогрессивно образуются макрофаги, а по ходу сосудов происходит полиморфно-клеточная инфильтрация.
Периодически встречается диапедез эритроцитов с мелкими очагами кровоизлияний. В нервных волокнах заметны незначительные дистрофические изменения. Это продолжается несколько часов, после чего происходит миграция нейтрофилов с массовыми скоплениями вокруг венул. Дистрофические изменения прогрессируют, и распадается миелин. Это является началом диффузного гнойного пульпита.

Патанатомия хронической формы воспаления
При переходе в хроническую форму воспаление прекращается, и в пульпе начинают разрастаться волокна соединительной ткани. Со временем ондобласты и клетки атрофируются, а количество волокон значительно увеличивается. Оставшаяся малая часть клеток приобретает вытянутую форму и распределяется по ходу волокон.
На определённых участках происходит облитерация сосудов и отложение петрификатов.
Если вокруг них образуются микроабсцессы, грануляционная ткань разрастается, после чего формируется фиброзная капсула.
При хроническом гангренозном пульпите поражается вся коронковая и корневая пульпа. Гангренозный очаг представляет собой бесструктурную массу из кристаллов жирных кислот, бактерий и кровяного пигмента. На границе сохранившейся пульпы с гангренозным распадом происходит демаркационный вал. Начинается разрастание грануляционной ткани, появляются признаки серозного воспаления.
Продолжительный хронический фиброзный пульпит отличается обширным обнажением пульпы, изъязвлением её поверхности и разросшейся грануляционной тканью, которая её покрывает. В состав ткани входят тонкостенные капилляры и соединительно-тканные волоконца. Со временем её поверхность покрывает эпителий и формируется полип пульпы.
Если не лечить заболевание: возможные осложнения
Даже непродолжительное отсутствие адекватного лечения пульпита способно спровоцировать ряд тяжёлых и опасных для жизни последствий. Например, пульпит может привести к образованию кисты.
Флюс или периостит: что это такое
Воспаление надкостницы, которое вызывают патогенные микроорганизмы, проникшие в кариозную полость.
Пульпа постепенно отмирает, болезненные ощущения уходят, а воспаление принимает хроническую форму. Бактерии проникают всё глубже, и вокруг корня формируются массовые гнойные скопления.
Категорически возбраняется вскрывать гнойный мешочек самостоятельно. Это чревато проникновением инфекции в гайморовые пазухи, сердечную мышцу или мозговую оболочку, что в свою очередь может привести к фатальным последствиям.
Остеомиелит челюсти, как последствие запущенного пульпита
Тяжёлая инфекционно-воспалительная патология челюсти, которая способна разрушить все её структурные части. Кроме костной, локализуется и в мягкой окружающей ткани. Опасность подобного гнойного воспаления в необратимой мозговой и костной деструкции. Заболевание склонно к распространению по всему организму через лимфатическую и кровеносную системы.
Пульпарный абсцесс
Скопление гноя в камере пульпы. После повышения в пульпе уровня серозного вещества происходит кислородная недостаточность.
Фото 1. Так выглядит осложнение пульпита, пульпарный абсцесс: на десне верхней челюсти заметно скопление гноя.
Нарушенный кислотно-щелочной баланс увеличивает количество молочной кислоты, что угнетает защитную клеточную функцию. Начинается распад тканей, и появляются симптомы абсцесса.
Периодонтит и его определение в стоматологии
Гнойный воспалительный процесс у верхушки корня. Токсины и микроорганизмы проникают в периодонтальное пространство, и инфекция стремительно прогрессирует в тканях периодонта.
Флегмона
Гнойное острое воспаление подкожной жировой клетчатки по причине гематогенного или контактного вторжения инфекции из её очага.
Распространяется стремительно в силу того, что гной локализован не в одном месте, а равномерно и глубоко проникает в дерму. Расположенная под жевательными мышцами в области челюсти патология чрезвычайно опасна реальной угрозой гнойного менингита.
Профилактика и регулярное посещение зубной клиники
Своевременное и безотлагательное лечение кариеса — основная профилактика пульпита. Но даже, на первый взгляд, благополучно запломбированные зубы не являются поводом игнорировать регулярные профилактические осмотры.
У каждого пломбировочного материала существует определённый срок годности, по истечении которого он начинает разрушаться. Усадочные деформации образуют зазоры, куда беспрепятственно проникают микроорганизмы, существующие при самой тщательной гигиене ротовой полости.
- 
Категорический или частичный, но твёрдый отказ от такой вредной пищи как всевозможные сладости, излишне кислые блюда и сладкая газированная вода — серьёзный способ сохранить максимально здоровые зубы.
 - 
Если произошёл скол эмали, реставрацию зуба необходимо произвести в сжатые сроки.
Систематическое воздействие холодной, горячей и кислой пищи в этом случае достаточно быстро вызывает пульпит.
 - Позаботьтесь, чтобы в ваш рацион питания регулярно входили продукты, обогащённые витамином С, фтором и кальцием. После дополнительной консультации со своим стоматологом можно использовать специальные БАДы и витаминно-минеральные комплексы.
 - В идеале после приёма пищи стоит почистить зубы. Если такой возможности нет, используйте жевательную резинку без сахара или прополощите рот специальным ополаскивателем.
 - Не забывайте чистить зубы минимум два раза в день. Подберите качественную щётку и пасту. А также 2 раза в год проходите профессиональную чистку в стоматологической клинике.
 
Полезное видео
Ознакомьтесь с видео, в котором подробно рассказывается о том, что собой представляет пульпит, каковы его симптомы и способы лечения.
Итоги: постоянные или молочные зубы более подвержены риску?
Пульпит — проблема не только взрослых. Из-за малого объёма дентина и совсем тонкого слоя эмали пульпит молочных зубов у детей встречается даже несколько чаще. В качестве тяжёлых осложнений, помимо периостита и периодонтита, не исключается развитие острого полиомиелита. Это веская причина приучить ребёнка к систематической гигиене и не игнорировать своевременное лечение молочных зубов просто потому, что они являются временными единицами.
Виды
У стоматологов часто спрашивают: “Больно ли лечить пульпит?” Современные средства обезболивания дают возможность ответить отрицательно на этот вопрос.
Этиология

Вопрос-ответ
Что будет, если не лечить пульпит?
Если не вылечить острый пульпит вовремя, он перейдет в хроническую форму, которая длится несколько месяцев и даже лет. Здесь есть одна особенность: иногда патология протекает бессимптомно. Выделяют следующие виды хронического течения заболевания: фиброзный.
Как понять, пульпит у тебя или нет?
Чтобы понять, есть ли у вас пульпит, обратите внимание на симптомы: сильная, пульсирующая боль в зубе, особенно при воздействии горячего или холодного, а также при укусе или нажатии. Если боль не проходит и сопровождается отеком десны или повышенной чувствительностью, это может указывать на пульпит. В любом случае, для точной диагностики и лечения рекомендуется обратиться к стоматологу.
Как долго можно ходить с пульпитом?
Продолжительность заболевания зависит от терпения пострадавшего. Острый пульпит длится не более 14 дней. Если не предпринимать никаких действий, течение переходит в хроническую форму. При этом симптомы на время ослабевают, при любом удобном случае возникают вновь.
Что будет, если игнорировать пульпит?
Игнорировать пульпит нельзя: он не пройдет сам, а после стихания боли и перехода в хроническую фазу инфекция распространится на околокорневые ткани. Дальнейшее разрушение приведет к потере зуба и более грозным осложнениям.
Советы
СОВЕТ №1
Обратите внимание на симптомы: если вы испытываете сильную зубную боль, особенно при воздействии горячего или холодного, это может быть признаком пульпита. Также обратите внимание на отечность десен и изменение цвета зуба.
СОВЕТ №2
Не откладывайте визит к стоматологу: если вы подозреваете пульпит, важно как можно скорее обратиться к специалисту. Чем раньше будет поставлен диагноз, тем легче и быстрее пройдет лечение.
СОВЕТ №3
Следите за состоянием зубов: регулярные осмотры у стоматолога и профессиональная чистка помогут предотвратить развитие пульпита. Не забывайте о гигиене полости рта и используйте зубную нить для удаления остатков пищи.
СОВЕТ №4
Не игнорируйте последствия: если пульпит не лечить, это может привести к более серьезным проблемам, таким как абсцесс или потеря зуба. Будьте внимательны к своему здоровью и не пренебрегайте лечением.









