Прикус – взаимоотношение зубных рядов (верхней и нижней челюсти) в состоянии окклюзии.
В стоматологии окклюзией считается полное смыкание верхней и нижней челюстей, при котором зубы антагонисты (противостоящие друг другу) имеют максимальное количество контактных точек.
При этом у основания ската суставных бугорков располагаются суставные головки нижней челюсти.
Код болезни по МКБ 10
Около 15% населения земли являются счастливыми обладателями правильного (физиологического) прикуса.
Челюстно-лицевые аномалии, в том числе и нарушения в МКБ-10 закодированы в рубрике под номеромК07.
Врачи-стоматологи отмечают, что правильный прикус играет ключевую роль в здоровье зубов и всей челюстно-лицевой системы. Существуют различные виды аномалий прикуса, такие как перекрестный, открытый и глубокий прикус, каждая из которых может привести к серьезным проблемам, включая износ зубов и нарушения жевательной функции. Для исправления дефектов прикуса специалисты рекомендуют несколько методов. Ортодонтические аппараты, такие как брекеты и капы, помогают выровнять зубы и скорректировать положение челюстей. В некоторых случаях может потребоваться хирургическое вмешательство для устранения серьезных аномалий. Врачи подчеркивают важность ранней диагностики и индивидуального подхода к каждому пациенту, что позволяет достичь наилучших результатов в коррекции прикуса.

Виды прикуса зубов у человека в стоматологии
В стоматологии принято разделять окклюзию челюстей на две большие группы: правильные и неправильные.
Правильный (физиологический) прикус у человека имеет ряд основных признаков:
- Между верхними и нижними центральными резцами можно провести линию, которая совпадает с центральной линией лица.
 - Отсутствуют тремы и диастемы (промежутки между зубами).
 - Нет дисфункции речевых и жевательных навыков.
 - Верхние зубы соотносятся к нижним согласно их правильному расположению в ряде без всяческих смещений.
 
Неправильный (аномальный) представляет собой дефект зубного ряда или челюсти. Может быть, как врождённым (генетические особенности строения нижней челюсти), так и приобретённым (травмы, перенесённый туберкулёз костей челюсти и др.).
Правильные физиологические
Таких существует 4 разновидности.
Аномалии прикуса — это распространенная проблема, о которой говорят многие. Люди отмечают, что неправильный прикус может вызывать не только эстетические неудобства, но и серьезные проблемы со здоровьем, такие как боли в челюсти и головные боли. Существует несколько видов прикуса: прямой, глубокий, открытый и перекрестный. Каждый из них требует индивидуального подхода к исправлению.
Методы коррекции варьируются от традиционных брекетов до современных прозрачных капп. Брекеты, хоть и требуют времени на привыкание, эффективно исправляют даже сложные аномалии. Прозрачные каппы, в свою очередь, становятся все более популярными благодаря своей эстетичности и удобству. Многие пациенты отмечают, что регулярные визиты к ортодонту и соблюдение рекомендаций врача значительно ускоряют процесс исправления. Важно помнить, что ранняя диагностика и лечение аномалий прикуса могут предотвратить более серьезные проблемы в будущем.

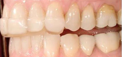
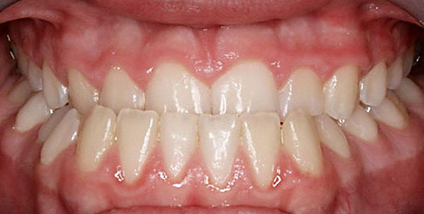
Ортогнатический
Ортогнатический – это стоматологический идеал. Во время смыкания челюстей верхний зубной ряд прикрывает переднюю поверхность нижнего зубного ряда на 1/3 высоты зубов.
Фото 1. Ортогнатический прикус – такой считается самым идеальным, когда верхние зубы слегка прикрывают нижние.
Прогенический
Прогенический тип является обратным ортогнатическому, так как в таком случае нижняя челюсть выдвинута вперёд. При этом нижний зубной ряд перекрывает переднюю часть верхнего.

Бипрогнатический
Бипрогнатический имеет характеристику деформации верхних и нижних резцов, которые в момент окклюзии челюстей имеют наклон в сторону преддверия ротовой полости (если по-простому – наклонены вперёд).
Прямой
При прямом типе в момент окклюзии челюстей не происходит нормального перекрывания передней части нижнего зубного ряда верхними. В этом случае резцы соприкасаются режущими сторонами, что приводит к их быстрому стиранию (в последствии обязательно возникнут проблемы с повышенной чувствительностью эмали).
Неправильные патологические
- 
Неправильное положение головки ребёнка по время кормления грудью;
 - искусственное вскармливание;
 - наследственность;
 - травмы;
 - последствия перенесённых заболеваний.
 
У взрослого населения патологический прикус характеризуется:
- Видимой деформацией лица (выдвинутая или уменьшенная нижняя челюсть, резко асимметричное лицо).
 - Трудности с пережёвыванием пищи. Больному приходится проглатывать еду большими кусками.
 - Отмечается дефект речи.
 - Появляются иные искажения зубного ряда, которые препятствуют адекватному функционированию зубочелюстной системы.
 
Признаки неправильного прикуса:
- 
выдвижение нижней челюсти вперёд или назад;
 - деформированный зубной ряд;
 - дистопия (неправильное расположение зуба);
 - трудности с жеванием и проглатыванием пищи;
 - постоянные язвочки на внутренних поверхностях щёк, из-за того, что ткани часто попадают между зубов и прикусываются;
 - регулярные головные боли;
 - чрезмерное напряжение жевательных мышц приводит к появлению в них болевых ощущений;
 - резко выраженная асимметричность лица.
 
Патологический прикус может привести к развитию язвенной болезни желудка. Нарушение процесса жевания приводит к тому, что пища попадает в желудок крупными кусочками. Чтобы их растворить обкладочные клетки слизистой оболочки выделяют повышенное количество соляной кислоты, которая переваривает не только пищу, но и сами желудочные стенки, что приводит к образованию язвенных деформаций.
Патологические типы
Оцениваются патологические прикусы по взаимному расположению верхних и нижних зубов-антагонистов. Классификация неправильных включает пять видов.
Глубокий
Глубокий прикус характеризуется полным перекрытием зубов нижней челюсти верхними. При этом контакт между зубами-антагонистами отсутствует.
Распространённость около 20% среди всего населения Земли. Глубокий прикус диагностируется в случае, если верхние фронтальные зубы наполовину больше нижних.
К отрицательным последствиям относят быструю потерю постоянных зубов, искажение внешнего вида лица (нижняя челюсть укорачивается, губы деформируются).
Справка! Частые головные боли появляются из-за повышенного напряжения жевательных мышц.
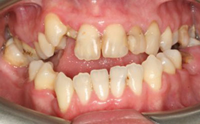
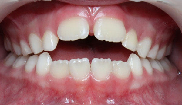
Открытый
К симптомам этой патологии относится изменение дикции, деформация лица (подбородок отодвигается книзу, что придаёт удлинённый вид лица), нарушается пережёвывание и глотание пищи, гипертонус жевательных мышц.
Этот тип деформации прикуса характеризуется неполным смыканием челюстей. Какие они бывают: передним (нет окклюзии передних резцов) и боковым (соответственно не смыкание боковых резцов). Аномалия может возникнуть после травматического повреждения или рахита.
Фото 2. Открытий тип прикуса, зубы при этом не сомкнуты, резцы сбоку тоже не соединены.
Перекрёстный ножницеобразный
Причиной появления такого типа аномалии является неравномерное развитие верхней и нижней челюсти. Происходит пересечение зубных рядов по типу ножниц. Такая аномалия бывает передней или боковой.
К характерным симптомам относят: асимметрия лица, хруст в височно-челюстном суставе во время приёма пищи, неправильная дикция. Последствия перекрёстной аномалии прикуса заключаются в высоком риске развития кариеса и заболеваний желудочно-кишечного тракта. Часто бывают случаи поражения пародонтальной ткани.
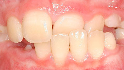
Мезиальный
Главным проявлением считается значительное выдвижение нижней челюсти вперёд, при этом нижний зубной ряд перекрывает верхний.
Фото 3. Мезиальная деформация – нижние зубы выдвинуты вперед, верхние находятся за ними.
У этой аномалии несколько имён: «обратный прикус», «нижняя прогнатия». Форма лица приобретает вогнутый тип.
Неприятные последствия: нарушение эстетичности лица, высокие риски развития пародонтоза и желудочных заболеваний, изнашивание височно-нижнечелюстного сустава. Исправление такой деформации длительное и трудное занятие.
Дистальный
Дистальный – гиперплазия верхней челюсти и/или недоразвитие нижней. Патология чаще врождённая.
Характерными признаками будет выступающий вперёд верхний ряд зубов, утрачивается контакт между зубами-антагонистами.
Без стоматологического вмешательства у людей сформируется хондроз височно-нижнечелюстного сустава, пародонтоз, повысится на 60% риск развития кариеса. Лечение аномалии дистального типа производится с помощью челюстно-лицевых операций.
Внимание! Для достижения гармоничного вида лица при аномалии дистального типа, врачи, по-простому говоря, ломают нижнюю челюсть и выдвигают её вперёд.
Разновидности аномалий окклюзии
Выраженность степени неправильного прикуса определяется по расстоянию между точками смыкания зубов-антагонистов. Первая степень патологического прикуса выставляется при наличии расстояния до 5 мм. Вторая варьируется в пределах от пяти до 9 мм. Третья степень – расстояние превышает отметку в девять миллиметров.
Высота прикуса – разница между высотой нижней трети лица в положении покоя и при фиссурно-бугорковом контакте. Нарушение фиксированной высоты прикуса приводит к изменению анатомических образований, которые окружают ротовую щель.
Эти признаки проявляются в виде западающих губ, глубоких носогубных складках, выдвижения нижней челюсти вперёд и сменой вышины нижней трети лица.
Определение высоты
Ее определение производится с помощью субъективного осмотра пациента дантистом или на основе костного снимка профиля. Наиболее точным будет рентгенологический метод, так как он исключает возможность ошибки по невнимательности врача (и такое случается).
Принцип основывается на построении пересекающихся прямых, расстояние между которыми замеряется и принимается как высота прикуса.
Важно! С помощью рентгеновских снимков можно не только определить высоту имеющегося у пациента прикуса, но и рассчитать идеальный показатель окклюзии, при которой лицо станет максимально симметричным.
Причины развития нарушений
- Родовая травма новорождённого, при которой происходит деформация челюсти.
 - 
Генетическая предрасположенность или дефект хромосом (синдром Дауна, Заячья губа, Волчья пасть).
 - Нарушение процесса онтогенеза (развитие плода в период беременности) под действием тератогенных (уродствующих) факторов.
 - Хронические заболевания ротоносоглоточного аппарата.
 - Нарушение техники кормления детей грудью или бутылочкой.
 - Кариозные зубы подвергаются разрушению, что приводит к деформации зубного ряда с последующими изменениями прикуса.
 - Переломы носовой перегородки с дальнейшим развитием привычки ротового дыхания.
 - Несбалансированное питание.
 - Флюороз (заболевание, характеризующееся неправильным распределением микроэлементов в зубной эмали).
 - Травмы зубочелюстного аппарата в детском или взрослом возрасте.
 - Неправильное положение ребёнка во время сна (лицом в подушку).
 - Длительное сосание пустышки.
 - Перенесённый рахит.
 - Неравномерное стирание поверхности молочных зубов.
 - Продолжительный период смены временных зубов на постоянные.
 - Травматическая потеря зубов, без последующего протезирования.
 
Полезное видео
Посмотрев видео, можно узнать, как классифицируются некоторые виды нарушений прикуса.
Заключение
По типу окклюзии челюсти люди делятся на две категории:
- с правильным (физиологическим);
 - с неправильным (аномальным, патологическим).
 
Всего 9 видов прикусов, четыре из которых правильные, а 5 – патологические. Важно заметить отклонения от нормы и незамедлительно обратиться к стоматологу-ортопеду, который поможет излечиться. Прогрессирующая деформация зубочелюстной системы приводит к возникновению не только косметических, но и функциональных дефектов, которые значительно ухудшают качество жизни.
Вопрос-ответ
Какие бывают аномалии прикуса?
Аномалии прикуса делятся на несколько основных типов: открытый прикус (недостаточное смыкание зубов), глубокий прикус (верхние зубы значительно перекрывают нижние), перекрестный прикус (зубы верхней и нижней челюсти не совпадают по линии смыкания), а также дистальный и мезиальный прикус (неправильное положение зубов в горизонтальной плоскости). Эти аномалии могут вызывать проблемы с жеванием, речью и эстетикой улыбки.
Какая норма прикуса?
Ортогнатический — верхний ряд слегка перекрывает нижний. Считается, что это правильный и идеальный прикус. Прямой — при котором зубные ряды сходятся прямо, без наклона вперед или назад. Ряды смыкаются только режущими краями.
Советы
СОВЕТ №1
Перед началом лечения обязательно проконсультируйтесь с ортодонтом. Он сможет провести полное обследование и определить, какой вид прикуса у вас или вашего ребенка, а также предложить наиболее эффективные методы исправления.
СОВЕТ №2
Обратите внимание на возраст, в котором лучше всего начинать коррекцию прикуса. У детей это обычно происходит в возрасте 7-12 лет, когда челюсти еще формируются. Однако взрослые также могут воспользоваться современными методами исправления.
СОВЕТ №3
Изучите различные методы исправления прикуса, такие как брекеты, капы или ортодонтические пластины. Каждый из этих методов имеет свои преимущества и недостатки, поэтому важно выбрать тот, который подходит именно вам.
СОВЕТ №4
Не забывайте о гигиене полости рта во время лечения. Правильный уход за зубами и ортодонтическими конструкциями поможет избежать осложнений и обеспечит более эффективные результаты коррекции прикуса.










