Пришеечный кариес – опаснейший вид стоматологического заболевания. Он образуется на зубе в области его соприкосновения с десной. Опасность его заключается в том, что изначально он никак себя не проявляет.
Однако это заболевание способно быстро поразить пульпу и перейти в глубокую стадию. В этом его отличие от иных видов кариеса. Разрушению поддаются все зубные каналы, и зачастую зуб спасти невозможно. Пришеечный кариес замечают при возникновении сильной боли или эстетического ухудшения зубов.
Мы расскажем о том, где истина, а где вымысел. Далее вы узнаете в подробностях о механизме возникновения пришеечного кариеса, симптомах, причинах и способах лечения.
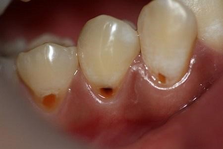
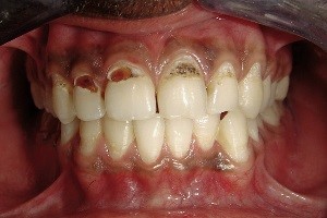
На фото зуб которого атаковал пришеечный кариес который представляет собой повреждение зуба у его основания. Это самая опасная и сложная на разновидность кариеса, потому что она уничтожает зуб в самом уязвимом месте — у корня, поражая при этом все каналы зуба.
Пришеечный (прикорневой) кариес зубов считается наиболее сложной и опасной разновидностью кариозной болезни. Его коварство в том, что он протекает без ярко выраженных симптомов, и человек может ничего не замечать, пока не ощутит сильную острую боль в месте поражения. Около десны слой дентина намного тоньше, поэтому кариозный процесс очень быстро достигает пульпы. Если это состояние запустить, зуб спасти не получится.
При обнаружении пришеечного кариеса мало кто своевременно обращается за стоматологической помощью.
Причинами подобного халатного отношения могут быть:
- надежда на возможность его излечения в домашних условиях;
 - получение ложной информации о том, что пришеечный кариес способны устранить реминерализующие зубные пасты;
 - попытки излечить заболевание самостоятельно иными доступными средствами;
 - страх перед стоматологическим креслом.
 
Диагностика пришеечного кариеса
Диагностировать пришеечный кариес несложно, поскольку создаваемые им дефекты расположены на обозримой поверхности зубного ряда. При этом даже незначительные меловидные пятна белого цвета можно самостоятельно увидеть в зеркале.
Помимо визуального осмотра используются специальные растворы красителей. Больной сначала прополаскивает рот этой жидкостью, а затем обычной водой. В итоге краситель покрывает только участки эмали, которые подвержены деминерализации. Метод безвреден, так как краситель не проникает в эмаль здоровых зубов, насыщенную кальцием. Спустя пару часов все зубы восстанавливают естественный цвет.
Дополнительные методы выявления пришеечного кариеса:
- рентгенография зуба;
 - витальное окрашивание;
 - трансиллюминация;
 - радиовизиографическое обследование;
 - термопроба;
 - электроодонтодиагностика.
 
Рентгенография зуба
Стоматолог должен уметь отличить пришеечный кариес от эрозии эмали или флюороза. При обнаружении нескольких пораженных зубов пациента направляют к эндокринологу. Это необходимо для предостережения патологии эндокринной системы.
Пришеечный кариес является одной из распространенных стоматологических проблем, и врачи отмечают, что его развитие связано с несколькими факторами. Основными причинами являются недостаточная гигиена полости рта, неправильное положение зубов и воздействие кислот, содержащихся в продуктах питания. Врачи выделяют несколько стадий этого заболевания: начальная стадия характеризуется появлением белых пятен, затем следует стадия, когда образуются небольшие кариозные полости. На более запущенных стадиях может потребоваться лечение, включая пломбирование или даже корневое лечение. Профилактика пришеечного кариеса включает регулярные визиты к стоматологу, правильную гигиену и использование фторсодержащих средств. Врачи подчеркивают важность осведомленности пациентов о рисках и необходимости своевременного обращения за помощью.

О причинах пришеечного кариеса
По мнению специалистов, главной причиной пришеечного кариеса является тот факт, что прикорневые участки зубов с трудом поддаются очищению. Даже те люди, которые чистят зубы два раза в сутки, часто пропускают эти зоны. Щетка скользит по выпуклым частям зуба. В результате пришеечные участки становятся уязвимыми: там остается зубной налет, в котором развиваются кариесогенные микроорганизмы. Постепенно на этих прикорневых участках образуются камни.
Причиной возникновения кариеса служат кариесогенные микроорганизмы. Бактерии перерабатывают остатки еды на зубах в органические кислоты. Кислоты вымывают кальций с поверхности эмали и разрушают ее.
Микроорганизмы могут способствовать возникновению заболевания при несоблюдении гигиены полости рта. Размещается кариес на шейке зуба возле самой десны. Эти места труднодоступны при классической чистке зубов. Поэтому зубы необходимо чистить 2 раза в день тщательным образом.
Еще одной причиной заболевания может стать строение эмали шейки зуба. Она достаточно тонка, а потому важно следить за ее состоянием. При своевременном обращении к стоматологу для восстановления эмали бормашина не потребуется. Врач может это сделать путем ревитализации.
Другими факторами, способствующими прогрессированию данного вида кариозной болезни, являются:
- беременность;
 - присутствие в рационе кислых продуктов;
 - эндокринные нарушения;
 - прием некоторых лекарственных препаратов.
 
Также пришеечный кариес часто можно наблюдать при гингивите. Если данной болезнью поражается сразу несколько зубов, это говорит о нарушении метаболизма. В этом случае стоит посетить эндокринолога и пройти необходимые обследования.
Симптомы
Симптомами пришеечного кариеса являются:
- зубная эмаль в зоне шейки зуба приобретает темный оттенок;
 - зуб становится чувствителен к температурным раздражителям;
 - на шейке зуба образуется заметная кариозная полость.
 
Пришеечный кариес — это распространенная проблема, с которой сталкиваются многие люди. Основные причины его возникновения связаны с неправильной гигиеной полости рта, а также с воздействием внешних факторов, таких как кислотные продукты и курение. На начальных стадиях кариес может проявляться в виде небольших пятен на эмали, которые со временем углубляются и приводят к разрушению зуба. Лечение включает в себя удаление пораженной ткани и пломбирование, что позволяет восстановить зуб и предотвратить дальнейшие осложнения. Профилактика заключается в регулярной чистке зубов, использовании флоссов и ополаскивателей, а также в посещении стоматолога для профессиональной чистки и осмотра. Важно помнить, что раннее выявление и лечение пришеечного кариеса значительно повышают шансы на сохранение зубов и здоровье полости рта.
Признаки и стадии заболевания
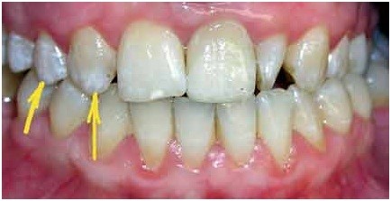
Пришеечный кариес проявляется изменением оттенка эмали либо образованием пятнышка в прикорневом участке. Зуб становится чувствительным к смене температур и механическим воздействиям.
Пришеечный кариес прогрессирует поэтапно:
- Появление пятна. Человек не ощущает никаких симптомов, однако эмаль перестает блестеть и начинает постепенно истончаться. Зуб не реагирует ни на какие раздражители.
 - Разрушение эмали зуба (начальный кариес). Изредка начинают появляться неприятные ощущения, поражение эмали становится заметным визуально.
 - Средний кариес (в районе шейки формируется кариозная полость).
 - Глубокая стадия (пульпит). Часто сопровождается образованием флюсов, иногда даже случаются абсцессы, что опасно для жизни пациента.
 
Кариес в стадии белого пятна.
У большинства людей образуются десневые карманы, куда попадают частички пищи. Убрать их довольно непросто, поэтому эти участки быстро заселяются патогенными микроорганизмами, выделяющими молочную кислоту, которая способствует деминерализации эмали. В результате прямо под деснами формируются кариозные полости, тяжело поддающиеся лечению.
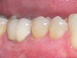
На фото кариес в среднее стадии.
Таким образом, 3-й и 4-й этапы довольно опасны и требуют профессионального лечения в стоматологической поликлинике.
Кариес в глубокой стадии.
Как лечат пришеечный кариес?
Способ лечения стоматолог определяет в зависимости от стадии заболевания, на которой пациент обратился в клинику.
Лечение в стадии пятна
На начальном этапе лечение состоит в нанесении на эмаль специальных препаратов. Пораженное место смазывают протравочным гелем, который либо обесцветит участок, либо нет. В последнем случае это значит, что гель проник в глубокие слои зубной эмали. Окрашенный участок полируют и насыщают зуб специальным составом. Такое лечение обходится дороже. Если же гель обесцветил пигментированную зону, то затем на зуб наносят кальцийсодержащий состав, который укрепит зубную эмаль и значительно уменьшит ее проницаемость.
Реально ли излечить пришеечный кариес своими силами?
Вылечить пришеечный кариес самостоятельно можно лишь на начальном этапе. Помочь в этом могут:
- средства гигиены, используемые длительное время;
 - специальные препараты на основе фторида и кальция. (Способствуют насыщению ослабленной зоны эмали, где был изменен ее цвет);
 - реминерализующие гели;
 - зубные нити, пропитанные фторидами;
 - зубные пасты, предостерегающие развитие пришеечного кариеса.
 
Что нужно знать при лечении на дому?
При лечении этого заболевания на дому важно знать множество нюансов. Особенности развития пришеечного кариеса у всех людей отличаются. На них влияет структура эмали, площадь, глубина и зона поражения. Кариозный процесс может усугубиться вследствие отягощающих факторов. К ним относится:
- несоблюдение гигиены полости рта;
 - другие стоматологические заболевания;
 - возраст;
 - плохое состояние здоровья в целом.
 
На фото самый популярный способ избавления от зубной боли в нетрадиционной медицине — настой шалфея.
Выбор препаратов для профилактики и лечения пришеечного кариеса широк. Однако нет гарантии, что покупка того или иного средства поможет достичь результата. Многие из них не только не решат проблему, но и дадут побочные эффекты. Препараты со слишком высокой концентрацией фторидов могут разрушить остальные зубы. При их злоупотреблении или неправильном применении возможно серьезное нанесение вреда организму.
Мнение стоматолога.
Пациенту самостоятельно трудно определить степень запущенности пришеечного кариеса. Это заболевание можно спутать с клиновидным дефектом или зубным налетом. Поэтому с целью его правильной диагностики к стоматологу идти необходимо.
Фото: Настой мелиссы.
Снятие боли при обострении
Иногда возможность быстрого посещения стоматолога при внезапном возникновении болевых ощущений отсутствует. Временно облегчить страдания помогут народные средства. Основные из них:
- Процеженный настой шалфея (полоскать рот 4-5 раз в день).
 - Отвар валерианы (применять трижды в сутки).
 - Настой мелиссы (использовать после каждого перекуса).
 
Лечение пришеечного кариеса
Лечение пришеечного кариеса на последующих этапах
Если кариозная болезнь затронула дентин, то зуб будут лечить классическим способом: очистят его от поврежденных тканей и произведут восстановление при помощи лекарственных препаратов и пломбировочных материалов. При этом обычно умертвляется корень, а все каналы подвергаются тщательной очистке.
Близость десны осложняет процесс лечения, поскольку здесь активно выделяется слюна и обеспечить сухость рабочего пространства довольно непросто. Попадание влаги мешает качественной реставрации и может привести к выпадению пломбировочного материала.
При лечении пришеечного кариеса стоматологу необходимо тщательно восстановить контур зуба, что становится возможным лишь при использовании современных дорогостоящих материалов. Если в результате пломбу плохо отполируют и она будет выпуклой, это может способствовать рецидиву кариозной болезни. После лечения пациенту рекомендуют внимательный уход за пришеечными участками зубов.
Пришеечный кариес в основном диагностируют у лиц от 30 лет, поскольку в этом возрасте зубная эмаль начинает истончаться. Хотя иногда этот тип кариеса встречается и у детей. В пожилом возрасте — старше 55 лет — пришеечный кариес (при отсутствии лечения) становится главной причиной выпадения зубов.
На фото лечение пришеечного кариеса.
Этапы лечения на поздних стадиях
- Обезболивание с целью предостережения возникновения дискомфорта во время лечения.
 - Очищение зуба от налета с помощью абразивной пасты или полировочной щетки.
 - Препарирование кариозного дефекта. Для этого применяется бормашина или инновационные методы: лазер, спецагент, скалер.
 - Изолирование зуба от слюны и его обработка адгезивом. Это нужно для прочного сцепления пломбы с тканями зуба.
 - Заполнение кариозной полости пломбировочным веществом.
 - Шлифовка зуба и его пломбирование с применением специальных дисков.
 
Выбор пломбировочного материала зависит от стадии заболевания.
Фото: Лечение кариеса.
Как предотвратить пришеечный кариес?
Профилактика, как и в других случаях, проста. Нужно пользоваться качественными зубными пастами, щетками, нитями; регулярно очищать язык и интенсивно полоскать рот не только водой, но и травяными отварами, укрепляющими эмаль; обрабатывать зубы специальными гелями, которые рекомендует стоматолог. Также важно отказаться от курения, горячего кофе, правильно питаться: употреблять кальцийсодержащие продукты; твердую пищу (морковь, яблоки, капусту). Запрещается разгрызать орехи, открывать зубами бутылки. Полноценный комплексный уход может обеспечить ирригатор полости рта, хотя этот прибор стоит недешево.
Фото: Очистка промежутков между зубами нитью.
Помните, что безупречный вид и красота зубов — это не подарок судьбы, а результат тщательной заботы человека о собственном здоровье. Такую серьезную проблему, как пришеечный кариес, можно избежать лишь правильно питаясь, осуществляя качественную гигиену ротовой полости и регулярно посещая стоматолога.
Видео: О гигиене зубов.

Для того, чтобы зубы были здоровыми, необходимо соблюдать рекомендации врача стоматолога, и уделять особое внимание гигиене полости рта. Верный уход за зубами позволит избежать серьезных проблем.
Видео: Краткое описание лечения пришеечного кариеса.

На видео показан общий принцип лечения пришеечного кариеса, а так же демонстрируется область зуба, в которой чаще всего возникает упомянутая форма заболевания.
Вопрос-ответ
Каковы стадии пришеечного кариеса?
Стадии пришеечного кариеса. Как и другие виды кариеса, пришеечная форма заболевания подразделяется на три стадии поражения зуба: поверхностная, средняя и глубокая.
Каковы причины пришеечного кариеса?
Причины развития пришеечного кариеса: дефицит витаминов, макро- и микроэлементов в организме; чрезмерное употребление углеводной, жесткой и твердой пищи; генетическая предрасположенность; вредные привычки (курение и чрезмерное употребление алкоголя).
Каковы причины кариеса у десны?
Причины пришеечного кариеса. Основная причина разрушения эмали зуба возле десны такая же, как и при обычном кариесе – длительное воздействие на эмаль микроорганизмов. Особую опасность представляют отложения зубного камня, которые локализуются именно в прикорневой области зубов.
Как лечат пришеечный кариес?
Как уже упоминалось выше, пришеечный кариес развивается быстро. Лечение пришеечного кариеса подразумевает следующие процедуры: удаление зубных отложений. На ранней стадии: профессиональная чистка зубов, полирование эмали, реминерализация.
Советы
СОВЕТ №1
Регулярно посещайте стоматолога для профилактических осмотров. Это поможет выявить пришеечный кариес на ранних стадиях и предотвратить его развитие.
СОВЕТ №2
Обратите внимание на свою гигиену полости рта. Чистите зубы не менее двух раз в день и используйте зубную нить, чтобы удалить остатки пищи и налет из труднодоступных мест.
СОВЕТ №3
Сократите потребление сахара и кислых продуктов, которые могут способствовать разрушению эмали и развитию кариеса. Вместо этого выбирайте здоровые перекусы, такие как фрукты и овощи.
СОВЕТ №4
Используйте фторсодержащие зубные пасты и ополаскиватели, которые помогут укрепить зубную эмаль и снизить риск возникновения пришеечного кариеса.












