Технология получения красивой и белоснежной улыбки сейчас вышла на новый уровень, в котором эффективность и безопасность занимают главные позиции. Современная стоматология предлагает отбеливание зубов системой Zoom, при которой не повреждается эмаль, и не разрушается структура зубной поверхности. Цвет эмали изменяется на 6-8 тонов, а в некоторых случаях на 8-12 оттенков, при этом результат сохраняется несколько лет.
Процедура имеет ряд преимуществ и недостатков, но в целом считается наиболее прогрессивной. Отбеливание зубов лампой Zoom подходит не всем: перед выполнением необходимо изучить противопоказания и получить разрешение от врача. Выполняя профессиональное отбеливание зубов в клинике, необходимо соблюдать правила ухода за полостью рта, чтобы эффект от процедуры сохранился надолго. Отбеливание можно проводить и в домашних условиях, но результат будет не такой значительный. Что представляет собой отбеливание зубов Zoom, и каковы особенности процедуры? ?
Что такое профессиональное отбеливание зубов Zoom? Этапы процедуры
Отбеливание зубов системой Zoom требует выполнения подготовительных мероприятий. Проведя тщательное обследование, стоматолог определяет состояние ротовой полости и, при обнаружении заболеваний зубов, десен или при необходимости заменить пломбы и протезы, принимает соответствующие меры. Также специалист перед проведением отбеливания назначает профессиональную чистку зубов, задача которой — удалить зубной налет и камень, выполнить полировку и фторирование зубов. Затем стоматолог принимает решение о необходимости укрепления зубной эмали, что способствует снижению ее чувствительности.
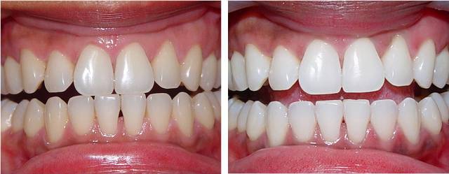
Фото 1. Цвет зубов до и после отбеливания зубов системой Zoom
Отбеливание зубов лампой Zoom проходит в несколько этапов:
- Процедура требует использования защитных средств: на глаза надеваются специальные очки, а дёсна, губы и часть кожного покрова защищаются от свечения лампы.
 

Фото 2. Защита глаз и десен перед процедурой отбеливания методом Zoom
- На зубы наносится отбеливающий гель, в состав которого входит пероксид карбамида, аморфный фосфат кальция (необходим для укрепления структуры корня и эмали), а также катализатор, активируемый под действием света. Перекись водорода является основным компонентом других гелей, используемых в данной методике.
 
Фото 3. Защита зубов и десен гелем
- Лампу Zoom располагают таким образом, чтобы свет попадал одновременно на верхние и нижние зубы. Ультрафиолетовое излучение приводит к тому, что из составляющих компонентов геля начинает выделяться свободный кислород. Молекулы O2 способны проникать глубоко в твердые ткани зуба и удалять даже самые стойкие отложения. Процедура длится не более двух часов, но за это время этапы нанесения геля и обработка зубов лампой повторяются 3-4 раза для достижения желаемого оттенка.
 
Фото 4. Лампа для отбеливания зубов Zoom
- По окончании отбеливания гель необходимо смыть водой.
 - 3d Zoom отбеливание зубов завершается нанесением средства, которое дополнительно укрепляет эмаль и уменьшает ее чувствительность.
 
Врачи-стоматологи отмечают, что отбеливание зубов по системе Zoom является одной из самых популярных и эффективных процедур в эстетической стоматологии. Эта методика позволяет добиться значительного осветления зубной эмали за короткий срок, что делает её привлекательной для пациентов, стремящихся улучшить свою улыбку. Специалисты подчеркивают, что процедура безопасна при условии соблюдения всех рекомендаций и проведения её квалифицированным врачом. Однако, как и любая другая стоматологическая манипуляция, отбеливание требует предварительной консультации, чтобы исключить возможные противопоказания. Врачи также советуют учитывать, что результаты могут варьироваться в зависимости от индивидуальных особенностей пациента, таких как состояние зубов и их первоначальный цвет. После процедуры важно следить за гигиеной полости рта и избегать продуктов, способных вызвать окрашивание эмали, чтобы сохранить достигнутый эффект.

Противопоказания к применению системы Zoom для отбеливания зубов
Технология отбеливания зубов Zoom противопоказана в следующих случаях:
- При серьезных заболеваниях зубов и десен (процедуру следует проводить после излечения болезней ротовой полости).
 - Во время приема лекарственных средств, вызывающих повышенную светочувствительность (необходимо получить разрешение от лечащего врача).
 - Лицам, не достигшим 18 лет.
 - Женщинам в периоды беременности и кормления грудью.
 - При наличии кардиостимуляторов.
 - При аллергической реакции на составляющие геля.
 - При наличии раковых заболеваний и в период лечения химиотерапией.
 - Эпилепсия и нарушения психики.
 
Особенности отбеливающих систем Zoom, Zoom 2, Zoom 3
Профессиональное отбеливание зубов Zoom представлено несколькими разновидностями, самой прогрессивной из которых является Zoom 3. В этом методе применяется самая большая длина волны, что позволяет сократить длительность процедуры.
Фото 5. Цвет эмали на всех этапах отбеливания зубов системой Zoom
В методах Zoom и Zoom 2 использовались гели с высоким содержанием перекиси водорода, поэтому они мало чем отличались от других способов отбеливания зубов. Определенная концентрация кислоты несет в себе опасность для здоровья зубов, поскольку она может вымывать минеральные компоненты. А это чревато полным разрушением корней.
Фото 6. Набор для отбеливания Zoom 2
Наиболее безопасный, комфортный и эффективный способ отбеливания зубов дает уникальная технология Zoom 3, которая создана с учетом недостатков всех предыдущих методик. Особенности Zoom 3 состоят в следующем:
- Процедура отбеливания выполняется с использованием лампы и реактивов, выпущенных одной компанией. Это обеспечивает максимальную сочетаемость и наилучший результат.
 
Фото 7. Лампа Zoom 3
- Гель для системы Zoom 3 содержит всего 25% перекиси водорода, что позволяет проводить процедуру без нарушения структуры эмали.
 - Еще одним преимуществом Zoom 3 является использование специальной системы хранения. Перекись водорода и ощелачивающие материалы хранятся в разных шприцах и смешиваются непосредственно перед нанесением на эмаль. Это гарантирует высокое качество геля и отсутствие предпосылок для разрушения зубов.
 - Увеличить короткий срок эксплуатации прибора для отбеливания может замена УФ-лампы. Это делает процедуру намного безопаснее.
 - После обработки зубов аппаратом, на эмаль наносят специальный гель, в состав которого входит фосфат кальция. Использование геля способствует восстановлению структуры эмали и снижению гиперчувствительности зубов. Препарат подходит для использования в домашних условиях.
 
Отбеливание зубов по системе Zoom стало популярной процедурой, и мнения о ней варьируются. Многие пациенты отмечают, что результат действительно впечатляющий: зубы становятся заметно белее всего за один сеанс. Процедура, как правило, занимает около часа и проходит под контролем стоматолога, что добавляет уверенности. Однако некоторые пользователи сообщают о чувствительности зубов после отбеливания, что может вызывать дискомфорт. Важно отметить, что эффект может различаться в зависимости от исходного цвета зубов и состояния эмали. Кроме того, многие рекомендуют соблюдать рекомендации стоматолога по уходу за зубами после процедуры, чтобы сохранить результат. В целом, отзывы о Zoom в основном положительные, и многие готовы повторить процедуру для достижения желаемой улыбки.

Преимущества и недостатки отбеливания зубов по системе Zoom
Отбеливание зубов аппаратом Zoom получает множество восхищенных отзывов от пациентов. К основным преимуществам процедуры относятся:
- Высокий эстетический эффект.
 - Возможность отбеливать зубы до желаемого оттенка (цвет зубной поверхности оценивается по шкале VITA).
 
Фото 8. Шкала Vita
- Эффект сохраняется на 3-5 лет (при условии соблюдения требований по уходу за зубами).
 - Некоторые заболевания ротовой полости (например, флюороз) не являются противопоказанием к проведению процедуры.
 - Данный вид отбеливания позволяет удалить даже застарелый налет, появившийся в результате курения, чрезмерного употребления кофе или вина.
 - Лазер можно настраивать по индивидуальным параметрам, корректировать интенсивность излучения, что делает процесс отбеливания намного щадящим.
 - Процедура является безболезненной и протекает в форме локального воздействия.
 - Метод отбеливания зубов Zoom считается профилактикой появления кариозных процессов и позволяет укрепить эмаль.
 - Оттенок эмали можно изменять постепенно.
 
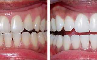
Фото 9. Цвет эмали до и после отбеливания зубов лампой Zoom
Для улучшения эффекта от 3d Zoom отбеливания зубов можно проводить повторные процедуры каждые 6 месяцев.
Таблица 1. Оттенки цвета эмали зубов по шкале Vita
| 
 Разпределение оттенков зубов на группы  | 
||
| 
 Цвет  | 
 Группы  | 
 Примеры оттенков  | 
| 
 Красно-коричневый  | 
 Группа А  | 
 | 
| 
 Красно-желтый  | 
 Группа В  | 
 | 
| 
 Серый  | 
 Группа С  | 
 | 
| 
 Красно-серый  | 
 Группа D  | 
 | 
Но лазерное отбеливание зубов Zoom имеет несколько недостатков:
- Методика проведения процедуры требует длительного (около часа, но не более двух) сидения в одной позе с открытым ртом.
 - Могут возникать неприятные ощущения и дискомфорт, которые вызваны повышенной чувствительностью зубов и нагревом тканей. Болевой синдром может сохранять в течение пары суток.
 - Попадание геля на мягкие ткани приводит к нежелательным последствиям.
 - В течение пары дней после отбеливания может наблюдаться гиперчувствительность зубов.
 - При недостаточной квалификации и опыте врача-стоматолога, результатом лазерного отбеливания зубов Zoom становится неестественный и визуально отталкивающий оттенок эмали.
 
Рекомендации для длительного сохранения эффекта после отбеливания зубов
Важным периодом для сохранения эффекта после отбеливания зубов лампой Zoom являются первые 2 недели. Необходимо соблюдать следующие правила:
- В течение первых 2 суток не рекомендуется употреблять красящие продукты, такие как чай, шоколад, кофе, напитки красного цвета, ягоды и фрукты, свеклу, морковь, аджику, кетчуп и т.д.
 - Потом можно включить эти продукты в рацион, но после каждого приема пищи нужно чистить зубы.
 - Первые 2 дня стоит отказаться полностью от курения, а в течение 2 недель — перейти на электронную сигарету. Табак значительно снижает эффект от процедуры, поэтому тем, кто не желает исключить сигареты хотя бы на время, могут отказать в отбеливании зубов аппаратом Zoom.
 - Гигиена полости рта должна быть регулярной и качественной. Необходимо использовать зубную нить, хорошую щетку и пасту, ирригатор и средства для полоскания. Желательно чистить зубы после каждого приема пищи, при невозможности этого — не менее 2 раз в сутки.
 - Соблюдать назначенный стоматологом режим профилактических посещений и дополнительных процедур по отбеливанию.
 
Отбеливание зубов по системе Zoom в домашних условиях
Возможно использование технологии отбеливания зубов Zoom в домашних условиях. Это выйдет дешевле, чем кабинетное отбеливание, но даст не такой весомый результат и потребует гораздо больше времени. В домашнем режиме применяется гель с 6% содержанием перекиси водорода, а не 25%, как в стоматологической клинике.
Фото 10. Набор для отбеливания зубов методом Zoom в домашних условиях
Для отбеливания зубов системой Zoom в домашних условиях используется метод наложения аппликаций. Он состоит в том, что пациент надевает специально изготовленные капы, наполненные отбеливающим гелем. Врач-стоматолог разрабатывает индивидуальный план ношения капов, это может быть в течение 4-8 часов днем либо ночное использование.
Завораживающая белоснежная улыбка — это возможно благодаря технологии 3d Zoom отбеливания зубов. Процедура не является дешевой, но при выполнении рекомендаций стоматологов и правильной гигиене ротовой полости эффект стоит потраченных денег.
Видео: Отбеливание зубов по системе Zoom

Вопрос-ответ
Сколько держится отбеливание зубов zoom?
Как долго сохраняется эффект после отбеливания? Эффект от профессионального отбеливания зубов Zoom 4 сохраняется от 3 до 5 лет в зависимости от соблюдения врачебных рекомендаций. Для продления эффекта важно избегать продуктов, окрашивающих эмаль, и регулярно чистить зубы.
Какая система отбеливания зубов самая лучшая?
Стоматологи считают, что самое лучшее отбеливание зубов – это лазерное. Во время процедуры врач может корректировать воздействие на каждый зуб в отдельности, за счет чего достигается равномерный красивый цвет зубной эмали.
Можно ли отбелить зубы системой Zoom?
Отбеливание системой ZOOM – инновация в стоматологии, позволяющая осветлить оттенок почти на 12 тонов. На практике за одно посещение можно отбелить зубы на 6-8 тонов. Суть процедуры сводится к использованию специального препарата на основе перекиси водорода, минерального комплекса на основе фосфата кальция.
Какой процент отбеливания зубов происходит с помощью Zoom?
Процесс старения также может привести к появлению пятен и потемнению зубов. Процедура отбеливания зубов Zoom в клинике использует лампу Zoom Advanced Power Chairside Lamp для ускорения процесса отбеливания и активации отбеливающего геля с 25-процентной перекисью водорода.
Советы
СОВЕТ №1
Перед процедурой отбеливания по системе Zoom обязательно проконсультируйтесь с вашим стоматологом. Он поможет определить, подходит ли вам данная методика и нет ли противопоказаний, таких как чувствительность зубов или наличие заболеваний десен.
СОВЕТ №2
После процедуры отбеливания избегайте употребления продуктов и напитков, которые могут окрасить зубы, таких как кофе, чай, красное вино и яркие фрукты, в течение как минимум 48 часов. Это поможет сохранить достигнутый результат на более длительный срок.
СОВЕТ №3
Регулярно используйте зубную пасту для чувствительных зубов, если после процедуры вы заметили повышенную чувствительность. Это поможет уменьшить дискомфорт и защитить эмаль.
СОВЕТ №4
Не забывайте о регулярной гигиене полости рта. Чистите зубы дважды в день и используйте зубную нить. Это не только поможет сохранить белизну зубов, но и предотвратит образование кариеса и заболеваний десен.












