Начальная стадия разрушения зубов – поверхностный кариес. Он затрагивает лишь поверхность зуба, поэтому его лечение не требует много времени. Если же не решить данную проблему, то она может перерасти в более глобальную. Болезнь примет другую сложную форму – средний кариес.
К сожалению, выявить его у себя не так уж и просто. Потому как симптомы среднего кариеса слабо выражены и проявляются лишь в повышенной чувствительности поврежденного зуба. Обычно, если человек при приеме горячей, холодной пищи и даже кисло – сладких продуктов ощущает дискомфорт или кратковременную боль, то он быстро ее забывает и естественно не обращает на нее внимание.
Вот поэтому, рекомендуется регулярно посещать стоматологические кабинеты для профилактического осмотра. Ведь при быстром обнаружении проблемы, лечение проходит намного проще и без существенных финансовых затрат. Начинать лечение следует сразу после обнаружения среднего кариеса. Ведь если от него не избавится во время, он продолжит развиваться, усугубляя ситуацию. Вследствие чего могут возникнуть различные неприятные осложнения, устранить которые будет крайне сложно, а в некоторых случаях даже не возможно.
Стадии возникновения кариеса
Если не обратиться к стоматологу, заметив у себя поверхностный кариес, заболевание довольно быстро переходит в следующую фазу, называемую средним кариесом. На данной стадии человек испытывает гораздо больший дискомфорт: ощущаются боли при воздействии различных температур, химических и механических раздражителей. Невооруженным глазом в больном зубе видна кариозная полость. Когда она заполняется остатками пищи, у человека начинает неприятно пахнуть изо рта. Согласно статистике, к стоматологам чаще всего обращаются больные именно с диагнозом «средний кариес».
Врачи отмечают, что средний кариес является одной из самых распространенных стоматологических проблем. Он возникает, когда начальная стадия кариеса прогрессирует, затрагивая более глубокие слои зуба. Специалисты подчеркивают важность ранней диагностики, так как на этом этапе лечение может быть менее инвазивным и более эффективным. При отсутствии должного внимания средний кариес может привести к серьезным осложнениям, таким как пульпит или абсцесс. Врачи рекомендуют регулярные профилактические осмотры и гигиенические процедуры, чтобы предотвратить развитие кариеса. Также они акцентируют внимание на необходимости правильного питания и соблюдения гигиенических норм, что поможет сохранить здоровье зубов на долгие годы.

Стадия пятна
На фотографии изображены стадии возникновения кариеса в полости рта.
Стадия пятна – это когда кариес зубов существует, но человек его не ощущает. Симптомы тревоги отсутствуют у человека, а вот визит к врачу поможет вовремя обнаружить и устранить. Поверхностный кариес – это кариес, который не забирает много времени и финансов для его лечения. Но если на этом этапе не обратиться к врачу-стоматологу, то эта фаза очень быстро перерастает в фазу среднего кариеса. При этом, средний кариес уже тревожит пациента некоторыми неприятными симптомами: кратковременной болью после еды холодной, горячей, кислой или сладкой еды. Глубокий кариес остаточно разрушает зуб, стенки стают тонкие и главная задача сохранить зуб. Причина такой фазы, запущенность среднего кариеса.
Поверхностный кариес
На фотографии изображён поверхностный кариес, который относится к необратимым процессам развития заболевания эмали зубов. Если кариес на ранней стадии можно лечить аппликациями фтора и кальция, то поверхностный кариес удаляется только при помощи пломбировочных материалов и использования бормашины.
Средний кариес — это состояние, о котором многие люди имеют свои мнения и переживания. Некоторые считают его незначительной проблемой, полагая, что небольшие боли и дискомфорт можно игнорировать. Однако стоматологи предупреждают, что даже на этой стадии кариес может привести к более серьезным последствиям, если не начать лечение. Многие пациенты делятся опытом, что своевременное обращение к врачу помогло избежать более сложных процедур, таких как пломбирование или даже удаление зуба. В то же время, существует и мнение, что профилактика, включая регулярные осмотры и гигиену полости рта, может значительно снизить риск развития кариеса. Люди также отмечают, что осведомленность о симптомах и ранних признаках заболевания помогает им быстрее реагировать и заботиться о здоровье зубов.
Средний кариес молочных зубов
На фотографии показан средний кариес молочных зубов. Кариес — процесс разрушения зуба. Средняя стадия которая доставляет уже больше неприятностей пациенту. При среднем кариес поражается и эмаль, и слой денты.
Средняя стадия кариеса
На фотографии изображена средняя стадия кариеса, которая очень быстро перерастает в глубокий кариес. На средней стадии человек чувствует неприятные ощущения при употреблении пищи. Острая боль появляется от холодного, горячего, кислого, сладкого, неприятный запах изо рта, а также скопление пищи.
О причинах
Как факторы, способствующие прогрессированию кариеса и переходу его от начальной стадии кариеса к средней, можно отметить:
- недостаточную гигиену ротовой полости;
- аномалии развития зубного ряда (неправильный прикус, скученность);
- недостаток в организме фосфора, фтора, кальция;
- неполноценный рацион питания;
- слабую иммунную систему;
- кровоточивость десен;
- соматические заболевания;
- неблагоприятную экологическую обстановку в районе проживания.
Симптомы среднего кариеса
Клиническая симптоматика среднего кариеса выражена незначительно. Иногда, при воздействии механических, термических или химических раздражителей возникает непродолжительная боль. Она проходит сразу после устранения этих раздражителей.
Вообще, заподозрить у себя данную проблему можно по следующим признакам:
- Зубная кратковременная боль возникает после принятия холодной или горячей пищи. Иногда достаточно зайти зимой с улицы в теплое помещение, как зуб начинает «ныть». При этом боль не интенсивная и быстропроходящая. Хотя бывает и так, что болевого ощущения может и вовсе не быть. Связанно это с тем, что произошло разрушение дентиноэмального соединения и образование заместительного дентина. А он ослабляет восприимчивость пульпы зуба к различным раздражителям.
- Заметные эстетические нарушения. В области зубного дупла может появиться темное (кариозное) пятно, теряется блеск эмали на пораженном участке, эмаль стает шероховатой.
- Неприятный запах, исходящий изо рта. Его возникновение объясняется тем, что в кариозной полости происходит скопление остатков пищи. Ежедневная гигиена с помощью зубной щетки не может полностью удалить их, соответственно они начинает гнить. Такой симптом чаще всего встречается при многочисленном среднем кариесе.
Как диагностируют средний кариес
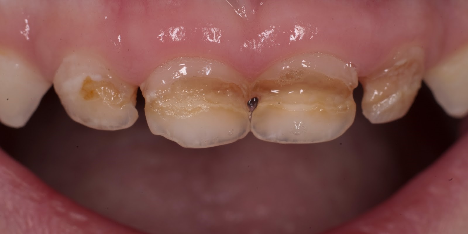
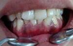
На фотографии изображен кариес в пришеечной части зубов.
Распространение кариеса чаще всего происходит между зубами, в фиссурах (бороздки и канавки) зубов, в пришеечной части зубов. Для того чтобы его обнаружить стоматологи используют различные методы обследования.
- Визуальный осмотр производиться с помощью специального зеркала. При осмотре проблемного зуба может быть обнаружено характерное пятно коричневого, бежевого или серого цвета. Также выявляется кариозная полость различной глубины. В детском возрасте локализация кариозных полостей происходит на жевательной поверхности постоянных или временных моляров.
- Метод зондирования применяется для уточнения полученных данных при визуальном осмотре. С помощью зонда, стоматолог определяет глубину и степень поражения зубной эмали. Определяется чувствительность в области дна и эмалево-дентинной границы. В том случае, если при осмотре зонд погружается в эмаль на участке фиссуры и его извлечение усложнено, то это основной признак поражения зуба кариесом. Зондирование применяется для обнаружения кариозной полости, которая не определяется при визуальном осмотре.
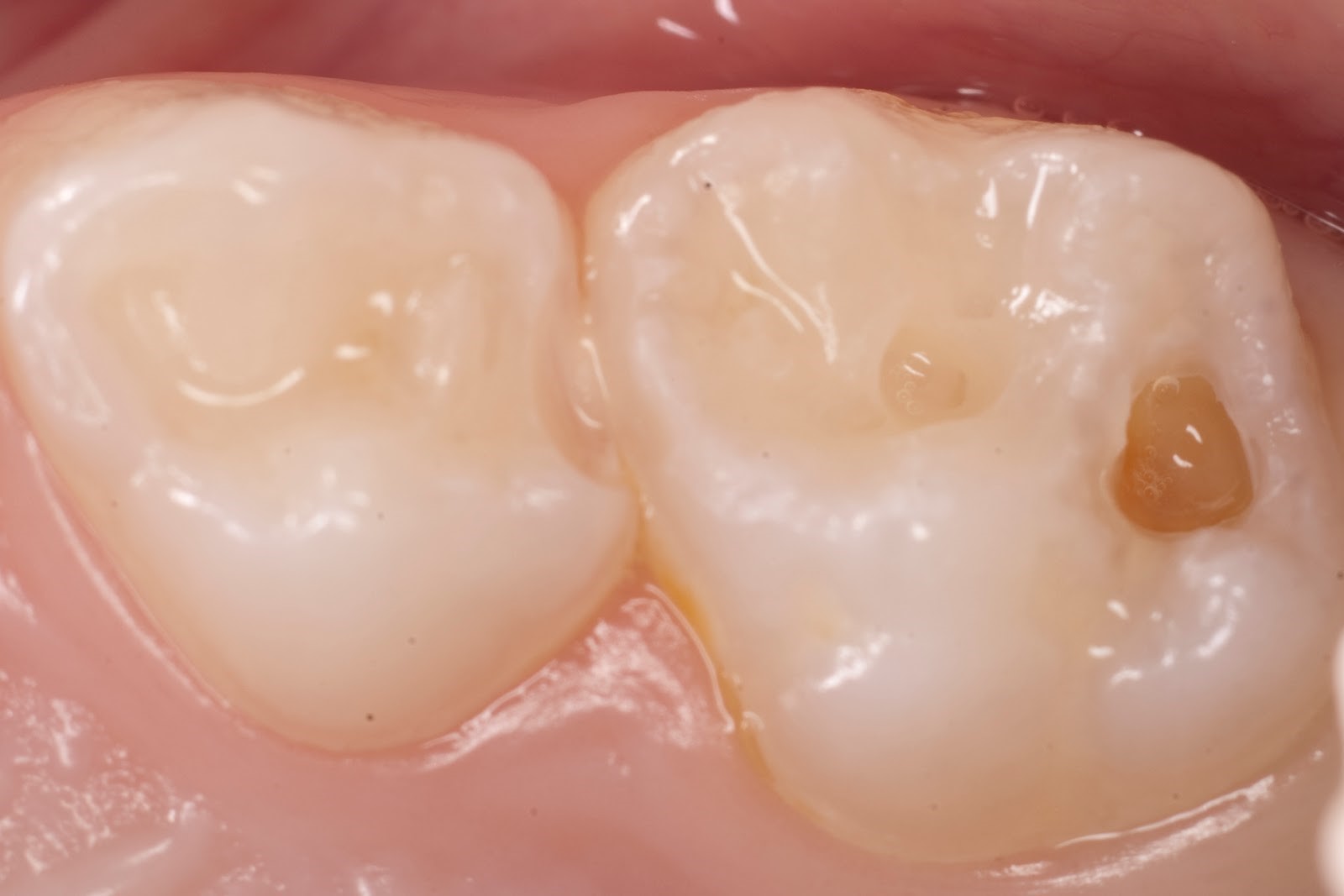
На фотографии кариес, который образовался в фиссурах (бороздки и канавки) зубов.
На фотографии стоматолог делает осмотр пациента с помощью зеркала и зонда. Зеркало, помогает рассмотреть объект с разных сторон, а стоматологический зонд предназначен для выявления и исследования кариозных полостей.
При инструментальном осмотре полости рта стоматолог сразу заметит небольшую кариозную полость. Она наполнена размягченным дентином и иногда — остатками еды. Врач пользуется при диагностике специальным стоматологическим зондом: он «застревает» в тех участках, где имеются пораженные кариесом полости. При зондировании зубов больной обычно не жалуется на неприятные ощущения, что также бывает и при некрозе пульпы. В сомнительных ситуациях стоматолог выдает направление на рентген.
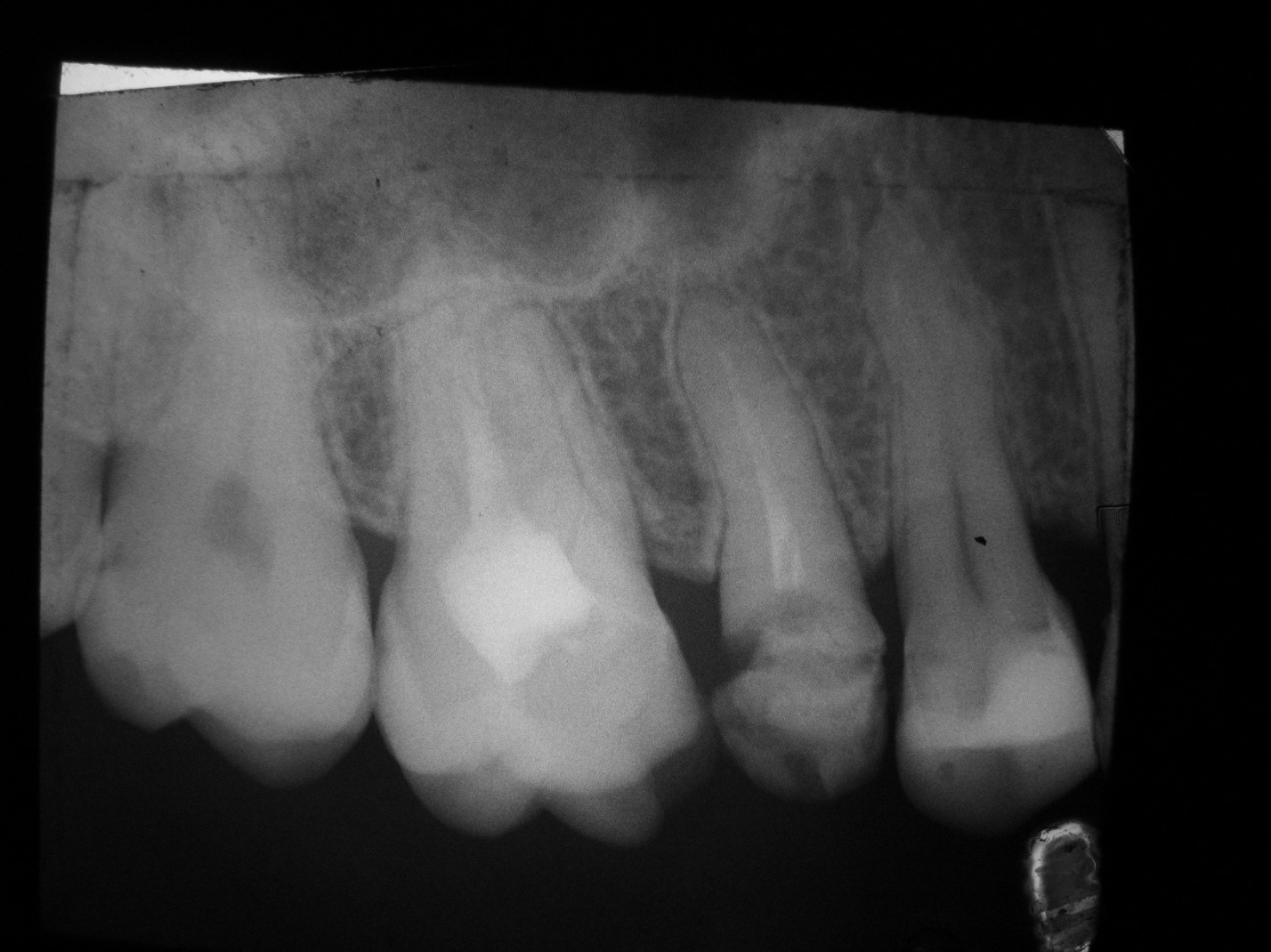
Рентгенологическое исследование назначается пациентам, у которых локализация кариозных поражений происходит на контактных поверхностях, под пломбами или под деснами. В таких случаях выявить проблему путем инструментального или визуального осмотра не представляется возможным. Использование рентгена позволяет с точностью до 80 % выявить наличие или отсутствие кариеса.
На фотографии показан рентгеновский снимок проблемного участка зубов. С помощью рентгена врач-стоматолог может увидеть состояние зуба и его корня. Без подобного исследования увидеть и понять что же именно тревожит пациента очень тяжело, и практически невозможно правильно диагностировать.
По симптоматике средний кариес схож с хроническим периодонтитом. В связи с этим, правильный диагноз может быть поставлен только при посещении стоматолога.
На фотографии кариес, который образовался между зубами.
Формы среднего кариеса
Средний кариес по сути является промежуточным этапом развития заболевания между поверхностным и глубоким кариесом. На данной стадии поражается не только зубная эмаль, но и дентин, который содержит микроканальца. По ним микробные массы проникают вглубь, в результате чего происходят дистрофические изменения отростков одонтобластов и, как следствие, образуется пораженная полость. Иногда случается так, что на вид была всего лишь небольшая дырочка («дупло»), а после обработки бормашиной осталось ползуба. Это означает, что большая часть дентина уже была поражена средним кариесом.
Различают две основные формы среднего кариеса: хроническую и острую. В первом случае в зубе отчетливо видно большое широкое отверстие с твердыми стенками. Хронический средний кариес протекает без явных клинических проявлений, постепенно переходя в следующую стадию. Чаще всего развивается на жевательных поверхностях зубов. При острой форме, напротив, «дупло» имеет хрупкие края, оно заполнено поврежденным мягким дентином. По своей локализации средний кариес может быть контактным, фиссурным или пришеечным.
Коварство заболевания состоит в том, что люди могут вообще не жаловаться на зубы, поэтому в целях избежания трудностей в дальнейшем необходимо хотя бы каждые полгода посещать стоматолога.
Как лечат средний кариес?
При своевременном обращении к врачу кариес на средней стадии можно остановить. Многое зависит от опыта стоматолога: кариозная полость должна быть тщательно очищена, поскольку если после постановки пломбы под ней останется необработанный участок, кариес будет прогрессировать дальше и приведет к еще более серьезным осложнениям.
Схема лечения однотипна:
- обезболивающий укол (обычно — убистезин);
- ликвидация инфицированной ткани;
- антисептическая обработка (использование кальций- и фторсодержащих препаратов дает возможность укрепить ткани зуба, предотвратив таким образом дальнейшее развитие кариеса);
- наложение изолирующей прокладки;
- постановка пломбы (обычно сразу — постоянной, из материала светового отверждения или из композита химического отверждения);
- полировка и шлифование зуба.
В случае необходимости, если зуб подвергся сильному разрушению, стоматолог может отреставрировать его с помощью специальных штифтов и высококачественных пломб из современных материалов.
При остром течении болезни лечение производится в два посещения клиники, однако в большинстве случаев средний кариес можно вылечить за один визит.
На фотографии изображена постановка пломбы. Сперва стоматолог удаляет кариес (темный и размягчённый дентит), затем полость нужно промыть и продезинфицировать. Следующий этап – зуб сушат, при необходимости врач может наложить лечебную прокладку, которая снимает воспаление, следом изолирующую прокладку. И лишь после этого устанавливать пломбу. В завершении восстанавливают анатомическую форму зуба.
Профилактика среднего кариеса
Профилактика кариеса проводится по двум важнейшим направлениям:
- повышение устойчивости твердых тканей зубов;
- устранение кариесогенных факторов.
Основными профилактическими мерами являются:
- правильная чистка зубов;
- применение зубных паст с фтором;
- исключение из ежедневного рациона сахаросодержащих продуктов;
- употребление в пищу продуктов, содержащих кальций, фосфор, фтор (бобовые, злаки, рыба, молочная продукция, петрушка, спаржа, сельдерей, яйца);
- использование жевательных резинок с ксилитом после приема пищи;
- регулярное (хотя бы 1 раз в 3-6 месяцев) посещение стоматолога;
- качественная гигиена полости рта (применение зубных нитей, полоскание травяными сборами или специальными растворами с хлоргексидином).
На фото изображено использование зубной нити после еды. Это один из способов уберечь свои зубы от развития кариеса.
Ни одно животное в дикой природе не чистит зубы целенаправленно и кариесом не страдает. Поэтому о причинах этого заболевания ученые спорят до сих пор. В предупреждении кариозной болезни важнейшую роль играет общее оздоровление организма, коррекция пищевого рациона (ограничение углеводов, сахаров). В последнее время с успехом применяется такая профилактическая методика, как запечатывание слепых ямок и фиссур специальными материалами на основе полимеров. Это понижает риск развития кариеса почти на 90%.
Лечение среднего кариеса обычно проходит с успехом: стоматолог полностью восстанавливает функциональность зуба. Тем не менее, к врачу стоит обращаться еще на начальной стадии, чтобы не допустить развития осложнений. Полезно знать, что начальный кариес можно вылечить и в домашних условиях с помощью народных средств, не допустив таким образом его переход на следующую стадию.
Совет стоматолога.
Для того чтобы зубы оставались всегда здоровыми и красивыми необходимо регулярно посещать стоматолога, хотя бы один раз в год. Стоит помнить о том, что начальная стадия развития кариеса проходит незаметно: нет болевых ощущений, дискомфорта. Естественно, что избавиться от кариеса собственными силами не возможно, поэтому даже при малейших признаках нужно посетить стоматолога. Он проведет полное обследование и назначит подходящее лечение. Чем раньше оно начнется, тем лучше! При среднем кариесе, стоматологи проводят обработку кариозной полости, только после этого приступают к пломбированию.
Лечение среднего кариеса народными средствами: реально ли это?
В некоторых интернет изданиях можно увидеть публикации, в которых даются народные рецепты для устранения среднего кариеса. На самом деле, вся представленная информация ложна. Средний кариес можно вылечить только в условиях клиники при помощи специального оборудования.
Конечно, бывают ситуации, когда срочный поход к стоматологу по каким либо причинам не возможен. Тогда можно воспользоваться некоторыми советами от народных целителей. Ведь существуют действительно действенные рецепты способные снизить активное распространение кариеса. Тем самым вы выиграете немного времени. Но пользоваться подобными методами нужно в очень крайних случаях. При малейшей возможности нужно сразу же идти к врачу.
Видео: Подробное описание кариеса.

Кариес это заболевание, которое начинается с небольшого потемнения, а результатом может стать серьезное осложнение, влияющее на весь организм. Где и как развивается кариес?
Видео: Особенности лечения кариеса.

Существуют основные этапы классического лечения кариеса на разных стадиях болезни. Знание процесса позволяет вовремя сориентироваться, скорректировать лечение и предотвратить возможное осложнение.
Вопрос-ответ
Как понять, что у тебя средний кариес?
Средний кариес зубов — распространенная стоматологическая патология, характеризующаяся поражением зубных тканей и нарушением целостности соединения дентина с эмалью. Ее можно определить по темному пятну с небольшим углублением в зубе, умеренным кратковременным болям, повышению чувствительности зубной эмали.
Можно ли вылечить средний кариес?
Лечение среднего кариеса проводится только в стоматологии. Так как средний кариес поражает дентин, устраняется он путем сверления бормашиной с последующим пломбированием.
Чем средний кариес отличается от глубокого?
При среднем кариесе эмаль повреждается сильнее, и в зубе образуется отверстие. Гелями болезнь уже не вылечить, и приходится пломбировать зуб, предварительно препарировав кариозные поверхности. Глубокая форма, в отличие от среднего кариеса, проникает глубоко в ткани дентина, и боль становится намного сильнее.
Какой кариес уже не вылечить?
Вторичный кариес. Первый – ошибка врача при лечении. Врач может не полностью удалить зараженные ткани, или использовать неправильный материал, или не в том количестве.
Советы
СОВЕТ №1
Регулярно посещайте стоматолога для профилактических осмотров. Даже если у вас нет явных симптомов, профессиональная чистка и осмотр помогут выявить кариес на ранних стадиях и предотвратить его развитие.
СОВЕТ №2
Следите за гигиеной полости рта. Чистите зубы дважды в день с использованием фторсодержащей зубной пасты и не забывайте о зубной нити. Это поможет удалить налет и остатки пищи, которые могут способствовать образованию кариеса.
СОВЕТ №3
Сократите потребление сахара и кислых продуктов. Избегайте частого перекуса сладостями и напитками с высоким содержанием сахара, так как они способствуют размножению бактерий, вызывающих кариес.
СОВЕТ №4
Используйте фторсодержащие ополаскиватели для рта. Они помогают укрепить эмаль зубов и делают их более устойчивыми к кариесу, особенно если вы живете в районе с низким содержанием фтора в воде.












