Язвенный гингивит характеризуется сильным зудом, жжением, кровоточивостью и изъявлением десен. Обычно заболевание имеет тяжелое и острое течение, и вызывает общее отравление (интоксикацию) организма. При несвоевременном лечении язвенный гингивит может перерасти в другие стоматологические заболевания – язвенный стоматит, пародонтит. Язвенный гингивит это запущенная форма катарального поражения десен.
Причины появление язвенного гингивита могут быть как локальными, так и общими. Локальными причинами принято считать ускоренное образование налета из-за недостаточного гигиенического ухода, запущенный кариес, травма десен или некачественно лечение. К общим причинам относят инфекционные заболевания, дефицит витамина С, болезни крови, эндокринные нарушения, стресс, пищевое или химическое отравление. Систематический уход за ротовой полостью снижает риск заболевания язвенным гингивитом.
Для язвенного гингивита характерно наличие деструктивного процесса, протекающего в верхних слоях пародонта. Язвенная форма воспалительного поражения имеет тяжелое течение и вызывает общую интоксикацию организма. Болезнь имеет преимущественно острое течение, но в некоторых случаях может перетечь в хроническую форму, возможно также перетекание язвенного воспалительного поражения в другие стоматологические заболевания, такие как пародонтит, или язвенный стоматит.
Этиология болезни
Язвенно-некротическая форма воспалительного поражения развивается в виде осложнения запущенного катарального воспалительного процесса. Развитию заболевания способствует целый ряд общих и локальных факторов.
Локальными предрасполагающими факторами принято считать:
- ускоренное образование бактериального налета, связанное с недостаточным уходом за полостью рта;
 - вредные привычки;
 - запущенный кариес;
 - травмация десневой ткани острыми кромками разрушенных зубов или старых пломб;
 - некачественное ортодонтическое лечение.
 
Причинами общего характера, вызывающими язвенный воспалительный процесс, считают:
- инфекционные заболевания;
 - ВИЧ-инфекцию;
 - лучевую болезнь;
 - дефицит витамина С;
 - системные болезни крови;
 - эндокринные нарушения;
 - хронические стрессы;
 - пищевые токсикоинфекции;
 - химическое отравление.
 
Под воздействием факторов общего и локального порядка снижается резистентность организма, что становиться толчком для ускоренного роста патогенных микроорганизмов, продукты жизнедеятельности которых травмируют десневую ткань, нарушают ее обмен веществ и микроциркуляцию крови.
Врачи отмечают, что язвенный гингивит является серьезным воспалительным заболеванием десен, которое может возникать на фоне различных факторов, включая инфекционные агенты, стресс и недостаток витаминов. Особенностью течения болезни является быстрое развитие симптомов, таких как болезненность, отек и образование язв на слизистой оболочке десен. Специалисты подчеркивают важность ранней диагностики и комплексного подхода к лечению. В большинстве случаев терапия включает в себя антисептические полоскания, применение противовоспалительных средств и, при необходимости, антибиотиков. Также врачи рекомендуют обратить внимание на гигиену полости рта и регулярные профилактические осмотры, чтобы предотвратить рецидивы заболевания.

Симптоматика язвенного воспалительного процесса
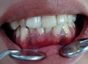
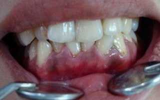
Острое течение язвенного воспалительного процесса сопровождается выраженными симптомами. Для продромального периода характерны нарушения сна, апатия, сильная головная боль, субфебрильная температура. Кровоточивость десен возникает резко даже при незначительном контакте с механическими или термическими раздражителями. Десневая ткань отечна, больной ощущает зуд и жжение десен, возникает чувство распирания десен и гиперемия. Боль носит острый характер и долго не проходит даже после устранения раздражающего фактора.
Дальнейшее развитие язвенного воспалительного процесса сопровождается изъязвлением десневой ткани. Как правило, участки изъязвления имеют четкую локализацию. Вокруг язв образуются некротические участки, имеющие белесый или сероватый цвет. Если некротизированную пленку удалить, то наблюдается сильное кровотечение, которое достаточно тяжело купировать.
Гнилостный запах из ротовой полости не исчезает даже после чистки зубного ряда, слюна загустевает, меняется ее химический состав. Вследствие загустевания слюны снижается способность ротовой полости к самоочищению, мягкий бактериальный налет скапливается в межзубных промежутках, сильные боли затрудняют процесс жевания пищи, больной испытывает существенный дискомфорт при разговоре.
Язвенное воспалительное поражение десневой ткани сопровождается общей интоксикацией организма, которая проявляется в виде гипертермии, слабости, тошноты и головных болей.
Диагностика заболевания
Характерная клиническая картина язвенного воспалительного поражения дает возможность легко поставить диагноз даже при визуальном осмотре ротовой полости пациента. Методы инструментальной диагностики позволяют определить степень язвенного воспалительного поражения, определить индекс кровоточивости десен, количество зубных отложений, наличие или отсутствие пародонтальных карманов.
При язвенном гингивите проводят ряд лабораторных исследований, позволяющих определить химический состав слюны, а также исследовать отделяемое с изъязвленных поверхностей. Лабораторные исследования дают возможность определить чувствительность патогенных микроорганизмов к антибиотикам и назначить адекватное лечение.
Для оценки состояния пародонта, а именно костной ткани, больному назначают ортопантомографию.
Болезнь необходимо дифференцировать от пародонтита, а также от язвенно-некротических изменений, которые наблюдаются при системных заболеваниях крови и ВИЧ-инфекции. При диагностике заболевания может потребоваться помощь других специалистов, например, иммунолога, гематолога или эндокринолога.
Язвенный гингивит — это воспалительное заболевание десен, которое часто вызывает беспокойство у пациентов. Люди отмечают, что основными симптомами являются болезненные язвы на деснах, кровоточивость и неприятный запах изо рта. Этиология заболевания может быть связана с бактериальной инфекцией, стрессом, недостатком витаминов или ослабленным иммунитетом. Многие пациенты подчеркивают, что заболевание может возникать на фоне других стоматологических проблем, таких как пародонтит.
Течение язвенного гингивита может быть острым или хроническим, что также влияет на выбор методов лечения. Врачи рекомендуют комплексный подход: регулярная гигиена полости рта, антисептические полоскания и, при необходимости, антибиотики. Некоторые пациенты делятся положительным опытом использования народных средств, таких как отвары трав, однако важно помнить, что самолечение может усугубить ситуацию. В целом, своевременное обращение к стоматологу и соблюдение рекомендаций специалистов помогают эффективно справиться с этой проблемой.

Лечение язвенного воспалительного поражения десневой ткани
Терапия язвенного гингивита является комплексной, то есть включает в себя общие и локальные терапевтические мероприятия. На протяжении лечения больному назначается щадящая диета и витаминотерапия.
Перед началом проведения терапевтических мероприятий ротовую полость больного очищают от мягких и твердых зубных отложений, удаляют некротизированную ткань, прошлифовывают стенки зубов, устраняют местные травмирующие факторы (старые пломбы, некачественно установленные протезу, разрушенные зубы).
Местная терапия заключается в пародонтальных аппликациях с использованием антибиотикосодержащих, противоотечных и антисептических лекарственных препаратов.
Общая терапия язвенного гингивита заключается в приеме антигистаминных препаратов, противовоспалительной терапии и иммуномодулирующем лечении. Для повышения медикаментозной терапии ее дополняют физиотерапевтическим лечением.
Профилактика болезни
Легкая стадия язвенного гингивита считается обратимой, поэтому при своевременном лечении прогноз является благоприятным. Средняя и тяжелая стадии язвенного воспалительного поражения приводят к необратимым деструктивным изменениям десневой ткани.
Профилактика болезни заключается в систематическом уходе за ротовой полостью, устранением локальных и общих предрасполагающих факторов, своевременном стоматологическом лечении.

Вопрос-ответ
Каковы причины язвенного гингивита?
Язвенный гингивит, также известный как некротизирующий гингивит, может быть вызван несколькими факторами, включая бактериальную инфекцию, стресс, плохую гигиену полости рта, курение, недостаток витаминов (особенно витамина C), а также ослабление иммунной системы, например, в результате заболеваний или приема определенных медикаментов. Эти факторы способствуют воспалению десен, образованию язв и ухудшению общего состояния полости рта.
Как лечить язвенный гингивит?
Лечение включает щадящую санацию полости рта, улучшение гигиены полости рта, полоскание рта, поддерживающую терапию и, если санацию необходимо отложить, назначение антибиотиков. Острый язвенно-некротический гингивит (ЯНГ) чаще всего встречается у курильщиков и ослабленных пациентов, находящихся в состоянии стресса.
Какова первичная этиология гингивита?
Наиболее распространенной причиной гингивита является недостаточная чистота и здоровье зубов и десен. Правильные привычки в уходе за полостью рта, такие как чистка зубов не реже двух раз в день, ежедневное использование зубной нити и регулярные осмотры у стоматолога, могут помочь предотвратить и обратить вспять гингивит.
Как лечить язвенно-некротический гингивит?
Лечение острого язвенно-некротического гингивита состоит из аккуратной некрэктомии с помощью ручного скалера или ультразвукового аппарата. Хирургическую обработку раны проводят в течение нескольких дней. Пациент должен использовать мягкую зубную щетку или полотенце для протирки зубов.
Советы
СОВЕТ №1
Регулярно посещайте стоматолога для профилактических осмотров. Это поможет выявить язвенный гингивит на ранних стадиях и предотвратить его развитие.
СОВЕТ №2
Обратите внимание на свою гигиену полости рта. Чистите зубы дважды в день и используйте зубную нить, чтобы удалить остатки пищи и налет, которые могут способствовать воспалению десен.
СОВЕТ №3
Следите за своим питанием. Включайте в рацион продукты, богатые витаминами C и B, которые способствуют укреплению десен и улучшают общее состояние полости рта.
СОВЕТ №4
Избегайте стрессов и следите за общим состоянием здоровья. Хронический стресс и заболевания могут ослабить иммунную систему, что увеличивает риск развития язвенного гингивита.

