Профилактика кариеса у взрослых — своевременное очищение и правильный уход за полостью рта.
Защищая здоровье зубов и дёсен, организм получает более сильный иммунитет, не возникает различных воспалений и других болезней.
А запах изо рта всегда будет приятным, что поможет сохранять и создавать дружеские, близкие отношения с людьми. Одним словом, в жизни успешным является тот человек, у которого нет кариеса и других проблем с полостью рта.
Кариес: причины, как его избежать или уберечь зубы от последствий
Если нарушатся гигиена полости рта, бактерии разъедают эмаль, на зубах растёт налёт, где живут микроорганизмы.
Важно! Если в меню человека мало белка, витаминов, фтора, минеральных солей, микроэлементов, то кариес быстро развивается. Употребление сладкого размягчает эмаль, что помогает бактериям разрушить зубы.
Сначала бактерии съедают защитную оболочку. Затем разрушают более глубокие слои. А также причинами кариеса являются наследственность или неправильное питание.
У взрослых кариес часто возникает, как следствие сладкого детства.
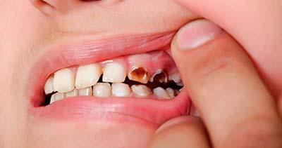
Если в школе и дет. саду в меню было много сладостей (а это частое явление для детей, которые родились после 1975 г.), то после 20—25 лет уже возникают множественные проблемы с зубами (кариес, пульпит, угроза потери зуба или созревает необходимость его удаления).
Поэтому надо с детства следить за тем, чем питаются дети, исключая из меню вредные, но очень вкусные десерты.
Самой распространённой причиной кариеса является элементарный отказ от своевременной чистки. Другими словами, если человек забывает чистить зубы каждый день, то у него быстро возникает кариес.
Поэтому надо сначала чистить зубы дважды в день. А если пришлось есть мясо или продукт, который проникает в межзубные промежутки, то очищение следует проводить сразу после употребления пищи (зубная нить хороша, но для такого случая лучше подходит зубная щётка).
Когда нет времени на утреннюю чистку зубов, выбирайте не обычные механические щётки, а пользуйтесь электрической. Она очень хорошо чистит эмаль. И хотя профессиональную чистку у стоматолога она не заменит, эффект от её использования значительный.
Врачи подчеркивают, что профилактика кариеса зубов является ключевым аспектом поддержания здоровья полости рта на долгие годы. Регулярные визиты к стоматологу, профессиональная чистка зубов и фторирование помогают предотвратить развитие кариеса и других заболеваний. Специалисты рекомендуют уделять внимание ежедневной гигиене: чистить зубы не менее двух раз в день и использовать зубную нить. Также важно следить за рационом, ограничивая потребление сахара и углеводов, которые способствуют образованию налета. Врачи отмечают, что осведомленность пациентов о важности профилактических мер значительно снижает риск стоматологических проблем и способствует сохранению зубов в хорошем состоянии на протяжении всей жизни.

Как предотвратить появление и защитить полость рта? Общие методы профилактики
Профилактические меры состоят из трёх этапов: первичная, вторичная, третичная. Первичная является системой мероприятий, которые направлены на предотвращение болезней зубов, т. е. на сохранение здоровья полости рта. Достигается это с помощью обнаружения причин, условий появления факторов риска, которые повышают устойчивость тела к влиянию вредных факторов (природные, производственные, бытовые).
Вторичная — мероприятия, целью которых является профилактика осложнений болезни и рецидивов.
На этом этапе надо остановить болезнь, не позволить ей развиться дальше, предотвратить хирургическое лечение.
Третичная — мероприятия, которые направлены на восстановление, сохранение функций органов, тканей (с помощью замещения повреждённого зуба на новый).
Необходимо установить протез вместо утраченного зуба.
Первичная профилактика от зубного кариеса
Первичная состоит из двух этапов: до рождения человека и после. До рождения — когда будущие родители следят за своим здоровьем, укрепляют иммунитет, а будущая мать за несколько месяцев (или лет) до беременности включает в своё меню достаточное количество кальция и прочих ценных веществ.
Первичная профилактика:
- 
Правильное питание. Исключите из меню всё, что вредит эмали (сладкие газированные напитки, белый сахар, контраст холодного и горячего, транс-жиры).
После еды обязательно ополаскивайте рот и применяйте зубную нить. А также надо каждый день чистить зубы (утром и вечером), менять зубную щётку каждые 2—3 месяца.
 - Витамины. Принимайте биодобавки или витамины. Ищите не дешёвые, а эффективные и натуральные препараты с полным комплексом из витаминов и минералов.
 - Чистка у стоматолога. Регулярно дарите своим зубам профессиональную чистку примерно 1 раз в 3 месяца. Тогда о зубном камне и кариеса забудете навсегда.
 
Здоровая полость рта — залог общего благополучия. Многие люди отмечают, что регулярная профилактика кариеса значительно улучшает качество жизни. Простые действия, такие как ежедневная чистка зубов и использование зубной нити, помогают предотвратить развитие кариеса и других заболеваний десен. Важно также посещать стоматолога не реже двух раз в год для профессиональной чистки и осмотра. Многие пациенты делятся, что такие меры не только сохраняют зубы, но и экономят деньги на дорогостоящем лечении. Кроме того, здоровая улыбка повышает уверенность в себе и улучшает общее настроение. Заботясь о полости рта, мы инвестируем в свое здоровье на долгие годы вперед.

Вторичная профилактика
Включает в себя:
- лечение кариозных полостей (обращение к стоматологу, проведение чистки полости зуба с кариесом, установка пломбы и её последующая шлифовка);
 - реминерализующая терапия (нормализация состава эмали), после которой улучшается цвет эмали, снижается их чувствительность, срок службы пломб увеличивается, риск возникновения кариеса снижается (применяют средства для реминерализации эмали или назначают препараты для адсорбции органических веществ на твёрдой ткани зубов);
 - лечение осложнённого кариеса (пульпита, периодонтита) требуется при запущенной стадии болезни, когда процесс уже сложный и болезненный.
 
Третичная профилактика
Чтобы предотвратить возникновение этой стадии, когда нет другого выхода, кроме как устанавливать протез, надо вовремя посещать стоматолога.
Справка! У стоматолога следует бывать минимум раз в 6 месяцев. А если есть больные зубы, то их лечение надо проводить до полного устранения проблемы. И всегда соблюдать правила гигиены, ежедневно чистить зубы.
Если всё-таки возникла потребность менять зуб, то помогут два варианта:
- Имплантация.
 - Протезирование.
 
Утраченный зуб восстанавливается через вживление корня-имплантата, который заменит опорный корень и будет выполнять функцию несъёмного протеза. Зубной имплантат — конструкция в виде винта, который устанавливают в кость на место, где потерян зуб. Для проведения процедуры надо, чтобы на костной ткани была площадь, для установки имплантата. Если костной ткани мало, нужно проводить хирургическую операцию, чтобы увеличить объём кости (синус-лифтинг верхней челюсти и др.).
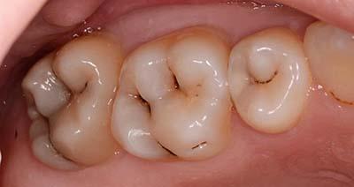
Фото 1. Снимок зубов верхней челюсти взрослого человека с развивающимся на них кариесом начальной стадии.
Протезирование является частью ортопедической стоматологии, где применяются инновационные разработки и самые новые материалы. Оно позволяет защитить зубной ряд от дальнейшего разрушения, сохраняет правильный прикус, способствует профилактике ЖКТ.
Зубные протезы выглядят естественно, их трудно отличить от натурального. А также они могут полностью заменить утраченный зуб, не причиняют дискомфорт.
Все искусственные протезы делят на две группы: съёмные и несъёмные. Первые снимают, что позволяет их очищать. Этот вариант подходит, если надо менять много зубов в ряду. Вторые должны быть крепкими, едва заметными. Применяя такие протезы надо тщательно соблюдать гигиену.
К несъёмным типам относятся:
- коронка (одиночная, мостовидная);
 - микропротез (винир, вкладка, накладка).
 
Съёмный тип протеза бывает:
- пластмассовый;
 - нейлоновый.
 
Частично съёмные протезы:
- нейлоновые;
 - бюгельные.
 
Чем раньше начать лечение кариеса, тем проще будет избавиться от проблемы. Поэтому старайтесь заботиться о здоровье полости рта всю жизнь.

Профилактика кариеса зубов у взрослых: местные способы сохранить зубы и предотвратить его развитие.
Каждый день надо ухаживать за зубами, очищая их от пищи. В этом поможет зубная нить. Она качественно очищает межзубные промежутки. Если во время стандартной чистки щёткой налёт и частички пищи удаляются с поверхности, то налёт и еда продолжают скапливаться. В итоге возникает кариес боковой поверхности зуба.
Фото 2. Стадии развития кариеса зубов (слева направо): пятно, поверхностный, средний, глубокий.
Использование зубных нитей для защиты от недуга
Применять зубочистки вредно и опасно, очищение следует проводить только зубными нитями. Причина в том, что зубочистки толще межзубных промежутков и повреждают мягкие ткани. Это становится причиной кариеса и других проблем с зубами, дёснами. Разновидностей зубных нитей несколько:
- по типу покрытия (с воском или без);
 - по виду поперечного среза (круглый, плоский);
 - по наличию пропитки (без пропитки, с пропиткой).
 
Если болезней нет и флосс (зубная нить) применяется для профилактики, уместно использовать невощёную нить. В остальных случаях рекомендуется применять только вощёную.
Применение ополаскивателей
Ополаскиватели для полости рта нужны, чтобы убрать неприятный запах, способствуют профилактике тяжёлых болезней зубов и дёсен. Все ополаскиватели делятся на несколько видов:
- антибактериальные;
 - противовоспалительные;
 - обезболивающие;
 - против кариеса;
 - от зубного налёта;
 - для дёсен (вяжущие, с дубильными веществами).
 
Ополаскиватели применяются после приёма пищи или употребления напитков, после чистки. А также полезно проводить реминерализацию с помощью специальных гелей. Они изготовлены на основе фтора или кальция. Применять их следует в кабинете стоматолога (профессиональная серия, наносится 1 раз в 6 месяцев) или дома (применять надо ежедневно 2 раза в сутки).
Полезное видео
На видео рассказывается о причинах возникновения кариеса и даются рекомендации по его профилактике.
Советы после лечения кариеса
- Необходимо соблюдать все рекомендации, которые дал ваш врач-стоматолог. Это позволит сохранить здоровье зубов и максимально защитит от новых проблем с полостью рта.
 - После анестезии не есть, т. к. велика вероятность прикусить губы, язык, щёки.
 - После лечения возникает повышенная чувствительность на холодное или горячее, но это пройдёт через некоторый период.
 - Цвет пломбы в первые 48—72 часа после установки не совпадает с оттенком зубов (таковы особенности материала, который используют для пломб).
 - Если что-то не понятно, то необходимо задать вопросы своему стоматологу.
 
Вопрос-ответ
Основные меры профилактики кариеса?
Комплексная профилактика возникновения зубного кариеса – это рациональное питание, тщательная гигиена, регулярные осмотры у стоматолога. Даже если человек прилежно чистит зубы, но злоупотребляет курением или не может и дня обойтись без сладостей, он создает благоприятные условия для размножения кариесогенных бактерий.
Что делать, чтобы никогда не было кариеса?
Чтобы избежать кариеса, необходимо соблюдать правила гигиены полости рта: регулярно чистить зубы дважды в день с использованием фторсодержащей зубной пасты, пользоваться зубной нитью и ополаскивателями для рта. Также важно ограничить потребление сахара и кислых продуктов, регулярно посещать стоматолога для профилактических осмотров и профессиональной чистки зубов.
Можно ли полностью предотвратить кариес зубов?
Главным способом ухода за зубами и профилактики кариеса зубов была и остается ежедневная гигиена полости рта, а также регулярное посещение стоматолога. При соблюдении советов специалистов избежать кариеса можно в 95% случаев.
Советы
СОВЕТ №1
Регулярно посещайте стоматолога. Профилактические осмотры каждые 6 месяцев помогут выявить проблемы на ранней стадии и предотвратить развитие кариеса.
СОВЕТ №2
Чистите зубы дважды в день с использованием фторсодержащей зубной пасты. Это поможет укрепить эмаль и защитить зубы от кариеса.
СОВЕТ №3
Соблюдайте правильную диету. Ограничьте потребление сахара и кислых продуктов, которые могут способствовать образованию кариеса, и включайте в рацион больше овощей, фруктов и молочных продуктов.
СОВЕТ №4
Используйте зубную нить и ополаскиватели для рта. Эти средства помогут удалить остатки пищи и налет из труднодоступных мест, что снизит риск развития кариеса.






