Пародонтит это воспалительный процесс околозубной ткани. В зависимости от локализации заболевания, воспалительный процесс может затрагивать как один, так и несколько зубов, костную ткань, круговую связку зубов и десны.
Выделяют четыре стадии заболевания пародонта – начальную, легкую, среднюю и тяжелую. На начальной стадии пародонтит особо себя не проявляет, и не доставляет дискомфорта пациенту. При легкой степени появляется отек и кровоточивость десен, зуд и жжение, ослабление зубной связки, не приятный запах изо рта, а также ощущение шатания зубов. К добавлению предыдущих симптомов при средней степени тяжести также может отмечаться повышение температуры, общая слабость, вялость апатия и появляются признаки интоксикации организма. При тяжелой стадии пародонтита пациент испытывает затруднения при пережевывании пищи, разговоре и непосредственно при чистки зубов.
Патологический воспалительный процесс, затрагивающий околозубную ткань, называется пародонтитом. Данное стоматологическое заболевание — одно из наиболее распространенных заболеваний околозубной ткани. Пародонтит диагностируется практически у 85% всего взрослого населения планеты Земля. В группе риска находятся молодые люди в возрасте от 15 до 25 лет, у которых развитие воспалительного процесса тесно связано с трансформацией гормонального фона. К группе риска относятся и взрослые в возрасте от 30 до 45 лет, у которых воспалительный процесс развивается в результате снижения местного иммунитета, частых стрессов и нервных перенагрузок.
В зависимости от локализации воспалительного процесса патологические изменения могут наблюдаться в тканях пародонта, окружающих один или целую группу зубов, а также охватывать костную, десневую ткань и круговую связку зубов.
В большинстве случаев стоматологи диагностируют хроническую форму заболевания, которая развивается циклично, то есть периоды ремиссии чередуются с периодами обострения. Течение пародонтита может быть быстропрогрессирующим или вялотекущим.
Что касается терапии болезни, то она является комплексной и включает в себя фармакологическое и ортопедическое лечение, а также физиотерапевтические и народные методы. Для устранения аномалий уздечек и преддверья, а также для лечения запущенных форм заболевания прибегают к хирургическому вмешательству.
Симптомы пародонтита в зависимости от стадии заболевания
Симптоматика воспалительного процесса в околозубной ткани варьируется в зависимости от формы тяжести заболевания. Выделяют четыре стадии пародонтита:
- начальную;
 - легкую;
 - средне-тяжелую;
 - тяжелую или запущенную стадию.
 
Врачи отмечают, что пародонтит проявляется рядом характерных симптомов, которые не следует игнорировать. Одним из первых признаков является кровоточивость десен, особенно при чистке зубов. Пациенты также могут замечать неприятный запах изо рта и повышенную чувствительность зубов. Врачами подчеркивается, что десны могут опухать и краснеть, а в запущенных случаях наблюдается их отступление, что приводит к оголению корней зубов. Кроме того, пациенты часто жалуются на подвижность зубов, что свидетельствует о разрушении поддерживающих тканей. Важно своевременно обратиться к стоматологу для диагностики и лечения, чтобы предотвратить серьезные последствия для здоровья полости рта.

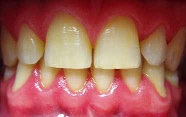
Характерные признаки начальной стадии болезни
Пародонтит на начальной стадии практически не доставляет больному серьезного дискомфорта. В периоды обострения может наблюдаться кровоточивость десен, связанная с их механическим раздражением. На начальной стадии болезни пациент может испытывать дискомфорт, связанный с пережевыванием твердой пищи, а также отмечать быстрое образование мягких зубных отложений.
Начальная стадия заболевания характеризуется активизацией пародонтопатогенной микрофлоры, продукты жизнедеятельности которой вызывают развитие деструкционного процесса в околозубной ткани. Под воздействием токсинов истончается десенная ткань, вследствие чего незначительно оголяются корни зуба (примерно на ¼ всей длины).
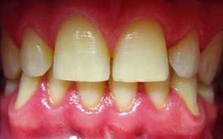
Симптоматика легкой степени пародонтита
Объективными симптомами воспалительного процесса, протекающего в легкой форме, являются:
- отек и рыхлость десен, сопровождающаяся зудом;
 - кровоточивость десен;
 - жжение, которое, как правило. Локализуется преимущественно в десневой ткани;
 - гнилостный запах изо рта;
 - ослабление зубной связки.
 
У больного может возникать ощущения шатания зубов. Межзубные перегородки, постепенно разрушаясь, приводят к увеличению межзубных щелей. Больной испытывает дискомфорт во время пережевывания пищи. Оседание десны способствуют оголению корней зубов примерно на 1/3 от их общей длины. Также легкая степень пародонтита характеризуется образованием зубодесневых карманов, глубина которых может достигать 2-3,5 мм. В пародонтальных карманах скапливается мягкий бактериальный налет. Также активно образуется зубной камень.
Что касается общего самочувствия пациента, то оно остается неизменным. При тщательном обследовании у больного можно обнаружить ряд хронических заболеваний, оказывающих негативное воздействие на ткани пародонта.
Многие люди, сталкиваясь с проблемами десен, начинают замечать симптомы, характерные для пародонтита. Чаще всего это проявляется в виде кровоточивости десен при чистке зубов, неприятного запаха изо рта и повышенной чувствительности зубов. Некоторые отмечают, что десны становятся воспаленными и отечными, что вызывает дискомфорт. Важно отметить, что на ранних стадиях пародонтита симптомы могут быть незначительными, и многие не придают им значения. Однако, по мере прогрессирования заболевания, пациенты начинают испытывать более серьезные проблемы, такие как подвижность зубов и даже их потерю. Люди часто делятся своим опытом, подчеркивая важность регулярных визитов к стоматологу и соблюдения гигиенических норм для предотвращения ухудшения состояния. Понимание этих симптомов и их своевременное лечение могут значительно улучшить качество жизни и сохранить здоровье зубов на долгие годы.

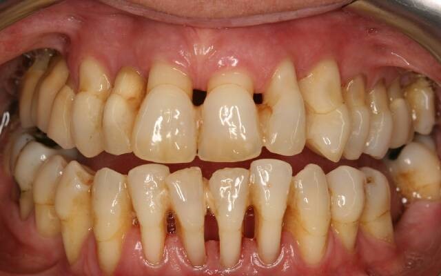
Симптомы средней степени
Для пародонтита средней тяжести характерно наличие более выраженных симптомов. В первую очередь больного беспокоят такие дискомфортные ощущения в деснах, как жжение. Зуд, рыхлость и кровоточивость. При этом наблюдается самопроизвольная кровоточивость десен даже при незначительном их раздражении. Боль в зубочелюстной системе возникает не только при приеме пищи, но и при разговоре. Чувствительность зубной эмали увеличивается, болевые ощущения возникают в результате химического, механического или термического раздражения зубного ряда.
Гнилостный запах и выделение из зубодесневых карманов серозного отделяемого также являются характерными симптомами средне-тяжелого пародонтита. Межзубные перегородки истончаются, что приводит к увеличению межзубных щелей и так называемому веерному расположению зубного ряда. На границе контакта десны с зубным рядом может наблюдаться гиперемия, десна оседает, и корни зубов обнажаются больше чем наполовину своей длины. У больного наблюдается подвижность зубов, за счет смещения зубов наблюдается деформация зубного ряда. Атрофирование костной ткани приводит к ослаблению околозубных связок, в результате чего у больного начинают выпадать зубы.
В над- и поддеснвой части зубного ряда скапливаются зубные отложения. Зубодесневые карманы углубляются до 4-5 мм, также увеличиваются региональные лимфоузлы. Пациент может отмечать болезненность лимфоузлов при пальпации.
Что касается общего состояния, то в периоды обострения пародонтита больной может отмечать повышение температуры тела, апатию, вялость, общую слабость и другие признаки интоксикации организма.
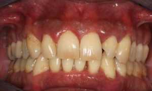
Симптомы пародонтита тяжелой степени
При тяжелой степени пародонтита больной испытывает затруднения не только с пережевыванием, но и непосредственно с самой чисткой зубов. Болевые ощущения возникают при разговоре и пальпации десен. Самопроизвольная кровоточивость возникает даже при отсутствии механического раздражения, а просто под воздействием химических или термических факторов. Десна приобретают синюшный оттенок, зубы подвижны, а глубина зубодесневых карманов превышает 5,5 мм. Больного беспокоит резкий гнилостный запах по утрам, выделение гноя из зубодесневых карманов и интенсивное образование зубного камня и мягкого зубного налета.
Общее состояние ухудшается, больной ощущает слабость и апатию, повышается температура тела, и увеличиваются региональные лимфоузлы.

Вопрос-ответ
Характерным симптомом пародонтита является?
Пародонтит — это воспаление пародонта (тканей вокруг зуба). Среди его характерных признаков — кровоточивость десен, разрушение костной ткани и возникновение карманов, то есть углублений между зубом и десной. Невылеченный вовремя пародонтит опасен полным распадом челюстной кости и выпадением зубов.
Каковы симптомы пародонтита на начальной стадии?
На начальной стадии пародонтита могут наблюдаться следующие симптомы: кровоточивость десен при чистке зубов или употреблении твёрдой пищи. Легкий отёк и покраснение десен, которые могут стать более чувствительными. Неприятный запах изо рта, который не устраняется при гигиенической чистке.
Какой патологический признак чаще всего характерен для пародонтита средней и тяжелой степени?
По проявлению пародонтит бывает легкой, средней и тяжелой степени. Важнейшим клиническим признаком пародонтита является наличие пародонтального кармана различной глубины. По ней можно судить о степени поражения. Чем сильнее воспаление, тем большей становится патологическая подвижность зубов.
Советы
СОВЕТ №1
Регулярно посещайте стоматолога для профилактических осмотров. Даже если у вас нет явных симптомов, профессиональная чистка зубов и осмотр помогут выявить ранние признаки пародонтита и предотвратить его развитие.
СОВЕТ №2
Обратите внимание на гигиену полости рта. Чистите зубы не менее двух раз в день и используйте зубную нить для удаления остатков пищи и налета между зубами. Это поможет снизить риск воспаления десен.
СОВЕТ №3
Следите за своим питанием. Употребление продуктов, богатых витаминами C и D, а также кальцием, способствует укреплению десен и зубов. Избегайте избыточного потребления сахара, который может способствовать развитию бактерий в полости рта.
СОВЕТ №4
Обратите внимание на изменения в состоянии десен. Если вы заметили покраснение, отек или кровоточивость десен, не откладывайте визит к стоматологу. Эти симптомы могут быть первыми признаками пародонтита и требуют своевременного лечения.

