Двухэтапная имплантация зубов — классическая методика, включающая в себя два этапа: установку импланта в костную ткань и протезирование (установку формирователя десны и постоянной коронки).
Это наиболее надежный метод имплантации, при котором риск отторжения импланта сведен к минимуму. В большинстве случаев результат такой операции предсказуем, несмотря на то, что имплантация растягивается на довольно длительный промежуток времени.
Показания к классической двухэтапной имплантации зубов
Для восстановления эстетической и жевательной функции зубов отличным вариантом является двухэтапная имплантация. Она становится необходимой мерой при следующих признаках:
- отсутствие одного или нескольких зубов;
 - полная адентия;
 - рыхлая структура костной ткани;
 - подвижность зубов;
 - дискомфорт от ношения съемных протезов.
 
Еще одним показанием к применению двухэтапной имплантации может стать привычка к курению и склонность пациента к плохой гигиене полости рта. Так как титановый корень в костной ткани закрыт десной, бактерии из полости рта не смогут на него воздействовать. Это позволит избежать воспаления и имплант лучше приживется.
Врачи отмечают, что двухэтапная имплантация зубов остается одним из самых надежных и эффективных методов восстановления утраченных зубов. Этот подход, проверенный временем, позволяет обеспечить максимальную интеграцию импланта с костной тканью. На первом этапе хирург устанавливает имплант, который затем остается под десной на несколько месяцев, давая возможность организму адаптироваться и сформировать прочную связь. На втором этапе устанавливается коронка, что завершает процесс восстановления. Специалисты подчеркивают, что такой метод снижает риск отторжения импланта и обеспечивает долговечность результата. Кроме того, двухэтапная имплантация позволяет индивидуально подходить к каждому пациенту, учитывая особенности его здоровья и анатомии. Врачи уверены, что этот метод будет оставаться актуальным и в будущем, благодаря своей эффективности и надежности.

Противопоказания к процедуре
Противопоказания к применению двухэтапной имплантации зубов в основном связаны с состоянием здоровья пациента. Различают два вида противопоказаний: абсолютные и относительные. При наличии абсолютных противопоказаний проведение имплантации невозможно. К таким противопоказаниям относятся:
- различные заболевания крови, плохая свертываемость;
 - туберкулез, ВИЧ или СПИД;
 - заболевания центральной нервной системы, психоневрологические расстройства;
 - тяжелые инфекции;
 - сахарный диабет;
 - онкологические заболевания;
 - поражения соединительной ткани;
 - серьезные заболевания сердечно-сосудистой системы, влияющие на состояние пациента;
 - заболевания щитовидной железы.
 
Кроме того, к противопоказаниям применения двухэтапной имплантации относится состояние пациента, при котором он не может адекватно выполнять все назначения врача во время протезирования и особенно в период заживления.
Относительные противопоказания также являются преградой к имплантации. Однако, их можно устранить, пройдя полный курс лечения. После этого восстановление потерянных зубов становится возможным.
- лактация и беременность;
 - различные заболевания полости рта (кариес, гингивит, пародонтит);
 - авитаминоз;
 - занятие экстремальными видами спорта;
 - дефекты прикуса;
 - индивидуальные особенности строения челюстей;
 - нерегулярное нездоровое питание.
 
Внимание! Как и любая хирургическая операция, имплантация — небольшой, но все же риск для пациента. Чтобы снизить возможность негативных последствий, пациент должен быть честен с врачом и рассказать обо всех заболеваниях.
Описание этапов операции
Каждый этап двухэтапной имплантации имеет свои особенности.
Двухэтапная имплантация зубов завоевала доверие многих пациентов благодаря своей надежности и эффективности. Люди отмечают, что этот метод позволяет не только восстановить утраченные зубы, но и сохранить здоровье окружающих тканей. Пациенты ценят, что процедура проходит в два этапа: сначала устанавливается имплантат, а затем, после заживления, на него крепится коронка. Это обеспечивает более высокую степень приживляемости и долговечности. Многие делятся положительным опытом, отмечая минимальные боли и быстрое восстановление. Кроме того, стоматологи подчеркивают, что такой подход позволяет индивидуально подходить к каждому случаю, учитывая особенности пациента. В результате, двухэтапная имплантация становится все более популярной, и отзывы о ней только подтверждают её эффективность.

Первый
Двухэтапная имплантация зубов начинается с подготовки. Пациент проходит полное медицинское обследование, сдает кровь на ВИЧ, маркеры гепатита и свертываемость.
Если состояние здоровья пациента вызывает сомнение, он обязательно будет направлен на консультацию к узкопрофильным врачам.
Важно выявить все факторы, способные помешать протезированию, и по возможности их устранить.
Перед операцией пациенту делают рентгенологические снимки челюсти. Это нужно для полного представления о состоянии полости рта и выявления индивидуальных особенностей физиологии. По снимкам врач спланирует установку имплантов, проработает идеальный вариант, при котором риск отторжения будет сведен к минимуму.
После обследования пациенту проводится полная санация полости рта. Это лечебно-профилактические процедуры, включающие в себя профессиональную гигиену (чистка, удаление зубного камня). Если во рту имеются кариозные зубы, их необходимо вылечить, а те, что уже разрушены и не поддаются лечению — удалить.
После санации врач переходит к костной пластике. Через некоторое время после удаления зуба костная ткань может начать рассасываться. Если это произошло, перед протезированием понадобится ее наращивание. Иногда наращивание проводят одновременно с протезированием, а в некоторых случаях выделяют в отдельную операцию. Процесс может затянуться на несколько месяцев.
Фото 1. Процесс костной пластики. Врач при помощи специальных инструментов закрепляет на тканях пациента пластину из кости.
После наращивания объема под местной анестезией врач приступает к операции. Для получения доступа к кости, десну разрезают скальпелем и отодвигают. В кости просверливают отверстие, куда вставляют искусственный корень, как правило, из титана. Сверху устанавливают заглушку и мембрану. Они будут защищать имплант от смещения и давления. После этого десну зашивают.
На некоторое время имплант остается в костной ткани без нагрузки. Это важно для его скорейшего приживления. Процесс может занять от 3 до 6 месяцев в зависимости от индивидуальных особенностей организма. Весь период интеграции проходит под строгим контролем врача.
Справка. Обычный скальпель все чаще заменяется лазерным лучом. Это значительно снижает травматичность операции и возможность осложнений после нее.
Второй
Когда имплант прижился, начинается второй этап имплантации. Готовность пациента к нему определяет врач в индивидуальном порядке.
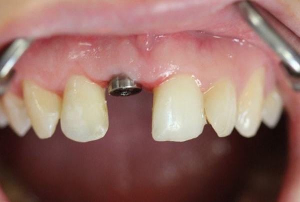
Фото 2. Формирователь десны, установленный на месте будущего импланта. Представляет из себя металлический цилиндр.
Последующие процедуры также проводятся под местной анестезией. Десну повторно разрезают, врач снимает мембрану и заглушку и устанавливает формирователь атрофировавшегося альвеолярного отростка (формирователь десны). Без него протез будет смотреться неестественно.
Через две недели на место формирователя десны устанавливают абатмент (промежуточное звено между зубным имплантатом и коронкой). На абатмент сверху крепится временная коронка, изготовленная по индивидуальному слепку. Через некоторое время коронку меняют на постоянную. На нижней челюсти на это уходит 2—3 месяца, на верхней 3—5 месяцев. После этого новый зуб полностью готов к выполнению своих основных функций.
Важно! Каждый случай имплантации зубов индивидуален, врач учитывает все особенности организма пациента. Риск того, что имплант не приживется равен всего 1%.
При использовании индивидуальных формирователей, можно добиться идеального контура десны. Современные протезы выглядят максимально естественно, их практически невозможно отличить от натуральных зубов. При правильном уходе имплант прослужит не одно десятилетие.

Полезное видео
Посмотрите видеоотрывок из передачи «Жить здорово», в котором рассказывается об особенностях имплантации зубов.
Заключение
Имплантация — наиболее комфортный для пациента способ восстановления утраченных зубов. Двухэтапная имплантация позволяет надежно зафиксировать имплант и обеспечить безупречную эстетику. Сложность и длительность процедуры оправданы полученным результатом.
Вопрос-ответ
Что такое классическая двухэтапная имплантация зубов?
Классическая двухэтапная имплантация очень требовательна к объему, высоте и плотности костной ткани. При двухэтапном протоколе используются винтовые корневидные импланты, вживляемые строго вертикально в альвеолярный слой костной ткани (он наиболее подвержен атрофии).
Что значит классическая имплантация?
Классическая имплантация – это золотой стандарт восстановления утраченных зубов. Техника включает два этапа: сначала в кость устанавливается титановый имплант, который проходит процесс остеоинтеграции и надежно срастается с костной тканью. Этот период занимает в среднем от трех до шести месяцев.
Особенности протезирования при двухэтапной методике имплантации?
Двухэтапный протокол (классический) отличается тем, что сначала устанавливается имплант, а потом, после полного его приживления, десну разрезают, и происходит установка коронки. Несмотря на длительность, классическим и наиболее распространенным способом протезирования считается двухэтапная имплантация зубов.
Что лучше одномоментная имплантация или классическая?
Одномоментная имплантация лучше подходит для пациентов с хорошим состоянием десен и достаточным объемом костной ткани. Классическая имплантация может быть предпочтительна, если требуется больше времени для заживления или если необходимо провести дополнительную костную пластику.
Советы
СОВЕТ №1
Перед началом процедуры обязательно проконсультируйтесь с опытным стоматологом. Он поможет оценить состояние ваших зубов и десен, а также даст рекомендации по подготовке к имплантации.
СОВЕТ №2
Обратите внимание на выбор клиники и специалиста. Изучите отзывы пациентов, узнайте о квалификации врача и используемом оборудовании, чтобы быть уверенными в высоком качестве услуг.
СОВЕТ №3
Следуйте всем рекомендациям по уходу за полостью рта после имплантации. Это поможет избежать осложнений и ускорит процесс заживления. Не забывайте о регулярных визитах к стоматологу для контроля состояния имплантов.
СОВЕТ №4
Не стесняйтесь задавать вопросы о процессе имплантации и возможных рисках. Чем больше вы будете знать, тем спокойнее будете себя чувствовать во время процедуры и в период восстановления.






