Периодонт — ткань, окружающая корень зуба и удерживает его в альвеоле. Периодонтит — воспалительный процесс, развивающийся в оболочке корня зубов и примыкающих к ней тканей.
Заболевание, связанное с повреждением и воспалением связок, оно появляется при поступлении инфекции из корневого канала через отверстие на верхушке корня и вследствие кариеса.
Клиника, код по МКБ 10
Для выставления предварительного или основного диагноза стоматологи используют следующие характеристики:
| Виды периодонтита | Клинические симптомы | Жалобы | 
| Серозная форма | Больной зуб становится подвижным, мягкие ткани отекают, увеличиваются лимфатические узлы, наблюдается лейкоцитоз, повышается СОЭ | Повышение чувствительности и появление боли при надкусывании, недомогание, увеличение температуры тела до 39°C | 
| Хронический фиброзный | Изменение цвета зуба, появление глубокой кариозной полости, отсутствие реакции на холод и тепло | Протекает бессимптомно | 
| Хронический гранулематозный | Наличие кариозной полости, выбухание кости | Редкие жалобы на неприятные ощущения, незначительная болезненность | 
| Обострившийся хронический | Отёк дёсен, увеличение лимфоузлов, наличие глубокой кариозной полости, подвижность зуба, отсутствие реакции на холод и тепло | Увеличивающаяся боль при надкусывании | 
Болезнь проходит не одну стадию развития, поэтому специалистами для удобства были разработаны несколько классификаций недуга. Официально признанная и используемая в документации остаётся МКБ-10. Периодонтиту соответствует код К04 с формулировкой «Болезни периапикальных тканей».
Фото 1. Схематичное изображения здорового зуба (слева) и при заболевании периодонтитом (справа).
Периодонтит — это воспалительное заболевание, которое затрагивает ткани, окружающие зуб. Врачи отмечают, что его симптомы могут проявляться в виде боли, отека и кровоточивости десен, а также неприятного запаха изо рта. Специалисты подчеркивают, что игнорирование этих признаков может привести к серьезным последствиям, включая потерю зубов. Важно понимать, что периодонтит не проходит сам по себе, и его лечение требует комплексного подхода. Врачи рекомендуют регулярные профилактические осмотры и гигиену полости рта, чтобы предотвратить развитие заболевания. Своевременное обращение к стоматологу может значительно улучшить прогноз и сохранить здоровье зубов.

Патогенез
Развитие периодонтита чаще всего характеризуется попаданием в периодонтальную щель микроорганизмов, которые оказывают токсическое действие. При ослаблении иммунологических механизмов развивается острый диффузный воспалительный процесс, который приводит к появлению абсцессов с характерными признаками общей интоксикации организма.
Наблюдается повреждение соединительной ткани периодонта. В результате нарушается микроциркуляция, появляются все пять признаков воспаления: боль, отёк, гиперемия, местное повышение температуры, нарушение функции.
Если процесс наблюдается у больного зуба, специалисты констатируют хроническое воспаление, часто бессимптомное. При ослабленном иммунитете организма хронический процесс обостряется с проявлением всех характерных признаков острого периодонтита.
Причины воспаления
Специалисты призывают посещать стоматологический кабинет каждые полгода.
Такая профилактика необходима для своевременного выявления многих заболеваний.
Повреждения зубов, например, сколы, другие повреждения эмали, создают условия для проникновения и развития инфекции в тканях пародонта.
Справка. Периодонтит — следствие воспалений (пародонтоз, гингивит, пульпит и другие).
Выделяют несколько причин:
- Инфекционная: возбудители воспалительных процессов попадают с кровотоком внутренних органов в десну при инфекционных заболеваниях (ОРВИ, ангина, гайморит, грипп, корь).
 - Контактная: в разрушенные кариесом коронки попадают частички пищи и болезнетворные возбудители из слюны. «Благодаря» такому симбиозу продукты распада накапливаются в зубных каналах.
 - Медикаментозная: нередко причиной появления воспаления становится неквалифицированный врач, который заносит инфекцию, производя стоматологические манипуляции на десне.
 
Периодонтит — это воспалительное заболевание, поражающее ткани, окружающие зуб. Люди часто не обращают внимания на его симптомы, такие как кровоточивость десен, неприятный запах изо рта и подвижность зубов, что может привести к серьезным последствиям. Многие отмечают, что в начале заболевания они просто не придавали значения легкому дискомфорту, но со временем боль становилась невыносимой. Важно понимать, что периодонтит не проходит сам по себе и требует профессионального лечения. Зубные врачи подчеркивают, что регулярные осмотры и гигиена полости рта могут предотвратить развитие этого заболевания. Люди, столкнувшиеся с периодонтитом, советуют не откладывать визит к стоматологу, чтобы избежать потери зубов и других осложнений.

Визуальная диагностика
Периодонтит — коварное заболевание, подразделяющееся на разные виды и формы.
Специалисты отмечают общие признаки для всех стадий недуга: гнилостный запах изо рта, кровоточивость дёсен во время проведения гигиенических процедур, боль различной степени, ощущение выросшего зуба.
Определить периодонтит на ранних этапах заболевания сложно, но возможно, благодаря внимательной визуальной диагностике.
| Вид | Форма | Часто | Иногда | Примечание | 
| Хронический | Фиброзная | Изменение цвета зуба, наличие кариозных разрушений | Некротическая пульпа | Требуется рентгеновское обследование | 
| Гранулирующая | Появление свищей с выделением гноя, покраснение на дёснах, продавливание зуба в десну после механического воздействия | Увеличение лимфатических узлов | Требуется дополнительная диагностика | |
| Гранулёматозная | Свищ, припухлость, покраснение десны, разрежение челюстной кости | Выпадение пломбы | Диагностируется только с помощью рентгенологического обследования | |
| Острый | Острая | Обширное воспаление, сильная отёчность, зуб выдвинут из ряда, наблюдается припухлость щеки | Изменение цвета тканей десны, нарастает подвижность зуба, увеличение лимфатических узлов, отёк лица | Сопровождается повышением температуры тела | 
| Гнойная | Невозможность из-за боли сомкнуть челюсти, увеличение лимфатических узлов | Повышение температуры тела, общее вялое состояние | Боль снижается только после прикладывания холодного, рентген диагностирует заболевание на 3—5 сутки после начала | |
| Токсический | Отёк, гиперемия | Ожоги и некроз десны | Следствие некорректного лечения | |
| Верхушечный | Припухлость губы, десны, лица | Общее вялое состояние | Повышение температуры тела до 40°C | |
| Маргинальный | Асимметричность отёка лица (губа и щека), припухлость десны, лимфоузлы увеличены и болезненны | Отхождение десны от зуба | Спровоцирован травмой, приводит к абсцессам | |
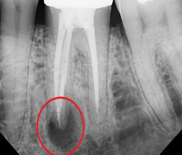
Как выглядит болезнь на снимке рентгена
Одним из ведущих способов диагностирования болезни специалисты называют проведение рентгеновского обследования.
Фото 2. Рентгеновский снимок зуба при заболевании периодонтитом. Красным цветом выделена область воспаления.
Оно необходимо, чтобы выяснить состояние костной ткани челюсти, определить наличие кист или другого образования и есть ли возможность для сохранения зуба.
| Тип периодонтита | Признаки | 
| Гранулёматозный | Наблюдаются очаговые патологические образования (гранулёмы), частичное разрежение кости, нечёткие контуры, затемнения, похожие на языки пламени. | 
| Хронический | Значительное расширение периодонтальной щели. | 
| Фиброзный | Рубцовая ткань в виде утолщения, выступы на корне зуба, затемнение зоны в верхней части корня зуба. | 
| Маргинальный | Чётко просматриваются переломы, обломки инородных предметов, трещины. | 

Диагностика
Периодонтит — недуг, имеющий похожие симптомы с другими болезнями. Его диагностика осложнена тем, что вид периодонтальной щели практически не изменяется, и рентгеновский снимок может не показать никаких признаков болезни. Чтобы правильно диагностировать недуг, специалисты должны помнить главные отличительные характерные черты заболеваний с аналогичными симптомами.
| Заболевание | Отличительные симптомы | Похожие признаки | 
| Остеомиелит | Болевые ощущения на несколько зубов, интоксикация организма, лихорадочное состояние, озноб | Сходны с острой формой периодонтита | 
| Пародонтит | Кровоточивость, появление абсцессов, возникающие в разных частях десны, обширные костные карманы | |
| Гайморит | Затемнение гайморовых пазух, выделение из носа | |
| Глубокий кариес | Реакция на температурные раздражители присутствует | Сходны с хронической формой периодонтита | 
ЭОД при диагностировании
Электроодонтометрия, или ЭОД, помогает выявить возбудимость зубной пульпы. Показатели нормы составляют 6—8 мкА. Чем они выше, тем больше вероятность наличия воспаления или даже некроза. Процедура проводится с помощью специального прибора.
Патологические показатели ЭОД:
- При хроническом периодонтите: 100—160 мкА.
 - При остром или обострившемся: 180—200 мкА.
 
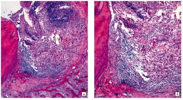
Фото 3. Патологическая анатомия или патанатомия зуба при периодонтите хронического типа. Зубные ткани показаны под микроскопом.
Опасность недуга для беременных
Периодонтит — практически всегда осложнение кариеса. Воспалительный процесс, двигаясь по тканям, разрушает эмаль, дентин и пульпу. Если не было осуществлено лечение, заболевание переходит в новую стадию — периодонтит. Формируется очаг воспаления на самой верхушке корня. Это заболевание особо опасно при беременности. У больной ухудшается общее состояние организма, повышается температура тела, увеличиваются лимфоузлы.
Внимание! Беременным опасно заниматься самолечением, т. к. существует угроза выкидыша.
При осложнённом течении патологии болезнетворные микроорганизмы распространяются по организму, проникают через плацентарный барьер, угрожая не родившемуся ребёнку.
Лечение будущих мам сильно ограничено, это касается не только медикаментов, но и методик исследования. Поэтому нужно быть готовым к осложнениям, так как полноценную диагностику в таком положении провести не представляется возможным.
Причины обострения
Если причин, ведущих к появлению периодонтита, множество, то факторов, из-за которых хроническое заболевание принимает острую форму, специалисты выделяют два:
- Восприимчивость организма к инфекциям вследствие снижения иммунитета. ОРВИ, разнообразные вирусные инфекции, стрессы, слабость и общее нестабильное состояния снижают сопротивляемость организма, что приводит к активному размножению микроорганизмов и делает больного ещё более уязвимым.
 - Возникновение подходящих условий для развития болезнетворных бактерий. Причиной становится скопление остатков пищи, налёта внутри открытого зубного канальца или под мягкими тканями десны.
 
Осложнения периодонтита
Если не лечить периодонтит, возникает опасность серьёзных осложнений.
Гранулёма: что это такое
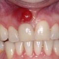
Напоминает небольшой мешочек (около 0,5 см), окружённый грануляционной тканью, как капсулой. Внутри — воспалительная жидкость. Место расположения — верхушка зуба. Это эпицентр заболевания. Задача такого осложнения: разрушить здоровую ткань зуба. Воспалительный очаг нельзя оставлять без лечения, так как дальнейшее бездействие приведёт к нарушению многих систем организма.
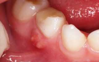
Фото 4. Гранулёма, возникшая из-за периодонтита. Представляет из себя припухлость на десне.
Киста
Доброкачественное воспалительное образование с очень плотными стенками. Она появляется для защиты организма от развивающейся инфекции. Достигает размеров до 1 см. Киста может увеличиваться в размерах, разрушая соседние зубы. Разрыв стенок капсулы в отдельных случаях может привести к заражению крови больного.
Гангренозная форма
Воспалительный процесс, который характеризуется серьёзными изменениями в прикорневой части десны, периодонте.
Как лечится заболевание в стадии обострения
Методы терапии заболевания в обострённой хронической стадии включают:
- Очистка каналов зуба с использованием асептических препаратов.
 - В образовавшиеся отверстия помещают антисептические средства для устранения инфекции.
 - В полость зуба вводят медикаменты, которые ускоряют восстановление тканей.
 - Зуб пломбируется с применением временного материала, и в течение нескольких месяцев ведётся наблюдение за его состоянием. Если будет отмечена положительная динамика в процессе восстановления, временный материал меняется на постоянный. В качестве временного материала часто используются лечебные смеси.
 
- При лечении периодонтита применяются различные физиотерапевтические методы: УВЧ-терапия, электрофорез, лазерная, микроволновая и магнитотерапия.
 - Антибиотики — применяются в тех случаях, когда хирургическое вмешательство затруднено или заболевание находится в запущенном состоянии.
 
Патология зуба под коронкой
Лечение периодонтита зуба под коронкой рекомендуется начать с её удаления. Всевозможные варианты высверливания части зуба с конструкцией часто приводят к некачественному лечению и, как следствие, новым осложнениям болезни.
Периодонтит зуба мудрости
Это частое явление в стоматологической практике. В этом случае воспаление возникает в результате неправильного прорезывания коренного зуба — под наклоном, что приводит к травме околозубной ткани.
Полезное видео
Посмотрите видео, в котором в схематичной форме демонстрируется процесс лечения периодонтита.
Что говорит статистика?
Статистика заболеваемости периодонтита неблагоприятная: у детей она составляет 20—30%, у взрослого населения 30—50%. Современная стоматология с успехом лечит это сложное заболевание, но только при условии, что пациент выполняет все рекомендации специалиста. Боль, страх при лечении недуга остались в прошлом.
Современные методики и лекарственные препараты помогают вылечить зубы совершенно безболезненно. Стоит отметить, что необоснованные страхи усугубляют развитие воспалений, при которых периодонтит может закончиться серьёзным осложнением. Следите за своими зубами и будьте здоровы!

Классификация периодонтита возникла вследствие разнообразных форм его проявления. Это заболевание может привести к разрушению и потере зуба, поэтому важно его своевременное обнаружение и лечение.

Как лечат периодонтит? Отличие лечебного процесса в острой и хронической стадии. Сколько времени занимает лечение? Преимущества и недостатки народного лечения периодонтита.
Осложнения
Какие бывают осложнения после лечения периодонтита? Какие врачебные ошибки допускают стоматологи? Как их исправить? Свищ, киста и остеомиелит — как осложнения периодонтита.

Периодонтит встречается у 40% детей разного возраста. Из этой статьи вы узнаете об особенностях симптоматики и лечения периодонтита у детей
Вопрос-ответ
Что такое периодонтит простыми словами?
Периодонтит – воспаление соединительной ткани (периодонта) между корнем зуба и костной лункой.
Чем опасен периодонтит?
Чем опасен периодонтит? Если не лечить периодонтит, воспаление распространяется на костную ткань и десну, что приводит к разрушению зуба. В тяжелых случаях инфекция может проникнуть в окружающие ткани лица и шеи, а в редких случаях — в системный кровоток.
Какая инфекция вызывает периодонтит?
Другими предшествующими факторами возникновения периодонтита инфекционного вида являются хронические одонтогенные инфекции, к которым относят: пародонтит, остеомиелит, пульпит (язвенный), перикоронарит. Инфекцию можно занести и из других очагов в случае тонзиллита или скарлатины.
Как долго можно ходить с периодонтитом?
Схема лечения хронического периодонтита отличается в зависимости от интенсивности воспалительного процесса и площади пораженных тканей. Лечение может занять от 7 дней до 3-5 месяцев.
Советы
СОВЕТ №1
Регулярно посещайте стоматолога для профилактических осмотров. Это поможет выявить периодонтит на ранних стадиях и предотвратить его развитие.
СОВЕТ №2
Обратите внимание на гигиену полости рта. Чистите зубы дважды в день и используйте зубную нить, чтобы удалить налет и остатки пищи, которые могут способствовать воспалению десен.
СОВЕТ №3
Следите за своим питанием. Употребление продуктов, богатых витаминами и минералами, особенно витамина C, может укрепить десны и снизить риск развития периодонтита.
СОВЕТ №4
Если вы заметили симптомы, такие как кровоточивость десен или неприятный запах изо рта, не откладывайте визит к стоматологу. Чем раньше начнется лечение, тем легче будет справиться с заболеванием.








