Пародонтит — агрессивное воспаление тканей, которые окружают и удерживают зуб в лунке. В силу своих особенностей недуг причиняет множество проблем и болезненных ощущений.
Практически всегда пародонтиту предшествует запущенный гингивит — хроническое воспаление дёсен, которое вызывают скопления патогенной микрофлоры в виде зубных отложений. В отличие от пародонтита, гингивит не затрагивает зубодесневые связки, и зубы, несмотря на сильное воспаление, остаются неподвижными.
Пародонтит зубов и десен: что это такое, патогенез заболевания
После каждого приёма пищи на зубах остаются мельчайшие её остатки. Микрофлору ротовой полости составляют разновидности стрептококков и актиномицеты, для которых подобные фрагменты — отличная среда для размножения и роста. Питаясь углеводами, болезнетворные бактерии синтезируют молочную кислоту, которая разрушает зубную эмаль.
Все мельчайшие пищевые остатки называются мягким налётом. Спустя 20—30 минут он начинает свою трансформацию в твёрдые отложения. Нерегулярный уход за полостью рта становится главной причиной массовых тёмных отложений вокруг шейки зуба.
С течением времени количество зубного камня всё увеличивается, прорастает вглубь десны, чем сильно её травмирует.
Под объёмом отложений слизистая отстраняется от зуба, и образуется просвет. Получается так называемый зубодесневой карман, в котором отложения продолжают активно накапливаться и всё больше усугублять воспаление. Это приводит к необратимым изменениям в костной ткани и потере зубов.
Пародонтит — это серьезное заболевание, которое затрагивает ткани, окружающие зубы, и может привести к их потере. Врачи подчеркивают, что это не просто неприятные ощущения, а реальная угроза для здоровья полости рта. При пародонтите воспаляются десны, что может вызвать их отек, кровоточивость и даже образование карманов между зубами и деснами. Если не принять меры, инфекция может распространиться, что приведет к разрушению костной ткани и, как следствие, потере зубов. Специалисты рекомендуют регулярные профилактические осмотры и тщательную гигиену полости рта, чтобы предотвратить развитие пародонтита и сохранить здоровье зубов на долгие годы.

Как выглядит заболевание: рентгенологическая картина, код по МКБ 10
По выраженности и глубине рентгенологических проявлений пародонтит делится на начальную, среднюю и тяжёлую стадию:
- На начальной стадии пародонтита высота альвеолярного отростка снижена только на 1/3 от длины корня. На снимке наблюдается разволокнение межальвеолярных перегородок с дальнейшим полным исчезновением. Периодонтальная щель в пришеечной области симметрично расширена с одной стороны. По мере прогрессирования, обострения воспаления резорбция межальвеолярных перегородок усиливается.
 
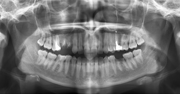
Фото 1. Пародонтит начальной стадии на рентгенограмме. Десны поражены не сильно, корни зубов практически не оголены.
- При пародонтите средней тяжести высота межальвеолярных перегородок снижена уже на 1/2 от длины корня. Трабекулярный рисунок кости смазан, прозрачность повышена. Резорбция костной ткани проходит вдоль корня, образуются пародонтальные карманы. У одного и того же пациента наблюдаются разные типы резорбции.
 - Для тяжёлой степени заболевания характерно неравномерное убывание кости межальвеолярных перегородок более чем на 1/2 длины корня. А корни зубов оголены больше чем на половину от своей длины.
 
Пародонтит — сугубо внутреннее заболевание, он не заразен для окружающих.
Согласно МКБ 10 пародонтиту присвоены коды К05.2 и К05.3.
Причины
Заболевание возникает и развивается в силу постоянного травмирования слизистых тканей. И в значительной мере этому содействует каждая из причин:
- Заболевание хроническим гингивитом.
 - Микробные бляшки зубных отложений. Массовые скопления патогенной микрофлоры становятся причиной воспаления десны и совсем скоро переходят на пародонтальный карман — образовавшийся из-за твёрдых отложений просвет между корнем зуба и десной. Если не устранить бляшку на этой стадии, вокруг корня зуба разрушается опорная кость, и зуб выпадает.
 
- Недостаточная гигиена ротовой полости.
 - Курение и употребление алкоголя.
 - Патологии прикуса, искривление зубов.
 - Технически некачественное протезирование зубов.
 - Травмы и механические повреждение слизистой выступающей пломбой или краем коронки. Некачественный пломбировочный материал.
 - Острая нехватка витамина С и В.
 - Отсутствие в рационе твёрдой пищи.
 - Заболевания слюнных желёз.
 - Отсутствие некоторых жевательных зубов, из-за чего передние постоянно страдают от перегрузки.
 - Продолжительный приём противосудорожных препаратов или антидепрессантов.
 - Заболевания ЖКТ, в особенности язвы.
 - Сахарный диабет.
 - Наследственная предрасположенность.
 
Комплексное влияние одновременно нескольких причинных факторов усугубляет течение заболевания остротой и стремительным развитием.
Пародонтит — это воспалительное заболевание, поражающее ткани, окружающие зубы. Многие люди не осознают, что это не просто неприятные ощущения, но и серьезная угроза для здоровья зубов. При отсутствии должного лечения пародонтит может привести к потере зубов, что, безусловно, негативно сказывается на качестве жизни. Симптомы заболевания могут включать кровоточивость десен, неприятный запах изо рта и подвижность зубов. Важно помнить, что ранняя диагностика и регулярные визиты к стоматологу могут предотвратить развитие болезни. Забота о здоровье полости рта, включая правильную гигиену и сбалансированное питание, играет ключевую роль в профилактике пародонтита. Не стоит игнорировать сигналы своего организма — лучше обратиться к специалисту при первых признаках проблемы.

Симптомы
Для течения пародонтита характерны 3 стадии, и симптоматика меняется по мере прогресса заболевания:
- Признаки пародонтита в лёгкой степени совсем незначительны. Дёсны воспалены, в процессе чистки зубов умеренно кровоточат, но без болевых ощущений. Пока не поражена пародонтальная связка, процесс заболевания считается обратимым.
 - На средней стадии пародонтита кровоточивость значительно увеличивается, возможны ощущения зуда и жжения. Десна отекает и меняется в контуре, а размер кармана десны доходит до 6 мм.
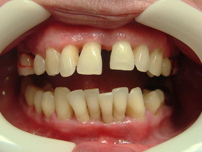
 - Переход в тяжёлую форму пародонтита сопровождается стремительным разрушением костной ткани, зубы теряют опору, веерообразно расходятся и шатаются. На данной стадии заболевания появляется резкий гнилостный запах изо рта, нарушается жевательная функция, и выпадают первые зубы. Глубина кармана десен превышает 6—7 мм.
 
Осложнения
Пародонтит, доведённый без лечения до тяжёлой степени, приводит к серьёзным вторичным последствиям:
- Гнойное воспаление дёсенного кармана
 
Патогенная микрофлора вперемежку с остатками пищи массово скапливается в пародонтальных карманах и начинает гнить. Игнорирование подобных процессов и отсутствие неотложного лечения заболевания приводят к челюстному остеомиелиту — загноению всех структур челюстной кости с последующим остеонекрозом (гибелью костных клеток и разрушением кости).
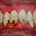
Фото 2. Гнойное воспаление дёсенного кармана на тяжелой стадии. На десне образуется язва.
- Выпадение зубов из-за их системного расшатывания
 
При тяжёлой форме заболевания, когда глубина пародонтального канала превышает 6 мм, а дёсны гноятся и кровоточат, происходит поражение периодонтальной связки. Чем оно глубже и обширнее, тем сильнее расшатывается зуб. Чаще зуб подлежит удалению, но в ряде случаев возможна фиксация зуба при помощи шинирования.
- Сердечно-сосудистые заболевания
 
Определённые категории бактерий-провокаторов воспаления в дёснах способны к тромбообразованию в больших и малых сосудах. Это в несколько раз увеличивает риск заболевания ишемическим инсультом, инфарктом и атеросклерозом.
- Резорбция костной ткани
 
Разрушительный процесс сопровождается полной атрофией кости вокруг зуба и уменьшением её объёма.
- Респираторные заболевания
 
Болезнетворные бактерии ротовой полости, проникая в дыхательные пути, нередко вызывают пневмонию и бронхит.

Особая угроза в процессе беременности
Бактерии ротовой полости на 2 и 3 стадии заболевания свободно распространяются кровотоком по организму. Возрастает риск инфицирования плода с последующим недоразвитием и гипоксией после рождения.
К тому же ряд бактерий провоцирует соединение простагландинов, которые регулируют сокращения маточных мышц. Повышенное количество этих гормоноподобных веществ приводит к выкидышам либо преждевременным родам.
Положение усугубляется существенно ограниченными возможностями лечения из-за определённой опасности для плода некоторых медикаментов. Этот факт является ещё одним поводом провести комплексное лечение ротовой полости до планирования беременности.
Справка! Пародонтит нередко встречается и в детском возрасте. Кроме неполноценной гигиены, основными причинами заболевания у ребёнка являются: плохое питание, неправильный прикус, гормональные изменения, короткая уздечка, аллергии и сбои иммунной системы.
Последствия хронической формы заболевания те же, что и у взрослых: атрофия костной ткани и потеря зубов.
Профилактика у детей и взрослых
Все меры по борьбе с пародонтитом условно разделены на первичную и вторичную профилактику. Основная задача первичной: заблаговременно устранить вероятную угрозу развития заболевания.
А вторичная — направлена на предупреждение прогресса уже начавшегося заболевания, но пока на раннем этапе.
В целом профилактический комплекс состоит из таких рекомендаций:
- Безупречная гигиена ротовой полости — первоочередное условие для предотвращения заболевания пародонтитом. Перед каждой чисткой прополощите рот содой. Она частично размягчит образовавшийся налёт и облегчит его удаление.
 - Зубная нить — достаточно травматичный для десны вспомогательный способ. Её лучше заменить регулярным использованием антивоспалительных ополаскивателей или ирригатора, который по результатам исследований эффективнее нити на 93%.
 - Не реже 1—2 раз ежегодно необходима комплексная чистка зубных отложений с последующим покрытием эмали фторсодержащим защитным средством.
 - Употребляйте как можно больше твёрдых фруктов и овощей в сыром виде.
 - Если вы курите, навсегда откажитесь от сигарет.
 - После каждой профессиональной чистки налёта начинайте регулярные полоскания Мирамистином или Хлоргексидином. Отличные антисептики с успокаивающим эффектом: отвары ромашки, зверобоя или шалфея.
 - Не реже 1 раза в 6 месяцев посещайте своего стоматолога для планового осмотра.
 - Проводите систематический массаж дёсен.
 - По возможности разнообразьте рацион.
 - Своевременно заменяйте даже 1 отсутствующий зуб той или иной протезной формой.
 - Не игнорируйте лечение воспалений в ротовой полости.
 - Не носите неправильно установленные или пришедшие в негодность протезы.
 
Полезное видео
Посмотрите видео, в котором рассказывается о том, что такое пародонтит, о причинах заболевания и симптомах.
Начать заботиться о зубах никогда не поздно!
Следование этим несложным правилам уберёт из вашей жизни весь дискомфорт, связанный с пародонтитом, на максимально длительный срок. Если уже диагностирована ранняя стадия заболевания, подобная профилактика поможет остановить разрушительный процесс на прежнем уровне без патогенного прогресса.
Степени
Хронический воспалительный процесс, протекающий в пародонте, называется пародонтитом.

Самолечение
Этиология
Вопрос-ответ
Какая инфекция вызывает пародонтит?
Бактериальный налет и камень вызывают симптомы оральной инфекции, поскольку эти микробы могут вызывать воспалительную реакцию, которая приводит к отеку десен, кровотечению и, в конечном итоге, к разрушению тканей. Бактерии воздействуют на структуры, окружающие зуб: кость, связку (периодонт), десну и цемент корня.
Какое самое эффективное лекарство от пародонтита?
Самым эффективным лечением пародонтита является комплексный подход, включающий профессиональную чистку зубов, антисептические полоскания и, при необходимости, антибиотики. Однако конкретное “лекарство” зависит от стадии заболевания и индивидуальных особенностей пациента, поэтому важно обратиться к стоматологу для назначения оптимальной терапии.
Как понять, пародонтит или нет?
Пародонтит — это воспаление пародонта (тканей вокруг зуба). Среди его характерных признаков — кровоточивость десен, разрушение костной ткани и возникновение карманов, то есть углублений между зубом и десной. Невылеченный вовремя пародонтит опасен полным распадом челюстной кости и выпадением зубов.
Какой патологический признак чаще всего характерен для пародонтита средней и тяжелой степени?
По проявлению пародонтит бывает легкой, средней и тяжелой степени. Важнейшим клиническим признаком пародонтита является наличие пародонтального кармана различной глубины. По ней можно судить о степени поражения. Чем сильнее воспаление, тем большей становится патологическая подвижность зубов.
Советы
СОВЕТ №1
Регулярно посещайте стоматолога для профилактических осмотров. Это поможет выявить пародонтит на ранней стадии и предотвратить его развитие.
СОВЕТ №2
Обратите внимание на свою гигиену полости рта. Чистите зубы не менее двух раз в день и используйте зубную нить для удаления остатков пищи между зубами.
СОВЕТ №3
Следите за своим питанием. Употребление продуктов, богатых витаминами C и D, а также кальцием, поможет укрепить десны и зубы, снижая риск пародонтита.
СОВЕТ №4
Избегайте курения и чрезмерного употребления алкоголя, так как эти факторы значительно увеличивают риск развития заболеваний десен, включая пародонтит.







