Брекеты — это специальная конструкция для выравнивания зубов, которая позволяет упорядочить их положение и форму прикуса.
Она устанавливается на сторонах рядов и представляет собой проволочную дугу с закреплёнными на ней брекетами, которые прикрепляются с помощью специального клея.
Благодаря соединяющей дуге происходит давление на зуб, она и помогает выровнять прикус. Но, как и у любого лечения, у них есть своя польза и вред. Рассмотреть их поможет изложенный ниже материал.
Негативные последствия установки брекетов
Исправление прикуса — дело сложное и кропотливое.
Как и любому другому вмешательству, ему свойственны побочные эффекты:
- Разрушение структуры эмали.
 - Развитие болезней зуб и дёсен.
 - Рецидив.
 - Аллергические реакции.
 
Внимание! Побочные эффекты возникают не у всех. Им также может поспособствовать слабая иммунная система и неправильная гигиена полости рта.
Врачи отмечают, что ношение брекетов может привести к некоторым негативным последствиям, если не соблюдать рекомендации стоматолога. Одним из основных рисков является развитие кариеса, так как брекеты затрудняют качественную гигиену полости рта. Неправильный уход может вызвать воспаление десен и другие пародонтальные заболевания. Также возможно возникновение дискомфорта и болевых ощущений, особенно в начале лечения. В редких случаях пациенты сталкиваются с перемещением зубов в нежелательном направлении или с аллергическими реакциями на материалы, из которых изготовлены брекеты. Поэтому важно регулярно посещать врача и следовать его указаниям для минимизации возможных осложнений.

Зубная боль
Период адаптации занимает одну-две недели, но стоит учитывать индивидуальные особенности каждого организма. Например, болевой порог. Привыкание может сопровождаться болевыми, некомфортными ощущениями, которые исчезнут лишь спустя некоторое время. Их также можно снять с помощью медикаментов.
Момент, когда изделия вызывают боль уже длительное время, всегда можно обговорить с врачом.
Вредно ли носить брекеты
Выделяют несколько отрицательных последствий, которые могут затронуть пациента:
- Присутствие во рту постороннего предмета.
 - Боль в околозубной области.
 - Обильное слюноотделение и натирание слизистой.
 - Воспаление дёсен.
 - Нарушение дикции.
 - Ограничение в питании.
 - Сложности в уходе за зубами.
 
Многие люди, решившие установить брекеты, сталкиваются с различными мнениями о возможных негативных последствиях. Некоторые утверждают, что ношение брекетов может привести к дискомфорту и болевым ощущениям, особенно в первые дни после установки или регулировки. Другие выражают опасения по поводу гигиенических аспектов: трудности в чистке зубов могут способствовать развитию кариеса и заболеваний десен. Также существует мнение, что длительное ношение брекетов может негативно сказаться на состоянии челюстных суставов, вызывая боли и щелчки. Однако многие стоматологи подчеркивают, что при правильном уходе и регулярных визитах к ортодонту риски минимальны. Важно взвесить все за и против, прежде чем принимать решение о лечении.

Портятся ли зубы
Конструкция безопасна в своём применении. Её технология не предполагает прямого крепления замков к поверхности зуба, чтобы суметь ей навредить. Для подобного соединения используют специализированный ортодонтический клей, он не вреден. Фтор, который входит в его состав, также является надёжной профилактикой образования кариесогенных бактерий.
Справка. Конструкции были специально разработаны для длительного ношения, поэтому они не вредят организму.
В период ношения брекетов основную опасность для зубов представляют бактерии, которые скапливаются под изделиями.
Портят ли дикцию
Одно из последствий после установки конструкции — меняется произношение. Чтобы привыкнуть к новым условиям, речевому аппарату требуется время. Как правило, всё зависит от некоторых факторов:
- Скорость адаптации к брекетам.
 - Вид изделий. Например, лингвальные, которые крепятся к внутренней стороне зуба, сильнее всего влияют на речь в силу своей непосредственной близости к органам речи.
 
Значительно ускорить восстановление нормальной дикции помогает чтение вслух и произношение скороговорок.

Вред для дёсен и щёк
Сложная конструкция может натирать губы, щёки и поверхность языка. Это провоцирует раздражение слизистой оболочки полости рта, вызывая дискомфорт, который, если не уследить, может обернуться болевыми ощущениями. Устранить такую проблему позволяет специальный воск. Его наносят на выступающую поверхность брекетов, чем предотвращают трение элементов конструкции о слизистую ротовой полости.
Важно! Речь идёт о дискомфорте. Резкая, саднящая боль или возникновение язв и повышенная кровоточивость — признак насторожиться. В этом случае не стоит откладывать визит к лечащему врачу.
Что делать, если отекла щека, стало хуже?
Нужно постараться понять, какая именно деталь поспособствовала проблеме.
Первые недели грани брекетов могут царапать или натирать губы, язык и щёки, что считается приемлемым.
Однако, раны и язвы имеют привычку перерастать в банальную травму. В конструкции есть крючки, их можно почувствовать, как выступающий кончик дуги.
От соприкосновения с ними нередко можно уколоться, в худшем случае — травмировать щёки и губы. При сильном дискомфорте следует воспользоваться специальным защитным воском. Его наносят на паз, защищая слизистую оболочку полости рта от последующих покраснений или возникновения ран.
Побочные эффекты снятия изделий
В их число входят:
- Изменение формы лица.
 - Пятна на эмали.
 - Деминерализация эмали.
 - Смещение зубов в обратном направлении.
 - Щели между зубами.
 
Болят зубы после снятия
Это считается одним из вариантом нормы и серьёзных опасений не вызывает. Объясняется движением зубов, которые хотят вернуться на своё «прежнее» место.
Как и в случае с брекетами, которые также несли в себе цель перестановки зубов, что вызывает неприятные ощущения.
Ношение брекетов также может ослабить эмаль, из-за чего человек становится восприимчив к температурным и химическим раздражителям. В таком случае поможет реминерализующая терапия. В курс восстановления включается обработка зубов специальными гелями, лаками и пастами. Это позволяет нормализовать состав эмали, насытив её минеральными компонентами. Не будет лишним использовать ополаскиватель для полости рта и пасту для чувствительных зубов.
Пятна и следы на зубной эмали
Могут возникнуть у любого человека. Этому способствуют:
- Некачественная гигиена полости рта.
 - Постоянный налёт на эмали.
 - Воздействие бактерий полости рта.
 - Неправильное питание.
 - Неправильная подготовка зубов пациента врачом перед установкой конструкции.
 - Наследственная предрасположенность.
 
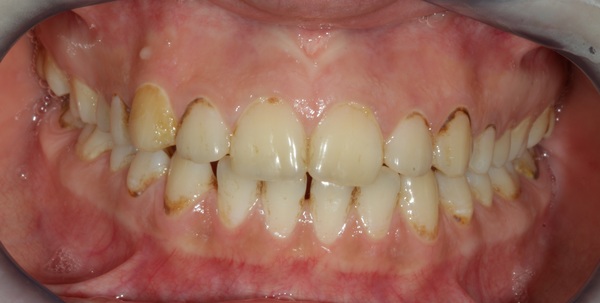
Фото 1. Пятна на зубах, которые остались после после снятия брекетов. Следы на эмали указаны стрелками.
После снятия брекетов многие врачи рекомендуют обработать зубные поверхности фторидами.
Кариес
Возникновению кариеса способствует деятельность бактерий, которые приводят к деминерализации (утрата минералов и солей) эмали и дентина. Эти бактерии всегда имеются во рту, но противостоять их распространению и образованию недуга помогает качественная гигиена. Изделия осложняют чистку, чем служат источником для развития бактерий, а значит и возникновению кариеса.
Перед установкой ортодонтической конструкции пациенты бывают неприятно удивлены, когда с них требуют пролечить все зубы, поражённые той или иной степенью кариеса. Ни один квалифицированный врач не позволит установить брекеты на разрушающиеся зубы.
Фото 2. Кариес на зубах, возникший от брекетов. Он появляется из-за того, что под изделиями скапливаются бактерии.
Белые или тёмные пятна — первый признак заболевания. Зубы достаточно насытить фтором и кальцием. В случае средней или глубокой стадии кариеса следует посетить стоматолога. В лечение кариеса входит удаление поражённой части зуба и дальнейшее восстановление его естественной формы путём пломбирования.
Внимание! После снятия конструкции возникновение недуга может быть спровоцировано отсутствием реминерализации (процесс для восстановления эмали зубов) за всё время её ношения.
Как предотвратить осложнения
Сопротивление механическому воздействию — естественная реакция организма.
Если не принимать меры по фиксации зубов, то они могут вернуться в своё прежнее состояние. Чтобы зубы опять не стали кривыми, используют ретейнеры или ортодонтические капы. Ретейнеры бывают съёмными и несъёмными, не требующие постоянного ношения, их можно снимать на время еды или чистки зубов.
Полезное видео
Посмотрите видео, в котором рассказывается, что нужно делать, чтобы зубы после брекетов опять не стали кривыми.
Заключение
Неоспоримые преимущества брекетов в высокой эффективности и отсутствии противопоказаний по возрасту. Это высокотехнологичный, проверенный временем метод исправления прикуса. Несмотря на ряд последствий и рисков — это лучшее лечение.
Вопрос-ответ
Чем опасно долгое ношение брекетов?
Одним из главных рисков длительного ношения брекетов является стирание и истончение эмали зубов. Дело в том, что сами брекеты, а также дуги, резинки и другие ортодонтические элементы оказывают постоянное механическое воздействие на поверхность зубов. Особенно это заметно в местах крепления брекетов.
Правда ли что после брекетов портятся зубы?
Брекеты не вредят зубам и дёснам — это миф. Убедитесь в этом сами, взглянув на фотографии наших пациентов до и после лечения на брекет-системе. Не откладывайте необходимое лечение из-за необоснованных страхов и заблуждений.
Могут ли брекеты испортить лицо?
Лицо может измениться в области скул, подбородка и челюсти. В зависимости от сложности исправляемой проблемы лицо становится более симметричным и пропорциональным. Основные изменения лица при ношении брекетов: изменение линии подбородка и челюсти.
Советы
СОВЕТ №1
Перед установкой брекетов обязательно проконсультируйтесь с опытным ортодонтом. Он поможет оценить состояние ваших зубов и десен, а также объяснит возможные риски и негативные последствия, связанные с ношением брекетов.
СОВЕТ №2
Следите за гигиеной полости рта. Ношение брекетов может затруднить чистку зубов, поэтому важно уделять особое внимание гигиене, используя специальные щетки и нити для чистки между брекетами, чтобы избежать кариеса и воспаления десен.
СОВЕТ №3
Обратите внимание на свой рацион. Избегайте жесткой и липкой пищи, которая может повредить брекеты или застрять между ними. Это поможет минимизировать риск повреждений и снизит вероятность возникновения дискомфорта.
СОВЕТ №4
Регулярно посещайте ортодонта для контроля за процессом лечения. Это позволит своевременно выявить и устранить возможные проблемы, такие как дискомфорт или неправильное положение зубов, что поможет избежать негативных последствий.







