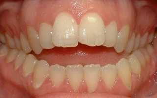
Неправильный прикус — патология смыкания верхней и нижней челюстей. Встречается у 90% населения и иногда незаметна даже для человека с этой патологией.
Если проблему игнорировать, она приведёт к тяжелым последствиям и заболеваниям, даже не связанным с зубами.
Что такое неправильный прикус, его отличия от правильного
Если у человека нарушение окклюзии, то при жевании или в спокойном состоянии челюсти смыкаются вне нормы.
Существует несколько видов отклонений, которые проявляются в той или иной степени, развиваются по разным причинам и приводят к различным последствиям.
При аномальном прикусе, когда человек смыкает челюсть, зубные ряды располагаются по-разному: перекрывают друг друга, нижняя челюсть выступает вперед, они смыкаются перекрестно в горизонтальной плоскости.
Важно! Неправильная окклюзия и кривые зубы — разные проблемы. Неровность зубного ряда приносит эстетический дискомфорт, тогда как первая патология приводит к негативным последствиям работы всего организма.
Решением этой проблемы занимается врач-ортодонт, подбирая наиболее эффективный и оптимальный способ коррекции.
Неправильный прикус — это не просто эстетическая проблема, но и серьезное медицинское состояние, которое может вызывать множество неудобств. Врачи отмечают, что неправильное расположение зубов и челюстей может привести к затруднениям при жевании, что, в свою очередь, негативно сказывается на пищеварении. Кроме того, это может стать причиной хронической боли в челюстях и голове, а также привести к износу зубов. Специалисты подчеркивают, что неправильный прикус также может повлиять на речь и уверенность человека в себе. Важно своевременно обращаться к стоматологу для диагностики и коррекции данной проблемы, чтобы избежать более серьезных последствий в будущем. Правильный прикус не только улучшает качество жизни, но и способствует общему здоровью.

Как определить аномалию: симптомы
Определить правильность окклюзии хотят многие, но нужно понимать, что стопроцентно верный ответ даст только врач-ортодонт. Самостоятельно можно предположить о наличии патологий.
Как понять, что у тебя неправильный прикус? Во-первых, внимательно изучите собственное отражение в зеркале. В норме нижняя треть лица симметрична и пропорциональна.
Во-вторых, обращают внимание на то, насколько удобно жевать пищу. В норме движения зубов имеют, как правило, горизонтальное направление и растирающий характер.
Если преобладают вертикальные раздавливающие движения, значит, зубы смыкаются не так, как положено.
В-третьих, белый налет, который в чрезмерном количестве откладывается на некоторых зубах, свидетельствует о том, что эти зубы не работают и поэтому не самоочищаются.
Способы определения прикуса:
- Сглотнуть слюну, сомкнуть челюсть в спокойном положении и посмотреть в зеркало, разомкнув губы. В норме все зубы соприкасаются.
 - Верхние и нижние передние резцы должны совпадать так, чтобы между ними можно было провести вертикальную черту.
 - Верхние зубы перекрывают нижние не более, чем на треть. При этом край нижних зубов должен соприкасаться с нёбной зоной верхних.
 
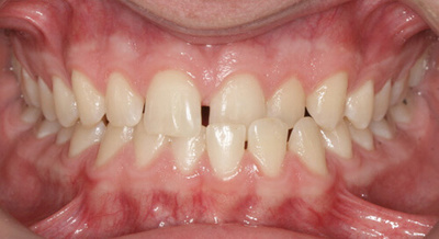
Виды неровного прикуса у человека, что они значат
Выделяют врожденную и приобретенную патологию окклюзии. Первая связана с наследственным фактором или пороками развития внутри утробы. В течение жизни неправильный прикус приобретается из-за вредных привычек в детстве, болезней зубов, травм зубочелюстной системы и других причин.
Внимание! Ребенка нужно регулярно водить на прием к стоматологу, даже до одного года. Так можно своевременно выявить предрасположенность к ортодонтическим проблемам.
Существует классификация по особенностям патологии:
- Глубокий — верхний ряд перекрывает нижний более, чем наполовину.
 - Открытый — между верхним и нижним зубными рядами есть промежуток, края некоторых зубов не соприкасаются.
 - Дистальный — нижняя челюсть недоразвита или слишком развита верхняя.
 - Мезиальный — нижняя челюсть слишком развита или недоразвита верхняя.
 - Перекрестный — с одной стороны, зубы нижней челюсти выступают вперед, с другой — зубы верхней перекрывают нижние.
 - Дистопия — некоторые зубы расположены не на своем месте.
 
При любой из этих аномалий зубы бывают совершенно ровными и красивыми, но их расположение относительно челюстей не соответствует норме.
Неправильный прикус — это не только эстетическая проблема, но и источник множества неудобств. Люди, сталкивающиеся с этой ситуацией, часто жалуются на дискомфорт при жевании, трудности с произношением звуков и даже головные боли. Неправильное расположение зубов может привести к неравномерному распределению нагрузки на челюсть, что со временем вызывает боли в височно-нижнечелюстном суставе. Кроме того, многие отмечают, что из-за неаккуратного прикуса страдает не только здоровье зубов, но и общее самочувствие. Важно понимать, что исправление прикуса — это не только вопрос внешнего вида, но и забота о здоровье. Современные методы ортодонтии позволяют решить эту проблему, улучшив качество жизни и уверенность в себе.

Мезиальный
При этом нарушении нижняя челюсть выпирает вперед. При жевании или при резком открывании рта появляется хруст в челюсти.
Внешне мезиальная или обратная окклюзия проявляется в выпирающем массивном подбородке и вогнутом профиле лица, западающей верхней губе.
Эта аномалия передаётся по наследству от родителей, возникает вследствие родовой травмы и других причин: преждевременной потери молочных зубов, неравномерного стирания молочных зубов одного ряда, затянувшейся смены молочных зубов постоянными, короткой уздечки языка, некоторых болезней.
Открытый
Самая сложная аномалия, при которой, при закрытой челюсти образуется щель между верхним и нижним зубными рядами. Чаще это происходит в области передних зубов.
Из-за патологии нижняя часть лица кажется непропорционально длинной, при смыкании губ лицевые мышцы напряжены, появляются дефекты речи, нарушается функция глотания и жевания.
Справка. Эта патология сложнее поддается лечению.
Открытый прикус чаще появляется из-за долгого использования пустышки, детских вредных привычек (сосание пальца, щек, языка), нарушений носового дыхания, некоторых болезней или наследственного фактора.

Снижающий
Опасное явление, которое становится следствием повышенной стираемости зубов, их травматичности или чрезмерной перегрузки. Проявляется нарушение в виде уменьшения высоты коронок и не служит самостоятельным видом неправильного прикуса. Снижение окклюзии возникает при любом типе прикуса, когда молочные зубы заменили постоянные.
При этой патологии у пациентов появляется боль и неприятные ощущения при движении нижней челюсти, щелканье, скрежет зубов.
Перекрестный
Нарушение связано с вертикальной асимметрией челюсти, в результате чего верхняя или нижняя челюсть смещается в сторону.
Перекрестная окклюзия бывает односторонней, двусторонней и возникает как в передних, так и в боковых зубах.
Внешне аномалия проявляется в выраженной асимметрии лица, сдвигание подбородка в сторону, западание верхней губы.
Факторы, провоцирующие формирование перекрестного прикуса:
- наследственность;
 - неправильное прорезывание зубов;
 - ранняя потеря молочных зубов;
 - неравномерное развитие челюстей и зубных дуг;
 - отиты.
 
Дистальный
Патологию еще называют прогнатией. Дистальный прикус относят к разновидностям глубокого.
Проявляется он недоразвитость одной из челюстей, из-за чего при улыбке или в спокойном положении образуется щель или небольшое смещение.
Причины:
- наследственность;
 - хронические заболевания носа и горла в детстве;
 - серьезные проблемы с дыханием через нос;
 - вредные детские привычки;
 - нарушения осанки;
 - преждевременная замена молочных зубов постоянными.
 
Старческий
Старческая прогения — соотношение беззубых челюстей, которое появляется в пожилом возрасте, когда все или большинство зубов выпадают по естественным причинам.
Важно, что термин «старческий» в отношении прикуса употреблен в переносном смысле. При возрастной окклюзии изменяется соотношение челюстей в трансверзальном направлении. Визуально кажется, что нижняя челюсть стала шире. Это происходит не только тогда, когда зубы выпадают из-за старости, но и при потере зубов по другим причинам в любом возрасте.
Глубокий
Самая распространенная ортодонтическая проблема, при которой противоположные челюсти расположены асимметрично, верхний зубной ряд перекрывает более половины нижнего.
Чаще глубокий прикус передается по наследству, но иногда появляется из-за врожденных деформаций лица, пороков развития, некоторых заболеваний, неправильному развитию зубочелюстного аппарата, ранней потери молочных зубов, вредных привычек и других причин.
Нефиксированный
У каждого зуба есть пара антагонистов, которые помогают осуществлять жевательную функцию. Нефиксированная окклюзия — отсутствие антагонистов.
Низкий
Это редкая аномалия, при которой верхние зубы почти полностью перекрывают нижние.
Влияние патологии на внешность, как выглядят кривые зубы
При неправильном прикусе отмечаются внешние дефекты. Например, если зубы одной челюсти развиты сильнее, нижняя треть лица выглядит грубо, массивно, не «вписывается» во внешность. При нарушениях окклюзии лицо становится асимметричным и даже непривлекательным, со слишком заостренным или, напротив, широким подбородком, опущенными уголками рта и другими чертами.
Важно! При коррекции плохого прикуса лицо приобретает привлекательность, симметричность и пропорциональность.
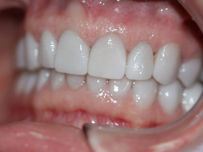
Фото до и после исправления патологии у взрослых
Фото 1. Лицо мужчины при неправильном прикусе (слева) и после исправления патологии (справа).
Фото 2. Молодой человек в профиль при мезиальном прикусе (слева) и после исправления челюстей (справа).
Фото 3. Мужчина до исправления мезиального прикуса (слева) и после излечения патологии (справа).
Полезное видео
Посмотрите видеоотрывок из передачи «Жить здорово», в котором рассказывается о том, что такое неправильный прикус.
Заключение
Неправильный прикус — патология не только стоматологическая. Со временем это приводит к тяжелым последствиям: проблемам костной ткани, желудочно-кишечного тракта, нарушению дикции и полному выпадению зубов.
Аномалии окклюзии поддаются лечению, если оно своевременно. Ребенка показывают стоматологу еще в младенчестве, чтобы врач оценил склонность к нарушениям и состояние челюстей.
В подростковом возрасте исправить неправильный прикус в разы легче, нежели чем во взрослом: костная ткань еще не до конца окрепла, поэтому воздействовать на нее проще. Не стоит затягивать с лечением и обращаться к врачу вовремя.

Лечение

Вопрос-ответ
Что значит неправильный прикус?
Неправильный прикус — это когда зубные ряды челюстей не подходят друг другу идеально при смыкании. Есть несколько видов этой патологии, и все они влияют на красоту улыбки, четкость речи, качество пережевывания еды и работу височно-нижнечелюстного сустава.
Какой прикус считается неправильным?
Прикус считается неправильным, если вы заметили следующие черты: зубы смыкаются неплотно, образуя зазор между верхней и нижней челюстью; полностью или частично отсутствует контакт между резцами или жевательными молярами; одна из челюстей сильно выступает вперед, перекрывая верхнюю.
Что бывает, когда прикус неправильный?
Они становятся причиной дефектов речи, частых респираторных заболеваний, разрушения зубов, в том числе кариесом. Коррекцией прикуса занимается врач-ортодонт. Она может проводиться в любом возрасте.
Советы
СОВЕТ №1
Обратитесь к стоматологу для диагностики. Если вы подозреваете, что у вас неправильный прикус, важно получить профессиональную оценку. Стоматолог сможет определить степень проблемы и предложить подходящие методы лечения.
СОВЕТ №2
Не игнорируйте симптомы. Если вы испытываете дискомфорт, боль в челюсти или трудности с жеванием, не откладывайте визит к врачу. Эти симптомы могут указывать на более серьезные проблемы, которые требуют внимания.
СОВЕТ №3
Изучите варианты лечения. Существуют различные методы коррекции неправильного прикуса, включая брекеты, капы и ортодонтические аппараты. Узнайте о каждом из них, чтобы выбрать наиболее подходящий для вас вариант.
СОВЕТ №4
Следите за гигиеной полости рта. Неправильный прикус может затруднять чистку зубов, что увеличивает риск кариеса и заболеваний десен. Убедитесь, что вы правильно чистите зубы и используете зубную нить, чтобы поддерживать здоровье полости рта.











