Уговорить ребёнка сходить к стоматологу — задача не из легких. Дети готовы терпеть даже самую сильную зубную боль, лишь бы не садиться в кресло и не открывать рот.
Однако родителям важно понимать, что часто боль появляется не от переедания сладкого или привычного кариеса, а свидетельствует о развитии более серьёзного заболевания — пульпита, который у детей, как ни странно, диагностируется чаще, чем у взрослых, и поражает и молочные, и постоянные зубы.
Классификация пульпитов у детей по Т. Ф. Виноградовой
Существует несколько вариантов классификации. Наиболее полно отражает картину заболевания классификация Виноградовой, предложенная в 1987 году. Она выделяет следующие типы детских пульпитов:
- 
Острые пульпиты временных зубов:
- серозный;
 - гнойный;
 - острый с вовлечением в процесс периодонта или лимфатических узлов.
 
 - Острые пульпиты постоянных зубов:
- острый серозный частичный;
 - острый серозный общий;
 - острый гнойный частичный;
 - острый гнойный общий.
 
 - Хронические пульпиты временных и постоянных зубов:
- простой хронический;
 - хронический пролиферативный;
 - хронический пролиферативный гипертрофический;
 - хронический гангренозный.
 
 - Хронические обострившиеся пульпиты временных и постоянных зубов.
 
Важно! Если пульпит вызван деятельностью бактерий и микробов, он может перенестись с больного зуба на здоровый.
Лечение пульпита у детей представляет собой сложную задачу для стоматологов. Врачи отмечают, что детская анатомия зубов отличается от взрослой, что усложняет диагностику и лечение. У детей пульпит может развиваться быстро, и симптомы, такие как боль или отек, могут быть не всегда очевидны. Часто дети не могут точно описать свои ощущения, что затрудняет выявление проблемы на ранних стадиях. Врачи рекомендуют родителям обращать внимание на изменения в поведении ребенка, такие как капризность или отказ от еды, что может быть признаком зубной боли. Регулярные профилактические осмотры у стоматолога помогут выявить пульпит на ранней стадии и избежать серьезных осложнений. Своевременное обращение к специалисту и внимательное отношение к здоровью зубов детей играют ключевую роль в успешном лечении.

Заболевание временных зубов острого характера
Острая форма у детей встречается реже, чем хроническая, но протекает значительно болезненнее. Чаще всего его диагностируют в возрасте 3—6 лет. Ключевым симптомом является сильная боль, усиливающаяся к вечеру и в ночное время, и повышенная чувствительность зубов.
Острый серозный пульпит часто сопровождается реакцией тканей периодонта и регионарных лимфатических узлов.
При таком виде заболевания возникает ощущение, что зуб будто выдвинулся из лунки, он может шататься. Болевой симптом появляется при надавливании пальцем и даже при прикосновении инструментом и языком.
Появление и развитие заболевания происходит быстро — стадия очагового пульпита короткая, ей на смену приходит диффузная. Через 1—3 часа воспаление поражает пульпу корня, а уже через 6—8 часов (максимум — 2 дня) серозный сменяется гнойной формой.
Опасность серозной формы в том, что иногда она протекает незаметно и для родителей, и для самого ребёнка. Он может лишь один раз почувствовать резкую кратковременную боль или чувствительность зуба во время еды. При посещении стоматолога реакции на струю холодной воды, механическое воздействие, перкуссии почти не бывает.
Острый гнойный пульпит сопровождается самопроизвольными приступами пульсирующей боли, иногда боль постоянна и затухает лишь на время. В ночное время признаки усиливаются, зуб становится чувствительным к горячему и холодному. Слизистая отекает, ребёнку кажется, что болит вся челюсть — ему трудно сказать, какой именно зуб болит.
Гнойная форма заболевания возникает из-за скопления в камере пульпы гноя, количество которого постоянно увеличивается. Далее есть два варианта: либо камеру вскрывает стоматолог, либо гнойная область вскрывается сама.
Первый случай наиболее благоприятен для пациента: тогда скопившееся вещество выходит наружу, пульпа начинает восстанавливаться. При самостоятельном вскрытии гнойной области её содержимое попадает в кариозную область, заболевание приобретает хроническую форму.
Справка! Симптоматика острого пульпита может напоминать отравление: головная боль, вялость и слабость, повышение температуры и другие признаки интоксикации.
Остный детский пульпит постоянных зубов: что это такое?
Если корень постоянного зуба у ребёнка полностью сформирован, течение и клиническая картина заболевания почти не отличается от взрослого. В обратном случае пульпит имеет свои особенности.
При остром серозном частичном пульпите ребёнок чувствует внезапно появившуюся неострую боль. Позднее болевой симптом вызывается каким-либо воздействием (еда, механический раздражитель).
Если вовремя не обратиться к врачу, болевые приступы начнут усиливаться вечером и ночью, приобретая постоянный характер. Затем ребёнок чувствует непрерывную боль, которая отдаёт в висок, подглазничную область или область уха, в затылок.
Отличительной чертой острого гнойного пульпита выступает острая боль с иррадиацией по ходу ветвей тройничного нерва, усиление её от горячих блюд и напитков, уменьшение — от холодных. В зубе при этом либо установлена пломба, либо имеется кариозная полость.
Не вылеченная болезнь переходит в хроническую форму.
Лечение пульпита у детей вызывает множество вопросов и опасений у родителей. Многие отмечают, что дети часто не могут точно описать свои ощущения, что затрудняет диагностику. В результате пульпит может развиваться незаметно, и родители не всегда понимают, когда следует обратиться к стоматологу. Важно обращать внимание на такие симптомы, как боль при жевании, повышенная чувствительность к горячему и холодному, а также изменения в цвете зуба. Профилактика играет ключевую роль: регулярные осмотры у стоматолога и обучение детей гигиене полости рта могут помочь избежать серьезных проблем. Родители должны быть внимательны к жалобам детей и не откладывать визит к специалисту, чтобы предотвратить осложнения и обеспечить своевременное лечение.

Хроническая форма болезни. Как ее лечить?
Хронический пульпит не всегда является следствием запущенного острого. Иногда заболевание развивается как первичный процесс. Простой хронический обычно протекает при неглубоком кариесе и обостряется при снижении иммунитета.
При любом типе заболевания ребёнок жалуется на ноющую или тянущую боль, чаще всего вызванную раздражителем. При приёме пищи боль усиливается:
- от холодной и горячей пищи — фиброзный;
 - от горячей пищи — гангренозный;
 - от прикосновения с любой твёрдой пищей возникает острая боль и кровоточивость — гипертрофический.
 
Фиброзная и гангренозная формы могут протекать при вскрытой камере пульпы. Фиброзный отличается тёмно-красным цветом пульпы, которая болит и кровоточит при прикосновении. Для гангренозного пульпита свойственна серо-зелёная пульпа с гнилостным запахом.
Хронический пульпит сопровождается длительным вялым состоянием с приступами острой боли.
Если жидкость, которая скапливается в месте воспаления, не может нормально покидать поражённую полость при простом хроническом пульпите, начинается обострение: окружающие мягкие ткани опухают, воспаляются лимфоузлы, повышается температура. Ребёнок жалуется на общее недомогание и слабость. Постоянная ноющая боль усиливается при нажатии.
Кариозная полость при этом может быть разной глубины, а зубной нерв отличается меньшей чувствительностью, чем при острой форме.
Для диагностики необходимо сделать рентген.
Хронический фиброзный
Особенности протекания заболевания:
- может поражать постоянные и временные зубы;
 - количество соединительнотканных волокон внутри зубных канальцев увеличивается;
 - чувствительность зуба снижается;
 - сопровождается неприятным запахом изо рта;
 - эмаль приобретает серый или серо-зелёный оттенок;
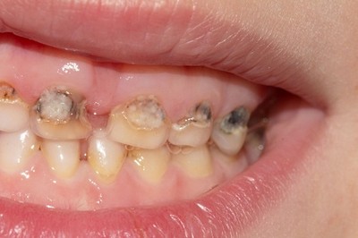
Фото 1. Одним из признаков хронического фиброзного пульпита у детей является подобное изменение цвет эмали, которая приобретает серый оттенок.
 - возможно кровотечение из больного зуба;
 - возможно появление осложнений на дёснах, опухание щеки;
 - образовываются кальциты и дентикли, твёрдый налёт на зубах.
 

Температура и другие симптомы
Общие симптомы у детей:
- Слабая или интенсивная зубная боль разного характера: острая, ноющая, тянущая, усиливающаяся ночью, изменяющаяся (прекращающаяся или усиливающаяся) при нажатии, травмировании, приёме пищи.
 - Повышенная чувствительность зубов при приёме горячего, холодного, кислого, острого, сладкого.
 - Отёк слизистой.
 - Возможно повышение температуры тела до 37—38 градусов.
 - Воспаление местных лимфатических узлов.
 
Лечение
Опасность детского пульпита в том, что его не всегда можно обнаружить вовремя. К примеру, поражение молочных зубов в 65% случаев протекает бессимптомно.
Если всё же ребёнок рассказал о неприятных ощущениях родителям, и они сразу же отвели его к стоматологу, есть шанс предотвратить развитие заболевания и переход его в более тяжёлые состояния (периодонтит, например).
Болезнь невозможно лечить самостоятельно в домашних условиях: полоскание рта отварами трав и использование зубных гелей не поможет. Этим занимается врач-стоматолог. Методика лечения зависит от того, на какой стадии заболевание, на какой стадии развития зубы (молочные, не до конца развившиеся постоянные, постоянные), какой (или какие) зуб поражён и других факторов.
Важно! Для профилактики пульпита и других заболеваний зубов у детей разрешается жевать жвачку 10 минут после еды.
Выделяют две группы методов лечения недуга у детей:
- консервативный;
 - хирургический.
 
Первый подразумевает сохранение пульпы, а при втором обязательно удаление пульпы полностью или частично.
Консервативный метод возможен при остром частичном пульпите и хроническом фиброзном.
Относительными противопоказаниями являются множественный кариес и наличие некоторых заболеваний (обсуждается индивидуально).
Лечение подразумевает удаление кариеса, использование антисептика в поражённой области, применение лечебной пасты и пломбирование кариозной полости. Возможно физиотерапевтическое лечение.
К хирургическим методам относится несколько типов вмешательства (метод витальной ампутации пульпы, витальной экстирпации, девитальной ампутации и др.). Они зависят от типа заболевания и его стадии, возраста ребёнка и других особенностей, которые врач считает показаниями к тому или иному типу оперирования.
Полезное видео
Ознакомьтесь с видео, в котором рассказывается, как происходит лечение пульпита у детей.
Надо помочь ребенку преодолеть страх
Боязнь детьми стоматологов — одна из главных проблем молодых родителей. Дети зачастую не только мучаются от боли и не хотят посетить врача, а ещё и молчат и мужественно терпят её, не говоря ни слова взрослым. Многие стоматологические заболевания не выбирают «жертву» по возрасту, и пульпит часто диагностируется у детей.
Чтобы не допустить появления и развития этого заболевания, иногда достаточно простых мер профилактики: должная гигиена полости рта и профилактический осмотр у стоматолога не реже, чем раз в 4 месяца.
Вопрос-ответ
Как лечат пульпит молочных зубов у детей?
Лечение пульпита молочных зубов у детей обычно включает удаление воспаленной или инфицированной пульпы, после чего зуб заполняется специальным материалом для предотвращения дальнейшего разрушения. В некоторых случаях может быть проведена витальная ампутация, при которой часть пульпы сохраняется. Важно также обеспечить ребенку комфорт и минимизировать страх перед стоматологическими процедурами, что может включать использование местной анестезии и объяснение процесса в доступной форме.
Больно ли лечить пульпит детям?
Родители часто переживают по поводу того, насколько болезненным будет лечение пульпита у детей. Но у докторов детской стоматологии Atribeaute KIDS есть маленький секрет: область вокруг молочного зуба сначала обрабатывается гелем-анестетиком, и только потом вводится местная анестезия. Ребенок не почувствует даже укола.
Сколько по времени лечат пульпит молочного зуба?
Сколько по времени длится лечение пульпита? Лечение обычно занимает от одного до двух посещений (по 30-60 минут каждое). При лёгких формах (обратимый пульпит) возможно лечение за одно посещение.
Как узнать, что у ребенка пульпит?
Симптомы пульпита у ребенка: увеличение лимфатических узлов, отек или припухлость щеки в области поражения, неприятный запах изо рта, гнойные или гнилостные выделения из-под десны или непосредственно из кариозной полости.
Советы
СОВЕТ №1
Регулярно посещайте стоматолога. Профилактические осмотры помогут выявить проблемы на ранних стадиях, что значительно упростит лечение пульпита и снизит риск осложнений.
СОВЕТ №2
Обратите внимание на симптомы. Если ваш ребенок жалуется на боль в зубах, особенно при температурных изменениях или при жевании, не откладывайте визит к стоматологу. Раннее обращение поможет избежать серьезных проблем.
СОВЕТ №3
Обучайте детей правильной гигиене полости рта. Регулярная чистка зубов, использование зубной нити и ополаскивателей помогут предотвратить кариес и другие заболевания, которые могут привести к пульпиту.
СОВЕТ №4
Следите за рационом питания. Ограничьте потребление сладостей и кислых продуктов, которые могут способствовать развитию кариеса и, как следствие, пульпита. Здоровое питание поможет сохранить зубы вашего ребенка в хорошем состоянии.








