Ранние попытки имплантации зубов предпринимались ещё в VI веке до нашей эры. В то время в качестве протезов использовали панцири мидий, обычные и драгоценные камни, дерево и даже зубы умерших людей.
Первые медицинские исследования по поиску наилучших методов и материалов для имплантации зубных протезов начинают датироваться с XVII века. Но имплантаты, как правило, не приживались из-за того, что в то время ещё не существовали качественные антисептики.
История возникновения зубной имплантации в стоматологии
В 1891 году российский учёный Н. Н. Знаменский ввёл термины «имплантация» и «зубной имплантат», а также определил, что вживлять протез лучше не в лунку зуба, а в кость.
В 1952 году шведский учёный Пер-Ингвар Бранемарк выяснил, что имплантаты, изготовленные из титана, легче приживаются и становятся частью костной ткани.
В 1965 — он стал первым человеком, который успешно имплантировал зубы пациенту. Бранемарк проводил исследования в университете Гётеборга и к нему обратился некий Ларрсон Гёста, потерявший все зубы нижней челюсти, имел деформацию подбородка и нёба. Учёный вживил пациенту 4 имплантата и после экспериментального лечения больной перестал испытывать боли и вернулся к полноценной жизни.
Имплантация зубов в современной медицине позволяет делать такую сложную операцию с минимальными рисками.
Имплантация зубов — это современный метод восстановления утраченных зубов, который активно используется стоматологами. Врачи отмечают, что этот процесс включает в себя установку титановых имплантатов, которые служат заменой корня зуба. Стоматологи подчеркивают, что имплантация позволяет не только восстановить эстетический вид улыбки, но и вернуть функциональность жевательной системы.
По мнению специалистов, преимущества имплантации заключаются в долговечности и надежности имплантатов, которые могут служить десятилетиями при правильном уходе. Врачи также акцентируют внимание на том, что процедура минимально инвазивна и проводится под местной анестезией, что делает ее комфортной для пациентов.
Однако стоматологи предупреждают, что успех имплантации зависит от состояния здоровья пациента и соблюдения рекомендаций после операции. В целом, имплантация зубов — это эффективное решение для тех, кто хочет вернуть утраченные зубы и улучшить качество жизни.

Стоматологическая имплантация зубов челюсти: что это такое
Это процедура по восстановлению утраченных зубов, когда в костную ткань челюсти вживляются искусственные опоры, на которые ставят съёмные и несъёмные протезы. В результате имплантации зубов пациент получает протез, который совершенно не отличается от здорового зуба как по внешнему виду, так и по функциональности.
Операция состоит из следующих этапов:
- Консультация стоматолога-имплантолога. Врач опрашивает пациента и изучает состояние его полости рта, чтобы выявить необходимость в имплантации зубов и возможные противопоказания.
 
- Проведение мероприятий по санации ротовой полости. Иногда проводится наращивание костной ткани.
 - Непосредственно имплантация, которую проводит стоматолог-хирург. В костную ткань челюсти вживляется имплантат, который будет служить корнем искусственного зуба. Операция сопровождается местным обезболиванием.
 - Хирург-имплантолог устанавливает формирователь десны, ввинчивая его в имплантат. Функция формирователя заключается в создании углубления в десне, что позволит будущей коронке плотно прилегать к ней.
 - Установка абатмента. После того как десна приняла необходимую форму, ортопед снимает формирователь и устанавливает абатмент — элемент, на который крепится коронка. На этом же этапе создаётся слепок для протезирования.
 - Заключительная стадия операции — установка готовой коронки на абатмент.
 
Внимание! Для проведения операции по имплантации зубов существуют возрастные ограничения. Минимальный допустимый возраст, в котором можно ставить импланты, соответствует моменту, когда завершается формирование костной ткани — 18—21 год.
В максимальном возрасте ограничений нет, значение будет иметь только общее состояние здоровья пациента.
Материалы, применяемые при изготовлении имплантов
Зубные имплантаты чаще всего изготавливают из титанового сплава. Это прочный, но лёгкий материал, который имеет высокую устойчивость к коррозии. Для более качественных изделий используют титан-алюминий-ванадиевый сплав.
Фото 1. Импланты из титанового сплава, установленные на десну. Сверху на стержни надеваются коронки.
А также дентальные имплантаты производят из диоксида циркония. Их преимущество в том, что они не просвечиваются через слизистую оболочку, в отличие от титановых. Но диоксид циркония хуже остеоинтегрируется и поэтому не имеет широкого распространения.
Современная медицина исследует возможность изготовления дентальных имплантатов из титаново-циркониевого сплава, а также из наноструктурированного титана.
Коронки производят в следующих вариантах:
- Металлокерамическая: представляет собой литой металлический каркас, облицованный фарфоровой массой. Каркас может быть выполнен из драгоценных — золото, платина, или недрагоценных — хром, никель, сплавов. Такие коронки отличаются высокой прочностью, эстетичностью и относительно невысокой стоимостью.
 - Керамика с диоксидом циркония. К преимуществам таких коронок относятся: высокие эстетические качества, длительный срок эксплуатации — можно носить более двадцати лет, при изготовлении достигается максимальное соответствие коронки требуемым параметрам — размеру, форме, цвету зуба пациента. Единственный недостаток такого изделия — высокая стоимость.
 - Металлопластмасса: это временные конструкции для эксплуатации не более трёх лет. Состоит такая коронка из металлического каркаса и пластмассы в качестве облицовки. Протезы недорого стоят и их можно легко корректировать прямо в полости рта. К недостаткам относят то, что пластмассе свойственно впитывать различные вещества и протез постепенно может сменить цвет из-за длительного контакта с пищевыми красителями. А также металлопластмассовые коронки довольно хрупкие и могут деформироваться или сломаться при жевании твёрдой пищи.
 
Формирователи десны, как и имплантаты, производят из титана или диоксида циркония.
Имплантация зубов — это современный метод восстановления утраченных зубов, который завоевал популярность благодаря своей эффективности и долговечности. Люди, прошедшие эту процедуру, отмечают, что импланты выглядят и ощущаются как натуральные зубы, что значительно улучшает качество жизни. Многие делятся положительным опытом, подчеркивая, что после имплантации они смогли вернуться к привычной диете и уверенно улыбаться.
Процесс включает в себя установку титанового импланта в челюстную кость, который служит основой для искусственного зуба. Несмотря на некоторые страхи перед операцией, большинство пациентов отмечают, что процедура проходит безболезненно благодаря современным анестезирующим средствам. Важно также отметить, что имплантация требует тщательного ухода и регулярных визитов к стоматологу, что позволяет сохранить здоровье зубов на долгие годы.

Современные методы
Современная стоматология предлагает такие методы имплантации зубов, при которых сама процедура, а также процесс заживления и остеоинтеграции проходят намного быстрее и приносят минимум дискомфорта. Основные методы:
- Экспресс-имплантация. Установка изделия осуществляется без разреза десны, вместо чего делается небольшой прокол, через который врач воздействует на костную ткань. Это стало возможно благодаря разработанным специальным свёрлам. Процедура менее травматична, поскольку на десне не делаются надрезы, соответственно, и по завершении не накладываются швы.
 - Лазерная имплантация зубов. Новейшая технология, является самой бескровной и наименее травматичной. Процедура не предполагает накладывание швов, потому что лазер сразу же прижигает рассечённые ткани. Лазер служит дополнительным антисептиком.
 
Справка. С помощью вышеуказанных методов имплантация одного протеза занимает приблизительно 15 минут. А также значительно снижен риск воспаления тканей из-за отсутствия необходимости в накладывании швов.
- Одномоментная имплантация. Подразумевается установка изделия и коронки сразу же после удаления зуба. Современные технологии позволяют проводить процедуру, не дожидаясь, пока заживёт десна. Вместе с удалением зуба эта манипуляция осуществляется в течение одного посещения врача и занимает не более часа.
 - Имплантация зубов по хирургическому шаблону. Чаще всего применяется, когда необходимо внедрить несколько изделий или восстановить целый зубной ряд. Способ предполагает тщательный процесс планирования процедуры. На основании рентгеновского снимка челюсти пациента создаётся компьютерная 3D-модель, где врач рассчитывает ход ведения операции. Во внимание берётся близость расположения здоровых зубов, корней, нервов. Метод практически исключает вероятность врачебной ошибки.
 
Фото 2. Хирургический шаблон для имплантации. Изделие ставится на десну, тем самым обозначая места установки имплантов.
Показания
- Отсутствие одного зуба при наличии здоровых соседних.
 - Отсутствие нескольких зубов подряд.
 - Отсутствие последних зубов в ряду. Процедура поможет остановить разрушение костной ткани и позволит избежать потери остальных зубов по этой причине.
 - Полное отсутствие зубов (адентия).
 - Невозможность установки съёмных протезов из-за индивидуальной непереносимости.
 

Опасна ли процедура, мнения против неё?
В каких случаях есть риск возникновения осложнений:
- Если перед процедурой не была проведена соответствующая диагностика, которая бы выявила какие-либо противопоказания.
 
- У пациента может проявиться аллергическая реакция на материалы или медикаментозные препараты, которые применяются во время операции.
 - При отсутствии необходимой стерильности возможно занесение инфекции в место внедрения имплантата.
 - Во время имплантации зубов верхней челюсти может быть задета гайморова пазуха. Это вероятно в случае, когда предварительно не производилось наращивание костной ткани. Такое нарушение грозит развитием хронического гайморита из-за постоянного скопления микробов на концах стержней имплантов.
 - Несоблюдение технологии проведения процедуры.
 - Неполное следование рекомендациям врача в послеоперационный период.
 - Последствием может стать отторжение имплантов.
 
Важно! Это происходит крайне редко, поскольку в современной медицине для изготовления имплантов применяются материалы, биосовместимые с костными тканями.
Кроме местного дискомфорта, пациент может испытать ухудшение общего состояния здоровья. Проявляются следующие симптомы:
- Отёк в районе челюсти. Это нормальная реакция после оперативного вмешательства. Для облегчения проявления отёка рекомендуется прикладывать к щеке лёд.
 - Болевой синдром, который может продолжаться до трёх дней. Врач назначает пациенту приём обезболивающих препаратов.
 
- Кровоточивость также считается нормальным явлением в послеоперационный период. Если кровотечения отличаются особой интенсивностью, стоит немедленно обратиться к врачу.
 - Повышение температуры тела. В первые несколько дней после процедуры возможно повышение общей температуры до 37 °C.
 
В чём разница с протезированием
Протезирование — метод по восстановлению утраченных зубов без хирургического вмешательства. Такие изделия могут быть как съёмными, так и несъёмными. Процедуру проводят только при отсутствии 1—2 зубов, поскольку конструкция протеза будет опираться на соседние.
Процедура включает в себя несколько этапов:
- Депульпируются зубы, на которые будет крепиться протез. После этого их вытачивают под будущие коронки.
 - Снимаются слепки и создаются гипсовые модели подготовленных зубов.
 - Готовый протез примеряется, подгоняется и закрепляется.
 
Внимание! Огромный недостаток такого метода в том, что опорные зубы лишаются нерва, значит, становятся мёртвыми. А мёртвые зубы через некоторое время начнут разрушаться.
Плюсы и минусы операции
Преимущества:
- Полное восстановление жевательной функции.
 - Высокие эстетические качества.
 - Установка имплантата не требует стачивания соседних зубов как при классическом протезировании.
 
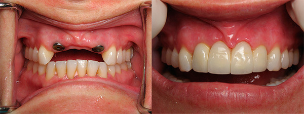
Фото 3. Верхняя челюсть до установки имплантов (слева) и после проведения операции (справа).
Недостатки:
- Дороговизна метода.
 - Поскольку это хирургическая операция, её проведение сопровождается стрессом для организма, так как необходимо использовать анестезию, травмируются ткани и ощущается дискомфорт в первое время после операции.
 
Полезное видео
Посмотрите видеоотрывок из передачи «Жить здорово», в котором рассказывается об особенностях имплантации зубов.
Сравнение до и после: результаты
Результат такой манипуляции отличается высоким качеством и долговечностью. Детали встраиваемой конструкции изготавливаются из биосовместимых материалов, которые хорошо вживаются в костную ткань. Ход процедуры корректируется в зависимости от индивидуальных особенностей пациента. Благодаря этим факторам вероятность неудачного исхода операции сводится к минимуму, потому восстановление утраченных зубов именно при помощи имплантации может стать настоящим спасением.


Виды
Вопрос-ответ
Можно ли удалить все зубы сразу и поставить импланты?
Если же все зубы удаляются сразу, врач может сразу же установить имплантаты. Такой метод называется одномоментной имплантацией: костная ткань сохраняется, а процесс заживления идет одновременно с приживлением имплантатов.
Что лучше ставить при полном отсутствии зубов?
Протезирование на имплантах. Предварительная имплантация при полном отсутствии зубов – наиболее надежный вариант. Во время операции врач одновременно вживляет в челюсть пациента от 4 до 10 опор в виде имплантов. На подготовленные искусственные корни в дальнейшем устанавливают ортопедическую конструкцию.
Можно ли вставить обратно выпавший зуб?
Процедура, связанная с возвращением выбитой зубной единицей на место, называется реплантацией и возможна в таких случаях: если сохранился зубной корень без трещин, соблюдены правила транспортировки, когда выбитый зуб промывается водой и кладется в молоко или физиологический раствор, если нет повреждения челюсти.
Советы
СОВЕТ №1
Перед принятием решения об имплантации зубов, обязательно проконсультируйтесь с опытным стоматологом. Он поможет оценить состояние ваших зубов и десен, а также предложит наиболее подходящий план лечения.
СОВЕТ №2
Изучите различные типы имплантатов и методы их установки. Существуют разные материалы и технологии, которые могут подойти именно вам, поэтому важно быть информированным о всех возможностях.
СОВЕТ №3
Обратите внимание на репутацию клиники и квалификацию специалистов. Читайте отзывы пациентов и проверяйте наличие необходимых лицензий и сертификатов у врачей, чтобы быть уверенным в качестве предоставляемых услуг.
СОВЕТ №4
Не забывайте о постоперационном уходе за имплантами. Соблюдение рекомендаций стоматолога по гигиене полости рта и регулярные осмотры помогут продлить срок службы имплантов и сохранить здоровье десен.








