Удаление восьмёрки происходит сложнее по сравнению с остальными зубами.
Это связано с их расположением и наличием мощных, искривлённых корней.
Последние довольно часто мешают экстракции и даже могут обломаться.
Правильное поведение после извлечения зуба мудрости способствует быстрому заживлению раны и помогает избежать различных осложнений.
Рекомендации перед удалением зуба мудрости
Чтобы операция прошла менее болезненно и легче, хирурги просят пациентов соблюдать ряд правил:
- Приходить на процедуру на сытый желудок (кроме случаев, когда планируется общий наркоз). Так пациент лучше расслабляется, а кровь быстрее сворачивается.
- Удалять восьмёрки утром. В это время организм лучше переносит стрессовую ситуацию. Если экстракция зуба была с утра, к вечеру боль снизится, и человек сможет спокойно уснуть.
- Накануне не употреблять спиртные напитки. Они ухудшают реологические свойства крови, что сопровождается появлением значительных отёков, продолжительных кровотечений.
- Если пациент отмечает сильное волнение, следует выпить седативные лекарственные средства (Пустырник, настойка валерианы, Тенотен).
После удаления зуба мудрости врачи подчеркивают важность соблюдения рекомендаций для минимизации риска осложнений. В первые сутки необходимо избегать физической активности и не трогать место операции. Холодные компрессы помогут снизить отек, а прием прописанных обезболивающих средств облегчит дискомфорт. Врачи настоятельно советуют придерживаться мягкой диеты, исключая горячие, острые и жесткие продукты. Также важно поддерживать гигиену полости рта, но без излишнего давления на область удаления. Регулярные визиты к стоматологу для контроля за процессом заживления помогут выявить возможные проблемы на ранней стадии. Соблюдение этих рекомендаций значительно снижает вероятность осложнений и способствует быстрому восстановлению.

Что происходит с ротовой полостью при его экстракции
Врач отгибает десну и захватывает восьмёрку щипцами. Он совершает вращательные и раскачивающие движения, чтобы извлечь зуб мудрости. Сосуды, питавшие пульпу, повреждаются, что приводит к обильному кровотечению. Нервные окончания передают сигнал о травме. Это сопровождается сильным болевым синдромом, который проявляется по завершении действия обезболивающего средства.
Операция остро воспринимается организмом. Лунка усиленно кровоснабжается. В поражённой области развивается воспалительный процесс: лейкоциты поступают сюда через кровеносные сосуды.
Процедуры, которые нужно выполнять после
Зубы мудрости на верхней челюсти удалять проще и менее болезненно. На нижней челюсти ткань кости плотнее и включает разветвлённую корневую систему. Чтобы избежать неблагоприятных последствий, необходимо строго соблюдать правила.
Удаление зуба мудрости — это распространенная процедура, но многие пациенты беспокоятся о возможных осложнениях. Важно помнить, что соблюдение рекомендаций врача значительно снижает риски. После операции следует уделить внимание уходу за полостью рта. В первые сутки рекомендуется избегать горячей пищи и напитков, чтобы не спровоцировать кровотечение. Холодные компрессы помогут уменьшить отек и дискомфорт.
Не забывайте о гигиене: аккуратно чистите зубы, избегая места удаления, и используйте антисептические растворы для полоскания. Если возникают сильные боли или отек, стоит обратиться к стоматологу. Многие пациенты отмечают, что при правильном уходе процесс восстановления проходит быстро и без осложнений. Главное — следовать рекомендациям и не игнорировать сигналы своего организма.

Действия после экстракции восьмёрки наверху, внизу и на нижней челюсти?
Уход за лункой — один из важных аспектов быстрого заживления раны после такой манипуляции и предупреждения осложнений. Общие рекомендации включают:
- Не совершать высасывающие движения из лунки, чтобы не удалить кровяной сгусток.
- Принимать тёплую мягкую пищу.
- Жевать еду на противоположной стороне зубов.
- Делать промывания антисептическими растворами.
- Принимать все лекарства, назначенные лечащим врачом пациенту.
Внимание! Извлечение восьмёрок, особенно на нижней челюсти, сопровождается сильной болью. В рекомендациях хирурга первым пунктом идёт приём обезболивающих средств.
Первый день
Через 10–20 мин пациент может выплюнуть тампон, установленный хирургом. Раньше это делать не стоит: так можно повредить формирование кровяного сгустка на лунке зуба.
Через полчаса после вмешательства пациенту разрешается принять таблетку обезболивающего. Хирург выписывает такие препараты:
- Найз.
- Нимесил.
- Кеторол.
В течение первых трёх часов необходимо воздержаться от приёма пищи или горячих напитков. Следует убрать активную мимику, чтобы не спровоцировать расхождение швов. Больной должен спать на той стороне, где врач удалил зуб мудрости.

Второй день реабилитации
В это время пациента мучает боль в челюсти, иногда повышается температура до 38°C. Человек может приложить к щеке лёд, завёрнутый в полотенце. Это облегчит его состояние и не допустит обморожение кожи.
Пациенту необходимо следовать рекомендациям врача:
- Есть жидкую пищу: включить в рацион густые кашеобразные супы.
- Исключить горячие и холодные блюда, сладости.
- Принимать назначенные медикаменты.
- Отказаться от полосканий, чтобы дать кровяному сгустку на месте зуба затвердеть. Лучше делать ванночки. Пациенту необходимо набрать в рот травяной отвар или раствор антисептика и держать в течение нескольких минут.
Третий и четвёртый
В этот период происходит формирование грануляционной ткани, из которой образуется новый эпителий. Пациенту следует полоскать рот растворами антисептика (Фурацилин, слабый раствор марганцовки, Мирамистин).
Обычно на 3–4 сутки человек ощущает облегчение. Боль снизилась и приём обезболивающих препаратов можно завершить. Если за это время отёчность щеки не спадает, необходимо проконсультироваться с лечащим врачом.
Состояние через неделю
Через 7 дней после операции соединительная ткань полностью заполнила лунку, начинает формироваться новый эпителий. Если нет отёчности и температуры, пациент прекращает полоскание.
Рекомендуется по-прежнему принимать в пищу нетвёрдые продукты. Блюда не должны быть горячими или холодными. Больной тщательно ухаживает за ротовой полостью, чистит зубы 2 раза в день.
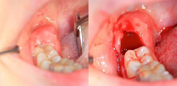
Примеры на фото
Фото 1. Рентгеновский снимок пациента, показывающий, где режется зуб мудрости, и воспаленная десна.
Фото 2. Иногда после удаления зуба мудрости врачи накладывают временные швы на лунку.
Фото 3. До и после операции удаления, кровяной сгусток закрывает открытую рану и защищает лунку
Месяц спустя
В это время эпителий полностью вырос, начинается формирование костной ткани. Десна восстанавливается в течение 3–4 недель после вмешательства.
Пациенту не стоит забывать об уходе за полостью рта. Необходимо тщательно чистить зубы дважды в день, полоскать рот после каждого приёма пищи.
Что делать нельзя?
- Запрещено чистить зубы на протяжении 1–2 суток.
- Не задевать лунку языком, трогать её острыми посторонними предметами или пальцами.
- Не принимать в пищу горячие или чересчур холодные блюда, сладости.
- Не жевать пищу на стороне, где был удалён зуб.
- Не переохлаждаться до полного заживления раны.
- Не греть щеку в области оперируемой лунки.
- Не посещать бани, сауны, не принимать горячую ванну.
- Не употреблять спиртные напитки.
- В первые трое суток не принимать препараты, разжижающие кровь.
Что происходит, если нарушить запреты?
Если пациент недостаточно внимательно относится к своему здоровью, у него могут развиться различные осложнения:
- Воспалительный процесс.
- Отёк мягких тканей щеки.
- Появление гематомы на лице.
- Кровотечение из лунки.
- Затруднение при открывании рта.
- Расхождение швов.
Чистка полости рта
Стоматологи просят соблюдать специальные правила, которые помогают ране быстрее зажить.
Как следует чистить зубы:
- Стараться избегать места экстракции в течение первых трёх дней после операции.
- Желательно совершать небольшие круговые движения. Они должны быть медленными и аккуратными.
- Использовать щётку с мягкой щетиной.
- В первые несколько суток нельзя сплёвывать зубную пасту, чтобы не повредить сгусток на лунке. Лучше прополоскать ротовую полость солевым раствором. По окончании процедуры следует наклонить голову набок и дать жидкости стечь.
- Обязательно чистить язык, чтобы патогенные микробы не попали в лунку.
На третьи сутки рана затягивается, и пациент может приступать чистить зубы обычным способом.
Особенности восстановления со швами
При удалении зубов мудрости хирурги часто проводят эти манипуляции. Для извлечения восьмёрок ему приходится сделать 1–2 разреза на десне. Чтобы лунка быстрее затянулась, врач накладывает швы.
Для процедуры доктор использует рассасывающийся материал. Это позволяет избежать дополнительного травмирования оперируемой области.
Обычно нити в лунке рассасываются около 20–30 суток. Пациенту не придётся обращаться к стоматологу для перевязки и извлечения шовного материала. Он должен посетить врача через 1–2 недели, чтобы убедиться, что операция не спровоцировала осложнения.
Важно! Не стоит самостоятельно пытаться вытащить нити. Подобные действия могут привести к развитию воспаления и кровотечению из лунки.
Дренаж
Во время извлечения восьмёрок хирург устанавливает на рану тонкие резиновые полоски. Это и есть дренаж. Он не даёт лунке затянуться и необходим для выведения гноя, крови из оперируемой области.
Полоска устанавливается на 4–5 суток. За это время больной не должен пытаться её вытащить. Однако в некоторых случаях дренаж самостоятельно выпадает раньше времени. Не стоит волноваться: обычно это не приводит к осложнениям.
На 4–5 день хирург осматривает рану. Если вся патологическая жидкость вышла и отёчность спадает, он убирает дренаж. Затем врач прописывает различные лекарственные средства, которые ускорят регенерацию раны.
Физические нагрузки: можно ли заниматься спортом?
При извлечении восьмёрок целостность сосудов, питающих корень, нарушается. Это может привести к кровотечению.
Если больной получает физическую нагрузку, происходит усиление кровообращения. В травмированных сосудах лунки нарастает давление.
На трое суток пациенту придётся полностью исключить физические нагрузки. В это время запрещается ходить на фитнес, в тренажёрный зал, бассейн и выполнять прочие действия, сопровождающиеся активными движениями.
Профилактика осложнений: общая памятка
Чтобы избежать развития неблагоприятных последствий, пациент должен строго соблюдать все назначения врача после операции.
Общие рекомендации, которые помогут понять, как себя вести после операции:
- Исключить полоскание рта и чистку зубов в первые сутки после хирургического вмешательства.
- Стараться не тревожить рану: не дотрагиваться языком до лунки, не ковырять здесь острыми предметами.
- Не есть в первые два часа после операции.
- Жевать на противоположной удалению стороне в течение трёх суток после удаления восьмёрок.
- Избегать резких температурных перепадов: отказаться от посещения саун, бань, приёма горячей ванны.
- Исключить приём спиртных напитков и твёрдой горячей пищи.
- Применять для полоскания антисептические растворы (Фурацилин, Хлоргексидин, слабый раствор марганцовки).
Полезное видео
Ознакомьтесь с видео, в котором пациент рассказывает про ощущения после удаления зуба мудрости.
Если удалили верхний зуб, то обязательно будут осложнения?
От соблюдения врачебных рекомендаций зависит эффективность восстановления после удаления зуба мудрости. Если пациент невнимательно относится к своему здоровью, могут развиться серьёзные осложнения. Вот почему так важно выполнять все назначения хирурга.
Вопрос-ответ
Как избежать осложнений после удаления зуба мудрости?
Первое время рекомендовано отказаться от употребления очень соленой, острой, твердой или горячей пищи. Это снизит вероятность повреждения кровяного сгустка, а значит, минимизирует риск развития осложнений, и боль после удаления зуба пройдет быстрее. На протяжении 1-2 дней после удаления необходимо не полоскать зубы.
Какой самый тяжелый день после удаления зуба мудрости?
У некоторых пациентов десна болит два-три дня, затем боль постепенно ослабевает и проходит. Если во время операции пришлось сделать разрез, либо было гнойное воспаление десны, боль может беспокоить 5-7 дней. Общий период заживления раны после удаления зуба мудрости составляет 7-10 дней.
Что нельзя делать после удаления зуба мудрости со швами?
Рекомендации после удаления зуба мудрости включают, в первую очередь, полный покой в день после операции. Нельзя делать резких движений, наклоняться, посещать бани и сауны, а также принимать горячую ванну. Запрещается заниматься спортом и выполнять ту или иную работу в наклоне. Оптимальным вариантом будет полный отдых.
Что нужно делать после операции по удалению зуба мудрости?
После операции по удалению зуба мудрости важно соблюдать несколько рекомендаций: не трогать место удаления, избегать физической активности, следить за гигиеной полости рта, но не полоскать рот в первые 24 часа. Рекомендуется прикладывать холодный компресс для уменьшения отека и принимать прописанные врачом обезболивающие средства. Также следует придерживаться мягкой диеты и избегать горячей, острой и твердой пищи в течение нескольких дней. Если возникают сильные боли, отек или другие осложнения, необходимо обратиться к стоматологу.
Советы
СОВЕТ №1
После удаления зуба мудрости обязательно следуйте рекомендациям стоматолога. Это включает в себя прием назначенных обезболивающих и противовоспалительных средств, а также соблюдение режима отдыха. Не игнорируйте указания по уходу за раной, чтобы минимизировать риск осложнений.
СОВЕТ №2
Избегайте физической активности и тяжелых нагрузок в первые несколько дней после операции. Это поможет предотвратить кровотечения и снизить риск воспаления. Лучше всего отдохнуть и дать организму время на восстановление.
СОВЕТ №3
Следите за своим питанием. В первые дни после удаления зуба мудрости рекомендуется употреблять мягкую и теплую пищу, избегая горячих, острых и жестких продуктов. Это поможет избежать раздражения раны и ускорит процесс заживления.
СОВЕТ №4
Обратите внимание на признаки осложнений, такие как сильная боль, отек, гнойные выделения или повышение температуры. Если вы заметили что-то из этого, немедленно обратитесь к врачу для консультации и возможного лечения.









