Существует несколько способов своевременного лечения или предотвращения пародонтоза которые можно осуществлять самостоятельно в домашних условиях. Домашнее лечение эффективно только в том случае, если развитие заболевания было вызвано не правильным уходом за полостью рта, авитаминозом или нарушением кровоснабжения пародонта.
К домашним методам лечения и профилактики пародонтоза относят: массаж десен, ополаскивание ротовой полости, правильное питание и другое. Домашнюю терапию также относят к народным методам лечения. Используют целебные травы, отвары и мази для ускоренного заживления околозубной ткани, укрепления зубов и улучшенного кровоснабжения. Не менее важно подобрать правильную зубную щетку и пасту. Щетка не должна быть с жестким ворсом. Существуют специальные модели зубных щеток разработанные специально для терапии деструктивных изменений в ткани пародонта. В составе зубной пасты не должно быть абразивных частиц, которые могут повредить эмаль зубов.
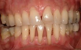
Крайне неприятным последствием пародонтоза является кровоточивость десен. Увеличение межзубных щелей и возникновение подвижности зубов. Оседание десен чревато оголением шеек и корней зубов и возникновению эффекта клиновидных зубов. Болезнь не только сопровождается болезненными ощущениями зубной эмали на термические и химические раздражители, но и существенно снижает самооценку больного. Болевые ощущения мешают полноценному питанию и общению, по утрам усиливается неприятный запах из ротовой полости.
Крайне важной является профилактика и своевременное лечение пародонтоза, осуществлять которые можно самостоятельно. Перед началом домашнего лечения следует проконсультироваться со стоматологом, чтобы выявить причину развития пародонтоза. Домашнее лечение эффективно только в том случае, если причиной развития пародонтоза является неправильный уход за ротовой полостью, авитаминоз или нарушение кровоснабжения пародонта. В случае если заболевание вызвано системными заболеваниями, наследственными факторами или патологическими изменениями в строении челюсти необходимо обратиться за врачебной помощью, ведь самостоятельно исправить неправильный прикус невозможно.
С чего начать лечение?
Терапия деструктивного процесса в околозубной ткани напрямую зависит от зубной пасты и щетки, используемой для гигиенического ухода за ротовой полостью. Основными критериями при выборе зубной пасты является отсутствие в ее составе абразивных частиц, царапающих зубную эмаль и наличие натуральных компонентов, оказывающих противовоспалительное и заживляющее действие.
При выборе зубной щетки следует отдать предпочтение специальным моделям, разработанным для терапии деструктивных изменений в ткани пародонта. Такие зубные щетки имеют длинный мягкий ворс, который не мягко массирует десна.
Врачи отмечают, что домашние методы лечения пародонтоза могут быть полезным дополнением к профессиональной стоматологической помощи, но не заменой ей. Многие специалисты рекомендуют регулярное использование зубной нити и ополаскивателей для рта, содержащих антисептики, чтобы уменьшить воспаление и предотвратить прогрессирование заболевания. Также полезны травяные настои, такие как шалфей или ромашка, которые обладают противовоспалительными свойствами. Однако врачи подчеркивают, что самостоятельное лечение не должно исключать посещение стоматолога. Пародонтоз требует комплексного подхода, и только квалифицированный специалист может назначить необходимую терапию и контролировать состояние десен. Поэтому важно сочетать домашние методы с регулярными осмотрами у врача.

Как улучшить кровоснабжение пародонта?
Массаж десен, который можно проводить самостоятельно, улучшает кровоснабжение околозубной ткани. Проводить процедуру рекомендуется с использование заживляющих гелей, обладающих антибактериальным действием. Для массажа применяют также и растительные масла: масло шиповника, облепихи или пихты.
Для массирования десен можно использовать ирригатор — специальный прибор, которые создает пульсирующую струю жидкости. При помощи пульсирующей струи массируется не только околозубная ткань, но и осуществляется эффективное очищение межзубных промежутков. Для проведения массажа при помощи ирригатора можно использовать как обычную воду, так и аптечные лекарственные растворы.
Ополаскивание ротовой полости
Для выведения остатков пищи и бактерий из полости рта проводят такие процедуры, как полоскания. Ополаскивать ротовую полость можно отварами трав или же готовыми лекарственными растворами. Данные методы свойственны для народной медицины.
Для полосканий следует применять отвары лекарственных трав, обладающие противовоспалительным и обезболивающим действием, снимающие рыхлость десен и укрепляющие эмаль. Можно использовать готовые аптечные сборы или же ополаскивать рот настоями ромашки, зверобоя, шалфея, крапивы, лопуха, коры дуба и прочими.
Помимо полосканий хороший эффект дают ротовые ванночки. Отвар, применяемый для полоскания, набирают в рот и выдерживают в течение 10 минут. Процедуры следует проводить 2 раза в день в течение месяца.
Многие люди, столкнувшиеся с проблемой пародонтоза, обращаются к домашним методам лечения в поисках облегчения и улучшения состояния десен. В отзывах можно встретить разнообразные мнения: кто-то хвалит эффективность полоскания ротовой полости растворами соли или соды, утверждая, что это помогает снизить воспаление и улучшить общее состояние десен. Другие делятся опытом использования натуральных масел, таких как масло чайного дерева, которое, по их словам, обладает антисептическими свойствами. Однако не все согласны с тем, что домашние методы могут заменить профессиональную стоматологическую помощь. Некоторые пользователи подчеркивают важность регулярных визитов к стоматологу, так как только специалист может провести полноценную диагностику и назначить адекватное лечение. В целом, мнения о домашних методах лечения пародонтоза варьируются, и многие рекомендуют сочетать их с профессиональным уходом за полостью рта.

Дарсонвализация
После санации и профессиональной чистки ротовой полости можно проводить такую процедуру, как дарсонвализация. Для проведения физиотерапевтической процедуры в домашних условиях потребуется наличие специального аппарата, предназначенного для местной дарсонвализации. Эта физиотерапевтическая процедура способствует нормализации кровоснабжения десен, снижает чувствительность зубной эмали к воздействию термических раздражителей.
Курс проведения процедуры равен 30 дням. Для терапии пародонтоза, находящегося в третьей-четвертой стадии развития, рекомендуется проводить несколько курсов дарсонвализации (5-6). Между курсами рекомендуется выдерживать месячный перерыв.
Терапия пародонтоза при помощи гелей
Для терапии пародонтоза можно использовать местные лекарственные препараты. Высокую эффективность показывает применение гелей. Они обладают противовоспалительным и обезболивающим действием, они быстро впитываются и их можно применять до 5 раз в сутки. Накладывать аппликацию из геля на пораженную околозубную ткань рекомендуется только после гигиенической чистки или полоскания ротовой полости.

Рацион больного
Замедлить прогрессирование пародонтоза поможет рациональное питание, богатое продуктами, содержащими витамины Р и С. при пародонтозе полезно употреблять в пищу продукты богатые кальцием (кисломолочные и молочные продукты).
Массировать десна можно путем тщательного пережевывания кусочков сырых овощей и фруктов, так как подобный массаж не только стимулирует кровообращение в пародонте, но и способствует снятию отложений с эмали.
Стоит ограничить употребление сладкого и газированных напитков, так как подобные продукты разрушают эмаль. Помимо негативного воздействия на эмаль, остатки сладкой пищи способствуют размножению патогенной микрофлоры и развитию воспалительных процессов в ротовой полости. После употребления сладостей необходимо почистить зубы или прополоскать ротовую полость.
Больному пародонтозом необходимо отказаться от вредных привычек, в частности, от курения. А также ограничить употребление спиртного.
Следует помнить, что предупредить пародонтоз гораздо легче, чем лечить. Основными мерами профилактики болезни является регулярная санация и уход за ротовой полостью, профилактический массаж десен, терапия хронических заболеваний, нормализация гормонального фона и устранение патологических изменений в строении ротовой полости.
Вопрос-ответ
Чем лечится пародонтоз в домашних условиях?
Вылечить пародонтоз помогут полоскания настоями лекарственных трав. Наиболее эффективны ромашка, зверобой, шиповник, аир, девясил и бессмертник. Для приготовления настоя сухую траву (2 столовые ложки) заливают водкой (поллитра) и дают настояться в течение 10 дней.
Какое домашнее средство лучше всего подходит для лечения пародонтоза?
Полоскание соленой водой. Это средство включает полоскание рта тёплой солёной водой несколько раз в день. Солёная вода помогает уменьшить воспаление и раздражение дёсен, а также снизить уровень бактерий в полости рта. Это может помочь уменьшить симптомы пародонтита, такие как кровоточивость дёсен и неприятный запах изо рта.
Какая трава помогает от пародонтоза?
Народная медицина предлагает следующие травы для лечения пародонтоза: шалфей, ромашка, календула, чистотел, зверобой. Они очень хорошо снимают воспаление.
Советы
СОВЕТ №1
Регулярно полощите рот солевым раствором. Растворите половину чайной ложки соли в стакане теплой воды и полощите рот 2-3 раза в день. Это поможет уменьшить воспаление и убить бактерии, способствующие пародонтозу.
СОВЕТ №2
Используйте натуральные антисептики, такие как масло чайного дерева. Добавьте несколько капель масла в зубную пасту или разбавьте его с водой для полоскания рта. Это поможет снизить уровень бактерий и улучшить здоровье десен.
СОВЕТ №3
Увеличьте потребление витамина C, который способствует укреплению десен. Включите в свой рацион цитрусовые, киви, перцы и брокколи. Это поможет улучшить общее состояние полости рта и поддержать здоровье десен.
СОВЕТ №4
Регулярно массируйте десны мягкой зубной щеткой или пальцами. Это улучшит кровообращение и поможет укрепить десны. Будьте осторожны и не применяйте слишком много силы, чтобы не повредить ткани.

