Потеря одного или нескольких зубов для человека — большая утрата, которая сопровождается сильными переживаниями, особенно если такое случилось в молодом или среднем возрасте.
Врачами был разработан выход из этой ситуации — имплант вместо родного зуба, который представляет собой конструкцию, состоящую из нескольких частей.
Вводится в костную ткань челюсти и срастается. Затем делают протезирование при помощи коронки, моста — это распространённая процедура при потере зубов.
Виды имплантов по материалу
Изделия бывают из двух категорий элементов:
- Металла.
- Неметалла.
Врачи-стоматологи уверены, что импланты зубов способны вернуть пациентам не только функциональность, но и эстетику улыбки. Современные технологии и материалы позволяют создавать импланты, которые максимально имитируют натуральные зубы. Специалисты отмечают, что правильный выбор импланта и квалифицированная установка значительно повышают шансы на успешный результат.
Кроме того, импланты способствуют сохранению костной ткани челюсти, что предотвращает деформацию лица и поддерживает его естественные контуры. Врачи подчеркивают важность индивидуального подхода к каждому пациенту, так как успех процедуры зависит от множества факторов, включая общее состояние здоровья и уровень гигиены полости рта.
Таким образом, импланты зубов действительно могут стать надежным решением для восстановления красивой улыбки и уверенности в себе.

Металлические
Чаще всего делают из титана и его сплавов. А также к этим веществам могут добавить оксид циркония и золота. Тогда стоимость конструкции будет дороже.
Преимущества имплантов зубов из титана:
- Хорошая биосовместимость.
- Нет токсического воздействия.
- Быстро и без боли вставляются в кость.
А также изделия создают из сплава хрома и кобальта. Они не срастаются с костью, но обладают хорошей прочностью и не поддаются деформации при воздействии на них. При использовании таких изделий есть риск, что произойдёт выделение солей кобальта и хрома, которые токсичны. В связи с этим цены на эти импланты зубов ниже, чем на титановые.
Справка. На всех изделиях из металлических сплавов образуется оксидная плёнка. Она биотолерантна, образует капсулу из соединительной ткани вокруг импланта.
Сталь тоже металл, из которого делают имплантацию. По цене они доступнее других вышеперечисленных, удобные и простые в установке. После фиксации, в случае необходимости, можно провести их коррекцию, что не свойственно другим видам.
Титановые
Титан и его сплавы представляют собой наиболее распространённый вариант изготовления имплантов зубов.
Фото 1. Процесс установки металлических имплантов на передние зубы. После введения стержней десна сшиваются.
Всё дело в положительных свойствах металла:
- Высокая прочность и лёгкость.
- Хорошая устойчивость к коррозии и окислению.
- Наличие биологической совместимости.
Важно! Титан обеспечивает изделию хорошую теплопроводность и лёгкость. Поэтому происходит быстрое привыкание конструкции к организму и новый зуб ощущается не как инородный.
Для совершенствования конструкции при её приготовлении к титану добавляют сплавы молибдена или тантала. Это повышает прочность импланта зуба и его скорость адаптации.
Однако, есть ограничение, при котором изделия из такого металла ставить нельзя. Это наличие аллергии на элемент.
Импланты зубов стали настоящим прорывом в стоматологии, и многие люди делятся своими впечатлениями о том, как они изменили их жизнь. Для большинства пациентов установка имплантов — это не только восстановление утраченных зубов, но и возвращение уверенности в себе. Многие отмечают, что после процедуры они стали улыбаться чаще и свободнее, не стесняясь своего внешнего вида.
Однако не все отзывы однозначны. Некоторые люди выражают опасения по поводу стоимости и длительности процесса, а также возможных осложнений. Тем не менее, большинство согласны с тем, что преимущества имплантов значительно перевешивают недостатки. Они подчеркивают, что импланты выглядят и ощущаются как натуральные зубы, что позволяет им наслаждаться любимой пищей и общением без ограничений.
Таким образом, несмотря на разные мнения, многие уверены: импланты действительно способны вернуть не только улыбку, но и радость жизни.

Неметаллические керамические
А также для изготовления имплантов производители используют неметаллические вещества, к примеру, керамику.
Такие конструкции инертны, биосовместимы, но их прочность невысокая. В этом они уступают первому виду конструкций.
Фото 2. Все части керамического импланта. Изделие белого цвета, выглядит как настоящий зуб.
Чаще всего изготавливают элементы из искусственного сапфира. Их особенность в том, что поверхность пористая.
Внимание! Некоторые производители совмещают титан и керамику. Из первого создают основу, а из второго — покрытие. Эта комбинация делает искусственный зуб прочным и биоинертным.
Как выглядят изделия: их строение
В настоящее время производятся изделия разного типа, поэтому у пациента всегда есть хороший выбор. Если разбирать их строение, то оно одинаковое. Каждый искусственный зуб состоит из:
- Головки или абатмента. Расположена эта часть над шейкой, служит местом для фиксации различных элементов. Абатмент делают закручивающимся, фиксируемым на замок.
- Шейки. Расположена она между телом и головкой, имеет контакт со слизистой оболочкой десны.
- Тела. Представляет собой основу для закрепления головки и шейки импланта, поэтому его вводят в костную ткань.

Размеры изделий
Бывают различные. Так, наряду с обычными, существуют также и мини-изделия, которые используются в случаях, когда классические не подходят.
Размеры штифта могут быть от 6 до 16 миллиметров в длину.
В каждом случае имплант зуба подбирается индивидуально. В расчёт принимаются следующие особенности:
- Объём, масса костной ткани в той части, где будет устанавливается штифт.
- Межзубное расстояние.
- Наличие искривления зубного ряда.
- Индивидуальные черты строения челюсти.
Особенности применения зубных имплантов
Процесс постановки изделий имеет свои особенности в зависимости от того, какой зуб надо заменить.
На коренные жевательные зубы
Эти зубы выполняют важную роль, именно от них зависит насколько тщательно будет измельчена пища. Особая нагрузка приходится на боковую сторону зубов.
Справка. Учёные выяснили, что челюсть человека выдерживает до 30—50 кг. Но такое возможно при здоровых зубах.
Только при наличии всех 20 жевательных зубов можно говорить, что их функция выполняется в полной мере.
Несмотря на то что моляры наиболее прочные, именно они в большей мере подвергаются разрушению.
Их плотное расположение создаёт труднодоступные для чистки места и почву для развития бактерий.
При фиксации импланта на коренные жевательные зубы следует обратить внимание на такие моменты:
- Если утраченный зуб находился вверху, то при постановке искусственного зуба стоит быть внимательным с гайморовыми пазухами, расположенными поблизости. Часто требуется проведение синус-лифтинга.
- Расположение нижних жевательных более простое, поэтому и их замена проходит легче. Но обращать внимание нужно на количество костной ткани. Если её мало, то врачу придётся прибегнуть к пластике.
Адаптация искусственных нижних зубов проходит быстрее, чем верхних. Для нижних этот процесс составляет 3 месяца, а для верхних — в 2 раза дольше.
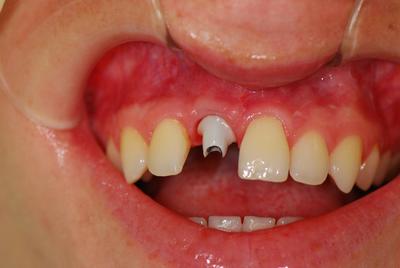
Лечение переднего зубного ряда
Передние зубы находятся в видимой зоне, поэтому любые нарушения, связанные с ними, доставляют пациенту немало переживаний.
При вставлении импланта важно учитывать особенность этих зубов: их предназначение не в жевании, поэтому они не нуждаются в максимальной прочности. Таким образом, из-за специфики расположения, акцент делается на эстетической составляющей.
Фото 3. Верхняя челюсть пациента до имплантации зубов (слева) и после проведения операции (справа).
Чаще всего имплантация проходит при помощи циркония, так как он биологически совмещается с материалом и не взаимодействует с тканями. Титанические же изделия способны изменить цвет десны и место контакта коронки и десны.
Особенности имплантов передних зубов:
- Маленький диаметр.
- Специальная конструкция резьбы.
Если учитывать эти особенности, то в процессе постановки сохранится максимальный объём костной ткани, не будет травм дёсен, приживание пройдёт быстрее.
Бывает ли временная имплантация, в каких случаях это применяется
Помимо постоянных, бывают и временные изделия, которые используют так же, как и постоянные, пока они приживаются в костной ткани.
Их ставят с целью обеспечить пациенту обычный ритм жизни, а также не позволить костной ткани уменьшаться в области постоянного изделия.
Внимание! Временный имплант представляет собой лёгкую конструкцию, которую не рекомендовано использовать длительное время.
Устанавливать такую конструкцию можно не во всех случаях. Так, процедура запрещена, если:
- Имеется недостаточная высота костной части альвеолярного отростка.
- Есть выраженная атрофия костной ткани.
Такие противопоказания связаны с тем, что хоть временные импланты зубов и прикрепляются более поверхностно, но в их установке используют специальное сверло.
В условии, если временное изделие приживается к моменту его смены, то при невозможности удаления, имплант оставляют. Таким образом, он становится постоянным.
Возможно ли использовать один протез на два зуба
В таких случаях придётся ставить отдельно изделие на каждый зуб. Но можно установить изделия и не на все недостающие зубы. Эта процедура проходит при помощи моста. Например, если нет трёх зубов, то можно поставить на каждый имплант или установить два изделия и мостовидный протез на них.
Чем опасны протезы, могут ли принести вред
Осложнения бывают, если нарушены правила со стороны врача или пациента, а также из-за особенностей организма человека. К ним относятся:
- Специалист во время процедуры не учёл список противопоказаний.
-
Врач неточно определил объём, качество костной ткани.
- Не соблюдение сроков между вживлением титанового стержня и установки верхней части протеза.
- Нарушение асептических и антисептических требований, инфицирование.
- Поставили некачественную конструкцию.
- Неправильно подобрали форму или разновидность имплантата.
- Не соблюдение гигиены в послеоперационный период.
- Пациент не посещал дополнительные консультации.
- Были нарушены сроки посещения врача.
Плюсы и минусы, мнения за и против процедуры
Преимущества имплантов:
- Длительное время использования. Так, штырь из титана вечен, так как срастается с костью. В замене он не нуждается, меняют только коронки при их стачивании и появлении трещин. Такие ситуации могут появиться спустя десять лет ношения.
- Вставление искусственного зуба проходит без повреждения других. Не нужно удалять рядом стоящие зубы, пломбировать их. Как только на шуруп насаживается коронка, имплантат давит на челюсть, берёт на себя часть жевательной нагрузки и, следовательно, снижается давление на другие зубы.
- Эстетичность. Цвет коронки подбирается с максимальной точности, поэтому не отличается от других зубов.
-
Нет вероятности застревания остатков пищи, что значительно повышает степень гигиены. Закрепление импланта происходит так, что его края закрываются дёснами.
- Возможность восстановления всего зубного ряда. Для этого не придётся вкручивать все штифты. Врач проделывает вкручивание через определённые промежутки, а коронки соединяет незаметными мостами.
Недостатки имплантов:
- Во время процедуры происходит нарушение целостности костной и мягкой ткани, повреждение слизистой оболочки и нервных окончаний. В связи с этим появляется отёк, а человек ощущает боль.
- Штифт не прижился. При определённых особенностях иммунной системы пациента или индивидуальной непереносимости любых металлов возможен неблагоприятный исход — отторжение штифта. К группе риска относятся курящие люди, потому что никотин способен спровоцировать такую отторгающую реакцию организма.
- Период приживления составляет полгода.
- Риск повреждения гайморовых пазух при работе с верхними зубами.
- Высокая стоимость процедуры.
- Имеются противопоказания к проведению: наличие сердечно-сосудистых заболеваний, болезни щитовидной железы и печени.
Полезное видео
Посмотрите видео, в котором демонстрируется процесс установки импланта зуба.
Заключение
Ставить или нет имплант — выбор каждого человека. Современные технологии предоставляют такие варианты, что изделие полноценно ощущается как родной зуб и выполняет все функции.
Вопрос-ответ
Могут ли зубные имплантаты восстановить форму лица?
Зубные имплантаты, как правило, положительно влияют на форму лица и могут восстановить его структуру, выравнивая челюсть и обеспечивая баланс. Например, зубные имплантаты могут помочь предотвратить потерю костной массы, поддержать структуру лица и сохранить естественный и молодой вид ваших черт.
Как меняется лицо после имплантации зубов?
Как именно меняется лицо после имплантации зубов? После того как имплантация успешно проведена, пациенты отмечают: вертикальные изменения, уменьшение высоты нижней трети лица, поднятие уголков губ, уменьшение выраженности носогубных складок. Горизонтальные изменения.
Что будет с зубными имплантами в старости?
Основными проблемами, мешающими процессу вживления импланта или его стабилизации в кости, являются: сниженный иммунитет. С каждым годом состояние иммунной системы ухудшается. Клетки крови, участвующие в образовании факторов иммунитета, теряют активность и вырабатываются организмом со сниженной интенсивностью.
Советы
СОВЕТ №1
Перед установкой зубных имплантов обязательно проконсультируйтесь с опытным стоматологом. Он поможет оценить состояние ваших зубов и десен, а также предложит наиболее подходящий план лечения.
СОВЕТ №2
Изучите различные виды имплантов и технологий их установки. Существуют разные материалы и методы, и выбор правильного импланта может значительно повлиять на конечный результат и долговечность.
СОВЕТ №3
Не забывайте о постоперационном уходе. Соблюдение рекомендаций врача по уходу за имплантами и регулярные визиты к стоматологу помогут сохранить вашу улыбку на долгие годы.
СОВЕТ №4
Обсудите с врачом все возможные риски и осложнения, связанные с установкой имплантов. Знание потенциальных проблем поможет вам лучше подготовиться и снизить уровень стресса перед процедурой.









