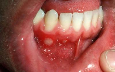
Стоматит – заболевание слизистой оболочки ротовой полости. Воспаление может иметь один или несколько очагов.
На начальных стадиях стоматит протекает достаточно легко, но она опасна тем, что может преобразоваться в афтозную, герпесную или кандидозную форму заболевания, для лечения которой потребуется приём сильнодействующих препаратов.
Причины возникновения стоматита у взрослых и его симптомы
Стоматит проявляет себя язвочками и пузырьками на внутренней поверхности рта, губ и щёк. Толчком к возникновению стоматита может послужить:
- недостаточно тщательная гигиена полости рта;
- наличие зубного камня и налёта;
- использование некачественных щёток и паст;
- кариес;
- неграмотно выполненные стоматологические процедуры;
- дисбактериоз;
- приём антибактериальных, химиотерапевтических и противоэпилептических препаратов.
Важно! Большое влияние на возможность возникновения стоматита оказывает наследственность и состояние иммунитета.
Врачи отмечают, что лечение стоматита народными средствами может быть эффективным, но требует осторожности. Многие пациенты используют такие методы, как полоскания солевым раствором, отварами трав или медом. Эти средства могут облегчить симптомы, такие как боль и воспаление, благодаря своим антисептическим и противовоспалительным свойствам. Однако специалисты подчеркивают, что народные методы не всегда способны устранить причину заболевания. Важно помнить, что стоматит может быть вызван различными факторами, включая инфекции, аллергии и дефицит витаминов. Поэтому, прежде чем прибегать к домашним средствам, рекомендуется проконсультироваться с врачом. В некоторых случаях может потребоваться медикаментозное лечение для достижения наилучших результатов.

Лечение воспаления во рту народными средствами в домашних условиях
Если нет возможности обратиться к врачу быстро, тогда можно воспользоваться народными средствами для облегчения состояния.
Как лечить настойкой прополиса
При стоматите применяется в двух вариантах: для полоскания и для примочек.
Для обеих процедур препарат нужно разбавить – на стакан тёплой воды 15 – 20 г настойки. Полоскания или примочки необходимо делать в течение месяца.
Плюсы:
- прополис способен повышать местный иммунитет в тканях, благодаря чему не будут возникать рецидивы болезни.
Минусы:
- длительный курс лечения.
Важно! В большинстве случаев применение этого средства не приводит к каким-либо побочным эффектам, но если имеется непереносимость хвои, тополиного пуха или есть предрасположенность к экземе, от использования настойки прополиса при стоматите лучше отказаться, во избежание тяжёлой аллергической реакции.
Многие взрослые, столкнувшиеся с стоматитом, ищут способы облегчить свои симптомы с помощью народных средств. Отзывы пользователей варьируются: некоторые утверждают, что простые рецепты действительно помогают. Например, полоскания раствором соли или соды, а также использование отваров ромашки и календулы часто упоминаются как эффективные методы. Люди отмечают, что такие средства могут уменьшить воспаление и ускорить заживление. Однако не все согласны с их эффективностью. Некоторые считают, что народные методы лишь временно облегчают состояние, но не устраняют причину заболевания. Важно помнить, что перед применением любых домашних средств стоит проконсультироваться с врачом, особенно если симптомы не исчезают.

Методы с использованием сильнодействующих трав: кора дуба, шалфей, календула
Из трав готовят отвары. Самые распространенные: ромашка, шалфей, календула, кора дуба.
Ромашка
Это природное лекарственное средство позволит снять воспалительный процесс, уничтожить микробы, поразившие слизистую рта и заживить язвочки, предотвращая образование гноя на ранках.
Плюсы лечения стоматита ромашкой в том, что раствор для полоскания имеет приятный вкус и мягко воздействует на слизистую. К минусам метода можно отнести тот факт, что ромашковые настои и отвары способны вылечить только очень лёгкую степень заболевания.
Для терапии при стоматите используется настой или отвар ромашки.
Рецепт:
- столовую ложку сухих соцветий залить стаканом кипятка;
- полученный раствор оставить настаиваться 15 – 20 минут;
- спустя время, настой процедить через сложенную в четыре слоя марлю.
Полученным лекарственным составом необходимо полоскать рот в течение всего дня с интервалами в 2 – 3 часа, а также после каждого приёма пищи.
Важно! Для лечения стоматита используют только свежий раствор, поэтому готовить его необходимо каждый день.
Рецепт отвара:
- чайную ложку засушенных цветков ромашки поместить в эмалированную ёмкость и залить стаканом кипятка;
- в течение пятнадцати минут держать жидкость на водяной бане;
- спустя необходимое время добавить воды так, чтобы общий объём отвара составил 200 мл;
- оставить настаиваться на 30 минут.
Отвар использовать в остывшем виде. Полоскать рот 3 раза в день через 15 – 20 минут после еды. Курс лечения – 3 недели.

Шалфей
Настой из шалфея способен помочь в борьбе со стоматитом, благодаря антисептическим свойствам растения.
Для приготовления настоя 1 ст. л. травы шалфея залить стаканом кипятка и дать настояться 3 – 4 минуты.
Полученный настой процедить, охладить и полоскать им рот несколько раз в день.
Плюсы:
- мягкое и одновременно эффективное воздействие.
Минусы:
- часто возникающая индивидуальная непереносимость, так как шалфей богат эфирными маслами и имеет специфический аромат.
Календула
Календула известна антибактериальными свойствами и на начальных стадиях весьма эффективна в борьбе со стоматитом.
На стадии, когда болезнь уже дала осложнения, календула в комплексной терапии значительно ускорит процесс выздоровления.
Для терапии при стоматите используется спиртовая настойка или высушенная трава.
Лечение с применением спиртовой настойки проводится следующим образом:
- в половине стакана чистой воды растворяют половину чайной ложки настойки;
- полощут полученным составом рот через каждые три часа;
- процедуру повторяют до полного выздоровления.
Отвар из сухой календулы готовится по следующей схеме:
- 10 г цветков заливают стаканом кипятка;
- ставят на медленный огонь на десять минут;
- снимают с огня и оставляют настаиваться на 2 – 3 часа;
- полоскание лечебным составом проводят утром и вечером, результат будет заметен спустя неделю.
Плюсы:
- состав для полоскания приятен на вкус;
- действует мягко.
Минусы:
- эффективность гарантирована только на начальной стадии заболевания.
Кора дуба
Вылечить стоматит можно при помощи настоя или отвара коры дуба.
Отвар обладает более выраженным эффектом и может рекомендоваться для терапии уже развившегося заболевания. Для начальной стадии стоматита подойдёт настой.
Ингредиенты:
- 2 столовые ложки измельчённой коры дуба;
- 2 стакана кипятка.
Рецепт отвара: поместить кору дуба в стеклянную или эмалированную ёмкость, залить водой и поставить на водяную баню или слабый огонь. Подержать 5 – 7 минут, снять с огня и остудить.
Готовый отвар процедить, долить водой до первоначального объёма и использовать для ежедневных полосканий вплоть до полного исчезновения симптомов.
Такой метод лечения можно отнести к сильнодействующим.
Плюсы:
- быстрое облегчение болевых ощущений.
Минусы:
- неприятные вяжущие ощущения во всей ротовой полости после процедуры полоскания.
Важно! Отвар дуба может окрашивать зубную эмаль, поэтому спустя 15 – 20 минут после полоскания отваром, можно прополоскать рот обычной кипячёной водой.
Рецепт настоя:
- 2,5 ч. л. измельчённой коры дуба залить двумя стаканами кипятка;
- накрыть крышкой, обернуть плотной тканью или полотенцем;
- оставить до полного остывания;
- готовый настой процедить и применять для полоскания.
Как быстро вылечить простым способом: солью и содой
Устранение стоматита при помощи соды и соли можно отнести к сильнодействующим методам, плюсы которого заключаются в быстром получении терапевтического эффекта. В качестве минуса можно отметить неприятный вкус состава для полоскания и болезненность процедуры.
Фото 1. С помощью простых ингредиентов – соли и соды, можно сделать эффективный раствор, который активно подавляет бактерии, противодействует кислоте и снимает отеки.
Растворённая в небольшом количестве (на кончике ножа) сода в стакане тёплой воды, устраняет проявления стоматита, благодаря тому, что:
- активно подавляет размножение патогенных бактерий в полости рта;
- гидрокарбонат натрия противодействует кислоте, позволяя в кратчайшие сроки восстановить поражённые ткани;
- раствор соды снимает отёки и устраняет болевые ощущения;
- после процедуры полоскания на слизистой образуется барьер, предотвращающий размножение болезнетворных организмов.
Усилить целебные свойства раствора можно, добавив в него чайную ложку соли. Полоскания при стоматите проводить несколько раз в течение дня.
Как действует алоэ
Алоэ – растение с ярко выраженными бактерицидными свойствами, благодаря чему способно в кратчайшие сроки излечить очаги воспаления на слизистой рта.
Это сильнодействующий метод лечения стоматита, безусловный плюс которого – быстрота исцеления. К минусам можно отнести только то, что это растение не всегда имеется под рукой.
Терапия с применением алоэ предусматривает прикладывание тампонов, пропитанных соком растения, на поражённые участки. Если нет сильных болей, можно просто жевать кусочки листьев.
Полностью победить заболевание можно уже через пару недель.
Овощи при стоматите
Эффективным средством в борьбе с проявлениями стоматита считается сок моркови и белокочанной капусты.
Чтобы приготовить состав для полоскания, необходимо взять 1 стакан сока моркови или капусты и смешать со стаканом тёплой кипячёной воды.
А также облегчить симптомы поможет кашица из тёртого картофеля, которую следует прикладывать к язвочкам и ранкам не менее трёх раз в день.
Хорошо зарекомендовал себя в лечении стоматита чеснок. Он угнетает патогенную микрофлору, провоцирующую развитие болезни.
Важно! Нельзя прикладывать к поражённым местам чеснок в чистом виде или его сок, так как это вызовет ожог и ещё больше усугубит болезненные проявления. Чтобы делать компрессы, чеснок рекомендуется смешивать с кефиром, мёдом и кофе.
Плюсы:
- доступность.
Минусы:
- на эффективность можно рассчитывать только на ранних стадиях.
Споры о мёде
Мёд – признанное бактерицидное средство. Но официальная и народная медицина в вопросе возможности лечения стоматита мёдом не приходят к единому мнению.
Врачи считают, что мёд вызывает приток крови к тканям и запускает процесс развития бактерий в зоне поражения с удвоенной силой.
Кроме того, специалисты советуют исключить продукты пчеловодства даже из рациона, чтобы процесс заживления тканей шёл как можно быстрее.
Народная же медицина придерживается мнения, что антибактериальные свойства мёда неоспоримы и потому его использование способно излечить стоматит в кратчайшие сроки.
Чтобы приготовить целебный раствор для полоскания при стоматите, в стакане воды нужно растворить чайную ложку мёда. Полученный состав рекомендуется держать во рту не менее пяти минут и проводить процедуру три раза в день.
Плюсы:
- лекарство приятно на вкус.
Минусы:
- непредсказуемая реакция организма.
Важно! Применение мёда в терапии стоматита является спорным. Во избежание возникновения аллергии или осложнений, перед тем как использовать этот метод, следует обязательно проконсультироваться с врачом или же отдать предпочтение иному способу борьбы с заболеванием.
На что способен чайный гриб
Чайный гриб успешно справляется со стоматитом и воспалениями полости рта. Если это ценное бактерицидное средство оказалось под рукой, то обязательно следует полоскать рот его настоем, не реже одного раза в 30 – 60 минут.
Плюсы:
- настой приятен на вкус;
- благодаря содержанию целебных компонентов, оздоравливает всю полость рта.
Минусы:
- чайный гриб достаточно сложно приобрести.
Полезное видео
Посмотрите видео, в котором рассказывают, как лечить стоматит дома.
Смягчить симптомы болезни
Любые народные средства при терапии стоматита актуальны лишь на начальной стадии заболевания и должны принести облегчение сразу же. Если дискомфорт в полости рта длится дольше двух дней необходимо обязательно обратиться к врачу. Он назначит эффективное лечение, где рецепты народной медицины также будут присутствовать, но уже как часть комплексной терапии. Это поможет избежать осложнений при стоматите и значительно ускорит выздоровление.
Вопрос-ответ
Чем быстро вылечить стоматит народными средствами?
Для быстрого лечения стоматита народными средствами можно использовать полоскания раствором соли и воды, отварами ромашки или шалфея, а также соком алоэ. Эти средства обладают противовоспалительными и антисептическими свойствами, что помогает уменьшить боль и ускорить заживление. Также рекомендуется избегать острых и кислых продуктов, чтобы не раздражать слизистую оболочку.
Какое самое эффективное средство от стоматита у взрослых?
Лучшее средство от стоматита у взрослых – то, которое подбирается в зависимости от формы стоматита. При герпетической форме назначают препараты «Ацикловир» и «Зовиракс». При болезни грибковой природы эффективны мази от стоматита для взрослых: «Микозан», «Леворин», «Нистатиновая».
Что категорически нельзя при стоматите?
Прежде всего, важно отказаться от блюд и продуктов, раздражающих слизистую оболочку — острых, соленых, с большим количеством специй. От сухой пищи, грубых и жестких продуктов тоже придется отказаться, так как они будут усиливать болевые ощущения.
Как сделать так, чтобы стоматит прошел быстрее?
Ускорить заживление поможет отвар ромашки. При бактериальной форме отличный эффект оказывает облепиховое масло. Также можно использовать для обработки мирамистин или хлоргексидин. При выраженной боли, доставляющей дискомфорт, нужно применять обезболивающие средства для местного воздействия.
Советы
СОВЕТ №1
Перед использованием народных средств для лечения стоматита обязательно проконсультируйтесь с врачом. Это поможет избежать возможных осложнений и убедиться, что выбранный метод безопасен для вашего здоровья.
СОВЕТ №2
Попробуйте полоскания на основе травяных настоев, таких как ромашка или шалфей. Эти растения обладают противовоспалительными и антисептическими свойствами, что может помочь облегчить симптомы стоматита.
СОВЕТ №3
Обратите внимание на свою диету. Избегайте острых, кислых и жестких продуктов, которые могут раздражать слизистую оболочку рта. Употребление мягкой и питательной пищи поможет ускорить процесс заживления.
СОВЕТ №4
Регулярно поддерживайте гигиену полости рта, используя мягкую зубную щетку и неагрессивные зубные пасты. Это поможет предотвратить дальнейшее раздражение и распространение инфекции.











