Воспалительный процесс в околозубной ткани называют пародонтитом. Пародонтит бывает локализованным и генерализованным. Генерализованный пародонтит характеризуется комплексным поражением всех слоев пародонта. Если вовремя не начать лечение заболевания существует риск полной потери зубов.
Причины возникновения заболевания бывают как локальными так и общими. К локальным факторам относят патологии зубочелюстной системы – неправильный прикус, мелкое преддверье или аномалию уздечки; недостаточная нагрузка на зубной ряд (привычка жевать только с одной стороны), образование над- и поддесневых отложений, активация пародонтогенной микрофлоры вследствие снижения местного иммунитета. Общие причины генерализованного пародонтита являются системные заболевания, заболевания крови, болезни внутренних органов, отсутствие в рационе твердой пищи, плохая экология, а также вредные привычки и ожирение.
Генерализованный пародонтит — это воспалительный процесс, протекающий в околозубной ткани. Пародонтит генерализованного типа — это достаточно сложное стоматологическое заболевание. Болезнь, если ее вовремя не лечить, может стать причиной тотальной потери зубного ряда и полной деструкции костной ткани.
Генерализованный пародонтит характеризуется комплексным поражением всех слоев пародонта.
Этиология болезни
Причины генерализованной формы пародонтита могут быть как локальные, так и общие факторы. К локальным причинам развития генерализованного воспалительного процесса относят:
- патологии в строении зубочелюстной системы (неправильный прикус, аномалии уздечки, мелкое преддверье);
 - некорректное оказание стоматологических услуг;
 - усиленное образование над- и поддесневых отложений;
 - недостаточная нагрузка на зубной ряд и челюсть больного, вследствие неправильного расположения зубов или привычки жевать пищу только с одной стороны;
 - снижение местного иммунитета. и как следствие активизация пародонтогенной микрофлоры.
 
Общими причинами возникновения воспалительного процесса генерализованного типа являются:
- системные заболевания, провоцирующие нарушения в работе эндокринной системы и запускающие аутоиммунные процессы;
 - ожирение;
 - гиповитаминозы;
 - хронические болезни внутренних органов;
 - системные заболевания крови;
 - онкологические болезни;
 - вредные привычки;
 - лучевые поражения;
 - недостаточная гигиена ротовой полости;
 - отсутствие в рационе больного твердой пищи;
 - плохая экология.
 
Перед тем как запускается деструкционный процесс в пародонте, носящий генерализованный характер, отмечается наличие воспалительного процесса в ткани десен, уменьшение межзубных перегородок, оголяются корни зубов, разрушение межзубных соединений. В дальнейшем подобные деструкционные процессы могут стать причиной тотальной потери зубного ряда и полного разрушения костной ткани. Наличие генерализованного воспалительного процесса в околозубной ткани негативно отражается и на состоянии здоровья больного. Хронический очаг инфекции в ротовой полости может спровоцировать нарушение в работе иммунной, эндокринной, сердечно-сосудистой и пищеварительной системе.
Врачи отмечают, что генерализованная форма пародонтита является серьезным заболеванием, которое требует комплексного подхода к диагностике и лечению. Этиология данного состояния часто связана с бактериальной инфекцией, генетической предрасположенностью и системными заболеваниями, такими как диабет. Специалисты выделяют несколько степеней тяжести пародонтита, от легкой до тяжелой, что влияет на выбор методов лечения. Симптомы включают кровоточивость десен, неприятный запах изо рта и подвижность зубов. Врачи рекомендуют индивидуализированный подход, который может включать профессиональную гигиену полости рта, антибактериальную терапию и хирургические вмешательства в запущенных случаях. Регулярные профилактические осмотры у стоматолога играют ключевую роль в предотвращении прогрессирования заболевания.

Классификация генерализованного пародонтита
В зависимости от формы тяжести воспалительного процесса различают три степени генерализованного пародонтита: легкую, средней тяжести и тяжелую. В зависимости от клинического течения пародонтит генерализованного типа может быть острым (с частыми обострениями) и хроническим (периоды ремиссии сменяются периодами обострения под воздействием различных факторов).
Симптоматика заболевания
Симптомы генерализованного пародонтита могут быть слабо- или ярковыраженными, в зависимости от степени воспалительного процесса.
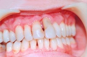
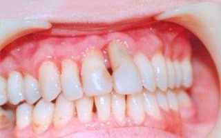
Легкая форма пародонтита генерализованного типа характеризуется рыхлостью, кровоточивостью и отечностью десен, жжением и пульсацией в десневой ткани, дискомфортом при жевании, образованием межзубных карманов, глубина которых не превышает 2-3 мм. Помимо вышеперечисленных симптомов больные отмечают появление зловонного запаха изо рта, связанного с активным размножением пародонтогенной микрофлоры.
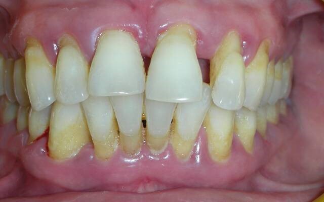
Прогрессирующий генерализованный пародонтит средней и тяжелой стадий характеризуется восприимчивостью зубной эмали к механическим, термическим и химическим воздействиям, самопроизвольной кровоточивостью десен, оседание десневой ткани и значительным оголением корней зубов (от 1/3 до ½ от их длины). Пациенты отмечают подвижность зубов, приводящую к смещению зубного ряда, гноетечение и образование абсцессов. Межзубные перегородки разрушаются, а в особо запущенных случаях у больных наблюдается потеря зубов и образование свищей. Как правило, большинство пациентов отмечают наличие симптомов, связанных с общей интоксикацией организма, таких как слабость, вялость, апатия, увеличение региональных лимфоузлов и скачкообразное повышение температуры тела.
Если заболевание имеет хроническое течение и находится в стадии ремиссии, то десна больного имеют бледно-розовый цвет, отсутствует гноетечение и резорбция костной ткани.
Генерализованная форма пародонтита вызывает множество обсуждений среди стоматологов и пациентов. Эта болезнь характеризуется воспалением десен и потерей костной ткани, что может привести к потере зубов. Этиология пародонтита разнообразна: от генетической предрасположенности до системных заболеваний, таких как диабет. Симптомы включают кровоточивость десен, неприятный запах изо рта и подвижность зубов. Важно отметить, что заболевание может прогрессировать через несколько степеней, от легкой до тяжелой, что требует индивидуального подхода к лечению. Методы лечения варьируются от профессиональной гигиены полости рта и медикаментозной терапии до хирургических вмешательств. Пациенты отмечают, что ранняя диагностика и регулярные визиты к стоматологу значительно улучшают прогноз и качество жизни.

Диагностика болезни
Генерализованная форма пародонтита диагностируется путем визуального осмотра ротовой полости больного. При диагностике значение имеет не только клинические данные, свидетельствующие о наличии воспалительного процесса, но и давность болезни.
Помимо диагностики лечащий врач должен установить первопричину, спровоцировавшую развитие воспалительного процесса. Для точного установления причины возникновения генерализованного пародонтита может понадобиться консультация не только стоматолога-пародонтолога, но и таких специалистов. Как иммунолог, терапевт, эндокринолог, ревматолог, гастроэнтеролог и гематолог.
Стадия генерализованного пародонтита определяется путем проведения местного рентгенологического исследования и взятия биопсии пораженных тканей.
Лечение заболевания
При наличии пародонтита генерализованного типа больному назначают дифференцированное комплексное лечение, которое включает в себя антисептическую обработку пораженных участков пародонта, антибактериальную терапию, ортопедическое лечение (протезирование, шинирование), иммунотерапию и физиотерапевтические процедуры.
В особо запущенных случаях, а также при наличии аномалий в строении зубочелюстной системы прибегают к хирургическому лечению.
Профессиональная чистка. А также подбор индивидуальных средств для ухода за ротовой полостью также являются одной из составляющих комплексной терапии.
При отсутствии противопоказаний консервативное лечение может быть усиленно народными методами терапии (полосканиями отварами лекарственных трав, аппликациями и компрессами).
Иммуномодулирующая терапия, заключающаяся в приеме иммуностимулирующих препаратов, ферментов и поливитаминных комплексов, способна ускорить процесс регенерации пораженных тканей и повысить общую и местную резистентность организма больного.

Вопрос-ответ
Что такое генерализованная форма пародонтита?
Генерализованный пародонтит — одно из наиболее серьезных заболеваний десен, которое охватывает все зубы в обеих челюстях и приводит к разрушению поддерживающих тканей зуба. На поздних стадиях болезнь может серьезно угрожать здоровью зубов, вызывая их подвижность и даже потерю.
Как определить, является ли пародонтит локализованным или генерализованным?
Во-первых, мы оцениваем степень распространения заболевания, оценивая, поражает ли CAL/BL менее 30% зубов (локальное) или 30% и более (генерализованное).
Какие методы лечения используют при пародонтите?
Физиотерапия – ультразвук, массаж десен при остром и хроническом пародонтите, шинирование зубов – установка специальных конструкций, фиксирующих зубной ряд, хирургическое лечение в тяжелых случаях – лоскутные операции по пересадке мягкой ткани, костная пластика. Современное лечение с применением лазерных технологий.
Как определить степень пародонтита?
Степени пародонтита определяются в зависимости от величины зубодесневых карманов и подвижности, или расшатывания зубов. Развитию пародонтита предшествует поверхностное воспаление слизистой оболочки – гингивит. На этой стадии зубодесневые карманы отсутствуют, наблюдаются лишь покраснение и кровоточивость десен.
Советы
СОВЕТ №1
Регулярно посещайте стоматолога для профилактических осмотров. Это поможет выявить проблемы на ранних стадиях и предотвратить развитие пародонтита.
СОВЕТ №2
Обратите внимание на гигиену полости рта. Чистите зубы дважды в день и используйте зубную нить, чтобы удалить налет и остатки пищи между зубами.
СОВЕТ №3
Следите за своим питанием. Употребление продуктов, богатых витаминами и минералами, особенно витамина C, может помочь укрепить десны и снизить риск заболеваний пародонта.
СОВЕТ №4
Избегайте курения и чрезмерного употребления алкоголя, так как эти факторы могут усугубить состояние десен и способствовать развитию пародонтита.

