Все более актуальным становится безболезненное лечение зубов.
Так как многие люди не хотят посещать стоматологические клиники только из-за боязни болезненных ощущений при проведении процедур.
Причины боли при лечении зубов
Нервные волокна зуба гораздо чувствительнее, чем остальные. Поэтому зубная боль считается одной из самых сильных и нестерпимых.
Неприятные ощущения при лечении возникают в том случае, если в нерв подаётся нервный импульс. При поверхностном лечении боль, как правило, не возникает.
Однако если речь заходит о том, чтобы лечить глубокий кариес или проводить другое вмешательство, которое подразумевает под собой глубокое лечение, то в таком случае без болезненных ощущений мало кто обходится.
Врачи-стоматологи уверены, что мечта пациентов о безболезненном лечении зубов становится реальностью. Современные технологии и методы анестезии значительно снизили уровень дискомфорта во время процедур. Использование местной анестезии, а также седативных средств позволяет пациентам чувствовать себя комфортно и расслабленно. Многие стоматологические клиники внедряют инновационные подходы, такие как лазерная стоматология, которая минимизирует травматичность и сокращает время восстановления. Врачи подчеркивают важность общения с пациентом: обсуждение страхов и ожиданий помогает создать доверительную атмосферу. Таким образом, благодаря новым технологиям и внимательному подходу, лечение зубов без боли становится все более доступным и реальным для большинства пациентов.

Анестезия, ее виды
Чтобы процедура прошла спокойнее, стоматологи применяют анестезию. Это помогает избавить пациента от болевых ощущений, а самого врача от резких движений больного, которые могут стать причиной некачественного результата.
Аппликационная
Этот вид анестезии используется для того, чтобы поверхностно обезболить зуб. Чаще всего используется лидокаин в виде спрея. Способ применяется при чистке зубных отложений, удалении подвижных зубов, а также перед основной анестезией, чтобы снизить болезненность от укола.
Мечта каждого пациента, сидящего в стоматологическом кресле, — это безболезненное лечение зубов. Многие вспоминают свои детские страхи, связанные с визитом к стоматологу, и надеются, что современные технологии смогут избавить их от неприятных ощущений. В последние годы стоматология сделала значительные шаги вперед: появились новые методы анестезии, лазерные технологии и минимально инвазивные процедуры. Пациенты отмечают, что использование современных анестетиков и аппаратов позволяет значительно снизить уровень дискомфорта. Кроме того, многие стоматологи уделяют внимание созданию комфортной атмосферы, что также помогает расслабиться. Тем не менее, страх перед лечением все еще присутствует, и пациенты продолжают мечтать о том, чтобы визиты к стоматологу стали не только безболезненными, но и приятными.

Инфильтрационная
Такой вид анестезии считается самым распространённым. Наверно, для всех знакомо слово «укол». О нём и идет речь.
Как правило, препарат вводят в слизистую оболочку, надкостницу или же внутрь кости. Метод применяется практически при всех видах операций.
Обезболивающий эффект наступает уже через три – пять минут. Препарат проникает достаточно глубоко, а действие его длится до одного часа. Благодаря этому стоматолог успевает закончить любую операцию ещё до того, как анестезия закончит своё действие.
Проводниковая
При этом способе происходит блокировка волокна троичного нерва, что обеспечивает полное перекрытие одного из его ветвей. Такой вид обезболивания действует только на определённую область, которую эта ветвь иннервирует.
Справка! Проводниковую анестезию используют при работе с корнем зуба, дёснами или же при больших по объёму вмешательствах.

Регионарная
Регионарная или стволовая анестезия вводится у основания черепа и перекрывает ветви троичного нерва. Как правило, способ применяют в экстренных случаях или тогда, когда у пациента усилен болевой синдром.
Виды безболезненного лечения
В современной стоматологии имеются альтернативные варианты лечения зубов, которые избавляют пациента от болезненных ощущений во время проведения процедуры.
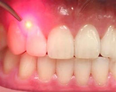
Лазером
Лазер довольно давно применяется для проведения различных операций. С недавнего времени он нашёл своё применение и в стоматологии.
Сначала способ использовался в качестве альтернативы скальпелю. Однако потом при помощи лазера стали проводить полноценное лечение, которое обеспечивало полную антибактериальность.
Проведение процедуры:
- Для начала врач проверяет каждый зуб при помощи лазера на наличие каких-либо дефектов. Благодаря этому происходит доскональная диагностика, так как лазерный луч способен обнаружить даже самые незначительные повреждения, которые невозможно заметить человеку.
- Происходит обработка участка с повреждением. Один из плюсов такого метода лечения – то, что он воздействует только на повреждённый участок. Остальные зубы проходят антибактериальную очистку.
- После окончания процедуры зуб тщательно промывают, обрабатывают адгезивной системой и закладывают пломбу.
Огромный плюс такого способа – то, что под воздействием лазерного луча из поражённого участка сразу же испаряется вся лишняя жидкость, происходит избавление от бактерий. На некоторых участках зуба это можно добиться только при помощи лазера, так как обычным инструментом добраться до сложнодоступного места невозможно.
Озоном
Ещё один способ лечения зубов без использования машинки – озоновое лечение. Озон считается довольно сильным окислителем. Вещество проникает в поражённый участок зуба и удаляет все бактерии, что избавляет от дальнейшего образования новых болезнетворных микроорганизмов.
Важно! Определённый плюс этого способа лечения – то, что озон не подействует отрицательно на здоровые зубы. Произойдёт только антибактериальный эффект.
Достоинства процедуры:
- Аллергия на озон, как правило, не возникает.
- Процедуры проводятся быстрее, по сравнению с другими методами.
- Вещество разрешается использовать даже при лечении детей.
Недостатки озонового лечения:
- Возможно, сверлить зуб всё-таки придётся.
- Если болезнь уже слишком запущена, то озон бесполезен в качестве лечения.
Метод «Айкон»
Этот метод популярен в современном мире. Его суть заключается в том, что стоматолог наносит специальный гель Айкон, который проникает в поражённый участок, застывает и не даёт дальше распространяться болезнетворным бактериям.
Фото 1. Гель Айкон наносится на пораженный участок, проникает в него, застывает, что предотвращает распространение бактерий.
Преимущества метода:
- Полная остановка распространения болезнетворных бактерий.
- Здоровые участки зуба не повреждаются, так как процедура проходит без сверления.
- Метод «Айкон» подразумевает полную безболезненность при лечении.
- Такую процедуру можно проводить даже на молочных зубах (возраст ребёнка не должен быть меньше четырёх лет).
- Эстетический вид зуба полностью сохранён, его функциональность не застрагивается.
- Процедура с использованием этого способа проводится за один приём.
Полезное видео
Посмотрите видео, в котором рассказывают о методах безболезненного лечения зубов.
Всё-таки больно ли это?
В современной медицине появилось множество вариантов безболезненного лечения зубов. Профессиональный мастер предложит подходящий способ, чтобы при лечении вы не чувствовали дискомфорт.
Вопрос-ответ
Можно ли лечить зубы без боли?
Лечить зубы без боли – это реально. Сегодня стоматология располагает всеми необходимыми средствами для того, чтобы оградить пациента не только от боли, но даже от обычных неприятных ощущений в процессе лечения. И это касается не только лечения кариеса, но и гораздо более сложных процедур.
Может ли лечение зубов быть безболезненным?
Ответ: Безболезненное лечение зубов подразумевает использование передовых методик и технологий, которые минимизируют или полностью устраняют боль во время стоматологических процедур. К ним относятся лазерная стоматология, седация и усовершенствованные системы обезболивания, обеспечивающие комфортные ощущения.
Когда нет смысла лечить зуб?
При значительном кариесе, который поразил большую поверхность твердых тканей, когда зуб нельзя восстановить при помощи современных материалов, например, пломб. Если корни сильно разрушены, наблюдаются значительные трещины. При неправильном положении зубов, которые травмируют мягкие ткани.
Что самое больное в лечении зубов?
Пациенты иногда интересуются, какие зубы больнее лечить: те, что на верхней челюсти, или те, что на нижней. Специалисты однозначно отвечают, что больнее лечить зубы, глубоко пораженные кариесом.
Советы
СОВЕТ №1
Перед посещением стоматолога обсудите с ним все ваши опасения и страхи. Современные стоматологи используют различные методы для минимизации боли, включая местную анестезию и седативные препараты. Чем больше информации вы предоставите врачу, тем лучше он сможет адаптировать лечение под ваши нужды.
СОВЕТ №2
Выбирайте стоматологическую клинику, которая специализируется на безболезненных процедурах. Узнайте о методах, которые они используют, таких как лазерная стоматология или компьютерная анестезия, которые могут значительно снизить уровень дискомфорта во время лечения.
СОВЕТ №3
Не забывайте о регулярных профилактических осмотрах. Чем раньше вы обратитесь к стоматологу, тем меньше вероятность возникновения серьезных проблем, требующих болезненного лечения. Профилактика поможет сохранить здоровье зубов и избежать неприятных процедур.
СОВЕТ №4
Попробуйте методы релаксации перед визитом к стоматологу, такие как глубокое дыхание или медитация. Это поможет вам успокоиться и снизить уровень тревожности, что может сделать процесс лечения более комфортным.




