Рецессия десны — это заболевание в ротовой полости, при котором корни и шейки зубов обнажаются за счёт снижения объёма десны.
Возникает сильнейшая чувствительность к горячему и холодному, кровоточивость, кариес, в том числе на оголённых участках корней.
Страдает и эстетическая составляющая — человек начинает стесняться улыбки. В тяжёлой стадии заболевание приводит к расшатыванию зубов и их потере.
Симптомы рецессии и ее определение
Симптоматика болезни на начальной стадии выражена, как правило, слабо. Видимых признаков иногда не бывает вовсе, но нередко возникает повышенная чувствительность зубов, при чистке появляется незначительное количество крови.
Важно! Диагностировать болезнь на ранней стадии, на которой лечение максимально эффективно, способен только врач. Поэтому при малейших признаках заболевания необходимо как можно скорее обратиться к стоматологу.
На стадии, когда корни зубов оголяются, симптоматика становится сильнее. При гигиене зубов в местах оголения корней появляется боль — зачастую настолько сильная, что пациент старается обходить поражённые участки, не касаясь их щёткой, тем самым способствуя тому, что проблема прогрессирует.
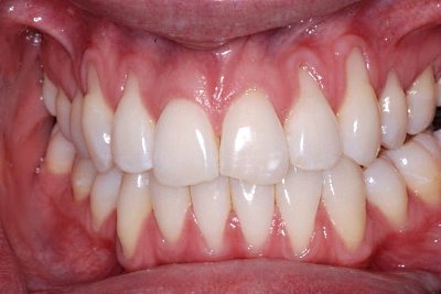
Фото 1. Воспалительные процессы на пораженных участках с повышенной чувствительностью.
Любой приём контрастной пищи, горячей или холодной, а также острой и кислой еды вызывает крайне болезненные ощущения.
Если проблема затрагивает передние зубы — возникает эстетический дискомфорт. Корни достаточно быстро темнеют, вокруг обнажённого участка часто появляется незначительное воспаление, вызванное проникновением бактерий в глубокие участки десны. Мягкие ткани вокруг зубов становятся неровными, бугристыми, выглядят покрасневшими и нездоровыми.
Рецессия десны — это серьезная проблема, с которой сталкиваются многие пациенты. Врачи выделяют пять основных причин этого состояния. Во-первых, неправильная гигиена полости рта может привести к накоплению зубного налета и образованию зубного камня, что вызывает воспаление десен. Во-вторых, генетическая предрасположенность играет важную роль: у некоторых людей десны более подвержены рецессии. Третья причина — травмы десен, которые могут возникнуть из-за агрессивной чистки зубов или неправильного использования зубной нити. Четвертая причина связана с гормональными изменениями, особенно у женщин в период беременности или менопаузы. Наконец, курение значительно ухудшает состояние десен, замедляя их заживление. Знание этих причин важно для профилактики и своевременного обращения к стоматологу, что поможет сохранить здоровье зубов и десен.

Причины рецессии
Причин заболевания много — от недостаточной гигиены полости рта до травм во время занятий спортом.
Неправильный уход за зубами
Шейки зубов и корни могут постепенно оголяться при неправильной гигиене полости рта:
- использование очень жёсткой щётки приводит к постоянному травмированию десны;
- несвоевременное удаление зубного камня провоцирует оголение шейки зуба;
- при недостаточной нагрузке на зубы — незначительном употреблении твёрдой пищи — возникает гингивит и пародонтит, которые провоцируют развитие рецессии;
- недостаточный уход за ротовой полостью приводит к развитию воспалений, которые также способствуют заболеванию.
Важно! Для исключения осложнений нужно регулярно делать профессиональную чистку зубов, удалять камни и отдавать предпочтение зубной щётке средней жёсткости.
Рецессия десны — это серьезная проблема, о которой говорят многие стоматологи и пациенты. Основные причины, такие как пародонтит, неправильная гигиена полости рта, генетическая предрасположенность, курение и гормональные изменения, вызывают беспокойство у людей. Многие отмечают, что недостаток информации о профилактике и лечении приводит к запущенным случаям. Понимание этих причин важно, поскольку ранняя диагностика может предотвратить серьезные последствия, такие как потеря зубов. Кроме того, осведомленность о факторах риска помогает людям принимать более осознанные решения о своем здоровье. Регулярные визиты к стоматологу и соблюдение гигиенических норм могут значительно снизить вероятность рецессии десен.

Механические повреждения
Рецессия регулярно возникает из-за травм десны и зубов. При механическом повреждении в месте удара образуется небольшое утолщение, появляется воспаление. Десна смещается, но, как правило, не более чем на 3 мм. Появляется очень высокая чувствительность.
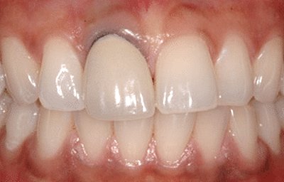
Фото 2. Распространенная причина рецессии: травмы зубов и десны при ударах и падениях.
При ударе зуб смещается в неправильное положение (образуется подвывих зуба), десна слегка отходит от корней, что способствует проникновению бактерий в мягкие ткани.
Важно! При любом механическом воздействии на челюсть (ударе, падении) необходимо обязательно обратиться к стоматологу. Первые признаки болезни могут быть незначительными, на более же поздней стадии лечение крайне осложнено.
Ошибки во время лечения зубов
Рецессия десны, к сожалению, регулярно возникает после посещения стоматолога. Врачебные ошибки, приводящие к развитию болезни:

- неаккуратно удалённый зуб, непрофессионально проведённая процедура удаления зубного камня способствуют возникновению новой проблемы;
- плохо установленная пломба вызывает постоянное незначительное повреждение участка десны, создавая предпосылки для возникновения заболевания;
- неудачно установленные скобки на зубах травмируют ткани, вызывая как серьёзные воспаления, так и усиление болезни;
- непрофессиональное использование мышьяка при лечении, например, его попадание на десну провоцирует как появление рецессии, так и её переход в более тяжёлую стадию.

Воспалительные процессы
Воспаления дёсен, вызванные либо болезнями полости рта (глубоким кариесом, гингивитом), либо некорректно установленными ортодонтическими устройствами, под которыми образуется налёт, приводят к смещению тканей, обнажению корней зубов и усилению рецессии.
Важно! Зачастую воспаления мягких тканей возникают из-за гормональных сбоев и диабета. В этом случае лечить нужно не только дёсны и зубы, но и основное заболевание, обратившись к профильному специалисту.
Рецессия после установки коронки
Причиной возникновения болезни может быть также травма мягких тканей в результате протезирования.
Неправильно установленная коронка нависает над зубом, постоянно травмируя десну.
Также слишком глубокое проникновение инструмента в мягкие ткани неизбежно заканчивается их травмированием, у пациентов с тонким биотипом десны возникает рецессия десневого края примерно через пять недель после установки коронки.
Классификация рецессии десны по Миллеру
Классификация заболевания произошла в 1968 году по 4 типам: широкая-глубокая, широкая-мелкая, узкая-мелкая, узкая-глубокая.
В 1985 году эта классификация была расширена Миллером и до сих пор используется в стоматологии для диагностики и выбора тактики лечения. Миллер разделил рецессию на четыре типа.
- Первый класс — мелкая-широкая и узкая-мелкая. Болезнь не выходит за пределы десны. Нет потери десневой ткани. На этой стадии возможно стопроцентное излечение.
- Второй класс — широкая-глубокая и узкая-глубокая. Болезнь выходит за пределы десневых тканей, но пока нет потери тканей — ни костных, ни десневых.
- Третий класс — одновременно развивается рецессия первого и второго класса, потери костной ткани нет, но частично утрачена десневая ткань.
- Четвёртый класс — потеря костной и десневой ткани.
Первая и вторая стадия лечатся консервативными методами, третья — только хирургическим путём. Четвёртая стадия, к сожалению, полностью излечена быть не может.
Полезное видео
Рассказ врача-стоматолога о причинах болезни и важности своевременного начала лечения.
Болезнь обнаружена. Что делать?
Чем раньше обнаружена рецессия десны, тем более благоприятным может быть лечение. При первых же признаках заболевания — видимых, даже незначительных потемнений в области корней, оголения шейки даже одного зуба, выраженной кровоточивости дёсен при чистке нужно обратиться к профессиональному стоматологу. Нельзя забывать, что при отсутствии лечения болезнь будет прогрессировать, внешний вид ухудшаться, и в какой-то момент может потребоваться операционное вмешательство, без которого заболевание не вылечить.
Вопрос-ответ
Причины рецессии десен?
Рецессия десен может быть вызвана несколькими факторами, включая пародонтит, неправильную гигиену полости рта, травмы десен, генетическую предрасположенность, курение и гормональные изменения. Также на состояние десен могут влиять неправильный прикус и использование жесткой зубной щетки, что может привести к повреждению тканей десен и их отступлению.
Что может спровоцировать рецессию?
Это может быть вызвано различными событиями, такими как финансовый кризис, шок во внешней торговле, неблагоприятный шок предложения, крах экономического пузыря или крупномасштабная антропогенная или природная катастрофа (например, пандемия). Согласно Международному валютному фонду, официального определения рецессии не существует.
Чем опасно оголение десны?
Рецессия десны — это патология, при которой происходит оголение зубных корней. Объем мягких тканей слизистой уменьшается, что приводит к множеству негативных последствий: боль, повышенная чувствительность, дискомфорт и развитие кариеса.
Что приводит к рецессии?
Слишком сильное давление на щетку и активные движения травмируют десны. Ежедневное повреждение мягких тканей во время гигиены со временем приводит к их убыли. Нарушения прикуса и ортодонтическое лечение. В таких случаях рецессия возникает из-за неравномерного распределения нагрузки на зубы.
Советы
СОВЕТ №1
Регулярно посещайте стоматолога для профилактических осмотров. Это поможет выявить проблемы с деснами на ранних стадиях и предотвратить их развитие.
СОВЕТ №2
Обратите внимание на свою гигиену полости рта. Чистите зубы дважды в день и используйте зубную нить, чтобы удалить налет и остатки пищи между зубами, что поможет снизить риск рецессии десен.
СОВЕТ №3
Следите за своим питанием. Употребление продуктов, богатых витаминами C и D, а также кальцием, способствует здоровью десен и укрепляет зубы.
СОВЕТ №4
Избегайте курения и чрезмерного потребления алкоголя, так как эти факторы могут негативно влиять на здоровье десен и способствовать их рецессии.



