Кариес у детей – нередкое явление. Иногда родители приводят к стоматологу своих детей с почерневшими зубами.
Дети 4–5 лет жалуются на зубную боль. Что приводит к такому печальному исходу? Как родителям наилучшим образом позаботиться о целостности и здоровье зубов детей. Какие методы естественной профилактики кариеса предлагают опытные стоматологи. Когда начинать и как правильно чистить зубы малышам, которым еще нет года. Как правильно и разнообразно кормить малыша, чтобы укрепить иммунитет ребенка и защищать таким образом эмаль зубов.
Как питание беременной женщины влияет на формирование будущих здоровых зубов ребенка. Какие микроэлементы необходимо обязательно включать в рацион беременной женщины. Почему естественное вскармливание ребенка молоком матери – это лучший способ профилактики этого стоматологического заболевания.
Какие профилактические процедуры предлагает и проводит детский стоматолог для укрепления и защиты зубной эмали. Для чего нужна герметизация фиссур, как она проводится. Какую зубную пасту выбрать детям разных возрастов для профилактики этого заболевания.
На фотографии ребенок с мамой на консультации у стоматолога.
Заболевание зубов, возникающие в результате деятельности кариесогенных микроорганизмов, таких как золотистый стафилококк и стрептококк – это кариес. Основными причинами возникновения кариеса считаются:
- полное отсутствие или неправильная гигиена ротовой полости;
- гиповитаминоз;
- скудное питание, содержащее малое количество микроэлементов и витаминов;
- злоупотребление сладким и как следствие, избыток углеводов, которые становятся питательной средой для патогенных бактерий;
- генетические факторы;
- нарушение функционирования иммунной и эндокринной систем;
- аномалии в строении зубочелюстной системы;
- нарушение в функционировании слюнных желез, приводящее к уменьшению количества и изменению химического состава слюны.
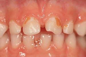
На фотографии изображено заболевание кариес у ребенка.
Кариес у детей проявляется болевыми ощущениями, возникающими при контакте пораженного зуба с термическими и химическими раздражителями, а также при механическом воздействии (надавливании, поколачивании, раздражении твердой пищей). Кариозная боль проходит непосредственно после ликвидации раздражителя. Визуально кариес проявляется изменением цвета зубной эмали, образованием меловидных пятен и полостей на поверхности зуба. Определить наличие заболевания поможет стоматологический осмотр и зондирование пораженной эмали при помощи специальных инструментов. Иногда для того чтобы обнаружить начальную степень болезни прибегают к рентгенографическим методам диагностики.
Важность рационального питания женщины во время беременности
Профилактика детского кариеса начинается еще на этапе беременности, так как именно при беременности развивается зубная пластинка ребенка. Если питание женщины не будет содержать должного количества фтора, кальция, цинка и других минеральных веществ, то в будущем это скажется на здоровье зубов ребенка (как молочных, так и постоянных), так как их зачатки формируются на этапе внутриутробного развития плода.
Гипоплазия эмали малыша достаточно часто является следствием дефицита микроэлементов и витаминов в организме беременной женщины, а также перенесенных матерью инфекционных заболеваний. Следует помнить, что рацион беременной должен быть сбалансированным, а суточная норма кальция должна составлять 600-800 мг на день. Рациональное питание и полноценный отдых будущей мамы являются одной из основополагающих профилактики кариеса у будущего малыша.
На фотографии беременная женщина режет фрукты. Изображена основа правильного питания.
Врачи подчеркивают важность профилактики кариеса у детей, так как это заболевание может привести к серьезным проблемам с зубами в будущем. Основными методами профилактики являются регулярные визиты к стоматологу, которые позволяют выявить и устранить проблемы на ранних стадиях. Специалисты рекомендуют родителям следить за гигиеной полости рта своих детей, обучая их правильной чистке зубов и использованию зубной нити. Также важным аспектом является сбалансированное питание, богатое кальцием и витаминами, что способствует укреплению зубной эмали. Врачи акцентируют внимание на применении фторсодержащих средств, которые помогают защитить зубы от кариеса. В целом, комплексный подход к профилактике позволит сохранить здоровье зубов у детей на долгие годы.

Естественное вскармливание — профилактика детского кариеса
Грудное кормление также является одним из методов профилактики развития кариеса у детей, так как способствует формированию пародонта и зубной ткани. Грудное молоко хорошо усваивается организмом малыша, что способствует полноценному формированию дентина.
На фотографии показан процесс кормления ребенка грудью.
У малышей, находящихся на искусственном вскармливании, меняется состав и количество слюны, что негативно сказывается на здоровье зубов и ротовой полости в целом.
Гигиена полости рта малыша
Чистить зубы малыш должен начинать непосредственно после прорезывания зубов. До того времени пока малыш не может самостоятельно осуществлять полноценный ход за зубным рядом и ротовой полостью родители должны сами позаботиться о правильном уходе. Для этого необходимо чистить зубы малыша 2 раза в день при помощи специальной щетки, изготовленной в виде колпачка, которая надевается на палец. Такая щетка эффективно удаляет остатки пищи и улучшает кровоснабжение в околозубной ткани.
Совет стоматолога.
В дошкольном и школьном возрасте детей, родители должны серьезно контролировать чистку зубов. Но в то же время нельзя насильно принуждать ребенка к этому, чтобы не вызвать отрицательную реакцию. Лучший способ — это личный пример и развитие привычки в самом раннем детстве в игровой форме.
Следует подбирать щетку соответственно возрасту, со щетиной средней жесткости. Для дошкольников выпускают щеточки с забавной ручкой в виде животного.
Это интересно.
Дети до 4 лет глотают примерно треть используемой пасты. Поэтому самая первая зубная паста для малышей не содержит фтора. Но создает пену и очищает механически маленькие зубки.
Небольшое безопасное и рекомендованное количество фторида добавляется каждый последующий год в детскую пасту. Дополнительно производители выпускают пасты с антисептиками и ферментами. Такие пасты снижают скорость накопления налета и уничтожают кариесогенные бактерии. Так как микроорганизмы во рту через время становятся устойчивыми к действию пасты, то их не нужно применять более двух недель.
На фотографии изображены две маленькие девочки, которые чистят зубы.
Мнения людей о методах профилактики кариеса у детей варьируются, но большинство родителей осознают важность раннего вмешательства. Многие отмечают, что регулярные визиты к стоматологу помогают выявить проблемы на ранних стадиях и предотвратить развитие кариеса. Некоторые родители активно используют фторсодержащие пасты и ополаскиватели, считая их эффективными в борьбе с зубным налетом. Другие подчеркивают значимость правильного питания, включая в рацион детей продукты, богатые кальцием и витаминами. Также распространено мнение, что обучение детей правильной гигиене полости рта с раннего возраста закладывает основы для здоровых привычек в будущем. В целом, родители стремятся комбинировать различные методы, чтобы обеспечить своим детям здоровую улыбку.
Питание детей
Рацион малыша должен быть разнообразным и содержать твердую пищу. Твердая пища способствует естественному механическому удалению мягкого и твердого зубного налета. Следует избегать ночных кормлений с бутылочки, так как подобные кормления будут способствовать развитию бутылочной формы кариеса.
Разнообразная пища, ограниченное употребление сладкого и введение в рацион ребенка твердых продуктов является лучшей профилактикой развития кариеса.
Продукты, состоящие в основном из углеводов, способствуют развитию кариеса. Кариесогенные бактерии, как и люди любят сладости. Это наилучшая питательная среда для их роста и размножения. Мудрые родители стараются исключить сахар и другие сладости из рациона своих малышей. Полное воздержание от таких продуктов становится практичным способом профилактики кариеса у детей.
На фотографии показан процесс воздействия сахара и кариесогенных бактерий на детские зубы.
Если не удается полностью исключить сахар из жизни дошкольников, то нужно установить некоторые правила. Например, не разрешать лакомиться сахаросодержащими продуктами во время перекусов. Во-первых, так можно уменьшить вред от оставшихся углеводных кусочков между зубами. Во-вторых, станет больше условий для естественной минерализации зубов из слюны. Химический состав слюны является натуральным минерализатором для твердых тканей зубов.
К твердым продуктам относятся фрукты и сырые овощи. Поэтому родители во время перекусов дают детям пожевать яблоки, груши, морковку, капусту и даже свеклу. Пережевывая, эти продукты удаляют остатки пищи между зубов. Дополнительно вырабатывается слюна, полезная для остановки размножения бактерий и минерализации.
Особо любимые взрослыми и детьми сладкие фруктовые соки и газировку также нежелательно пить. Разумнее заменить их на минеральную воду без газов или некрепкий чай.
Больше всего кальция содержится в твороге, молоке, сыре. Эти продукты особо рекомендуют для профилактики заболеваний зубов. Но важно знать, что оставшиеся частички молочных продуктов также способствуют росту бактерий. Поэтому чистить зубки после каждого принятия такой пищи — хорошая привычка.
Детям нужны витамин Д и фосфор. Они улучшают усвоение кальция. Содержатся в нежирной рыбе и морепродуктах.
Если известно, что в обычной питьевой воде вашей местности нет необходимого количества фторидов, то стоматолог может посоветовать такие способы его восполнения:
- фторированная вода;
- фторированное молоко;
- соль, обогащенная фтором;
- фторосодержащие таблетки.
Посещение стоматолога
Регулярный стоматологический осмотр малыша позволяет обнаружить начальную форму заболевания, которая эффективно лечится бесконтактными методами. Малыш должен посещать стоматолога минимум 2 раза в год. Подобные профилактические осмотры дают возможность вовремя обнаружить нарушения в развитии зубных тканей.
Дети школьного возраста особенно нуждаются в регулярной консультации стоматолога. В этот период они становятся более самостоятельными и нерегулярно и некачественно чистят зубы. При осмотре выявляется мягкий бактериальный налет, а у некоторых школьников — зубной камень. После удаления камня, видны поражения зубов кариесом — кариесное пятно или начальный кариес. Если вовремя обратиться к врачу, то можно остановить развитие заболевания.
На фотографии изображена счастливая семья, здоровые зубы и важность осмотра у стоматолога.
К стоматологическим методам предотвращения кариеса у детей относят озонотерапию, глубокое фторирование, герметизацию фиссур и покрытие поверхности молочных зубов раствором серебра. Эти методы обладают угнетающим воздействием на кариесогенные микроорганизмы, позволяют предотвратить развитие кариеса, снизить чувствительность и заполнить микротрещины зубной эмали. Кроме того, покрытие поверхности зубов фтористым лаком и герметизация фиссур предотвращают скопление зубного налета на эмали и как следствие, защищают ее от дальнейшего разрушения.
На фотографии изображен процесс лечения зубов методом озонотерапии.
Видео: Советы как бороться или избежать детского кариеса.

Детский стоматолог рассказывает об основных факторах, провоцирующих кариес у детей, а так же дает рекомендации как избежать серьезных заболеваний полости рта и сохранить зубы здоровыми надолго.
Видео: Кариес молочных зубов.

Лечение кариеса доступно для детей даже самого малого возраста. Однако лучшее лечение – это профилактика, поэтому стоит уделить особое внимание советам детского стоматолога.
Вопрос-ответ
Как предотвратить кариес зубов у детей?
Важно использовать зубную пасту с фтором, поскольку она помогает предотвратить и контролировать кариес. Начинайте чистить зубы малышу сразу после прорезывания первого молочного зуба. Чистить зубы должны родители или опекуны.
Что нужно делать для профилактики кариеса?
Профилактика кариеса должна начинаться с раннего возраста. Важно обучить детей правильной гигиене полости рта: регулярная и тщательная чистка зубов два раза в день с использованием фторсодержащей пасты является основой профилактики. Также необходимо ограничить потребление сладостей и газированных напитков.
Советы
СОВЕТ №1
Регулярно проводите гигиеническую чистку зубов у детей. Обучите их правильно чистить зубы дважды в день с использованием фторсодержащей зубной пасты. Это поможет удалить налет и предотвратить образование кариеса.
СОВЕТ №2
Следите за рационом питания вашего ребенка. Ограничьте потребление сладостей и кислых продуктов, которые могут способствовать разрушению зубной эмали. Включите в рацион больше овощей, фруктов и молочных продуктов, которые способствуют укреплению зубов.
СОВЕТ №3
Регулярно посещайте стоматолога для профилактических осмотров. Это поможет выявить проблемы на ранних стадиях и предотвратить развитие кариеса. Стоматолог также может рекомендовать фторирование или герметизацию зубов для дополнительной защиты.
СОВЕТ №4
Обучите ребенка пить достаточное количество воды, особенно после еды. Вода помогает смывать остатки пищи и нейтрализовать кислоты, что снижает риск кариеса. Также старайтесь, чтобы ребенок не засыпал с бутылочкой с соком или молоком.









