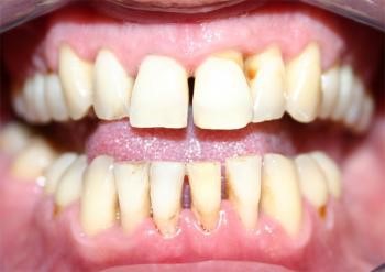
Пародонтит распространенное воспалительное заболевание околозубной ткани. Основным признаком наличия болезни служит кровоточивость десен возникающая при чистке зубов не связанной с травмами десенной ткани. Изначально заболевание может проходить бессимптомно, что крайне опасно; пародонтит может никак себя не проявлять месяцами или годами. Запущенный пародонтит может привести к тотальной потере зубов, поэтому необходимо систематически проходить осмотр зубной полости у стоматолога.
Причины возникновения пародонтита различны – генетические факторы, вредные привычки, неправильное питание, нарушение в работе эндокринной и иммунной систем, авитаминоз и многие другие. Эффективное лечение пародонтита возможно после устранения причины возникновения и комплексной терапии направленной на восстановление околозубной ткани.
Пародонтит занимает второе место после кариеса по распространенности среди стоматологических заболеваний. Распознать заболевание можно по кровоточивости десен, возникающей при чистке зубов (не связанной с травмами десенной ткани). Пародонтит очень опасное заболевание, так как может протекать бессимптомно на протяжении нескольких месяцев, а то и лет. Воспалительный процесс приводит к разрушению межзубных перегородок и зубодесневых соединений, в результате чего наблюдается тотальная потеря зубного рада.
Запущенный пародонтит может давать осложнения на организм больного и провоцировать возникновение болезней сердечно-сосудистой, эндокринной и иммунной систем. Кроме того, наличие постоянного очага инфекции в организме оказывает негативное влияние на работу внутренних органов.
Причины, провоцирующие развитие пародонтита
Эффективное лечение пародонтита должно быть направлено не только на купирование воспалительного процесса, но и на устранение причины возникновения болезни. Провоцировать пародонтит могут:
- генетические факторы;
- нарушения в работе эндокринной и иммунной систем;
- наличие системных заболеваний;
- некачественный уход за зубным рядом и ротовой полостью;
- некачественные протезу, зубные коронки, пломбы;
- вредные привычки;
- нарушения гормонального фона в связи с периодом созревания или беременностью;
- плохая экология;
- авитаминоз;
- нерациональное питание;
- прием фармакологических препаратов, нарушающих слюноотделение.
Врачи отмечают, что развитие пародонтита может быть вызвано несколькими факторами. Одной из основных причин является недостаточная гигиена полости рта, что приводит к накоплению зубного налета и образованию зубного камня. Также важную роль играют генетическая предрасположенность и возраст пациента, так как с возрастом ткани десен становятся более уязвимыми. Курение и употребление алкоголя значительно ухудшают состояние десен, снижая их способность к восстановлению. Кроме того, хронические заболевания, такие как диабет, могут способствовать развитию воспалительных процессов в пародонте. Врачи подчеркивают, что своевременная диагностика и профилактика являются ключевыми факторами в борьбе с этим заболеванием.

Генетическая предрасположенность
Наследственная предрасположенность становится причиной развития пародонтита примерно в 30% случаев. К генетическим факторам относят аномалии строения челюсти: неправильный прикус, мелкое преддверье, аномалии строения уздечки.
Подобные аномалии влияют на слюноотделение и циркуляцию крови в тканях пародонта, их можно устранить при помощи ортопедических методов лечения или пластической хирургии.
Системные заболевания
Наличие системных заболеваний, таких как сахарный диабет. Ревматизм, вегето-сосудистая дистония, остеопороз, ВИЧ и прочие, оказывают угнетающее воздействие на иммунную систему больного, провоцируют снижение местного и общего иммунитета, уменьшают резистентность организма к патогенным микроорганизмам.
В результате нарушения нормального функционирования иммунной системы наблюдается повышение активности патогенной микрофлоры, в результате чего возникает воспалительный процесс в околозубной ткани.
Пародонтит — это заболевание, которое вызывает множество обсуждений среди стоматологов и пациентов. Многие люди отмечают, что основными причинами его развития являются плохая гигиена полости рта и недостаточное внимание к зубам. Накопление зубного налета и камня приводит к воспалению десен, что в свою очередь может вызвать пародонтит. Также часто упоминаются генетическая предрасположенность и курение как значимые факторы риска. Некоторые пациенты делятся, что стресс и неправильное питание также могут усугублять ситуацию, снижая иммунитет и способствуя воспалительным процессам. Важно помнить, что регулярные визиты к стоматологу и соблюдение гигиенических норм могут значительно снизить риск развития этого заболевания.

Бактериальные причины пародонтита
Преобладание грамм-отрицательной микрофлоры над грамм-положительными бактериями в ротовой полости запускает развитие пародонтита. Преобладание патогенных микроорганизмов чаще всего возникает вследствие недостаточного ухода за зубами и ротовой полостью (нерегулярная чистка и санация ротовой полости).
Развитие патогенных микроорганизмов провоцирует образование мягкого бактериального налета и скопление зубного камня, образуются пародонтальные карманы, а околозубная ткань разрушается под воздействием токсических продуктов жизнедеятельности грамм-отрицательных микроорганизмов.
Аутоиммунные процессы
Активизация грамм-отрицательной микрофлоры помимо образования бактериального налета провоцирует выработку иммунной системой больного цитокинов — специальных веществ, которые обладают противомикробным действием.
Аутоиммунные процессы в организме человека, стимулирующие перепроизводство иммунитетом больного противомикробных веществ, заставляют цитокины атаковать здоровые ткани пародонта, в результате чего возникает воспалительный процесс.

Нерациональное питание
Неполноценное питание, состоящее из мягкой пищи и необогащенное витаминами и микроэлементами, приводит к дефициту витаминов в организме человека. В рацион питания помимо продуктов, богатых витаминами и микроэлементами, должна входить твердая пища, способствующая естественному механическому удалению бактериального налета.
Женские гормоны
Переизбыток гормонов в организме женщины, который наблюдается во время менопаузы, беременности или при приеме оральных контрацептивов, негативно воздействует на ее иммунную систему. Подавление иммунной системы может стать толчком для активного размножения патогенных микроорганизмов.
Снижение иммунитета и авитаминоз
Сезонный авитаминоз, снижение иммунитета после перенесенных инфекционных заболеваний, стрессов и нервных потрясений также способствует активизации патогенных бактерий в ротовой полости.
В результате недостаточного количества антиоксидантов и микроэлементов нарушаются защитные процессы организма, снижается местный иммунитет. Как правило, авитаминоз и сильные стрессы становятся толчком к обострению хронического пародонтита.
Аллергические реакции, вредные привычки и плохая экология
Прием противоаллергических препаратов (антигистаминов) оказывает негативное воздействие на работу слюнных желез. В результате снижения функции слюнных желез снижается способность ротовой полости к самоочищению. Подобный эффект может возникнуть и в результате приема других фармакологических препаратов.
Такая вредная привычка, как курение запускает все те же патологические процессы, что и патогенная микрофлора, то есть под воздействием никотина в околозубной ткани может развиться воспалительный процесс даже при отсутствии грамм-отрицательной микрофлоры. Никотин запускает деструкционные процессы в пародонте и стимулирует повышенную выработку цитокинов, кроме того, никотин негативно воздействует на обменные процессы, повышает ломкость и проницаемость сосудов, нарушает микроциркуляцию крови в околозубной ткани.
Плохая экология и работа на вредном производстве приводит угнетению функции иммунной системы и провоцирует рост болезнетворных бактерий.
Эффективное лечение пародонтита возможно только после устранения причины возникновения заболевания и проведения комплексного лечения, направленного на восстановление околозубной ткани, устранения хронических очагов инфекций, терапию системных заболеваний и общее укрепление иммунитета.
Вопрос-ответ
Основные причины развития пародонтита?
Причины пародонтита. Заболевание развивается из-за загрязнения зубодесневых карманов микроорганизмами. Последние негативно влияют на все окружающие ткани и выделяют в процессе своей жизнедеятельности токсины. Таким образом, главная причина опасного процесса — плохая гигиена полости рта.
Что провоцирует пародонтоз?
Чаще всего к развитию пародонтоза приводят панкреатит, хронический гастрит, язвенная болезнь желудка и 12-перстной кишки. Снижение защитных сил организма. Ослабление иммунитета может быть следствием перенесенных заболеваний или последствием травм, операций или других специфических методов лечения (химиотерапия).
Какова причина воспаления в пародонте?
Основная причина воспаления тканей пародонта – патогенные микроорганизмы в налете и зубном камне. Другие факторы, провоцирующие пародонтит, – травма десны, невылеченные болезни зубов, неправильный прикус, гормональные нарушения, наследственность.
Советы
СОВЕТ №1
Регулярно посещайте стоматолога для профилактических осмотров. Это поможет выявить проблемы на ранних стадиях и предотвратить развитие пародонтита.
СОВЕТ №2
Обратите внимание на гигиену полости рта. Чистите зубы дважды в день и используйте зубную нить, чтобы удалить остатки пищи и налет, которые могут способствовать воспалению десен.
СОВЕТ №3
Следите за своим питанием. Употребление продуктов, богатых витаминами и минералами, особенно витамина C, поможет укрепить десны и снизить риск развития пародонтита.
СОВЕТ №4
Избегайте курения и чрезмерного потребления алкоголя. Эти факторы значительно увеличивают риск заболеваний десен и могут усугубить уже существующие проблемы.

