Неправильный прикус — аномальное искривление зубочелюстной системы. Оно нарушает жевательные функции и провоцирует развитие патологий ротовой полости. При этом пациенты больше озабочены эстетической стороной вопроса. Кривые зубы выглядят малопривлекательно и ощутимо портят улыбку.
Прикус лечат комплексно: аппаратно и безаппаратурно (массажами, гимнастикой). Аппаратный метод (установка ортодонтических конструкций) считается оптимальным для пациента. Брекеты эффективны, но обладают противопоказаниями и выглядят некрасиво. Исправление прикуса элайнерами (капами) подразумевает закрепление на зубах пластичной шины. Исправление прикуса трейнерами происходит по схожему с капами принципу. Отличие заключается в конструкции шины и времени ее носки. Исправление прикуса винирами — наиболее комфортная для пациента методика. Стоят эти ортодонтические аппараты недешево. Исправить прикус винирами могут позволить далеко не все.
Правильно подобранная терапия вернет красоту вашей улыбке. Но придется запастись терпением и неукоснительно соблюдать рекомендаций врача.
Прикус — физиологическое положение зубов при смыкании челюстей. Идеальным (ортогнатическим) называют прикус, при котором верхние резцы на 1/3 прикрывают нижние. Боковые же зубы плотно сомкнуты. Незначительные отклонения (сдвинутая вперед нижняя челюсть, смыкание резцов) считаются нормой.
Неправильным прикусом называют аномальные искривления зубочелюстной системы. Они возникают вследствие травм, вредных привычек или генетической предрасположенности. По типу смещения зубов неправильный прикус делят на шесть видов:
- Дистальный (прогнатический). Отличается чрезмерным развитием верхней челюсти при недоразвитии нижней.
 - Мезиальный. Характеризуется видимым выдвижением нижней челюсти вперед.
 - Открытый. Отсутствие смыкания между большинством зубов обеих челюстей.
 - Глубокий. Отличается почти полным закрытием нижних резцов верхними зубами.
 - Перекрестный. Характеризуется недоразвитостью одной стороны любой челюсти.
 - Снижающий. Проявляется значительным истиранием эмали в результате скрипа зубами или их потерей.
 
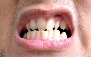
 Фото 1. Неправильный прикус может быть очень заметен.
Неправильный прикус опасен осложнениями:
- Ухудшение дикции
 - Заболевания полости рта
 - Затрудненное пережевывание пищи
 - Эстетические несовершенства
 
Особое беспокойство неправильный прикус причиняет подросткам. В этот период дети чрезмерно восприимчивы к насмешкам сверстников. Взрослые тоже страдают от неправильного прикуса. Некрасивая улыбка препятствует налаживанию личной жизни, карьерному росту и социальным контактам.
Показания к лечению без брекетов
До последнего времени брекеты считались эффективнейшим инструментом коррекции прикуса. При высокой результативности они причиняют пациентам немало неудобств. Брекеты портят улыбку, сложны в уходе и серьезно травмируют слизистые рта. К тому же установка брекетов противопоказана во многих случаях. К ним относят:
- Значительные разрушения зубов
 - Аутоиммунные заболевания
 - Эндокринные расстройства
 
Помимо этого брекеты нельзя ставить беременным и ВИЧ-инфицированным пациентам. Вот почему исправление прикуса без брекетов стало одним из перспективнейших направлений ортодонтологии.
Ортодонтическое лечение у взрослых и детей весьма схоже, но все же исправление глубокого прикуса у зрелых пациентов имеет свою специфику. Главная сложность состоит в том, что в старшем возрасте челюстные кости уже сформированы, поэтому для их трансформации требуются гораздо большие усилия. Другие негативные моменты связаны с возрастными изменениями: ухудшением кровоснабжения околозубных тканей, хрупкостью стенок ранее леченных зубов, атрофией кости. Все это может не лучшим образом сказаться на скорости лечения.
 Фото 2. Оптимальным началом лечения неправильного прикуса является подростковый возраст.
Вопрос как исправить прикус без брекетов волнует пациентов разных возрастов. Лечение прикуса без брекетов показано и взрослым, и детям. Кривые зубы у детей ортодонты рекомендуют лечить в возрасте 13—19 лет. В этот период кривизна зубов корректируется с минимальным вмешательством. В старшем возрасте исправление прикуса без брекетов проходит дольше и сложнее. Главное — правильно подобрать методику. Капы для исправления прикуса, виниры или трейнеры — что лучше?
Все способы безбрекетной коррекции зубов делят на два вида:
- Аппаратные (капы для исправления прикуса, вестибулярные пластинки, виниры, трейнер для прикуса)
 - Безаппаратные (без использования ортодонтических устройств)
 
Способ лечения подбирается на основании рентгена челюсти и осмотра полости рта. Кроме этих сведений учитывается возраст пациента и степень болезненности зубов.
 Фото 3. Безбрекетное лечение неправильного прикуса подбирается индивидуально.
Врачи-ортодонты отмечают, что лечение неправильного прикуса без использования брекетных систем становится все более популярным среди пациентов. Современные методы, такие как элайнеры, позволяют корректировать зубной ряд более эстетично и комфортно. Эти прозрачные капы не только незаметны, но и удобны в использовании, так как их можно снимать во время еды и гигиенических процедур.
Кроме того, специалисты подчеркивают важность индивидуального подхода к каждому пациенту. В некоторых случаях могут быть рекомендованы специальные ортодонтические аппараты или даже хирургическое вмешательство для достижения наилучшего результата. Врачи уверены, что грамотное сочетание различных методов позволяет добиться эффективного исправления прикуса без необходимости носить брекеты, что значительно повышает качество жизни пациентов.

Аппаратные методы лечения
Аппаратный метод, как исправление прикуса без брекетов у взрослых и детей, подразумевает ношение ортодонтических конструкций. Капы, виниры, трейнеры, вестибулярные пластинки механически корректируют линию зубочелюстной системы. Аппаратные устройства отличаются способом крепления и длительностью воздействия на зубы.
Ортодонтические капы (элайнеры)
Капы представляют собой съемные прозрачные накладки на зубы. Эти незаметные конструкции позволяют скрытно корректировать зубочелюстную систему. Капами для исправления прикуса у взрослых выравнивают даже сложные дефекты. Лечение прикуса капами будет успешным, если не снимать элайнеры часто.
Лечение прикуса капами показано в следующих случаях:
- Повышенная скученность зубов (отсутствие межзубных промежутков)
 - Расширение или сужение зубной дуги
 - Профилактика рецидивов после исправления прикуса
 
 Фото 4. Капы особенно эффективны в лечении небольших дефектов зубного ряда.
Для коррекции сложных аномалий используются постоянные элайнеры — круглосуточные, ночные капы показаны при незначительных дефектах. Во время гигиенических процедур или приема пищи элайнеры снимают.
Капы ставят на заключительном этапе лечения с помощью брекетов или пластинок, чтобы зафиксировать результат. Ведь если снять брекеты и не поставить систему, зубы вернутся в прежнее положение и никаких результатов лечения не будет видно. А капы позволяют закрепить новое положение зубного ряда.
Капы изготавливают из пластика или силикона. Силиконовые и пластиковые конструкции мягко меняют прикус, не травмируя слизистые. Элайнер легко снимается и надевается, не нарушает дикцию, не портит улыбку. Пациенты привыкают к нему спустя всего пару часов ношения.
По методу изготовления капы для исправления прикуса делят на три категории:
- Стандартные. Изготавливаются серийно, что делает их доступными большинству пациентов. Капа для исправления прикуса у взрослых отличается от детской модели только размерами.
 - Термопластические. Под воздействием высоких температур термопластические капы меняют форму. Благодаря этой особенности элайнеры быстро адаптируются под изменения зубочелюстной системы.
 - Индивидуальные. При их изготовлении используется индивидуальный слепок зубов пациента. Индивидуальные капы комфортны, но стоят дороже стандартных или термопластических аналогов.
 
Курс лечения прикуса капами составляет порядка 12 месяцев. Каждые 2—3 недели элайнеры меняют на новые. Хранят капы в специальном контейнере. В отличие от брекетов элайнерам не требуется специфический уход. Капам для исправления прикуса хватит регулярного промывания водой и чистки обычной зубной щеткой.
| По технологии изготовления | Термопластические | Индивидуальные | 
| Разогретый материал, пока он ещё мягкий и пластичный, помещают на зубы до его полного остывания. Капа принимает нужную форму и почти сразу готова к использованию. Способ подходит не каждому пациенту, но стоимость таких капп ниже остальных | Изготовлены более щадящим и комфортным способом: с зубов снимают слепки, использующиеся для создания капы | |
| По материалу изготовления | Пластиковые | Силиконовые | 
| По времени и продолжительности ношения | Круглосуточные | Ночные | 
| Носят не менее 21 часа в сутки, в противном случае эффективность коррекции значительно снижается. | Назначаются врачом после окончания коррекции дефектов прикуса, в ретенционный период для закрепления эффекта от выравнивания | 
В таблице представлены классификации элайнеров по разным критериям и их описания.
Многие люди, столкнувшиеся с проблемой неправильного прикуса, ищут альтернативные методы лечения, избегая брекетных систем. В последние годы популярность таких подходов, как капы и ортодонтические аппараты, значительно возросла. Пациенты отмечают, что использование прозрачных кап позволяет не только исправить прикус, но и сохранять эстетичный вид во время лечения. Кроме того, такие методы часто более комфортны, так как не вызывают дискомфорта, связанного с металлическими конструкциями.
Некоторые пациенты делятся положительным опытом использования инновационных технологий, таких как 3D-моделирование, которое помогает создать индивидуальный план лечения. Однако важно помнить, что эффективность альтернативных методов зависит от степени искривления зубов и особенностей каждого конкретного случая. Поэтому консультация с квалифицированным ортодонтом остается ключевым этапом на пути к здоровой улыбке. В целом, многие люди находят такие методы менее инвазивными и более удобными, что делает их привлекательными для тех, кто хочет избежать традиционных брекетов.

Вестибулярные пластины
Вестибулярные пластинки (пластинки доктора Хинца) — съемные аппараты, разработанные для детей. Они предназначены для предотвращения аномалий прикуса, вызванных вредными привычками. К пагубным привычкам относят ротовое дыхание, сосание пальцев или губ.
 Фото 5. С помощью вестибулярных пластинок ребенка отучают от привычек, портящих его прикус .
Вестибулярные пластины впускаются в двух размерах:
- Радиусом 22,5 мм (для детей с молочными зубами)
 - Радиусом 30 мм (для детей старше 7 лет)
 
Механическое воздействие пластин направлено на изменение мышечной моторики зубочелюстной системы. Она вырабатывается во время дневных тренировок длительностью 1—2 часа. Закрепление происходит ночью, когда пластинка постоянно находится во рту ребенка.
Трейнеры
Трейнерами называют сменные эластичные шины, закрепляемые на обеих челюстях одновременно. Их изготавливают из силикона, поэтому они не травмируют слизистые рта. Трейнер снимает напряжение челюстно-лицевых мышц и придает языку физиологическое положение. Качественно исправить прикус трейнерами можно только в раннем возрасте. Во взрослом возрасте видимые недостатки улыбки устраняют капами.
 Фото 6. Трейнеры часто используются для коррекции прикуса у детей.
Трейнеры для прикуса назначаются в следующих случаях:
- Повышенная скученность передних нижних зубов
 - Выявление противопоказаний для установки брекетов
 - Затрудненное глотание или носовое дыхание
 - Наличие вредных привычек (дыхание ртом, сосание пальцев, выпячивание губ)
 - Необходимость закрепления результата лечения брекетами
 - Дефекты речи
 - Рецидивное искривление зубов
 
Для исправления прикуса трейнерами используют начальные, завершающие шины и ретейнеры. Начальные трейнеры мягче завершающих и несильно давят на зубы. Их применяют первые 6—8 месяцев лечения прикуса без брекетов. За это время вырабатывается новый, правильный алгоритм работы челюстных мышц. На втором этапе лечения используют жесткие завершающие трейнеры. Их носят на протяжении полугода. За это время зубочелюстная система окончательно выравнивается и фиксируется.
Ретейнер — пластиковая капа с металлической дугой. Предназначен для закрепления эффекта, достигнутого использованием трейнеров. Срок носки ретейнера в два раза превышает длительность лечения трейнерами. В некоторых случаях пациенты вынуждены пользоваться ретейнерами всю жизнь.
 Фото 7. Ретейнеры отличаются от кап наличием жесткой дуги в своей конструкции.
Все виды трейнеров для прикуса предполагают ночное ношение. Днем рекомендованный контакт шины с зубами составляет порядка двух часов. Это позволяет исправлять прикус без брекетов, не выходя из дома. Контроль хода лечения осуществляется каждые 4—8 недель. Чистота трейнера поддерживается ополаскиванием водой и чисткой зубной щеткой.
Виниры
Стоматологические виниры — миниатюрные зубные протезы, устанавливаемые на переднюю часть зубов. Их изготавливают из керамики или композитных материалов. Винировая накладка выглядит натурально. Визуально она неотличима от природного зуба красивой формы. Вот почему виниры широко используются для маскировки эстетических дефектов зубов.
 Фото 8. Использование виниров сделает процесс лечения неправильного прикуса более приятным для пациента.
Винировое исправление прикуса у взрослых без брекетов показано при:
- Недоразвитии челюстных структур (межзубных щелях)
 - Умеренной кривизне зубов
 
Лечение винирами безболезненное, быстрое и эффективное. Конечный результат исправления прикуса винирами достигается за 2—3 посещения ортодонта.
Безаппаратурные методы лечения
Под безапаратурным исправлением прикуса без брекетов понимают комплекс терапевтических процедур. Он включает:
- Мероприятия по искоренению вредных привычек (сосания пальцев, ручек, губ)
 - Лечение кариеса и других болезней челюстной системы
 - Устранение препятствий для полноценного носового дыхания (лечение патологий носоглотки)
 - Массаж десен
 - Гимнастика языка, ротовой полости и челюстных мышц (миотерапия)
 
Миотерапия направлена на восстановление тонуса жевательных и мимических мышц. За счет напряжения конкретной группы мышц достигается коррекция определенных аномалий. У детей выполнение упражнений при прорезывании зубов формирует правильный прикус. В старшем возрасте даже интенсивные занятия не заменят ортодонтического лечения. У взрослых упражнения применяются в качестве элемента аппаратного исправления прикуса.
Миотерапия не допускает самолечения. Неправильно подобранные упражнения способны усугубить имеющиеся проблемы. Только врач подскажет, как исправляют прикус без брекетов гимнастикой.
Правила лечения
Любое вмешательство в структуру челюстной системы требует соблюдения определенных правил. Их выполнение является залогом исправления прикуса у взрослых без брекетов. Чему стоит уделить повышенное внимание?
Дискомфорт или боль
Любые неприятные ощущения в первую неделю лечения считаются нормой. В это время челюсть адаптируется к новым условиям функционирования. Пациентам необходимо запастись терпением и не спешить снимать ортодонтические аппараты. Для устранения болевого синдрома допускается прием легких анальгетиков.
У детей адаптационный период длится 3—4 дня. Если ребенок жалуется на боль, врач посоветует подходящее лекарство. После завершения адаптационного периода любая боль является основанием для посещения врача.
 Фото 9. Если неприятные ощущения не проходят в течение долгого времени, то это повод снова посетить стоматолога.
Гигиена
Ортодонтические конструкции чистят дважды в день. Для них необходимо завести отдельную щетку. Съемные аппараты снимают, чистят, после чего надевают на чистые зубы. Для стационарных корректирующих устройств требуются щетки специфической формы.
Во время чистки конструкции нельзя сжимать. Деформированный аппарат необходимо показать врачу для оценки пригодности устройства. Кратковременно неиспользуемые съемные аппараты хранят в специальных контейнерах. Емкости наполняют раствором, препятствующим пересыханию устройства.
Красивая улыбка — мечта любого человека. Благодаря ортодонтам она станет реальностью без болезненных процедур. Специалист подскажет, как исправить прикус без брекетов у взрослых или детей. Соблюдение рекомендаций и правильное ношение ортодонтических конструкций сделает вашу улыбку обворожительной.
 Фото 10. Во время лечения неправильного прикуса не стоит пренебрегать правилами гигиены полости рта.
Видео: Лечение неправильного прикуса без использования брекетных систем

Вопрос-ответ
Можно ли исправить неправильный прикус без брекетов?
Исправление прикуса без брекетов, как у детей, так и у взрослых, возможно с помощью ортодонтических трейнеров. Они выравнивают зубы, заставляя мышцы правильно работать. Результат сохраняется даже после окончания использования благодаря мышечной памяти.
Когда уже слишком поздно исправлять перекрестный прикус?
Исправлять перекрестный прикус можно в любом возрасте, однако наилучшие результаты достигаются в детском и подростковом возрасте, когда челюсти и зубы еще активно развиваются. Взрослым также доступны различные методы коррекции, но процесс может быть более сложным и длительным. Поэтому чем раньше начнется лечение, тем эффективнее оно будет.
Можно ли самому исправить прикус?
Единственное, что можно сделать без вмешательства стоматолога, – это попробовать устранить мелкие нарушения с помощью упражнений. Основной методикой самостоятельного исправления прикуса является миотерапия – лечебная физкультура, направленная на развитие челюстных и лицевых мышц.
Советы
СОВЕТ №1
Обратитесь к ортодонту для оценки состояния вашего прикуса. Специалист сможет предложить альтернативные методы лечения, такие как использование кап или съемных аппаратов, которые могут помочь исправить прикус без необходимости установки брекетов.
СОВЕТ №2
Регулярно выполняйте специальные упражнения для челюсти. Упражнения, направленные на укрепление мышц челюсти и улучшение координации, могут помочь в коррекции неправильного прикуса. Проконсультируйтесь с врачом о подходящих упражнениях.
СОВЕТ №3
Следите за своим питанием. Избегайте жесткой и твердой пищи, которая может усугубить проблемы с прикусом. Вместо этого выбирайте мягкие продукты, которые не требуют значительных усилий для жевания, что поможет снизить нагрузку на челюсть.
СОВЕТ №4
Используйте специальные ортодонтические капы. Эти устройства могут быть изготовлены индивидуально для вашего прикуса и помогут в его коррекции. Они удобны в использовании и могут быть сняты во время еды или чистки зубов.









