Фотоотбеливание – это просто и эффективно!
В данной статье мы обсудим такую процедуру как фотоотбеливание. Фотоотбеливание зубов – это абсолютно безопасная методика, пользующаяся сегодня большой популярностью. Существуют различные виды стоматологических процедур такого рода: отбеливание зубов (фотоотбеливание), отбеливание зубов системой zoom (фотоотбеливание zoom), лазерное отбеливание и другие.
Отбеливание зубов фотоотбеливанием исключительно кабинетная процедура, проводимая только специалистами. Сеанс включает в себя комплекс мероприятий по осветлению зубной эмали. Для достижения нужного эффекта дантист использует гели и препараты, а также специальное оборудование. Все это абсолютно безопасно: за короткий промежуток времени Вы получаете желаемый результат – белоснежная улыбка на долгое время. Подобрать необходимый вид отбеливания и уточнить полную стоимость услуги Вам помогут на консультации в стоматологическом центре.
Сегодня большое количество людей обращается к стоматологам с проблемой изменения цвета зубной эмали. Эта проблема скорее эстетическая, но не опасная для здоровья. Современная медицина и индустрия красоты готовы предложить множество способов, чтобы осветлить эмаль:
- отбеливающие пасты и порошки;
 - стоматологические гели;
 - чистка зубов;
 - лазерное отбеливание;
 - фотоотбеливание.
 
Фото 1. Процедура фотоотбеливания зубов
Все эти способы являются безболезненными и безопасными. Самое большое распространение среди всех получило именно фотоотбеливание зубов.
Процедура фотоотбеливания зубов
Фотоотбеливание многокомпонентная и эффективная процедура, она проводиться в несколько этапов. Сначала на зуб наноситься гель, в составе которого содержится перекись водорода и карбамида, затем производиться световое воздействие, при котором в геле происходит химическая реакция с выделением кислорода. Кислород же выступает в качестве окислителя и очень хорошо разрушает любые загрязнения, проникая в эмаль, именно за счет этого достигается белизна. Чем выше содержание перекиси в геле, тем белее будут зубы. Обычно в препарате имеется небольшая концентрация водорода, но в некоторых случаях (для достижения максимального эффекта в короткие сроки) содержание водорода может достигать 40%.
Для фотоотбеливания зубов применяют световые лампы, по источнику света эта простая процедура делится на:
- Светодиодное отбеливание – самое безопасное, оно производиться LED лампой с холодным свечением. Тепло минимизировано.
 
Фото 2. LED лампа с холодным свечением
- Плазменное отбеливание — самая дорогостоящая и самая эффективная процедура. Проводиться на максимальной мощности с минимумом тепла.
 
Фото 3. Плазменное отбеливание зубов
- Галогенное отбеливание — самое широко распространенное отбеливание, но при его использовании оказывается большое термическое воздействие на ткани, поэтому приходиться использовать фильтры (технология zoom).
 
Фото 4. Отбеливание зубов методом Zoom
- Ультрафиолетовое отбеливание — самым лучшим образом высвобождает кислород из геля, но оказывает губительное действие на ткани человеческого организма (а именно полость рта). Поэтому после появления других видов отбеливания, ультрафиолет ушел на второй план.
 
Фото 5. Отбеливание зубов ультрафиолетом
До начала самой процедуры пациент должен пройти тщательный осмотр. Прежде всего это консультация опытного стоматолога, проверка состояния зубов, состояния дёсен, если необходимо назначается терапевтическое лечение. После обследования, при соблюдении всех требований проводиться процедура фотоотбеливания, она занимает около часа и включает несколько этапов:
- происходит очищение зубов от налёта, частичек пищи и других загрязнений;
 - определяется белизна зубов по шкале Вита, с занесением в карту пациента;
 - производиться изолирование полости рта ватными тампонами и ретрактором;
 - дёсны обрабатываются защитным гелем (для избегания раздражения от агрессивных веществ в составе геля);
 - на просушенные зубы наносится гель и освещается лампой, для протекания реакции с выделением кислорода:
 - гель удаляется и врач оценивает результат, если осветление произошло не на достаточном уровне, процедура повторяется, но только 4 раза за один сеанс;
 - по достижении нужного результата гель окончательно удаляют, затем очищают дёсны от защитного крема и полость рта промывают;
 - завершающий этап это нанесение регенерирующей мази, которая восстанавливает эмаль, и снижает чувствительность.
 
Врачи-стоматологи высказывают различные мнения о фотоотбеливании зубов. Многие специалисты отмечают, что этот метод является эффективным и безопасным, если его проводит квалифицированный специалист. Они подчеркивают, что процедура позволяет добиться заметного результата за короткое время, не повреждая эмаль. Однако некоторые врачи предостерегают от чрезмерного увлечения отбеливанием, так как это может привести к повышенной чувствительности зубов и другим проблемам. Важно учитывать индивидуальные особенности пациента и проводить предварительную диагностику. В целом, стоматологи рекомендуют сочетать фотоотбеливание с регулярным уходом за полостью рта для достижения наилучших результатов и сохранения здоровья зубов.

Показания к фотоотбеливанию зубов
В современном мире процедуру отбеливания зубов может позволить себе практически каждый. Осветление эмали — это безопасный и безболезненный процесс. Изменение цвета зубов средней и тяжёлой степени (жёлтые зубы) лучше всего поддаются отбеливанию. Если же зубы имеют красноватый или сероватый оттенок, то результат может не превзойти ожидания.
Фото 6. Процедура фотообеливания зубов
Как и все процедуры фотоотбеливание имеет свои противопоказания:
- Наличие имплантов, если у пациента есть протез или коронка. Следует знать, что они не изменяют цвет при отбеливании. Тогда после окончания процедуры может потребоваться их замена.
 - Поражение зубов изнутри, если образовался некроз зубного канала или пульпы, а также если деколорация идет изнутри. Тогда может понадобиться глубокое отбеливание (внутри каналов), тогда как фотоотбеливание взаимодействует только с эмалью.
 - Чувствительная или ослабленная эмаль. Наличие каких-либо дефектов (трещины, эрозии) может усугубить ситуацию, так как гель может проникнуть в «сердце» зуба, тогда велика вероятность осложнений. При повышенной чувствительности процедура собственно вообще не возможна, так как выделившийся кислород ещё больше её обострит.
 - Негерметичость пломбы и присутствие кариеса также могут спровоцировать нежелательные последствия, так как гель может проникнуть внутрь зуба и привести к гибели пульпы.
 
Методики фотоотбеливания зубов
В основе методов фотоотбеливания зубов лежит принцип активации геля за счёт света, но принципы воплощения в жизнь данных методов различны-отсюда и наличие огромного числа конкурентов на этом рынке. Различают две основные методики фотоотбеливания:
- beyond polus;
 - zoom.
 
Компания DISCUS DENTAL разработала систему zoom для осветления зубов, в её основе лежит использование светодиодной лампы со специальным фильтром выделяющим инфракрасное излучение. Фильтр позволяет избежать теплового воздействия на зубы пациента и также с его помощью возможно контролировать процесс активации геля. Процедура продолжается чуть менее час и позволяет отбелить зубы на 7-8 тонов.
Фото 7. Аппарат для отбеливания зубов Zoom
Система же beyond polus это относительно новая методика, в её основе применена технология LightBridge, то есть применяется излучение и светодиодное и галогенновое одновременно, что позволяет исключить вредные ультрафиолетовые излучения и сохранить мощность для устойчивой реакции, которая необходима для активации отбеливающего геля. При отбеливании применяется специальная точнонаправленная лампа (аппарат), она позволяет сузить облучаемый участок вплоть до одного или нескольких зубов, а сама процедура длится всего полчаса.
Фото 8. Аппарат для отбеливания Beyond Polus
Фотоотбеливание зубов становится все более популярной процедурой, и мнения людей о ней варьируются. Многие отмечают, что результат действительно впечатляет: зубы становятся заметно белее, что придаёт улыбке свежесть и уверенность. Пользователи часто делятся положительными впечатлениями о быстроте и безболезненности процесса. Однако не все так однозначно. Некоторые выражают опасения по поводу возможного повреждения эмали и чувствительности зубов после процедуры. Также встречаются отзывы о том, что эффект может быть временным, и для поддержания результата требуется регулярное повторение. В целом, фотоотбеливание вызывает интерес и обсуждение, и многие готовы попробовать его ради красивой улыбки.

Преимущества и недостатки фотоотбеливания зубов
Фотоотбеливание зубов — это прежде всего медицинская процедура, поэтому решившись на такой шаг необходимо оценить все «за» и «против». К преимуществам фотоотбеливания можно отнести уникальность. На сегодняшний день это самая универсальная и самая быстрая методика по осветлению зубной эмали, которую предлагает стоматология. Она позволяет в самый короткий срок (1-2 сеанса по 1 часу) получить белоснежную улыбку. Конечно конечный результат зависит от индивидуальных особенностей организма, от наследственности, тщательном допроцедурном осмотре, отсутствии противопоказаний, но белизна зубов Вам гарантирована. Осветление происходит на 4-9 тонов по шкале Вита. Есть пациенты, у которых отбеливание может произойти на 11 тонов (стандартная шкала Вита имеет 16 оттенков). Простота и безболезненность данной процедуры помогут решиться на такой шаг.
Фото 9. Осмотр зубов перед отбеливанием зубов
К недостаткам фотоотбеливания или к побочным эффектам, наблюдающимся у каждого пациента можно отнести повышение чувствительности (результат химической реакции), раздражение дёсен (если гель попадёт на десну может произойти и её обесцвечивание) и боль и дискомфорт в полости рта (это знак того, что компоненты проникли внутрь или того что случилось обезвоживание зубной эмали). Конечно есть также и индивидуальные реакции организма, которые заранее предсказать очень сложно.
Любое отбеливание зубов не бывает вечным, оттенок зубов постоянно изменяется из-за воздействия красителей в пище, напитках и других вредных факторов.
Итак, подведя итог можно сказать, что современная стоматология не стоит на месте и мы постоянно узнаем о новых методиках совершенствования красоты (что особенно популярно среди женщин). Одна из таких методик — это фотоотбеливание зубов. Распространение своё она получила благодаря простоте, эффективности и безболезненности процедуры. Конечно данная процедура требует финансовых затрат (цены варьируются от 5000 до 20000 тысяч рублей). Однако средства Вы тратите единожды, так как результат достигается за одно применение, а белизна зубов остается на долго.
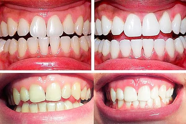
Фото 10. Отбеливание методом Zoom, цвет зубов до и после процедуры
Если Вы все-таки решились на такую процедуру, обязательно проконсультируйтесь у опытного дантиста, проведите необходимые мероприятия по гигиене полости рта, оцените все преимущества и недостатки, а также узнайте подробную информацию о противопоказаниях, чтобы избежать серьёзных последствий. Имейте ввиду, что любая медицинская процедура — это вмешательство во внутренний «режим» организма, поэтому будьте начеку! Но после фотоотбеливания Вы увидите результат (иногда требуется не больше 20 минут).
Таблица 1. Плюсы и минусы фотоотбеливания зубов
| 
 Преимущества и недостатки фотоотбеливания  | 
|
| 
 +  | 
 –  | 
| 
 Результат виден сразу после процедуры  | 
 Стоимость процедуры  | 
| 
 Безболезненно  | 
 Важна квалификация врача  | 
| 
 Время процедуры не превышает 1 часа  | 
 Качественное дорогостоящее оборудование  | 
| 
 Безопасность  | 
 Возможна аллергия на отбеливающие препараты  | 
| 
 Результат сохраняется на несколько лет  | 
 Раздражение слизистой от геля  | 
| 
 Не повреждается эмаль  | 
 
  | 
Видео: Фотоотбеливание зубов

Вопрос-ответ
Что такое фотоотбеливание?
Фотоотбеливание, также известное как ламповое отбеливание, проводится путем просвечивания зубной эмали с помощью галогенных, светодиодных или ультрафиолетовых лучей. Это создает осветляющий эффект. В большинстве случаев в качестве осветлителя для фотоотбеливания используется перекись водорода.
Какой самый эффективный способ отбеливания зубов?
Более эффективным методом считается ультразвуковое отбеливание зубов. Оно подходит для подростков и взрослых. Так же как и технология Air Flow, ультразвуковой метод является профессиональной чисткой зубов, в результате которой достигается отбеливающий эффект.
Как долго держится лазерное отбеливание?
После курсового воздействия результаты лазерного интимного отбеливания сохраняются на всю жизнь.
Советы
СОВЕТ №1
Перед процедурой фотоотбеливания обязательно проконсультируйтесь с стоматологом. Он поможет определить, подходит ли вам эта методика, и выявит возможные противопоказания, такие как чувствительность зубов или наличие заболеваний десен.
СОВЕТ №2
Обратите внимание на состояние ваших зубов перед процедурой. Если у вас есть пломбы, коронки или другие стоматологические работы, уточните у специалиста, как они могут повлиять на результат отбеливания.
СОВЕТ №3
После процедуры соблюдайте рекомендации по уходу за зубами. Избегайте продуктов, которые могут окрашивать зубы, таких как кофе, чай и красное вино, в течение первых 48 часов после отбеливания для достижения наилучшего результата.
СОВЕТ №4
Регулярно посещайте стоматолога для профилактических осмотров и чисток. Это поможет поддерживать результаты фотоотбеливания и здоровье ваших зубов в целом.









