Зубной камень — налёт желто-коричневого цвета. Это твердая масса, образующаяся из зубного налета, частичек еды.
Возникает из-за воздействия секрета и активности бактерий в ротовой полости. Если не соблюдать правила гигиены, то это приведет к появлению его на резцах.
Виды зубного камня: что это такое. Как убрать отложения: методы лечения, как чистят зубы
Врачи в стоматологии выделяют всего 2 вида отложений.
Врачи стоматологи подчеркивают, что зубной камень является серьезной проблемой, требующей своевременного вмешательства. Его образование связано с недостаточной гигиеной полости рта, поэтому регулярная чистка зубов и использование зубной нити играют ключевую роль в профилактике. Снятие зубного камня осуществляется с помощью ультразвуковых и механических инструментов, что позволяет эффективно удалить отложения без повреждения эмали. Важно отметить, что после процедуры необходимо соблюдать рекомендации по уходу за зубами, чтобы предотвратить повторное образование камня. Фото до и после удаления зубного камня наглядно демонстрируют улучшение состояния зубов и десен, что служит дополнительным стимулом для пациентов заботиться о своем здоровье. Врачи настоятельно рекомендуют посещать стоматолога не реже двух раз в год для профессиональной чистки и контроля состояния зубов.

Поддесневой тип, как от него избавиться
Этот вид образования отличается плотностью и твердостью. Собственными силами его выявить не представляется возможным. Камень герметично прилегает к корню зуба и размещен в области десны.
Эта форма патологии встречается редко и наблюдается у лиц старше 40 лет.
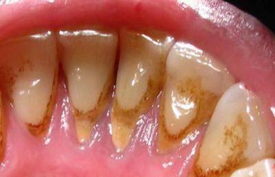
Поддесневой камень может быть темно-коричневым или зелено-черным. Он относится к сывороточному типу, потому что источником формирования выступает десневая жидкость, напоминающая сыворотку крови.
Наддесневой вид, как бороться
Наддесневой зубной камень имеет белый или желтый оттенок и локализуется на наружной части зуба над десной. Встречается в двух формах: закаменелый и глинообразной структуры.
Такая разновидность недуга отмечается у детей 9—15 лет, а также у взрослых и пожилых людей.
Он образуется из компонентов, содержащихся в слюне. По мере прогрессирования болезни сначала формируются наддесневые отложения, а потом поддесневые.
Зубной камень — это проблема, с которой сталкиваются многие. Люди часто делятся своим опытом удаления и профилактики этого неприятного налета. Многие отмечают, что регулярная профессиональная чистка у стоматолога — это лучший способ борьбы с зубным камнем. Процедура занимает всего 30-60 минут и позволяет избавиться от налета, который невозможно удалить обычной щеткой.
Пользователи также подчеркивают важность домашнего ухода: использование зубной нити и ополаскивателей помогает предотвратить образование камня. В интернете можно найти множество фото “до” и “после” процедур, которые наглядно демонстрируют эффективность чистки. Некоторые рекомендуют специальные пасты и щетки, но важно помнить, что они не заменят профессиональную помощь. В целом, люди согласны, что забота о зубах — это залог здоровья и уверенности в себе.

Причины возникновения налета: как это происходит
Налет образуется в состоянии покоя жевательного аппарата (в основном во время сна). Отмечается большое количество причин развития налета на резцах:
- Отсутствие или недостаток гигиены.
 - Прием лекарственных средств, которые содержат железо.
 - Микробы, находящиеся в ротовой полости.
 
На образование налета влияет строение челюстей, наличие/отсутствие пломб и протезов. А также вязкость и количество слюны, продукты питания, вредные привычки, патологии желудочно-кишечного тракта. Употребление большого количества углеводов также способствует формированию налета.
Образование зубного камня: что на это влияет, нужно ли его снять
Патология развивается на фоне неправильной или редкой чистки зубов. Применение старой или мягкой зубной щетки или использование плохой пасты также способно повлиять на появление камней. Другие причины:
- Малое количество твердой пищи, что не позволяет защититься от отложений на зубах.
 - Неправильное распределение жевания, т. е. пережевывание пищи предпочтительно на левой или правой стороне.
 - Сбой метаболизма и изменение состава секрета.
 - Патологии ЖКТ.
 - Прием антибиотиков.
 - Шероховатость поверхности моляров.
 
Формирование зубных отложений начинается с появления зубного налета. В дальнейшем он начинает затвердевать и становится темным из-за солей железа, кальция и красителей, содержащихся в продуктах. Сначала отложения образуются на шейках зубов, т. е. в труднодоступных зонах, но в дальнейшем распространяются на коронку и корень резца. Длительность появления этого образования составляет 4—6 месяцев и зависит от наличия вредных привычек и специфики организма.
Развитие налёта состоит из нескольких этапов. Сначала резец покрывается тонкой пленкой, которая состоит из протеинов и других компонентов слюны. Из-за того, что пленка является частично проницаемой, она участвует в обменных процессах с ротовой жидкостью. Благодаря рыхлой структуре пленки, в нее проникают остатки пищи и другие патогенные микроорганизмы.
Налет, состоящий на 70% из бактерий, растет и в течение некоторого времени начинает контактировать с зубной эмалью и разрушает ее. В дальнейшем он минерализуется и образуется камень.

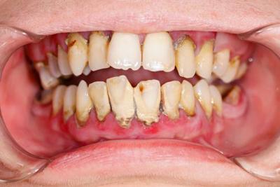
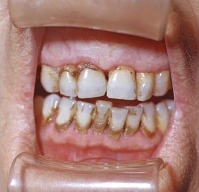
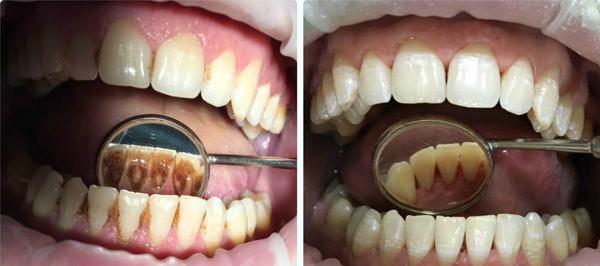
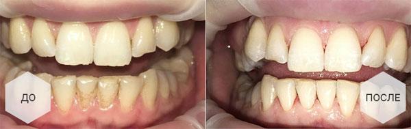
Очищение зубов: фото до и после удаления
Фото 1. Поддесневой вид зубного камня. Не поддается самостоятельной чистке, требуется удаление у стоматолога при помощи пескоструйного аппарата.
Фото 2. Наддесневая форма болезни с закаменелой структурой. Наблюдается переход наддесневых отложений в поддесневые.
Фото 3. Наддесневой зубной камень, легкая стадия. Фото после демонстрирует эффективность удаления камня методом Airflow.
Профилактика и размягчение налета: как правильно снимать в стоматологии, почему после очистки может вновь быстро появиться
Профилактика этого недуга заключается в постоянном очищении ротовой полости. Врачи рекомендуют это делать после каждой трапезы. Если десна не отличается высокой кровоточивостью, то щетку можно выбирать жесткую. Очищать моляры важно с наружной и внутренней стороны.
Зубная паста должна содержать пирофосфат — вещество, оседающее на эмали и предотвращающее появление камней и налетов. Разрешено использовать зубные нити для очистки межзубного пространства, а также ополаскиватель. При очищении резцов можно использовать твердые яблоки.
Важно! Патология быстро появляется на фоне вредных привычек и употребления кофе.
Отложения на резцах формируются из-за наличия в рационе:
- шоколада;
 - конфет;
 - хлеба;
 - газировки.
 
Что нужно делать: как растворить или почистить налет, чтобы он отвалился, чистка полости рта
Для предотвращения этого образования требуется чистить зубы дважды в день, отказаться от курения, не злоупотреблять кофе, сладкими и мучными изделиями. Рекомендуется часто есть морковку и яблоки.
Как называется врач, который убирает камень? Метод air flow и лазер, можно ли удалять во время беременности и является ли это ОМС случаем?
Для того чтобы предупредить появление этого образования, требуется систематически посещать дантиста и правильно ухаживать за ротовой полостью. Если же зубной камень появился, то его надо лечить. Самый распространенный способ удаления — лазерный. В ходе процедуры отложения на эмали разрушаются, а под воздействием смеси воды и воздуха под сильным напором — смываются с резцов.
Удаление зубного камня осуществляется в несколько этапов:
- 
Чистка зубов посредством специального устройства, который может быть поставлен в стоматологическую установку, а может встречаться в виде отдельного блока.
В процессе удаления камня периодически подается вода и антисептик, убирающиеся из полости рта через слюноотсос.
 - Полировка резцов. В основном применяются щетки и пасты, а для полировки межзубного пространства — полоски с абразивом. Для этого активно используется метод Аirflow, который заключается в сильной подаче смеси воды, воздуха и абразива.
 - Фторирование. На этом этапе происходит укрепление эмали с помощью фтора. Для чего на зубы наносятся гели или лаки на несколько минут. После этой процедуры нельзя пить и принимать пищу в течение двух часов.
 
Важно! При недостаточном профессионализме врача некоторые камни могут быть не замечены при удалении. Именно поэтому иногда такую процедуру приходится проходить несколько раз, чтобы удалить все камни.
Такая техника лечения не оказывает негативного влияния на зубы, а только воздействует на их поверхность. Благодаря этому можно вылечить все виды зубного камня, а также налет, т. е. такой метод является универсальным. Чистка зубов безболезненная и недорогая, по сравнению с другими способами удаления камней. После первой процедуры зубы станут белее, т. е. примут свой природный, естественный цвет.
Кроме вышеописанного способа удаления камней, стоматологи используют химические вещества для растворения камней или инструменты для ручного удаления.
Важно! Беременным врачи-стоматологи рекомендуют удалять камни. Это связано с тем, что патология способна спровоцировать кровоточивость десен, что приводит к развитию инфекции. Удаление образований проводится с помощью ручных инструментов.
Полезное видео
Посмотрите видео, в котором рассказывается о том, как самостоятельно дома можно размягчить и очистить зубной камень.
Как ухаживать за зубами после удаления
Не рекомендуется самостоятельно применять народные средства для избавления от этих образований, потому что такой способ используется для профилактики зубного налета и камня.
Вопрос-ответ
Какой способ удаления зубного камня лучше?
Удаление зубного камня ультразвуком признано одним из самых эффективных и безопасных. Оно осуществляется ультразвуковым скейлером, настраиваемым стоматологом на частоту и глубину проникновения колебаний, не приносящих повреждения эмали.
Как выглядят зубы после удаления зубного камня?
Однако после тщательной чистки зубов визуальные изменения часто разительны. Зубы обычно выглядят более яркими и гладкими, поскольку удаление зубного камня обнажает естественный блеск эмали. Дёсны также могут выглядеть более здоровыми и менее воспаленными, что способствует более свежему и сияющему виду.
Что хорошо растворяет зубной камень?
Перекись водорода. Смешать 3% раствор перекиси водорода с пищевой содой в пропорции 1:3. С помощью зубной щетки нанести смесь на зубы и чистить в течение 2-3 минут. Прополоскать теплой водой. Процедуру проводить не чаще 1 раза в неделю.
Что будет после чистки зубного камня?
После удаления камня зубы очищаются от мягкого налёта и полируются, что помогает вернуть им естественный блеск и цвет. Такая процедура не только улучшает внешний вид зубов, но и способствует оздоровлению дёсен, снижая риск воспаления и развития пародонтологических заболеваний.
Советы
СОВЕТ №1
Регулярно посещайте стоматолога для профессиональной чистки зубов. Это поможет предотвратить образование зубного камня и сохранить здоровье десен. Рекомендуется делать это не реже двух раз в год.
СОВЕТ №2
Используйте зубную пасту с абразивными частицами или специальные пасты для борьбы с зубным камнем. Они помогут удалить налет и предотвратить его накопление, что снизит риск образования камня.
СОВЕТ №3
Обратите внимание на свою технику чистки зубов. Чистите зубы не менее двух минут дважды в день, используя мягкую щетку и правильные движения. Это поможет эффективно удалять налет и предотвращать образование зубного камня.
СОВЕТ №4
Сократите потребление сахара и кислых продуктов, которые способствуют образованию налета. Включите в рацион больше овощей и фруктов, которые помогают естественным образом очищать зубы и десны.







