Брекеты — конструкция для выпрямления зубных рядов и коррекции разных типов патологий прикусов.
Средство применяется в лечении как у детей и подростков, так и у взрослых.
В каждом случае ортодонт предлагает один или несколько видов брекетов, подходящих для конкретной ситуации.
По каким принципам классифицируют брекет-системы и есть ли у них отличия?
Брекеты разделяют на множество видов по таким параметрам:
- Эстетичность и место установки конструкции.
 - Срок лечения. Для разных видов брекетов он отличается.
 - Цель установки — выровнять немного зубной ряд или решить проблему с неправильным прикусом (сложной патологией).
 - Материал. Разные виды материалов отличаются по прочности и внешнему виду.
 
Важно! Вне зависимости от того, какую систему выбирать, на начальном этапе будет присутствовать сильный дискомфорт и болевые ощущения, пока пациент не привыкнет к установке. Иногда даже прописывают обезболивающие препараты.
Современные ортодонтические устройства предлагают широкий выбор, что позволяет каждому пациенту найти оптимальный вариант для исправления прикуса. Врачи отмечают, что традиционные металлические брекеты остаются популярными благодаря своей надежности и эффективности. Однако, с развитием технологий на рынке появились и другие виды, такие как керамические и сапфировые брекеты, которые менее заметны и более эстетичны.
Кроме того, существуют лингвальные брекеты, устанавливаемые на внутренней стороне зубов, что делает их практически невидимыми. Врачи подчеркивают, что выбор устройства зависит не только от эстетических предпочтений, но и от клинической ситуации. Каждый тип брекетов имеет свои преимущества и недостатки, и только опытный ортодонт может рекомендовать наиболее подходящий вариант, учитывая индивидуальные особенности пациента. Таким образом, разнообразие ортодонтических устройств позволяет сделать лечение более комфортным и эффективным.

Виды по расположению на зубах
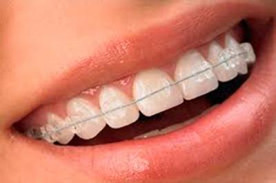
Брекет-системы ставят как на внутреннюю поверхность зубов, так и на наружную. По этому критерию конструкции делят на вестибулярные (наружные) и лингвальные (внутренние).
Вестибулярные: что это такое?
Вестибулярные брекеты — классическая условно-несъемная конструкция, которую устанавливают чаще всего.
Брекеты клеят к наружной поверхности зубов, а затем соединяют друг с другом с помощью дуги.
К ним пациенты быстро привыкают. Ношение никак не отражается на дикции. При этом изделия эффективно выравнивают зубы и различные патологии прикуса.
Стоимость вестибулярных конструкций ниже лингвальных брекетов.
К минусам относят сложный уход: использование специальной зубной нити, щеток и дополнительных приспособлений для качественного удаления остатков пищи и мягкого налета из ротовой полости.
Еще один явный недостаток — такие конструкции заметны даже при прозрачном материале брекетов.
Современные ортодонтические устройства предлагают широкий выбор, который удовлетворяет потребности самых разных пациентов. Люди отмечают, что брекеты теперь не только эффективны, но и эстетически привлекательны. Металлические брекеты остаются классикой, но многие предпочитают керамические или сапфировые, которые менее заметны на зубах. Инновационные системы, такие как лингвальные брекеты, устанавливаются с внутренней стороны зубов и идеально подходят тем, кто хочет скрыть лечение. Также популярны элайнеры, которые представляют собой прозрачные капы и позволяют добиться желаемого результата без металлических конструкций. Каждый вид брекетов имеет свои преимущества и недостатки, и выбор зависит от индивидуальных предпочтений и клинической ситуации. Важно проконсультироваться с ортодонтом, чтобы подобрать оптимальный вариант для достижения красивой улыбки.

Лингвальные: неправильные и внутренние
Лингвальные системы — усовершенствованная версия классических брекетов. Эти конструкции ещё называют «брекетами-невидимками». Конструкция крепится к внутренней поверхности зубных единиц.
Справка! Внутренние брекеты не устанавливают детям. В этом случае используют только вестибулярные системы.
Основное преимущество заключается в максимальной незаметности. Такие конструкции ставят людям, которые переживают за эстетику своей улыбки.
Недостатки:
- Цена. За систему, установленную только на один зубной ряд, придется отдать от 30 тысяч рублей.
 - Сложность процедуры. Установка системы с внутренней стороны сложнее. У стоматолога должен быть наработан большой опыт.
 - Уход. За лингвальными брекетами сложнее ухаживать, чем за обычными.
 - Долгое привыкание. Дискомфорт чувствуется не менее 1 недели.
 - Возможные проблемы с дикцией.
 - Противопоказания. Такие системы не ставят пациентам с тяжелыми патологиями, так как конструкция будет просто неэффективной. Их нельзя зафиксировать, если у человека передние зубы укорочены.
 
Все типы по способу крепления
В таких системах дуга фиксируется на брекетах с помощью лигатур или специальных замочков.

Лигатурные
Лигатуры — маленькие эластичные круглые резиночки, которые фиксируют металлическую дугу на каждом брекете. Это стандартные и более «старые» способы закрепления.
В качестве лигатур также устанавливают металлические проволочки из алюминия, серебра или стали, но уже на завершающих стадиях лечения, когда требуется большое усилие и нагрузка.
Преимущества:
- Эффективнее многих других вариантов. Тяжелые патологии решаются именно с помощью классических брекетов с лигатурами.
 - Невысокая стоимость по сравнению с безлигатурными.
 
Недостатки:
- Со временем лигатуры окисляются и меняют цвет, поэтому эстетика улыбки нарушается еще больше.
 - Эластичные кольца также изменяют цвет после употребления красящихся продуктов.
 - Проволочки повреждают внутреннюю сторону губ и щек.
 - Эластичные кольца требуется менять раз в месяц, так как они теряют быстро свою форму из-за постоянного натяжения.
 - Сама система громоздкая и большая.
 - Уход за ней требует больше времени.
 - Жесткая фиксация, которая вызывает дискомфорт.
 - Долгая процедура коррекции металлической дуги. Изменение ее положения при наличии лигатур занимает больше времени, чем этого требуют системы с замочками.
 
Внимание! Цвет эластичной резиновой конструкции, которая фиксирует дугу на брекетах на начальном этапе лечения, может быть разным, а не только прозрачным. Как правило, подростки и дети выбирают разноцветные варианты.
Самолигатурные или по-другому безлигатурные
В основе этих конструкций — саморегулирующиеся подвижные фиксаторы разных видов: задвижки, пружинистые клипсы, защелки.
Популярный производитель таких брекетов — компания Damon.
Это современный, усовершенствованный вариант брекетов.
Основное отличие такой инновации заключается в том, что они не фиксируют дугу жестко, а только предотвращают ее возможные перемещения.
Ношение таких конструкций практически не вызывает болезненных ощущений у пациентов. Снижается давление на зубные единицы, челюсти не испытывают дополнительной нагрузки.
Плюсы:
- Простой уход.
 - Небольшой и удобный размер.
 - Легкая установка системы.
 - Минимальный риск повреждения слизистых оболочек рта, поэтому брекеты используют даже при наличии такого заболевания, как пародонтит.
 - Быстрый процесс коррекции незначительных патологий. Разница периода коррекции составляет приблизительно на 25% меньше.
 - Отсутствие необходимости посещать часто врача: обычно это один визит в 2—3 месяца.
 
У безлигатурных устройств присутствуют два существенных минуса: высокая цена по сравнению с лигатурными и отсутствие возможности исправить серьезные патологии прикуса с их помощью.
Справка! Первые безлигатурные брекеты были созданы еще в конце XX века, однако свою известность обрели только в XXI.
Варианты по материалу изготовления
Стоимость и эффективность брекетов зависит также от материала. Различают такие виды: металлические, керамические, пластмассовые, титановые и сапфировые.
Фото 1. Примеры брекетов, изготовленных из разных материалов: металлические, керамические, пластиковые, сапфировые.
Металлические
В этом случае металлической будет не только дуга, но и сами устройства, которые приклеиваются к каждой зубной единице. Это классический и эффективный вариант конструкции, так как он обеспечивает максимальное натяжение и усилие.
Внимание! Металлические системы, которые были похожи на современные брекеты из этого же материала, носили на зубах еще солдаты Бретани в XVIII веке. Они защищали зубы бойцов от серьезных травм во время сражений.
Как правило, берут медицинскую сталь. Ее иногда покрывают золотым налетом. Такие чейн брекеты уже дорогостоящие. Их выбирают при наличии заболеваний с ЖКТ.
Преимущества:
- Доступная цена. Это один из дешевых, но действенных материалов брекетов. За один зубной ряд отдают около 15 тысяч рублей.
 - Прочность.
 - Быстрая адаптация. К металлическим брекетам привыкают быстрее — за 2—3 дня.
 
Главный недостаток — отсутствие эстетики. Тем не менее эта проблема решаема: устанавливают сначала разноцветные лигатуры, если речь идет о ребенке или подростке, или же выбирают металлические системы с белым тефлоновым покрытием.
Пластиковые
В качестве материала для брекетов используется и пластик. Однако дуга все равно изготавливается из металла.
Известные бренды пластиковых конструкций: Spirit Alexander, Spirit MB, Elegance.
Плюсы:
- Это дешевые брекеты. Стоимость — около 10 тысяч рублей за один ряд.
 - Они малозаметны.
 
Минусы:
- Подходят только для быстрого лечения несложных заболеваний.
 - Они хрупкие и недолговечные.
 - Окрашиваются при курении и употреблении напитков и продуктов питания с красящими веществами.
 - Вызывают иногда воспаление слизистой.
 
Керамические
Такие установки практически незаметны на зубах — только с небольшого расстояния.
Они выполнены из стоматологической керамики, цвет которой совпадает с оттенком зубной эмали конкретного пациента, так как изготавливаются индивидуально.
Большой популярностью пользуются такие бренды керамических брекетов: Reflections, Aspire, Clarity.
Плюсы:
- Прочность.
 - Закругленная форма — не травмируют слизистые.
 
Минусы:
- Стоимость. Установка брекетов на один ряд выйдет минимум в 20 тысяч рублей.
 - Осторожное обращение. При сильной нагрузке они могут треснуть.
 - Необходимость отказаться от курения — через 1—2 недели они темнеют. Исключают также цветные газированные напитки, красное вино, кофе, некоторые красящие приправы (шафран, кари и другое).
 
Сапфировые
Такие системы называются так, потому что их производят из искусственно выращенных сапфиров, поэтому они дорогие. За один зубной ряд придется отдать минимум 25 тысяч рублей. Этот материал соединяет в себе качества керамики и металла: они почти такие же прочные, как и металлические, но при этом незаметные — полностью прозрачные.
Еще несколько преимуществ сапфировых брекетов — гипоаллергенность, отсутствие проблем с дикцией и их свойство переливаться на свету.
Но за сапфировыми системами нужно более тщательно ухаживать.
Популярные сапфировые системы: Ormco, American Orthodontics, Ortho Technology (Pure).
Титановые
Титан также считается гипоаллергенным материалом, поэтому показан людям с гиперчувствительностью и аллергиями, а также с хроническими заболеваниями желудочно-кишечного тракта.
Цена их тоже высокая — от 20 тысяч рублей.
Титановые брекеты легкие, прочные и долговечные. Тем не менее они не подойдут людям, которые заботятся о красоте своей улыбки, так как они такие же заметные, как и обычные металлические.
Справка! Титан — биосовместимый материал, поэтому его используют часто в качестве материала для зубных имплантов.
Какие бывают современные инновации? Стоит ли их ставить?
При выборе брекетов стоматолог-ортодонт учитывает как индивидуальные особенности пациента в плане его здоровья и состояния зубов, так и его пожелания. В связи с этим различают виды брекетов по цели использования.
Частичные
Частичными системами считаются брекеты, установленные только на одну челюсть. Применяется метод только при небольшом локальном искривлении зубных единиц, то есть несерьезных патологиях.
Их носят в течение 6 месяцев при незначительных нарушениях или одного года, если патология более серьезная. Достоинства частичных конструкций в небольшой цене (платить нужно только за один ряд) и сохранении дикции в полной мере.
При этом стоматологи могут установить любой из видов систем в зависимости от пожеланий клиента и индивидуальных особенностей. Часто ставят незаметные лингвальные конструкции.
Силиконовые разновидности для выравнивания зубов
Еще одно достижение стоматологических разработок — прозрачные брекеты из силикона.
Это не обычная система с дугой и фиксаторами, а каппа, которая снимается до приема пищи и надевается снова после него.
Преимущества у таких брекетов следующие:
- Незначительный дискомфорт во время носки, так как силикон — гибкий материал.
 - Эстетичность — они практически незаметны для окружающих людей.
 
Минусы, однако, у этого варианта тоже есть:
- Не подходят для коррекции серьезных искривлений так, как обычные брекеты из металла или керамики.
 - На один курс требуется изготовить много капп. В стандартных системах заменяют только дуги (в среднем 3 раза за все лечение).
 
Их рекомендуют носить чаще детям, чем взрослым. Они эффективны в возрасте от 6 до 12 лет, когда зубные ряды еще не сформированы окончательно и поэтому пластичны. Взрослым они показаны после ношения основной конструкции брекетов любого вида для закрепления результата.
Конструкции носят минимум в течение 12—14 часов в сутки, включая ночное время. Более короткий период не будет гарантировать эффект.
Накусочные брекеты
Отдельный, специализированный вид брекет-систем, который представляет собой видоизмененные лингвальные брекеты верхних центральных резцов.
Главное отличие от стандартных конструкций заключается в наличии накусочных площадок, в контакт с которыми вступают нижние резцы.
Их ставят, чтобы разобщить прикус с целью дальнейшей коррекции глубокого резцового перекрытия.
Композитные или по-другому комбинированные
Композитные системы — гибридный вариант с использованием разных материалов. В зоне улыбки (6 передних зубов) устанавливают брекеты из керамики либо сапфира. К остальным зубам крепят брекеты из различных металлов. Пациент, таким образом, экономит деньги и получает малозаметные брекеты — эстетичную улыбку. Брекеты будут издалека незаметными.
Внимание! Композитные брекеты устанавливают на вестибулярной поверхности зубов, то есть с наружной стороны.
Комбинированные брекеты подходят, к сожалению, не всем пациентам: если у него или нее слишком широкая улыбка, металлические конструкции все равно останутся заметными.
За композитной установкой сложнее ухаживать. В первые недели дикция пациента будет нарушена.
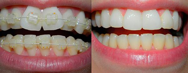
Сравнение фото до и после ношения
Фото 2. Пример зубов взрослого человека до нощения брекет-систем (сверху) и результат после (снизу).
Фото 3. Различные фотографии, отображающие исходное состояние зубов (левый верхний снимок) и изменения в процессе ношения брекетов.
Фото 4. Пример результата ношения брекет-систем с целью исправления кривизны зубов у взрослого человека.
Как выбрать самые лучшие брекеты нового поколения?
Почти все виды брекетов одинаковы по эффективности за исключением пластиковых, лингвальных и силиконовых. В связи с этим важно ориентироваться на индивидуальные особенности (вид патологии), а также доступный бюджет, эстетику и качество.
Не затратными вариантами станут металлические брекеты. Они прочные и эффективные. Пластиковые конструкции также недорогие, но при этом они уступают металлическим в прочности и качестве результата.
Если же пациента интересует сохранение эстетики улыбки, врач предлагает установить керамические, сапфировые конструкции либо лингвальный вид брекетов (с внутренней стороны зубов).
Эффективность последних не такая высокая.
Если патология серьезная, отдают предпочтение керамическим или сапфировым конструкциям. Однако они выйдут дороже.
Если отсутствует возможность часто посещать врача-ортодонта, лучше ставить саморегулирующиеся (безлигатурные) брекеты, а не лигатурные. С первыми количество консультаций сокращается: один раз в 2—3 месяца, а не ежемесячные посещения стоматологии.
Силиконовые брекеты (капы) применяются только при наличии незначительных зубных дефектов, если речь идет о ребенке. Взрослые носят их, чтобы закрепить эффект после долгой коррекции обычными брекетами с дугами.
Важно! Выбирать брекеты нужно вместе с опытным стоматологом-ортодонтом. На первичной консультации он осмотрит ротовую полость, оценит состояние зубов и расскажет вам о доступных вариантах для конкретного случая и их стоимости, а также укажет на эффективный вариант.
Кроме эстетики, главные критерии при выборе брекетов следующие:
- Склонность пациента к аллергическим реакциям на материалы, из которых изготовлены брекеты.
 - Сложность прикуса и особенности расположения зубных единиц.
 - Наличие тех или иных заболеваний разных органов и систем.
 
Внимание! Будущий результат лечения зависит не только от качества материалов брекетов и профессиональности врача, но и от того, станет ли пациент соблюдать все предписания: ухаживать за системой правильно и регулярно посещать стоматолога, чтобы он смог, если это требуется, откорректировать силу натяжения дуги.
Полезное видео
На видео врач-стоматолог подробно рассказывает обо всех существующих видах брекет-систем.
Кто подскажет, что лучше всего поставить для выравнивания?
Идеальные брекеты можно выбрать только с помощью лечащего стоматолога, который предварительно осмотрит зубы пациента и ознакомится с клинической картиной (наличие различных заболеваний и аллергий). Дешевые и эффективные варианты — металлические, но их эстетика оставляет желать лучшего. Сапфировые и керамические конструкции такие же действенные и практически незаметные, но будут стоить дороже.
Вопрос-ответ
Чем отличаются разные виды брекетов?
Металлические брекеты — надежные, эффективные, имеют низкую стоимость, но некоторых пугает их неэстетичный вид. Керамические брекеты — матовые, подбираются под цвет эмали зуба, не окрашиваются, более надежные и прочные, чем сапфировые. Сапфировые конструкции отличаются прозрачностью и ярко выраженным блеском.
Какие брекеты сейчас самые лучшие?
Самые лучшие брекеты для взрослых – металлические безлигатурные с пассивной крышкой. Они наиболее эффективны по соотношению цена, эффективность, срок лечения. Как эстетический компромисс можно рассмотреть комбинированную систему с керамическими брекетами на передние верхние 6 зубов.
Что сейчас вместо брекетов?
Чем можно заменить брекеты для выравнивания зубов? Элайнеры, съемные пластинки для взрослых, трейнеры для детей, виниры — если причина неправильного прикуса в форме зубов.
В чем отличие дорогих брекетов от дешевых?
Дорогостоящие модели (керамические и сапфировые) предлагают высокую степень эстетичности за счет своей невидимости или минимальной заметности на зубах. Металлические же варианты часто выбираются из-за их доступности, несмотря на их заметность.
Советы
СОВЕТ №1
Перед выбором ортодонтического устройства обязательно проконсультируйтесь с квалифицированным ортодонтом. Он поможет определить, какой тип брекетов лучше всего подходит для вашей ситуации, учитывая состояние зубов и ваши индивидуальные предпочтения.
СОВЕТ №2
Обратите внимание на материалы, из которых изготовлены брекеты. Металлические, керамические и сапфировые брекеты имеют разные характеристики, такие как прочность, эстетика и комфорт. Выбор материала может существенно повлиять на ваш опыт ношения брекетов.
СОВЕТ №3
Не забывайте о гигиене полости рта. Ношение брекетов требует особого внимания к чистоте зубов и десен, так как они могут стать более уязвимыми к кариесу и воспалениям. Используйте специальные щетки и нити для ухода за зубами с брекетами.
СОВЕТ №4
Узнайте о возможностях коррекции и сроках лечения. Разные типы брекетов могут иметь разные сроки ношения и эффективность. Обсудите с вашим ортодонтом, как быстро можно достичь желаемого результата и какие альтернативы существуют.















